Abstract
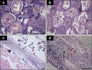
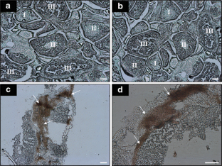
Genetically modified (GM) fish with desirable features such as rapid growth, disease resistance, and cold tolerance, among other traits, have been established in aquaculture. However, commercially available GM fish are restricted because of global concerns over the incomplete assessments of food safety and ecological impact. The ecological impact concerns include gene flow and escape of the GM fish, which may cause extinction of wild natural fish stocks. Infertility control is a core technology for overcoming this obstacle. Although polyploidy technology, GnRH-specific antisense RNA, and RNAi against GnRH gene expression have been used to cause infertility in fish, these approaches are not 100% reliable and are not heritable. In the present study, zebrafish was used as a model to establish an inducible platform of infertility control in GM fish. Nitroreductase, which converts metronidazole substrate into cytotoxin, was fused with EGFP and expressed specifically by oocytes in the Tg(ZP:NTR-EGFP) by a zona pellucida promoter. Through consecutive immersion of metronidazole from 28 to 42 days posthatching, oocyte-specific EGFP expression was eliminated, and atrophy of the gonads was detected by anatomical analysis. These findings reveal that oocyte-specific nitroreductase-mediated catalysis of metronidazole blocks oogenesis and leads to an undeveloped oocyte. Furthermore, oocyte cell death via apoptosis was detected by a TUNEL assay. We found that the gonadal dysgenesis induced by metronidazole resulted in activation of the ovarian killer gene bok, which is a proapoptotic gene member of the Bcl-2 family and led to infertility. These results show that oocyte-specific nitroreductase-mediated catalysis of metronidazole can cause reliable infertility in zebrafish and could potentially be used as a model for other aquaculture fish species.






References
Brown CY, Bowers SJ, Loring G, Heberden C, Lee RM, Neiman PE (2004) Role of Mtd/Bok in normal and neoplastic B-cell development in the bursa of Fabricius. Dev Comp Immunol 28:619–634
Chen TT, Kight K, Lin CM, Powers DA, Hayat M, Chatakondi N, Ramboux AC, Duncan PL, Dunham RA (1993) Expression and inheritance of RSVLTR-rtGH1 complementary DNA in the transgenic common carp, Cyprinus carpio. Mol Mar Biol Biotechnol 2:88–95
Curado S, Anderson RM, Jungblut B, Mumm J, Schroeter E, Stainier DY (2007) Conditional targeted cell ablation in zebrafish: a new tool for regeneration studies. Dev Dyn 236:1025–1035
Curado S, Stainier DY, Anderson RM (2008) Nitroreductase-mediated cell/tissue ablation in zebrafish: a spatially and temporally controlled ablation method with applications in developmental and regeneration studies. Nat Protoc 3:948–954
Dahm R, Geisler R (2006) Learning from small fry: the zebrafish as a genetic model organism for aquaculture fish species. Mar Biotechnol (NY) 8:329–345
Devlin RH, Byatt JC, McLean E, Yesaki TY, Krivi GG, Jaworski EG, Clarke WC, Donaldson EM (1994) Bovine placental lactogen is a potent stimulator of growth and displays strong binding to hepatic receptor sites of coho salmon. Gen Comp Endocrinol 95:31–41
Dunham RA, Ramboux AC, Duncan PL, Hayat M, Chen TT, Lin CM, Kight K, Gonzalez-Villasenor I, Powers DA (1992) Transfer, expression, and inheritance of salmonid growth hormone genes in channel catfish, Ictalurus punctatus, and effects on performance traits. Mol Mar Biol Biotechnol 1:380–389
Edwards DI (1993) Nitroimidazole drugs–action and resistance mechanisms. II. Mechanisms of resistance. J Antimicrob Chemother 31:201–210
Greco O, Dachs GU (2001) Gene directed enzyme/prodrug therapy of cancer: historical appraisal and future prospectives. J Cell Physiol 187:22–36
Ha SH, Lee SR, Lee TH, Kim YM, Baik MG, Choi YJ (2001) The expression of Bok is regulated by serum in HC11 mammary epithelial cells. Mol Cells 12:368–371
Harris JD, Hibler DW, Fontenot GK, Hsu KT, Yurewicz EC, Sacco AG (1994) Cloning and characterization of zona pellucida genes and cDNAs from a variety of mammalian species: the ZPA, ZPB and ZPC gene families. DNA Seq 4:361–393
Hew CL, Davies PL, Fletcher G (1992) Antifreeze protein gene transfer in Atlantic salmon. Mol Mar Biol Biotechnol 1:309–317
Hsu SY, Kaipia A, McGee E, Lomeli M, Hsueh AJ (1997) Bok is a pro-apoptotic Bcl-2 protein with restricted expression in reproductive tissues and heterodimerizes with selective anti-apoptotic Bcl-2 family members. Proc Natl Acad Sci USA 94:12401–12406
Hu W, Li S, Tang B, Wang Y, Lin H, Liu X, Zou J, Zhu Z (2007) Antisense for gonadotropin-releasing hormone reduces gonadotropin synthesis and gonadal development in transgenic common carp (Cyprinus carpio). Aquaculture 271:498–506
Jia X, Patrzykat A, Devlin RH, Ackerman PA, Iwama GK, Hancock RE (2000) Antimicrobial peptides protect coho salmon from Vibrio anguillarum infections. Appl Environ Microbiol 66:1928–1932
Kawakami K (2004) Transgenesis and gene trap methods in zebrafish by using the Tol2 transposable element. Methods Cell Biol 77:201–222
Kratz E, Eimon PM, Mukhyala K, Stern H, Zha J, Strasser A, Hart R, Ashkenazi A (2006) Functional characterization of the Bcl-2 gene family in the zebrafish. Cell Death Differ 13:1631–1640
Lindmark DG, Muller M (1976) Antitrichomonad action, mutagenicity, and reduction of metronidazole and other nitroimidazoles. Antimicrob Agents Chemother 10:476–482
Liu X, Wang H, Gong Z (2006) Tandem-repeated Zebrafish zp3 genes possess oocyte-specific promoters and are insensitive to estrogen induction. Biol Reprod 74:1016–1025
Lukashev AN, Fuerer C, Chen MJ, Searle P, Iggo R (2005) Late expression of nitroreductase in an oncolytic adenovirus sensitizes colon cancer cells to the prodrug CB1954. Hum Gene Ther 16:1473–1483
Maclean N, Rahman MA, Sohm F, Hwang G, Iyengar A, Ayad H, Smith A, Farahmand H (2002) Transgenic tilapia and the tilapia genome. Gene 295:265–277
Mold DE, Kim IF, Tsai CM, Lee D, Chang CY, Huang RC (2001) Cluster of genes encoding the major egg envelope protein of zebrafish. Mol Reprod Dev 58:4–14
Palmer DH, Milner AE, Kerr DJ, Young LS (2003) Mechanism of cell death induced by the novel enzyme-prodrug combination, nitroreductase/CB1954, and identification of synergism with 5-fluorouracil. Br J Cancer 89:944–950
Pisharath H, Rhee JM, Swanson MA, Leach SD, Parsons MJ (2007) Targeted ablation of beta cells in the embryonic zebrafish pancreas using E. coli nitroreductase. Mech Dev 124:218–229
Plumb JA, Bilsland A, Kakani R, Zhao J, Glasspool RM, Knox RJ, Evans TR, Keith WN (2001) Telomerase-specific suicide gene therapy vectors expressing bacterial nitroreductase sensitize human cancer cells to the pro-drug CB1954. Oncogene 20:7797–7803
Rahman MA, Mak R, Ayad H, Smith A, Maclean N (1998) Expression of a novel piscine growth hormone gene results in growth enhancement in transgenic tilapia (Oreochromis niloticus). Transgenic Res 7:357–369
Razak SA, Hwang GL, Rahman MA, Maclean N (1999) Growth performance and gonadal development of growth enhanced transgenic tilapia Oreochromis niloticus (L.) following heat-shock-induced triploidy. Mar Biotechnol (NY) 1:533–544
Selman K, Wallace R, Sarka A, Qi X (1993) Stages of oocyte development in the zebrafish, Brachydanio rerio. J Morphol 218:203–224
Shike H, Lauth X, Westerman ME, Ostland VE, Carlberg JM, Van Olst JC, Shimizu C, Bulet P, Burns JC (2002) Bass hepcidin is a novel antimicrobial peptide induced by bacterial challenge. Eur J Biochem 269:2232–2237
Slanchev K, Stebler J, de la Cueva-Mendez G, Raz E (2005) Development without germ cells: the role of the germ line in zebrafish sex differentiation. Proc Natl Acad Sci USA 102:4074–4079
Suominen JS, Yan W, Toppari J, Kaipia A (2001) The expression and regulation of Bcl-2-related ovarian killer (Bok) mRNA in the developing and adult rat testis. Eur J Endocrinol 145:771–778
Uzbekova S, Chyb J, Ferriere F, Bailhache T, Prunet P, Alestrom P, Breton B (2000) Transgenic rainbow trout expressed sGnRH-antisense RNA under the control of sGnRH promoter of Atlantic salmon. J Mol Endocrinol 25:337–350
Wan H, Korzh S, Li Z, Mudumana SP, Korzh V, Jiang YJ, Lin S, Gong Z (2006) Analyses of pancreas development by generation of gfp transgenic zebrafish using an exocrine pancreas-specific elastaseA gene promoter. Exp Cell Res 312:1526–1539
Wang H, Gong Z (1999) Characterization of two zebrafish cDNA clones encoding egg envelope proteins ZP2 and ZP3. Biochim Biophys Acta 1446:156–160
Wong AC, Van Eenennaam AL (2008) Transgenic approaches for the reproductive containment of genetically engineered fish. Aquaculture 275:1–12
Zeng S, Gong Z (2002) Expressed sequence tag analysis of expression profiles of zebrafish testis and ovary. Gene 294:45–53
Zhu Z, Li G, He L, Chen S (1985) Novel gene transfer into fertilized eggs of goldfish (Carassius auratus L 1758). J Appl Ichthyol 1:31–34
Acknowledgments
We would like to thank Dr. Jenn-Kan Lu at the National Taiwan Ocean University and our colleagues for their helpful criticism and suggestions. This work was supported by grants from the Academia Sinica, Taiwan (94S-1402), the National Science Council NSC 97-2317-B-001-012-CC1, and GeneReach Biotechnology Corporation.
Author information
Authors and Affiliations
Corresponding author
Rights and permissions
About this article
Cite this article
Hu, SY., Lin, PY., Liao, CH. et al. Nitroreductase-mediated Gonadal Dysgenesis for Infertility Control of Genetically Modified Zebrafish. Mar Biotechnol 12, 569–578 (2010). https://doi.org/10.1007/s10126-009-9244-8
Received:
Accepted:
Published:
Issue Date:
DOI: https://doi.org/10.1007/s10126-009-9244-8