Skip to main content

Treatment of intravitreal bevacizumab combined with focal laser photocoagulation in the case of macular telangiectasia type 2 with retinal arterial macroaneurysm

Abstract

Macular telangiectasia type 2 (Mac Tel 2) is a bilateral disease of unknown cause with characteristic changes of the retinal vasculature. To the best of our knowledge, we could not find any reported cases of Mac Tel 2 with retinal arterial macroaneurysm (RAM). Our aim is to report a case of Mac Tel 2 with RAM.

This is a preview of subscription content, access via your institution.

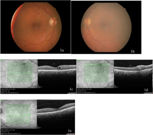
Fig. 1
Fig. 2
Fig. 3
Fig. 4

References

  1. Gass JD, Blodi BA (1993) Idiopathic juxtafoveolar retinal telangiectasis. Update of classification and follow-up study. Ophthalmology 100:1536–1546

    Article  CAS  PubMed  Google Scholar 

  2. Yannuzzi LA, Bardal AM, Freund KB, Chen KJ, Eandi CM, Blodi B (2006) Idiopathic macular telangiectasia. Arch Ophthalmol 124:450–460

    Article  PubMed  Google Scholar 

  3. Gass JD, Oyakawa RT (1982) Idiopathic juxtafoveolar retinal telangiectasis. Arch Ophthalmol 100:769–780

    Article  CAS  PubMed  Google Scholar 

  4. Tonotsuka T, Mai M, Saito K, Iijima H (2003) Visual prognosis for symptomatic retinal arterial macroaneurysm. Jpn J Ophthalmol 47:498–502

    Article  PubMed  Google Scholar 

  5. Rabb MF, Gagliano DA, Teske MP (1988) Retinal arterial macroaneurysms. Surv Ophthalmol 33:73–96

    Article  CAS  PubMed  Google Scholar 

  6. Clemons TE, Gillies MC, Chew EY et al (2008) The national eye institute visual function questionnaire in the macular telangiectasia (MacTel) project. Invest Ophthalmol Vis Sci 49:4340–4346

    Article  PubMed  PubMed Central  Google Scholar 

  7. Charbel Issa P, Finger RP, Kruse K et al (2011) Monthly ranibizumab for non-proliferative macular telangiectasia type 2: a 12-month prospective study. Am J Ophthalmol 151:876–886

    Article  CAS  PubMed  Google Scholar 

  8. Park DW, Schatz H, McDonald HR et al (1997) Grid laser photocoagulation for macular edema in bilateral juxtafoveal telangiectasis. Ophthalmology 104:1838–1846

    Article  CAS  PubMed  Google Scholar 

  9. De Lahitte GD, Cohen SY, Gaudric A (2004) Lack of apparent short-term benefit of photodynamic therapy in bilateral, acquired parafoveal telangiectasis without subretinal neovascularization. Am J Ophthalmol 138:892–894

    Article  PubMed  Google Scholar 

  10. Moon SJ, Berger AS, Tolentino MJ et al (2007) Intravitreal bevacizumab for macular edema from idiopathic juxtafoveal retinal telangiectasis. Ophthalmic Surg Lasers Imaging 38:164e6

    Google Scholar 

  11. Moosavi RA, Fong KC, Chopdar A (2006) Retinal artery macroaneurysms: clinical and fluorescein angiographic features in 34 patients. Eye (Lond) 20:1011–1020

    Article  CAS  Google Scholar 

  12. Tsujikawa A, Sakamoto A, Ota M et al (2009) Retinal structural changes associated with retinal arterial macroaneurysm examined with optical coherence tomography. Retina 29:782–792

    Article  PubMed  Google Scholar 

  13. Cahuzac A, Scemama C, Mauget-Faÿsse M et al (2016) Retinal arterial macroaneurysms: clinical, angiographic, and tomographic description and therapeutic management of a series of 14 cases. Eur J Ophthalmol 26:36–43

    Article  PubMed  Google Scholar 

  14. Lavin MJ, Marsh RJ, Peart S et al (1987) Retinal arterial macroaneurysms: a retrospective study of 40 patients. Br J Ophthalmol 71:817–825

    Article  CAS  PubMed  PubMed Central  Google Scholar 

  15. Suzuma I, Hata Y, Clermont A, Pokras F, Rook SL, Suzuma K et al (2001) Cyclic stretch and hypertension induce retinal expression of vascular endothelial growth factor and vascular endothelial growth factor receptor-2: potential mechanisms for exacerbation of diabetic retinopathy by hypertension. Diabetes 50:444–454

    Article  CAS  PubMed  Google Scholar 

  16. Erol MK, Dogan B, Coban DT, Toslak D, Cengiz A, Ozel D (2015) Intravitreal Ranibizumab therapy for retinal arterial macroaneurysm. Int J Clin Exp Med 8(7):11572–11578

    PubMed  PubMed Central  Google Scholar 

  17. Pichi F, Morara M, Torrazza C, Manzi G, Alkabes M, Balducci N, Vitale L, Lembo A, Ciardella AP, Nucci P (2013) Intravitreal bevacizumab for macular complications from retinal arterial macroaneurysms. Am J Ophthalmol 155:287–294

    Article  CAS  PubMed  Google Scholar 

Download references

Author information

Affiliations

Authors

Corresponding author

Correspondence to Gökhan Demir.

Rights and permissions

Reprints and Permissions

About this article

Verify currency and authenticity via CrossMark

Cite this article

Demir, G., Artunay, Ö., Sucu, M.E. et al. Treatment of intravitreal bevacizumab combined with focal laser photocoagulation in the case of macular telangiectasia type 2 with retinal arterial macroaneurysm. Lasers Med Sci 34, 235–238 (2019). https://doi.org/10.1007/s10103-018-2548-z

Download citation

  • Received:

  • Accepted:

  • Published:

  • Issue Date:

  • DOI: https://doi.org/10.1007/s10103-018-2548-z

Keywords

  • Macular telangiectasia
  • Retinal arterial macroaneurysm
  • Focal laser photocoagulation