Skip to main content

Minimal aortic injury of the thoracic aorta: imaging appearances and outcome

Abstract

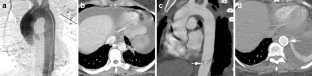
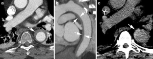
The aim of this study is to describe the frequency, computed tomographic angiography (CTA) imaging appearance, management, and outcome of patients who present with minimal thoracic aortic injury. This retrospective study was Institutional Review Board-approved. Eighty-one patients with blunt traumatic aortic injuries (BTAI) were identified between 2004 and 2008, comprising 23 patients with minimal aortic injury (MAI) (mean age, 43.2 years ±18.2 years; 12 males and 11 females) and 58 patients with non-minimal aortic injury (mean age, 42.6 years ±22.7 years). CTA imaging was reviewed for each patient to differentiate those with MAI from those with non-MAI BTAI. Inclusion criteria for MAI on CTA were: post-traumatic abnormality of the internal contour of the aorta wall projecting into the lumen, intimal flap, intraluminal filling defect, intramural hematoma, and no evidence of an abnormality to the external contour of the aorta. Relevant follow-up imaging for MAI patients was also reviewed for resolution, stability, or progression of the vascular injury. The electronic medical record of each patient was reviewed and mechanism of injury, injury severity score, associated injuries, type and date of management, outcome, and days from injury to last medical consultation. Minimal aortic injury represented 28.4 % of all BTAI over the study period. Mean injury severity score (37.1), age (43.2 years), and gender did not differ significantly between MAI and non-MAI types of BTAI. Most MAI occurred in the descending thoracic aorta (16/23, 69 %). Without operative or endovascular repair, there was no death or complication due to MAI. One death occurred secondary to MAI (4.4 %) in a patient who underwent endovascular repair and surgical bypass, compared with an overall mortality rate of 8.6 % in the non-MAI BTAI group (p = 0.508). The most common CT appearance of MAI was a rounded or triangular intra-luminal aortic filling detect (18/23 patients, 78 %). In a mean of 466 days of clinical follow-up, no complications were observed in survivors treated without endovascular repair or operation. Minimal aortic injury is identified by multi-detector row CT in more than a quarter of cases of BTAI and has a low mortality. Conservative management is associated with an excellent outcome.

This is a preview of subscription content, access via your institution.

Fig. 1
Fig. 2
Fig. 3
Fig. 4

References

  1. Heiberg E, Wolverson MK, Sundaram M, Shields JB (1983) CT in aortic trauma. AJR Am J Roentgenol 140:1119–1124

    CAS  PubMed  Article  Google Scholar 

  2. Steenburg SD, Ravenel JG (2008) Acute traumatic thoracic aortic injuries: experience with 64-MDCT. AJR Am J Roentgenol 191:1564–1569

    PubMed  Article  Google Scholar 

  3. Mirvis SE (2006) Thoracic vascular injury. Radiol Clin North Am 44:181–197, vi

    PubMed  Article  Google Scholar 

  4. Bruckner BA, DiBardino DJ, Cumbie TC et al (2006) Critical evaluation of chest computed tomography scans for blunt descending thoracic aortic injury. Ann Thorac Surg 81:1339–1346

    PubMed  Article  Google Scholar 

  5. O’Connor JV, Byrne C, Scalea TM, Griffith BP, Neschis DG (2009) Vascular injuries after blunt chest trauma: diagnosis and management. Scand J Trauma Resusc Emerg Med 17:42

    PubMed Central  PubMed  Article  Google Scholar 

  6. Dyer DS, Moore EE, Mestek MF et al (1999) Can chest CT be used to exclude aortic injury? Radiology 213:195–202

    CAS  PubMed  Article  Google Scholar 

  7. Melton SM, Kerby JD, McGiffin D et al (2004) The evolution of chest computed tomography for the definitive diagnosis of blunt aortic injury: a single-center experience. J Trauma 56:243–250

    PubMed  Article  Google Scholar 

  8. Fabian TC, Davis KA, Gavant ML et al (1998) Prospective study of blunt aortic injury: helical CT is diagnostic and antihypertensive therapy reduces rupture. Ann Surg 227:666–676, discussion 676-667

    CAS  PubMed Central  PubMed  Article  Google Scholar 

  9. Steenburg SD, Ravenel JG, Ikonomidis JS, Schonholz C, Reeves S (2008) Acute traumatic aortic injury: imaging evaluation and management. Radiology 248:748–762

    PubMed  Article  Google Scholar 

  10. Malhotra AK, Fabian TC, Croce MA, Weiman DS, Gavant ML, Pate JW (2001) Minimal aortic injury: a lesion associated with advancing diagnostic techniques. J Trauma 51:1042–1048

    CAS  PubMed  Article  Google Scholar 

  11. Paul JS, Neideen T, Tutton S et al (2011) Minimal aortic injury after blunt trauma: selective nonoperative management is safe. J Trauma 71:1519–1523

    PubMed  Article  Google Scholar 

  12. Forman MJ, Mirvis SE, Hollander DS (2013) Blunt thoracic aortic injuries: CT characterisation and treatment outcomes of minor injury. Eur Radiol 23:2988–2995

    PubMed  Article  Google Scholar 

  13. Riesenman PJ, Brooks JD, Farber MA (2012) Acute blunt traumatic injury to the descending thoracic aorta. J Vasc Surg 56:1274–1280

    PubMed  Article  Google Scholar 

  14. Kepros J, Angood P, Jaffe CC, Rabinovici R (2002) Aortic intimal injuries from blunt trauma: resolution profile in nonoperative management. J Trauma 52:475–478

    PubMed  Article  Google Scholar 

  15. Starnes BW, Lundgren RS, Gunn M et al (2012) A new classification scheme for treating blunt aortic injury. Journal of Vascular Surgery : official publication, the Society for Vascular Surgery [and] International Society for Cardiovascular Surgery. N Am Chapter 55:47–54

    Google Scholar 

  16. Baker SP, O’Neill B, Haddon W Jr, Long WB (1974) The injury severity score: a method for describing patients with multiple injuries and evaluating emergency care. J Trauma 14:187–196

    CAS  PubMed  Article  Google Scholar 

  17. Mirvis SE, Shanmuganathan K (2007) Diagnosis of blunt traumatic aortic injury 2007: still a nemesis. Eur J Radiol 64:27–40

    PubMed  Article  Google Scholar 

  18. Lamarche Y, Berger FH, Nicolaou S et al (2012) Vancouver simplified grading system with computed tomographic angiography for blunt aortic injury. J Thorac Cardiovasc Surg 144:347–354, 354 e341

    PubMed  Article  Google Scholar 

  19. Broder J, Warshauer DM (2006) Increasing utilization of computed tomography in the adult emergency department, 2000-2005. Emerg Radiol 13:25–30

    PubMed  Article  Google Scholar 

  20. Kirkham JR, Blackmore CC (2007) Screening for aortic injury with chest radiography and clinical factors. Emerg Radiol 14:211–217

    PubMed  Article  Google Scholar 

  21. Hernandez-Maldonado JJ, Padberg FT Jr, Teehan E et al (1993) Arterial intimal flaps: a comparison of primary repair, aspirin, and endovascular excision in an experimental model. J Trauma 34:565–569, discussion 569-570

    CAS  PubMed  Article  Google Scholar 

  22. Zollikofer CL, Redha FH, Bruhlmann WF et al (1987) Acute and long-term effects of massive balloon dilation on the aortic wall and vasa vasorum. Radiology 164:145–149

    CAS  PubMed  Google Scholar 

  23. Fabian TC, Roger T (2009) Sherman Lecture. Advances in the management of blunt thoracic aortic injury: Parmley to the present. Am Surg 75:273–278

    PubMed  Google Scholar 

  24. Hirose H, Gill IS, Malangoni MA (2006) Nonoperative management of traumatic aortic injury. J Trauma 60:597–601

    PubMed  Article  Google Scholar 

  25. Sammer M, Wang E, Blackmore CC, Burdick TR, Hollingworth W (2007) Indeterminate CT angiography in blunt thoracic trauma: is CT angiography enough? AJR Am J Roentgenol 189:603–608

    PubMed  Article  Google Scholar 

  26. Wigle RL, Moran JM (1991) Spontaneous healing of a traumatic thoracic aortic tear: case report. J Trauma 31:280–283

    CAS  PubMed  Article  Google Scholar 

Download references

Conflict of interest

The authors declare that they have no conflict of interest.

Author information

Affiliations

Authors

Corresponding author

Correspondence to Martin L. D. Gunn.

Rights and permissions

Reprints and Permissions

About this article

Cite this article

Gunn, M.L.D., Lehnert, B.E., Lungren, R.S. et al. Minimal aortic injury of the thoracic aorta: imaging appearances and outcome. Emerg Radiol 21, 227–233 (2014). https://doi.org/10.1007/s10140-013-1187-8

Download citation

  • Received:

  • Accepted:

  • Published:

  • Issue Date:

  • DOI: https://doi.org/10.1007/s10140-013-1187-8

Keywords

  • Blunt thoracic trauma
  • Minimal aortic injury
  • Blunt thoracic aortic injury
  • MDCT
  • CT angiography
  • Blunt thoracic aortic injury