Abstract
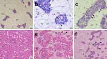
We investigated the role of oyster gonadal TGFβ (og-TGFβ) in the reproduction of Crassostrea gigas, using an in vivo RNA interference approach. We designed double-stranded RNA targeting og-TGFβ, which is specifically expressed in the somatic cells surrounding germ cells in the gonad of both male and female oysters. In vivo injection of this og-TGFβ dsRNA into the gonad led to knock-down phenotypes for both sexes, with significant reduction (77.52% relative to controls) of the gonad area, lowered reproductive effort and germ cell under-proliferation. Interestingly, half of the injected females halted their vitellogenesis, since we were only able to observe pre-vitellogenic oocytes. In addition, apoptotic germ cells and haemocytes infiltrated into the gonad, likely as part of the active resorption of degenerating germ cells. Conversely, males showed a normal phenotype at the cellular level, with spermatids and spermatozoids observed in the gonads of control and injected males. As a result, og-TGFβ appears to play an essential role in C. gigas germ cell development by functioning as an activator of germ cell proliferation in both male and female oysters and vitellogenesis in females.



Similar content being viewed by others
Explore related subjects
Discover the latest articles and news from researchers in related subjects, suggested using machine learning.References
Biswas S, Criswell TL, Wang SE, Arteaga CL (2006) Inhibition of transforming growth factor-beta signaling in human cancer: targeting a tumor suppressor network as a therapeutic strategy. Clin Cancer Res 12:4142–4146
Cadoret JP, Debon R, Cornudella L, Lardans V, Morvan A, Roch P, Boulo V (1999) Transient expression assays with the proximal promoter of a newly characterized actin gene from the oyster Crassostrea gigas. FEBS Lett 460:81–85
Corporeau C, Groisillier A, Jeudy A, Barbeyron T, Fleury E, Fabioux C, Czjzek M, Huvet A (2011) A functional study of transforming growth factor-beta from the gonad of Pacific oyster Crassostrea gigas. Mar Biotechnol 13:971–980
Dégremont L, Ernande B, Bédier E, Boudry P (2007) Summer mortality of hatchery-produced Pacific oyster spat (Crassostrea gigas). I. Estimation of genetic parameters for survival and growth. Aquaculture 262:41–53
Dégremont L, Bédier E, Boudry P (2010) Summer mortality of hatchery-produced Pacific oyster spat (Crassostrea gigas). II. Response to selection for survival and its influence on growth and yield. Aquaculture 299:21–29
Eckelbarger KJ, Young CM (1999) Ultrastructure of gametogenesis in a chemosynthetic mytilid bivalve (Bathymodiolus childressi) from a bathyal, methane seep environment (northern Gulf of Mexico). Mar Biol 135:635–646
Elbashir SM, Harborth J, Lendeckel W, Yalcin A, Weber K, Tuschl T (2001) Duplexes of 21-nucleotide RNAs mediate RNA interference in cultured mammalian cells. Nature 411:494–498
Erkan M, Sousa M (2002) Fine structural study of the spermatogenic cycle in Pitar rudis and Chamelea gallina (Mollusca, Bivalvia, Veneridae). Tissue Cell 34:262–272
Ernande B, Boudry P, Clobert J, Haure J (2004) Plasticity in resource allocation based life history traits in the Pacific oyster. Crassostrea gigas. I. Spatial variation in food abundance. J Evol Biol 17:342–356
Fabioux C, Huvet A, Lelong C, Robert R, Pouvreau S, Daniel JY, Minguant C, Le Pennec M (2004) Oyster vasa-like gene as a marker of the germline cell development in Crassostrea gigas. Biochem Biophys Res Commun 320:592–859
Fabioux C, Huvet A, Le Souchu P, Le Pennec M, Pouvreau S (2005) Temperature and photoperiod drive Crassostrea gigas reproductive internal clock. Aquaculture 250:458–470
Fabioux C, Corporeau C, Quillien V, Favrel P, Huvet A (2009) In vivo RNA interference in oyster: vasa silencing inhibits germ cell development. FEBS J 276:2566–2573
Fire A, Xu S, Montgomery MK, Kostas SA, Driver SE, Mello CC (1998) Potent and specific genetic interference by double-stranded RNA in Caenorhabditis elegans. Nature 391:806–811
Fleury E, Fabioux C, Lelong C, Favrel P, Huvet A (2008) Characterization of a gonad-specific transforming growth factor superfamily member differentially expressed during the reproductive cycle of the oyster Crassostrea gigas. Gene 410:187–196
Fleury E, Moal J, Boulo V, Daniel JY, Mazurais D, Hénaut A, Corporeau C, Boudry P, Favrel P, Huvet A (2010) Microarray-based identification of gonad transcripts differentially expressed between lines of Pacific oyster selected to be resistant or susceptible to summer mortality. Mar Biotechnol 12:326–339
Franco A, Jouaux A, Mathieu M, Sourdaine P, Lelong C, Kellner K, Heude Berthelin C (2010) Proliferating cell nuclear antigen in gonad and associated storage tissue of the Pacific oyster Crassostrea gigas: seasonal immunodetection and expression in laser microdissected tissues. Cell Tissue Res 340:201–210
Gautier A, Le Gac F, Lareyre JJ (2011) The gsdf gene locus harbors evolutionary conserved and clustered genes preferentially expressed in fish previtellogenic oocytes. Gene 472:7–17
Guo X, Wang XF (2009) Signaling cross-talk between TGF-beta/BMP and other pathways. Cell Res 19:71–88
Hannon GJ (2002) RNA interference. Nature 418:244–251
Hedgecock D, Gaffney PM, Goulletquer P, Guo XM, Reece K, Warr GW (2005) The case for sequencing the Pacific oyster genome. J Shellfish Res 24:429–441
Herpin A, Lelong C, Favrel P (2004) Transforming growth factor-beta-related proteins: an ancestral and widespread superfamily of cytokines in metazoans. Dev Comp Immunol 28:461–485
Herpin A, Lelong C, Becker T, Rosa F, Favrel P, Cunningham C (2005) Structural and functional evidence for a singular repertoire of BMP receptor signal transducing proteins in the lophotrochozoan Crassostrea gigas suggests a shared ancestral BMP/activin pathway. FEBS J 272:3424–3440
Hinsch GW (1993) Comparative organization and cytology of Sertoli cells in invertebrates. In: Russell LD, Griswold MD (eds) The Sertoli cells. Cache River Press, Clearwater, pp 659–683
Huvet A, Herpin A, Degremont L, Labreuche Y, Samain JF, Cunningham C (2004) The identification of genes from the oyster Crassostrea gigas that are differentially expressed in progeny exhibiting opposed susceptibility to summer mortality. Gene 343:211–220
Huvet A, Normand J, Fleury E, Quillien V, Fabioux C, Boudry P (2010) Reproductive effort of Pacific oysters: a trait associated with susceptibility to summer mortality. Aquaculture 304:95–99
Itman C, Mendis S, Barakat B, Loveland KL (2006) All in the family: TGF-beta family action in testis development. Reprod 132:233–246
Jiang Y, Loker ES, Zhang SM (2006) In vivo and in vitro knockdown of FREP2 gene expression in the snail Biomphalaria glabrata using RNA interference. Dev Comp Immunol 30:855–866
Josso N, Racine C, di Clemente N, Rey R, Xavier F (1998) The role of anti-Mullerian hormone in gonadal development. Mol Cell Endocrinol 145:3–7
Knight PG, Glister C (2006) TGF-beta superfamily members and ovarian follicle development. Reprod 132:191–206
Kohli G, Clelland E, Peng C (2005) Potential targets of transforming growth factor-beta1 during inhibition of oocyte maturation in zebrafish. Reprod Biol Endocrinol 3:53
Lango-Reynoso F, Chavez-Villalba J, Cochard JC, Le Pennec M (2000) Oocyte size, a means to evaluate the gametogenic development of the Pacific oyster, Crassostrea gigas (Thunberg). Aquaculture 190:183–199
Latendresse JR, Warbrittion AR, Jonassen H, Creasy DM (2002) Fixation of testes and eyes using a modified Davidson’s fluid: comparison with Bouin’s fluid and conventional Davidson’s fluid. Toxicol Pathol 30:524–533
Le Quéré H, Herpin A, Huvet A, Lelong C, Favrel P (2009) Structural and functional characterizations of an Activin type II receptor orthologue from the pacific oyster Crassostrea gigas. Gene 436:101–107
Livak KL, Schmittgen TD (2001) Analysis of relative gene expression data using real time quantitative PCR and the 2-Ct method. Methods 25:402–408
Ma LJ, Jha S, Ling H, Pozzi A, Ledbetter S, Fogo AB (2004) Divergent effects of low versus high dose anti-TGF-b antibody in puromycin aminonucleoside nephropathy in rats. Kidney Int 65:106–115
Martoja R, Martoja-Pierson M (1967) Initiation aux techniques de l’histologie animale. Masson et Cie, Paris, 1232 pp
Massagué J, Chen YG (2000) Controlling TGFβ signalling. Genes Dev 14:627–644
Moore RK, Erickson GF, Shimasaki S (2004) Are BMP-15 and GDF-9 primary determinants of ovulation quota in mammals? Trends Endocrinol Metab 15:356–361
Samain JF, McCombie H (2008) Summer Mortality of Pacific Oyster Crassostrea gigas. Ed. Ifremer/Quae, Versailles
Samain JF, Dégremont L, Soletchnik P, Haure J, Bédier E, Ropert M, Moal J, Huvet A, Bacca H, Van Wormhoudt A, Delaporte M, Costil K, Pouvreau S, Lambert C, Boulo V, Soudant P, Nicolas JL, Le Roux F, Renault T, Gagnaire B, Géret F, Boutet I, Burgeot T, Boudry P (2007) Genetically based resistance to summer mortality in the Pacific oyster (Crassostrea gigas) and its relationship with physiological, immunological characteristics and infection process. Aquaculture 268:227–243
Sauvage C, Boudry P, de Koning DJ, Haley CS, Heurtebise S, Lapègue S (2010) QTL for resistance to summer mortality and OsHV-1 load in the Pacific oyster (Crassostrea gigas). Anim Genet 41:390–399
Sawatari E, Shikina S, Takeuchi T, Yoshizaki G (2007) A novel transforming growth factor-beta superfamily member expressed in gonadal somatic cells enhances primordial germ cell and spermatogonial proliferation in rainbow trout (Oncorhynchus mykiss). Dev Biol 301:266–275
Schulz C, Kiger AA, Tazuke SI, Yamashita YM, Pantalena-Filho LC, Jones DL, Wood CG, Fuller MT (2004) A misexpression screen reveals effects of bag-of-marbles and TGF beta class signaling on the Drosophila male germ-line stem cell lineage. Genetics 167:707–723
Shim MS, Kwon YJ (2010) Efficient and targeted delivery of siRNA in vivo. FEBS J 277:4814–4827
Shimasaki S, Moore RK, Otsuka F, Erickson GF (2004) The bone morphogenetic protein system in mammalian reproduction. Endocr Rev 25:72–101
Steele S, Mulcahy MF (1999) Gametogenesis of the oyster Crassostrea gigas in southern Ireland. J Mar Biol Assoc UK 70:673–686
Suquet M, de Kermoysan G, Araya RG, Queau I, Lebrun L, Le Souchu P, Mingant C (2009) Anesthesia in Pacific oyster, Crassostrea gigas. Aquat Living Resour 22:29–34
ten Dijke P, Miyazono K, Heldin CH (2000) Signaling inputs converge on nuclear effectors in TGF-beta signaling. Trends Biochem Sci 25:64–70
Vitt UA, Hsueh AJ (2001) Stage-dependent role of growth differentiation factor-9 in ovarian follicle development. Mol Cell Endocrinol 183:171–177
Acknowledgements
This study was conducted as part of the ANR “Gametogenes” (contract n° ANR-08-GENM-041) and the GIS Europole mer “OxyGenes” projects. Many thanks to P. Favrel and C. Lelong for helpful discussions. We thank all the staff of the Argenton experimental hatchery for conditioning the oysters and H. McCombie for her help with the English.
Author information
Authors and Affiliations
Corresponding author
Rights and permissions
About this article
Cite this article
Huvet, A., Fleury, E., Corporeau, C. et al. In Vivo RNA Interference of a Gonad-Specific Transforming Growth Factor-β in the Pacific Oyster Crassostrea gigas . Mar Biotechnol 14, 402–410 (2012). https://doi.org/10.1007/s10126-011-9421-4
Received:
Accepted:
Published:
Issue Date:
DOI: https://doi.org/10.1007/s10126-011-9421-4


