Skip to main content

Incidental detection of a transmigrated intrauterine device

Abstract

The intrauterine device (IUD) is among the most effective forms of birth control available, with important advantages over other methods of contraception. The most striking adverse event associated with IUD use is uterine perforation and migration of the device. Contrary to what one might assume, perforation is often silent and the wayward device is either detected after further sequellae or found incidentally by imaging. The radiologist should be aware of the natural course, presentations, diagnostic evaluation and treatment (if any) for this misplaced foreign body.

This is a preview of subscription content, access via your institution.

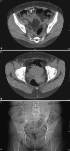
Fig. 1

References

  1. Harrison-Woolrych M, Ashton J, Coulter D (2003) Uterine perforation on intrauterine device insertion: is the incidence higher than previously reported? Contraception 67:53–56

    Article  PubMed  Google Scholar 

  2. Singh MM (1995) IUDs and transmigration—putting an old concern to rest. IPPF Med Bull 29:2–3

    CAS  PubMed  Google Scholar 

  3. Rosenblatt R, Zakin D, Stern WZ, Kutcher R (1985) Uterine perforation and embedding by intrauterine device: evaluation by US and hysterography. Radiology 157:765–770

    CAS  PubMed  Google Scholar 

  4. Caliskan E, Ozturk N, Dilbaz BO, Dilbaz S (2003) Analysis of risk factors associated with uterine perforation by intrauterine devices. Eur J Contracept Reprod Health Care 8:150–155

    CAS  PubMed  Google Scholar 

  5. Richardson ML, Kinard RE, Watters DH (1982) Location of intrauterine devices: evaluation by computed tomography. Radiology 142:690

    CAS  PubMed  Google Scholar 

  6. Markovitch O, Klein Z, Gidoni Y, Holzinger M, Beyth Y (2002) Extrauterine mislocated IUD: is surgical removal mandatory? Contraception 66:105–108

    Article  PubMed  Google Scholar 

  7. Pirwany IR, Boddy K (1997) Colocolic fistula caused by a previously inserted intrauterine device. Contraception 56:337–339

    Article  CAS  PubMed  Google Scholar 

  8. Serra I (1986) Appendicitis caused by an intrauterine contraceptive device. Br J Surg 73:927–928

    CAS  PubMed  Google Scholar 

  9. Elmer RM (1978) Sciatica caused by an intrauterine device after silent uterine perforation: a case report. J Bone Joint Surg 60:265–266

    Google Scholar 

  10. Adoni A, Ben Chetrit A (1991) The management of intrauterine devices following uterine perforation. Contraception 43:77–81

    Article  CAS  PubMed  Google Scholar 

Download references

Acknowledgements

We thank Drs. R. Cantu and R. Golub for arranging Sabbath scheduling to make this work possible, Dr. A. Veloudios for her expertise and valuable discussion, and R. Dornbaum for information sciences support.

Author information

Affiliations

Authors

Corresponding author

Correspondence to Jeffrey M. Levsky.

Rights and permissions

Reprints and Permissions

About this article

Cite this article

Levsky, J.M., Herskovits, M. Incidental detection of a transmigrated intrauterine device. Emerg Radiol 11, 312–314 (2005). https://doi.org/10.1007/s10140-005-0421-4

Download citation

  • Received:

  • Accepted:

  • Published:

  • Issue Date:

  • DOI: https://doi.org/10.1007/s10140-005-0421-4

Keywords

  • Uterus
  • Rupture
  • Intrauterine device