Skip to main content

Combined percutaneous thrombin injection and endovascular treatment of gastroduodenal artery pseudoaneurysm (PAGD): case report

Abstract

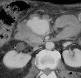
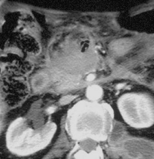
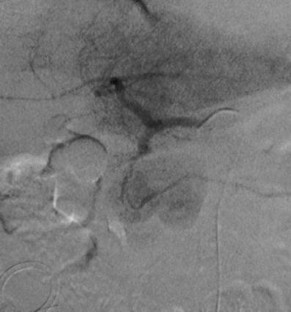
A 69-year-old man with a history of acute pancreatitis developed a huge pseudoaneurysm of the gastroduodenal artery (PAGD), as diagnosed by CT scan. The PAGD was treated by percutaneous thrombin injection (2,000 IU) under ultrasound guidance and selective embolization of gastroduodenal artery with microcoils with its complete exclusion. The 6-month follow-up confirmed the complete exclusion of the PAGD sac.

This is a preview of subscription content, access via your institution.

Fig. 1
Fig. 2
Fig. 3
Fig. 4

References

  1. Procacci C, Mansueto G, D’Onofrio M et al (2002) Non-traumatic abdominal emergencies: imaging and intervention in acute pancreatic conditions. Eur Radiol 12:2407–2434

    PubMed  Google Scholar 

  2. Stanley JC, Frey CF, Miller TA et al (1976) Major arterial hemorrhage: a complication of pancreatic pseudocysts and chronic pancreatitis. Arch Surg 111:435–440

    PubMed  CAS  Google Scholar 

  3. Burke JW, Erickson SJ, Kellum CD et al (1986) Pseudoaneurysms complicating pancreatitis: detection by CT. Radiology 161:447–450

    PubMed  CAS  Google Scholar 

  4. Levy P, Barthet M, Mollard BR et al (2006) Estimation of the prevalence and incidence of chronic pancreatitis and its complications. Gastroenterol Clin Biol 30:838–844

    PubMed  Article  Google Scholar 

  5. Kiviluoto T, Kivisaari L, Kivilaakso E et al (1989) Pseudocysts in chronic pancreatitis. Surgical results in 102 consecutive patients. Arch Surg 124:240–243

    PubMed  CAS  Google Scholar 

  6. Sankaran S, Walt AJ (1975) The natural and unnatural history of pancreatic pseudocyst. Br J Surg 62:37–44

    PubMed  Article  CAS  Google Scholar 

  7. Bresler L, Boissel P, Grosdidier J (1991) Major haemorrhage from pseudocysts and pseudoaneurysms caused by chronic pancreatitis: surgical therapy. World J Surg 15:649–653

    PubMed  Article  CAS  Google Scholar 

  8. Hsu JT, Yeh CN, Hung CF et al (2006) Management and outcome of bleeding pseudoaneurysm associated with chronic pancreatitis. BMC Gastroenterol 6:3–8

    PubMed  Article  Google Scholar 

  9. Bergert H, Hinterseher I, Kersting S et al (2005) Management and outcome of hemorrhage due to arterial pseudoaneurysms in pancreatitis. Surgery 137:323–328

    PubMed  Article  Google Scholar 

  10. Delgadillo X, Berney T, Perrot M et al (1999) Successful treatment of a pseudoaneurysm of the cystic artery with microcoils embolization. J Vasc Interv Radiol 10:789–792

    PubMed  CAS  Article  Google Scholar 

  11. Baker KS, Tisnado J, Cho SR et al (1987) Splanchnic artery aneurysms and pseudoaneurysms: transcatheter embolization. Radiology 163:135–139

    PubMed  CAS  Google Scholar 

  12. McDermott VG, Goldberg RS, Cope C (1994) Endovascular management of splenic artery aneurysms and pseudoaneurysms. Cardiovasc Interv Radiol 17:179–184

    Article  CAS  Google Scholar 

  13. Geokas MC (1968) The role of elastase in acute pancreatitis. Arch Pathol 86:135–141

    Google Scholar 

  14. Woods MS, Traverso LW, Kozarek RA et al (1995) Successful treatment of bleeding pseudoaneurysms of chronic pancreatitis. Pancreas 10:22

    PubMed  Article  CAS  Google Scholar 

  15. Reber PU, Baer HU, Patel AG (1998) Superselective microcoil embolization: treatment of choice in high-risk patients with extrahepatic pseudoaneurysms of the hepatic arteries. J Am Coll Surg 186:325–330

    PubMed  Article  CAS  Google Scholar 

  16. Gambiez LP, Ernst OJ, Merlier OA et al (1997) Arterial embolization for bleeding pseudocysts complicating chronic pancreatitis. Arch Surg 132:1016–1021

    PubMed  CAS  Google Scholar 

  17. Yamakado K, Nakatsuka A, Tanaka N et al (2000) Transcatheter arterial embolization of ruptured pseudoaneurysms with coils and n-butyl cyanoacrylate. J Vasc Interv Radiol 11:66–72

    PubMed  CAS  Google Scholar 

  18. Benjaminov O, Atri M (2002) Percutaneous thrombin injection for treatment of an intrarenal pseudoaneurysm. Am J Roentgenol 178:364–366

    Google Scholar 

  19. Pezzullo JA, Dupuy DE, Cronan JJ (2000) Percutaneous injection of thrombin for the treatment of pseudoaneurysms after catheterization: an alternative to sonographically guided compression. Am J Roentgenol 175:1035–1040

    CAS  Google Scholar 

  20. Kang SS, Labropoulos N, Ashraf M et al (2000) Expanded indications for ultrasound-guided thrombin injection of pseudoaneurysms. J Vasc Surg 31:289–298

    PubMed  Article  CAS  Google Scholar 

  21. Reus M, Morales D, Vazquez V et al (2002) Ultrasound-guided percutaneous thrombin injection for treatment of extrarenal pseudoaneurysm after renal transplantation. Transplantation 74:882–884

    PubMed  Article  Google Scholar 

  22. Rothbarth LJ, Redmond PL, Kumpe DA (1989) Percutaneous transhepatic treatment of a large intrahepatic aneurysm. Am J Roentgenol 153:1077–1078

    CAS  Google Scholar 

  23. Luchs SG, Antonacci VP, Reid SK et al (1999) Vascular and interventional case of the day: pancreatic head pseudoaneurysm treated with percutaneous thrombin injection. Am J Roentgenol 173:833–834

    Google Scholar 

  24. Kemmeter P, Bonnell B, Vander Kolk W et al (2000) Percutaneous thrombin injection of splanchnic artery aneurysms: two case report. J Vasc Interv Radiol 11:469–472

    PubMed  CAS  Google Scholar 

  25. Puri S, Nicholson AA, Breen DJ (2003) Percutaneous thrombin injection for the treatment of a post-pancreatitis pseudoaneurysm. Eur Radiol 13(Suppl 4):L79–L82

    PubMed  Article  Google Scholar 

  26. Okazaky M, Ono H, Higashihara H et al (1991) Angiographic management of massive hemobilia due to iatrogenic trauma. Gastrointest Radiol 16:205–211

    Article  Google Scholar 

  27. Manazer JR, Monzon JR, Dietz PA et al (2003) Treatment of pancreatic pseudoaneurysm with percutaneous trans-abdominal thrombin injection. J Vasc Surg 38:600–602

    PubMed  Article  Google Scholar 

  28. Geoghegan T, Tuite D, Mc Auley G et al (2004) Percutaneous thrombin injection for the treatment of a post-pancreatitis pseudoaneurysm of the gastroduodenal artery. Eur Radiol 14:2144–2145

    PubMed  Article  CAS  Google Scholar 

  29. Sato N, Yamaguchi K, Shimizu S et al (1998) Coil embolization of bleeding visceral pseudoaneurysms following pancreatectomy: the importance of early angiography. Arch Surg 133:1099–1102

    PubMed  Article  CAS  Google Scholar 

Download references

Author information

Affiliations

Authors

Corresponding author

Correspondence to Gianpaolo Carrafiello.

Rights and permissions

Reprints and Permissions

About this article

Cite this article

Carrafiello, G., Laganà, D., Recaldini, C. et al. Combined percutaneous thrombin injection and endovascular treatment of gastroduodenal artery pseudoaneurysm (PAGD): case report. Emerg Radiol 14, 51–54 (2007). https://doi.org/10.1007/s10140-007-0574-4

Download citation

  • Received:

  • Accepted:

  • Published:

  • Issue Date:

  • DOI: https://doi.org/10.1007/s10140-007-0574-4

Keywords

  • Pseudoaneurysm
  • Ultrasound guidance
  • Thrombin injection
  • Gastroduodenal artery
  • Endovascular treatment