Skip to main content

Induced Gynogenesis in Grass Carp (Ctenopharyngodon idellus) Using Irradiated Sperm of Allotetraploid Hybrids

Abstract

Grass carp (Ctenopharyngodon idellus) eggs were activated by UV-irradiated diploid sperm of allotetraploid hybrids derived from red crucian carp (♀) × common carp (♂) and then duplicated by cold shock in 4–6°C water for 10–12 min. Different cold shock initiation times resulted in two types of diploid gynogenetic grass carp: meiotic gynogenetic (meiG) and mitotic gynogenetic (mitG). Over a 5-year period, a total of 17,170 meiG and 1,080 mitG fry were produced and 6,862 meiG and 372 mitG grass carp survived. The gynogenetic fish were confirmed by morphological characteristics, chromosome examination, and microsatellite DNA analysis. The morphological traits of the gynogenetic grass carp were similar to those of wild diploid grass carp. Normal gynogenetic fish were identified as diploid with 48 chromosomes by chromosomal metaphases examination, while nonviable abnormal embryos were detected as haploid with 24 chromosomes. Microsatellite DNA analysis indicated that after one generation of gynogenesis, the genetic purity of meiG and mitG grass carp was significantly increased over that of wild grass carp. In addition, both meiG and mitG grass carp groups were 100% female, and 88% of these showed normal ovary development. Thus, the sex determination mechanism in female grass carp was homogamety. The ability to establish pure all-female groups of meiG and mitG grass carp should be a valuable contribution to both fish genetics and grass carp breeding.

This is a preview of subscription content, access via your institution.

Fig. 1
Fig. 2
Fig. 3
Fig. 4
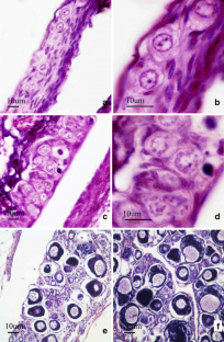
Fig. 5
Fig. 6
Fig. 7
Fig. 8

References

  • Chen SL, Tian YS, Yang JF, Shao CW, Ji XS, Zhai JM, Liao XL, Zhuang ZM, Su PZ, Xu JY, Sha ZX, Wu PF, Wang N (2009) Artificial gynogenesis and sex determination in half-smooth tongue sole (Cynoglossus semilaevis). Mar Biotechnol 11:243–251

    PubMed  Article  CAS  Google Scholar 

  • Chourrout D, Quillet E (1982) Induced gynogenesis in the rainbow trout: sex and survival of progenies production of all-triploid populations. Theor Appl Genet 63:201–205

    Article  Google Scholar 

  • Crooijmans RPMA, Bierbooms VAF, Komen J, Poel VDJJ, Groenen MAM (1997) Microsatellite markers in common carp (Cyprinus carpio L.). Anim Genet 28:129–134

    Article  CAS  Google Scholar 

  • Felip A, Zanuy S, Carrillo M, Martínez G, Ramos J, Piferrer F (1997) Optimal conditions for the induction of triploidy in the sea bass (Dicentrarchus labrax L.). Aquaculture 152:287–298

    Article  Google Scholar 

  • Geng B, Sun XW, Liang LQ, OuYang HS, Tong JG (2006) Microsatellite analysis of genetic diversity of Aristichthys nobilis in China. Hereditas 28:683–688

    PubMed  CAS  Google Scholar 

  • Gomelsky B, Cherfas NB, Peretz Y, Ben-Dom N, Hulata G (1994) Hormonal sex inversion in the common carp (Cyprinus carpio L.). Aquaculture 126:265–270

    Article  Google Scholar 

  • Komen J, Bongers ABJ, Richter CJJ, Van Muiswinkel WB, Huisman EA (1991) Gynogenesis in common carp (Cyprinus carpio L.): II. The production of homozygous gynogenetic clones and F1 hybrids. Aquaculture 92:127–142

    Article  Google Scholar 

  • Krisfalusi M, Wheeler PA, Thorgaard GH, Cloud JG (2000) Gonadal morphology of female diploid gynogenetic and triploid rainbow trout. J Exp Zool A Comp Exp Biol 286:505–512

    Article  CAS  Google Scholar 

  • Li YY, Cai MY, Wang ZY, Guo W, Liu XD, Wang XQ, Ning Y (2008) Microsatellite–centromere mapping in large yellow croaker (Pseudosciaena crocea) using gynogenetic diploid families. Mar Biotechnol 10:83–90

    PubMed  Article  CAS  Google Scholar 

  • Lin F, Dabrowski K (1996) Effects of sperm irradiation and heat shock on induction of gynogenesis in muskellunge (Esox masquinongy). Can J Fish Aquat Sci 53:2067–2075

    Article  Google Scholar 

  • Linhart O, Kvasnicka P, Slechtová V, Pokorný J (1986) Induced gynogenesis by retention of the second polar body in the common carp, Cyprinus carpio L., and heterozygosity of gynogenetic progeny in transferrin and Ldh-B1 loci. Aquaculture 54:63–67

    Article  Google Scholar 

  • Linhart O, Kvasnicka P, Flajshans M, Kasal A, Ráb P, Palecek J, Slechta V, Hamácková J, Prokes M (1995) Genetic studies with tench, Tinca tinca L.: induced meiotic gynogenesis and sex reversal. Aquaculture 132:239–251

    Article  Google Scholar 

  • Liu Y (1993) Propagation physiology of main cultivated fish in China. Agricultural Publishing House, Beijing, pp 83–88

    Google Scholar 

  • Liu ZJ, Cordes JF (2004) DNA marker technologies and their applications in aquaculture genetics. Aquaculture 238:1–37

    Article  CAS  Google Scholar 

  • Liu SJ, Liu Y, Zhou GJ, Zhang XJ, Luo C, Feng H, He XX, Zhu GH, Yang H (2001) The formation of tetraploid stocks of red crucian carp × common carp hybrids as an effect of interspecific hybridization. Aquaculture 192:171–186

    Article  Google Scholar 

  • Liu SJ, Qin QB, Wang YQ, Zhang H, Zhao RR, Zhang C, Wang J, Li W, Chen L, Xiao J, Luo KK, Tao M, Duan W, Liu Y (2010) Evidence for the formation of the male gynogenetic fish. Mar Biotechnol 12:160–172

    PubMed  Article  CAS  Google Scholar 

  • Mcconnell S, Hamilton L, Morris D, Cook D, Paquet D, Bentzen P, Wright J (1995) Isolation of salmonid microsatellite loci and their application to the population genetics of Canadian east coast stocks of Atlantic salmon. Aquaculture 137:19–30

    Article  Google Scholar 

  • Nakamura M, Kobayashi T, Chang XT, Nagahama Y (1998) Gonadal sex differentiation in teleost fish. J Exp Zool 281:362–372

    Article  Google Scholar 

  • Omoto N, Maebayashi M, Adachi S, Arai K, Yamauchi K (2005) Sex ratios of triploids and gynogenetic diploids induced in the hybrid sturgeon, the bester (Huso huso female × Acipenser ruthenus male). Aquaculture 245:39–47

    Article  Google Scholar 

  • Pandian TJ, Koteeswaran R (1998) Ploidy induction and sex control in fish. Hydrobiologia 384:167–243

    Article  Google Scholar 

  • Pongthana N, Penman DJ, Karnasuta J, Mcandrew BJ (1995) Induced gynogenesis in the silver barb (Puntius gonionotus Bleeker) and evidence for female homogamety. Aquaculture 135:267–276

    Article  Google Scholar 

  • Purdom CE (1983) Genetic engineering by the manipulation of chromosomes. Aquaculture 33:287–300

    Article  Google Scholar 

  • Rothbard S, Shelton W, Kulikovsky Z, Rubinshtein I, Hagani Y, Moav B (1997) Chromosome set manipulations in the black carp. Aquac Int 5:51–64

    Article  Google Scholar 

  • Rougeot C, Ngingo JV, Gillet L, Vanderplasschen A, Mélard C (2005) Gynogenesis induction and sex determination in the Eurasian perch, Perca fluviatilis. Aquaculture 243:411–415

    Article  Google Scholar 

  • Sambrook J, Fritsch EF, Maniatis T (1989) Molecular cloning: a laboratory manual, 2nd edn. Cold Spring Harbor Laboratory, New York

    Google Scholar 

  • Stanley JG, Martin JM, Jones JB (1975) Gynogenesis as a possible method for producing monose × grass carp (Ctenopharyngodon idella). Prog Fish Cult 37:25–26

    Article  Google Scholar 

  • Strüssmann C, Nakamura M (2002) Morphology, endocrinology, and environmental modulation of gonadal sex differentiation in teleost fishes. Fish Physiol Biochem 26:13–29

    Article  Google Scholar 

  • Sun YD, Zhang C, Liu SJ, Tao M, Zeng C, Liu Y (2006) Induction of gynogenesis in Japanese crucian carp (Carassius cuvieri). Chin J Genet 33:405–412

    Google Scholar 

  • Sun YD, Tao M, Liu SJ, Zhang C, Duan W, Shen JM, Wang J, Zeng C, Long Y, Liu Y (2007) Induction of gynogenesis in red crucian carp using spermatozoa of blunt snout bream. Prog Nat Sci 17:163–167

    Article  Google Scholar 

  • Suzuki R, Oshiro T, Nakanishi T (1985) Survival, growth and fertility of gynogenetic diploids induced in the cyprinid loach, Misgurnus anguillicaudatus. Aquaculture 48:45–55

    Article  Google Scholar 

  • Váradi L, Benkó I, Varga J, Horváth L (1999) Induction of diploid gynogenesis using interspecific sperm and production of tetraploids in African catfish, Clarias gariepinus Burchell (1822). Aquaculture 173:401–411

    Article  Google Scholar 

  • Waldbieser GC, Bosworth BG, Quiniou SM (2010) Production of viable homozygous, doubled haploid channel catfish (Ictalurus punctatus). Mar Biotechnol 12:380–385

    PubMed  Article  CAS  Google Scholar 

  • Wang JX, Liu HJ, Min WQ, Tong JG, Guan M, Han YZ, Gong LJ, Huang Z, Ren J, Zhang JP, Zheng HP (2006) Induced meiotic gynogenesis in tench, Tinca tinca (L.) using irradiated heterogenic sperm. Aquac Int 14:35–42

    Article  Google Scholar 

  • Wright JM, Bentzen P (1994) Microsatellites: genetic markers for the future. Rev Fish Biol Fish 4:384–388

    Article  Google Scholar 

  • Xu JH, You F, Yan BL, Zhang PJ (2007) Effects of ultra-violet irradiation on sperm motility and diploid gynogenesis induction in large yellow croaker (Pseudosciaena crocea) undergoing cold shock. Aquac Int 15:371–382

    Article  Google Scholar 

  • Xu JH, You F, Sun W, Yan BL, Zhang PJ, Jing BX (2008) Induction of diploid gynogenesis in turbot Scophthalmus maximus with left-eyed flounder Paralichthys olivaceus sperm. Aquac Int 16:623–634

    Article  Google Scholar 

  • Yan JP, Liu SJ, Sun YD, Zhang C, Luo KK, Liu Y (2005) RAPD and microsatellite analysis of diploid gynogens from allotetraploid hybrids of red crucian carp (Carassius auratus) × common carp (Cyprinus carpio). Aquaculture 243:49–60

    Article  CAS  Google Scholar 

  • You CH, Yu XM, Tan DQ, Tong JG (2008) Gynogenesis and sex determination in large-scale loach Paramisgurnus dabryanus (Sauvage). Aquac Int 16:203–214

    Article  Google Scholar 

Download references

Acknowledgments

This research was supported by grants from the National Science Fund for Distinguished Young Scholars (no. 30725028), the National Natural Science Foundation of China (no. 30930071), and the State Key Basic Research Project of China (abbreviate: 973 project, grant no. 2007CB109206).

Author information

Affiliations

Authors

Corresponding author

Correspondence to ShaoJun Liu.

Rights and permissions

Reprints and Permissions

About this article

Cite this article

Zhang, H., Liu, S., Zhang, C. et al. Induced Gynogenesis in Grass Carp (Ctenopharyngodon idellus) Using Irradiated Sperm of Allotetraploid Hybrids. Mar Biotechnol 13, 1017–1026 (2011). https://doi.org/10.1007/s10126-011-9365-8

Download citation

  • Received:

  • Accepted:

  • Published:

  • Issue Date:

  • DOI: https://doi.org/10.1007/s10126-011-9365-8

Keywords

  • Grass carp
  • Gynogenesis
  • Microsatellite
  • Sex determination