Abstract
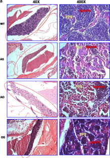
To generate a zebrafish model of inducible male sterility, we expressed an Escherichia coli nitroreductase (Ntr) gene in the male germ line of zebrafish. The Ntr gene encodes an enzyme that can convert prodrugs such as metronidazole (Met) to cytotoxins. A fusion protein eGFP:Ntr (fusing Ntr to eGFP) under control of ∼ 2 kb putative promoters of the zebrafish testis-specific genes, A-kinase anchoring protein-associated protein (Asp), outer dense fibers (Odf), and sperm acrosomal membrane-associated protein (Sam) was expressed in the male germ line. Three independent and four compound transgenic zebrafish lines expressing eGFP:Ntr were established. Female carriers were fertile, while males exhibited different levels of sterility and appeared normal, otherwise. Developmental analysis shows that germ cells survived and testes were normal before Met treatment, but that the testes of all male transgenic zebrafish exhibited variously depleted prospermatogonia after Met treatment. Particularly in a triple-transgenic line, Tg(AOS-eGFP:Ntr)[Tg(Asp-eGFP:Ntr; Odf-eGFP:Ntr; Sam-eGFP:Ntr)], the transgenic males had very small testes that were virtually devoid of germ cells, and the residual germ cells had almost completely disappeared after 2 weeks of Met treatment. These zebrafish transgenic lines show the complete testis specificity of inducible male sterility after Met treatment and reveal a period of the Ntr/Met ablation activity just prior to formation of the definitive adult spermatogonial cell population. This study demonstrates that combined genetic and pharmacological methods for developing an “infertile breeding technology” have practical application in controlling genetically modified (GM) fish breeding and meet the standards of biological and environment safety for other GM species.








References
Alestrom P, Holter JL, Nourizadeh-Lillabadi R (2006) Zebrafish in functional genomics and aquatic biomedicine. Trends Biotechnol 24:15–21
Andersen L, Holbech H, Gessbo A, Norrgren L, Petersen GI (2003) Effects of exposure to 17alpha-ethinylestradiol during early development on sexual differentiation and induction of vitellogenin in zebrafish (Danio rerio). Comp Biochem Physiol C Toxicol Pharmacol 134:365–374
Anway MD, Ravindranath N, Dym M, Griswold MD (2002) Identification of a murine testis complementary DNA encoding a homolog to human A-kinase anchoring protein-associated sperm protein. Biol Reprod 66:1755–1761
Bartell JG, Fantz DA, Davis T, Dewey MJ, Kistler MK, Kistler WS (2000) Elimination of male germ cells in transgenic mice by the diphtheria toxin A chain gene directed by the histone H1t promoter. Biol Reprod 63:409–416
Bigler F (2006) 9th international symposium on the biosafety of genetically modified organisms. Session II: identifying and defining hazards and potential consequences I: concepts for problem formulation and non-target risk assessment. Environ Biosafety Res 5:183–186
Camatini M, Colombo A, Bonfanti P (1992) Cytoskeletal elements in mammalian spermiogenesis and spermatozoa. Microsc Res Tech 20:232–250
Chen TT, Vrolijk NH, Lu JK, Lin CM, Reimschuessel R, Dunham RA (1996) Transgenic fish and its application in basic and applied research. Biotechnol Annu Rev 2:205–236
Curado S, Anderson RM, Jungblut B, Mumm J, Schroeter E, Stainier DY (2007) Conditional targeted cell ablation in zebrafish: a new tool for regeneration studies. Dev Dyn 236:1025–1035
Curado S, Stainier DY, Anderson RM (2008) Nitroreductase-mediated cell/tissue ablation in zebrafish: a spatially and temporally controlled ablation method with applications in developmental and regeneration studies. Nat Protoc 3:948–954
Dahm R, Geisler R (2006) Learning from small fry: the zebrafish as a genetic model organism for aquaculture fish species. Mar Biotechnol (NY) 8:329–345
Devlin RH, Sundstrom LF, Muir WM (2006) Interface of biotechnology and ecology for environmental risk assessments of transgenic fish. Trends Biotechnol 24:89–97
Eddy EM (2002) Male germ cell gene expression. Recent Prog Horm Res 57:103–128
Esengil H, Chen JK (2008) Gene regulation technologies in zebrafish. Mol Biosyst 4:300–308
Feitsma H, Leal MC, Moens PB, Cuppen E, Schulz RW (2007) Mlh1 deficiency in zebrafish results in male sterility and aneuploid as well as triploid progeny in females. Genetics 175:1561–1569
Foresta C, Selice R, Garolla A, Ferlin A (2008) Follicle-stimulating hormone treatment of male infertility. Curr Opin Urol 18:602–607
Garcia-Alonso M, Jacobs E, Raybould A, Nickson TE, Sowig P, Willekens H, Van Der Kouwe P, Layton R, Amijee F, Fuentes AM, Tencalla F (2006) A tiered system for assessing the risk of genetically modified plants to non-target organisms. Environ Biosafety Res 5:57–65
Govin J, Caron C, Lestrat C, Rousseaux S, Khochbin S (2004) The role of histones in chromatin remodelling during mammalian spermiogenesis. Eur J Biochem 271:3459–3469
Her GM, Chiang CC, Chen WY, Wu JL (2003) In vivo studies of liver-type fatty acid binding protein (L-FABP) gene expression in liver of transgenic zebrafish (Danio rerio). FEBS Lett 538:125–133
Hosoda Y, Sasaki N, Agui T (2008) Female infertility in grt mice is caused by thyroid hormone deficiency, not by insufficient TPST2 activity in the reproductive organs. J Vet Med Sci 70:1043–1049
Kel-Margoulis OV, Kel AE, Reuter I, Deineko IV, Wingender E (2002) TRANSCompel: a database on composite regulatory elements in eukaryotic genes. Nucleic Acids Res 30:332–334
Kurita R, Sagara H, Aoki Y, Link BA, Arai K, Watanabe S (2003) Suppression of lens growth by alphaA-crystallin promoter-driven expression of diphtheria toxin results in disruption of retinal cell organization in zebrafish. Dev Biol 255:113–127
Lieschke GJ, Currie PD (2007) Animal models of human disease: zebrafish swim into view. Nat Rev Genet 8:353–367
Matys V, Kel-Margoulis OV, Fricke E, Liebich I, Land S, Barre-Dirrie A, Reuter I, Chekmenev D, Krull M, Hornischer K, Voss N, Stegmaier P, Lewicki-Potapov B, Saxel H, Kel AE, Wingender E (2006) TRANSFAC and its module TRANSCompel: transcriptional gene regulation in eukaryotes. Nucleic Acids Res 34:D108–D110
Meistrich ML, Mohapatra B, Shirley CR, Zhao M (2003) Roles of transition nuclear proteins in spermiogenesis. Chromosoma 111:483–488
Monma K, Araki R, Ichikawa H, Sato M, Uno N, Sato K, Tobe T, Kuribara H, Matsuoka T, Hino A, Saito K (2004) Detection of genetically modified organisms obtained from food samples. Shokuhin Eiseigaku Zasshi 45:184–190
Orban L, Sreenivasan R, Olsson PE (2009) Long and winding roads: testis differentiation in zebrafish. Mol Cell Endocrinol 312:35–41
Petersen C, Aumuller G, Bahrami M, Hoyer-Fender S (2002) Molecular cloning of Odf3 encoding a novel coiled-coil protein of sperm tail outer dense fibers. Mol Reprod Dev 61:102–112
Pisharath H, Parsons MJ (2009) Nitroreductase-mediated cell ablation in transgenic zebrafish embryos. Methods Mol Biol 546:133–143
Pisharath H, Rhee JM, Swanson MA, Leach SD, Parsons MJ (2007) Targeted ablation of beta cells in the embryonic zebrafish pancreas using e. coli nitroreductase. Mech Dev 124:218–229
Ramalho-Santos J, Schatten G, Moreno RD (2002) Control of membrane fusion during spermiogenesis and the acrosome reaction. Biol Reprod 67:1043–1051
Rocha A, Ruiz S, Estepa A, Coll JM (2004) Application of inducible and targeted gene strategies to produce transgenic fish: a review. Mar Biotechnol (NY) 6:118–127
Rosales JL, Lee BC, Modarressi M, Sarker KP, Lee KY, Jeong YG, Oko R (2004) Outer dense fibers serve as a functional target for Cdk5.p35 in the developing sperm tail. J Biol Chem 279:1224–1232
Santos EM, Workman VL, Paull GC, Filby AL, Van Look KJ, Kille P, Tyler CR (2007) Molecular basis of sex and reproductive status in breeding zebrafish. Physiol Genomics 30:111–122
Sato M, Tanigawa M (2005) Production of CETD transgenic mouse line allowing ablation of any type of specific cell population. Mol Reprod Dev 72:54–67
Shanahan J (2001) The polls-trends: attitudes about agricultural biotechnology and genetically modified organisms. Public Opin Q 65:267–281
Shetty J, Wolkowicz MJ, Digilio LC, Klotz KL, Jayes FL, Diekman AB, Westbrook VA, Farris EM, Hao Z, Coonrod SA, Flickinger CJ, Herr JC (2003) SAMP14, a novel, acrosomal membrane-associated, glycosylphosphatidylinositol-anchored member of the Ly-6/urokinase-type plasminogen activator receptor superfamily with a role in sperm-egg interaction. J Biol Chem 278:30506–30515
Siegfried KR, Nusslein-Volhard C (2008) Germ line control of female sex determination in zebrafish. Dev Biol 324:277–287
Slanchev K, Stebler J, De La Cueva-Mendez G, Raz E (2005) Development without germ cells: the role of the germ line in zebrafish sex differentiation. Proc Natl Acad Sci U S A 102:4074–4079
Smith SJ, Kotecha S, Towers N, Mohun TJ (2007) Targeted cell-ablation in xenopus embryos using the conditional, toxic viral protein M2(H37A). Dev Dyn 236:2159–2171
Strand R (2001) The role of risk assessments in the governance of genetically modified organisms in agriculture. J Hazard Mater 86:187–204
Takahashi H (1977) Juvenile hermaphroditism in the zebrafish, Brachydanio rerio. Bull Fac Fish Hokkaido Univ 28:57–65
Tanaka H, Baba T (2005) Gene expression in spermiogenesis. Cell Mol Life Sci 62:344–354
Uchida D, Yamashita M, Kitano T, Iguchi T (2002) Oocyte apoptosis during the transition from ovary-like tissue to testes during sex differentiation of juvenile zebrafish. J Exp Biol 205:711–718
Uchida D, Yamashita M, Kitano T, Iguchi T (2004) An aromatase inhibitor or high water temperature induce oocyte apoptosis and depletion of P450 aromatase activity in the gonads of genetic female zebrafish during sex-reversal. Comp Biochem Physiol A Mol Integr Physiol 137:11–20
Wan H, Korzh S, Li Z, Mudumana SP, Korzh V, Jiang YJ, Lin S, Gong Z (2006) Analyses of pancreas development by generation of gfp transgenic zebrafish using an exocrine pancreas-specific elastaseA gene promoter. Exp Cell Res 312:1526–1539
Williams CK (2002) Risk assessment for release of genetically modified organisms: a virus to reduce the fertility of introduced wild mice, Mus domesticus. Reprod Suppl 60:81–88
Acknowledgments
We thank Yin-Shan Chang and Yun-Sheng Shieh for assistance with zebrafish maintenance and breeding. This work was supported by grants from Taiwan National Science Council grant NSC 97-2317-B-019-001 and Ministry of Education for Promoting Academic Excellence of Center for Marine Bioscience Biotechnology (CMBB) grant 98529002AB to Guor Mour Her.
Author information
Authors and Affiliations
Corresponding author
Additional information
Grant Sponsor
Taiwan National Science Council grant NSC 97-2317-B-019-001 and Ministry of Education for Promoting Academic Excellence of Center for Marine Bioscience Biotechnology (CMBB) grant 98529002AB
Rights and permissions
About this article
Cite this article
Hsu, CC., Hou, MF., Hong, JR. et al. Inducible Male Infertility by Targeted Cell Ablation in Zebrafish Testis. Mar Biotechnol 12, 466–478 (2010). https://doi.org/10.1007/s10126-009-9248-4
Received:
Accepted:
Published:
Issue Date:
DOI: https://doi.org/10.1007/s10126-009-9248-4