Skip to main content

Middle turbinectomy after nasotracheal intubation

Abstract

Nasotracheal intubation (NTI) is used for maintaining airway access during maxillofacial surgery or in cases of severe oral trauma. We describe a case of middle turbinectomy complication as a result of NTI. The purposes of this paper are to raise awareness of this complication and review associated imaging findings.

This is a preview of subscription content, access via your institution.

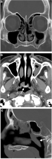
Fig. 1
Fig. 2

References

  1. Scamman FL, Babin RW (1983) An unusual complication of nasotracheal intubation. Anesthesiology 59(4):352–353

    CAS  Article  PubMed  Google Scholar 

  2. Cooper R (1989) Bloodless turbinectomy following blind nasal intubation. Anesthesiology 71(3):469

    CAS  Article  PubMed  Google Scholar 

  3. Williams AR, Burt N, Warren T (1999) Accidental middle turbinectomy: a complication of nasal intubation. Anesthesiology 90(6):1782–1784

    CAS  Article  PubMed  Google Scholar 

  4. Scott AR, Gray ST (2007) Oropharyngeal foreign body after attempted nasal intubation: a case of traumatic middle turbinectomy. Laryngoscope 117(6):1094–1095

    Article  PubMed  Google Scholar 

  5. Zwank M (2009) Middle tubinectomy as a complication of nasopharyngeal airway placement. Am J Emerg Med 27(4):513.e3–4

    Article  Google Scholar 

  6. Cavusoglu T, Yazici I, Demirtas Y, Gunaydin B, Yavuzer R (2009) A rare complication of nasotracheal intubation: accidental middle turbinectomy. J Craniofac Surg 20(2):566–568

    Article  PubMed  Google Scholar 

  7. Patiar S, Ho EC, Herdman RC (2006) Partial middle turbinectomy by nasotracheal intubation. Ear Nose Throat J 85:380–383

    PubMed  Google Scholar 

  8. Wigand ME (1990) Endoscopic surgery of the paranasal sinuses and anterior skull base. Thieme, New York, pp 25–26

    Google Scholar 

Download references

Author information

Affiliations

Authors

Corresponding author

Correspondence to Menachem Gold.

Ethics declarations

Conflict of interest

The authors declare that they have no conflict of interest.

Rights and permissions

Reprints and Permissions

About this article

Verify currency and authenticity via CrossMark

Cite this article

Gold, M., Pearlman, A. & Boyack, I. Middle turbinectomy after nasotracheal intubation. Emerg Radiol 23, 203–205 (2016). https://doi.org/10.1007/s10140-015-1364-z

Download citation

  • Received:

  • Accepted:

  • Published:

  • Issue Date:

  • DOI: https://doi.org/10.1007/s10140-015-1364-z

Keywords

  • Nasotracheal intubation
  • Turbinectomy