Skip to main content

Crohn disease obstruction of the biliopancreatic limb in a patient operated for biliopancreatic diversion for morbid obesity

Abstract

Although rare, patients with biliopancreatic diversion for morbid obesity will be subject to obstruction of the biliopancreatic limb. This condition is commonly due to postoperative adhesions and intussusception and usually presents with misleading clinical and radiographic features that can delay the diagnosis and the treatment. We recently encountered a patient with obstruction of the biliopancreatic limb due to involvement from Crohn disease. We report this case to highlight the clinical and imaging findings of this rare condition.

This is a preview of subscription content, access via your institution.

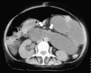
Fig. 1
Fig. 2
Fig. 3

References

  1. Scopinaro N, Gianetta E, Adami GF, Friedman D, Traverso E, Marinari GM, Cuneo S, Vitale B, Ballari F, Colombini M, Banchieri G, Bachi V (1996) Bilio-pancreatic diversion for obesity at eighteen years. Surgery 119:261–268

    PubMed  CAS  Google Scholar 

  2. Scopinaro N, Gianetta E, Civalleri D, Bonalumi U, Friedman D, Traverso E, Adami GF, Bachi V (1987) Biliopancreatic bypass. In: Griffen WO Jr, Printen KJ (eds) Surgical management of morbid obesity. Marcel Dekker, New York, pp 93–162

    Google Scholar 

  3. Gianetta E, Friedman D, Traverso E, Adami GF, Vitale B, Marinari G, Colombini M, Ballari M, Abbondati A, Scopinaro N (1992) Small bowel obstruction following pancreatic diversion. Probl Gen Surg 9:386–389

    Google Scholar 

  4. Bertolotto M, Gianetta E, Rollandi GA, Perrone R, Carrabetta S, Martinoli C, Scopinaro N, Cittadini G Jr, Derchi LE (1996) Imaging of patients with pancreatobiliary diversions for obesity: post-operative anatomy and findings in small bowel obstruction. Br J Radiol 69:708–716

    PubMed  Article  CAS  Google Scholar 

  5. Cossu ML, Ruggiu M, Fais E, Spartà C, Cossu F, Noya C (2000) Bowel obstruction after biliopancreatic diversion: a deceptive complication. Obes Surg 10:470–473

    Article  PubMed  CAS  Google Scholar 

  6. Menguy R (1990) Surgery of Crohn’s disease. In: Schwartz SL, Ellis H (eds) Maingot’s abdominal operations. Prentice-Hall, East Norwalk, pp 847–870

    Google Scholar 

  7. Wilson SR (1998) The gastrointestinal tract. In: Rumack CM, Wilson SR, Charboneau JW (eds) Diagnostic ultrasound. Mosby, St. Louis, pp 279–327

    Google Scholar 

  8. Reeders JWAJ, Derchi LE (2002) Radiology of Crohn’s disease. In: Gourtsoyiannis NC (ed) Radiological imaging of the small intestine. Springer, Berlin Heidelberg New York, pp 299–337

    Google Scholar 

Download references

Author information

Affiliations

Authors

Corresponding author

Correspondence to Fabio Pretolesi.

Rights and permissions

Reprints and Permissions

About this article

Cite this article

Pretolesi, F., Camerini, G., Marinari, G.M. et al. Crohn disease obstruction of the biliopancreatic limb in a patient operated for biliopancreatic diversion for morbid obesity. Emerg Radiol 12, 116 (2006). https://doi.org/10.1007/s10140-005-0461-9

Download citation

  • Received:

  • Accepted:

  • Published:

  • DOI: https://doi.org/10.1007/s10140-005-0461-9

Keywords

  • Biliopancreatic diversion
  • Biliopancreatic limb obstruction
  • Crohn disease