Skip to main content

The prevalence of pulmonary embolism among patients suffering from acute exacerbations of chronic obstructive pulmonary disease

Abstract

The clinical diagnosis of acute pulmonary embolism (PE) in patients with acute exacerbation of chronic obstructive pulmonary disease (COPD) is often difficult due to the similarity in the presenting symptoms of the two conditions. The purpose of this study was to determine the prevalence of PE in patients with acute exacerbation of COPD. Forty-nine consecutive patients admitted to our medical center for acute exacerbation of COPD were investigated for PE (whether or not clinically suspected), following a standardized algorithm based on D-dimer testing and computed tomography pulmonary angiography (CTPA). PE was ruled out by a D-dimer value <500 μg/L in 20 (41 %) patients and by negative CTPA in 40 (82 %). PE was confirmed in 9 patients. The prevalence of PE was 18 %. One patient with normal D-dimer had PE. Presenting symptoms and signs were similar between patients who did and did not have PE. PE was detected in 18 % of COPD patients who were hospitalized for an acute exacerbation. This finding supports the systematic evaluation of PE in hospitalized COPD exacerbated patients.

This is a preview of subscription content, access via your institution.

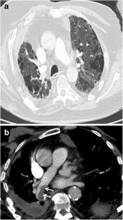
Fig. 1

References

  1. Vestbo J, Hurd SS, Rodriguez-Roisin R (2012) The 2011 revision of the global strategy for the diagnosis, management and prevention of COPD (GOLD)—why and what. Clin Respir J 6:208–214

    Article  PubMed  Google Scholar 

  2. Wedzicha JA, Donaldson GC (2003) Exacerbations of chronic obstructive pulmonary disease. Respir Care 48:1204–1215

    PubMed  Google Scholar 

  3. Sapey E, Stockley RA (2006) COPD exacerbations. 2: aetiology. Thorax 61:250–258

    Article  PubMed Central  CAS  PubMed  Google Scholar 

  4. Tillie-Leblond I, Marquette CH, Perez T, Scherpereel A, Zanetti C, Tonnel AB, Remy-Jardin M (2006) Pulmonary embolism in patients with unexplained exacerbation of chronic obstructive pulmonary disease: prevalence and risk factors. Ann Intern Med 144:390–396

    Article  PubMed  Google Scholar 

  5. Sidney S, Sorel M, Quesenberry CP Jr, DeLuise C, Lanes S, Eisner MD (2005) COPD and incident cardiovascular disease hospitalizations and mortality: Kaiser Permanente Medical Care Program. Chest 128:2068–2075

    Article  PubMed  Google Scholar 

  6. Alessandri C, Basili S, Violi F, Ferroni P, Gazzaniga PP, Cordova C (1994) Hypercoagulability state in patients with chronic obstructive pulmonary disease. chronic obstructive bronchitis and haemostasis group. Thromb Haemost 72:343–346

    CAS  PubMed  Google Scholar 

  7. Carson JL, Kelley MA, Duff AE, Weg JG, Fulkerson WJ, Palevsky HI, Schwartz JS, Thompson BT, Popovich J Jr, Hobbins TE et al (1992) The clinical course of pulmonary embolism. N Engl J Med 326:1240–1245

    Article  CAS  PubMed  Google Scholar 

  8. Gunen H, Gulbas G, In E, Yetkin O, Hacievliyagil SS (2010) Venous thromboemboli and exacerbations of COPD. Eur Respir J 35:1243–1248

    Article  CAS  PubMed  Google Scholar 

  9. Carson JL, Terrin ML, Duff A, Kelley MA (1996) Pulmonary embolism and mortality in patients with COPD. Chest 110:1212–1219

    Article  CAS  PubMed  Google Scholar 

  10. Rizkallah J, Man SF, Sin DD (2009) Prevalence of pulmonary embolism in acute exacerbations of COPD. Chest 135:786–793

    Article  PubMed  Google Scholar 

  11. Rutschmann OT, Cornuz J, Poletti PA, Bridevaux PO, Hugli OW, Qanadli SD, Perrier A (2007) Should pulmonary embolism be suspected in exacerbation of chronic obstructive pulmonary disease. Thorax 62:121–125

    Article  PubMed Central  PubMed  Google Scholar 

  12. Stein PD, Hull RD, Patel KC, Olson RE, Ghali WA, Brant R, Biel RK, Bharadia V, Kalra NKD (2004) Dimer for the exclusion of acute venous thrombosis and pulmonary embolism: a systematic review. Ann Intern Med 140:589–602

    Article  PubMed  Google Scholar 

  13. Wells PS, Anderson DR, Rodger M, Forgie M, Kearon C, Dreyer J, Kovacs G, Mitchell M, Lewandowski B, Kovacs MJ (2003) Evaluation of D-dimer in the diagnosis of suspected deep-vein thrombosis. N Engl J Med 349:1227–1235

    Article  CAS  PubMed  Google Scholar 

  14. Gotway MB, Edinburgh KJ, Feldstein VA, Lehman J, Reddy GP, Webb WR (1999) Imaging evaluation of suspected pulmonary embolism. Curr Probl Diagn Radiol 28:129–184

    Article  CAS  PubMed  Google Scholar 

  15. Gleesone FV, Turner S, Scarsbrook AF (2005) Improving the diagnostic performance of lung scintigraphy in suspected pulmonary embolic disease. Clin Radiol 61:1010–1015

    Article  Google Scholar 

  16. Akpinar EE, Hoşgün D, Doğanay B, Ataç GK, Gülhan M (2013) Should the cut-off value of D-dimer be elevated to exclude pulmonary embolism in acute exacerbation of COPD. J Thorac Dis 5:430–434

    PubMed Central  PubMed  Google Scholar 

  17. Gladish GW, Choe DH, Marom EM et al (2006) Incidental pulmonary emboli in oncology patients: prevalence, CT evaluation, and natural history. Radiology 240:246–255

    Article  PubMed  Google Scholar 

  18. Minet C, Lugosi M, Savoye PY, Menez C, Ruckly S, Bonadona A, Schwebel C, Hamidfar-Roy R, Dumanoir P, Ara-Somohano C, Ferretti GR, Timsit JF (2012) Pulmonary embolism in mechanically ventilated patients requiring computed tomography: prevalence, risk factors, and outcome. Crit Care Med 40:3202–3208

    Article  PubMed  Google Scholar 

  19. Ritchie G, McGurk S, McCreath C, Graham C, Murchison JT (2007) Prospective evaluation of unsuspected pulmonary embolism on contrast enhanced multidetector CT (MDCT) scanning. Thorax 62:536–540

    Article  PubMed Central  PubMed  Google Scholar 

  20. Schultz DJ, Brasel KJ, Washington L, Goodman LR, Quickel RR, Lipchik RJ, Clever T, Weigelt J (2004) Incidence of asymptomatic pulmonary embolism in moderately to severely injured trauma patients. J Trauma 56:727–731

    Article  PubMed  Google Scholar 

Download references

Conflict of interest

The authors declare that they have no conflict of interest.

Author information

Affiliations

Authors

Corresponding author

Correspondence to Abdel-Rauf Zeina.

Rights and permissions

Reprints and Permissions

About this article

Verify currency and authenticity via CrossMark

Cite this article

Shapira-Rootman, M., Beckerman, M., Soimu, U. et al. The prevalence of pulmonary embolism among patients suffering from acute exacerbations of chronic obstructive pulmonary disease. Emerg Radiol 22, 257–260 (2015). https://doi.org/10.1007/s10140-014-1280-7

Download citation

  • Received:

  • Accepted:

  • Published:

  • Issue Date:

  • DOI: https://doi.org/10.1007/s10140-014-1280-7

Keywords

  • Pulmonary embolism
  • Chronic obstructive pulmonary disease (COPD)
  • Exacerbation
  • D-dimer
  • Pulmonary CTA