Skip to main content

Ultrasound assessment of diaphragm function in patients with late-onset Pompe disease

Abstract

Introduction

Late-Onset Pompe Disease (LOPD) is characterized by progressive limb-girdle muscle weakness and respiratory dysfunction. Diaphragm is the most impaired muscle in LOPD and its dysfunction cause major respiratory symptoms. The aim of this study was to evaluate the correlation between diaphragm thickness and mobility assessed by ultrasonography and respiratory function and muscle strength tests in patients with LOPD.

Methods

17 patients with LOPD (9 female, 47 ± 15 years) and 17 age and gender-matched healthy controls underwent spirometry, muscle strength testing, and ultrasound evaluation of diaphragm excursion and thickness.

Results

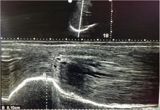
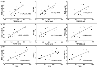
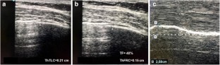
The following parameters were significantly reduced in LOPD patients versus controls (all p < 0.001): forced vital capacity (FVC) in seated and supine position, maximum inspiratory and expiratory pressure (MIP and MEP), diaphragm excursion, thickness at functional residual capacity (FRC) and total lung capacity (TLC), and thickness fraction (TF). Ultrasound studies of diaphragm thickness at FRC correlated with MIP (r = 0.74; p < 0.0001) and seated FVC(r = 0.73; p < 0.05). Diaphragm thickness at TLC correlated with MIP (r = 0.85; p < 0.0001) and FVC in both seated (r = 0.77; p < 0.0001) and supine position (r = 0.68; p < 0.05). TF correlated significantly with MIP (r = 0.80; p < 0.001), FVC in both seated (r = 0.66; p < 0,005) and supine position (r = 0.61; p < 0.05). Interestingly diaphragm thickness at FRC correlated with disease duration (years) in LOPD patients (r = −0.53; p < 0,05). Ultrasound diaphragm mobility correlated with diaphragm thickness at TLC(r = 0.87; p < 0.0001), FRC (r = 0.84; p < 0.005) and TF (r = 0.73; p < 0.05). Moreover diaphragm mobility correlated with FVC in seated(r = 0.79; p < 0.005) and supine position(r = 0.74; p < 0.05) and MIP (r = 0.81; p < 0.005).

Conclusion

Diaphragm ultrasonography is a simple and reproducible technique for manage respiratory dysfunction in LOPD patients.

This is a preview of subscription content, access via your institution.

Fig. 1
Fig. 2
Fig. 3
Fig. 4
Fig. 5
Fig. 6
Fig. 7

References

  1. Montagnese F, Barca E, Musumeci O, Mondello S, Migliorato A, Ciranni A, Rodolico C, De Filippi P, Danesino C, Toscano A (2015) Clinical and molecular aspects of 30 patients with late-onset Pompe disease (LOPD): unusual features and response to treatment. J Neurol 262(4):968–978. https://doi.org/10.1007/s00415-015-7664-0

    CAS  Article  PubMed  Google Scholar 

  2. Toscano A, Rodolico C, Musumeci O (2019) Multisystem late onset Pompe disease (LOPD): an update on clinical aspects. Annals of translational medicine 7(13):284. https://doi.org/10.21037/atm.2019.07.24

    CAS  Article  PubMed  PubMed Central  Google Scholar 

  3. van der Ploeg AT, Reuser AJ (2008) Pompe's disease. Lancet 372(9646):1342–1353. https://doi.org/10.1016/S0140-6736(08)61555-X

    CAS  Article  PubMed  Google Scholar 

  4. Toscano A, Schoser B (2013) Enzyme replacement therapy in late-onset Pompe disease: a systematic literature review. J Neurol 260(4):951–959. https://doi.org/10.1007/s00415-012-6636-x

    CAS  Article  PubMed  Google Scholar 

  5. Schoser B, Stewart A, Kanters S, Hamed A, Jansen J, Chan K, Karamouzian M, Toscano A (2017) Survival and long-term outcomes in late-onset Pompe disease following alglucosidase alfa treatment: a systematic review and meta-analysis. J Neurol 264(4):621–630. https://doi.org/10.1007/s00415-016-8219-8

    CAS  Article  PubMed  Google Scholar 

  6. van der Ploeg AT, Clemens PR, Corzo D, Escolar DM, Florence J, Groeneveld GJ, Herson S, Kishnani PS, Laforet P, Lake SL, Lange DJ, Leshner RT, Mayhew JE, Morgan C, Nozaki K, Park DJ, Pestronk A, Rosenbloom B, Skrinar A, van Capelle CI, van der Beek NA, Wasserstein M, Zivkovic SA (2010) A randomized study of alglucosidase alfa in late-onset Pompe's disease. N Engl J Med 362(15):1396–1406. https://doi.org/10.1056/NEJMoa0909859

    Article  PubMed  Google Scholar 

  7. Angelini C, Semplicini C, Ravaglia S, Bembi B, Servidei S, Pegoraro E, Moggio M, Filosto M, Sette E, Crescimanno G, Tonin P, Parini R, Morandi L, Marrosu G, Greco G, Musumeci O, Di Iorio G, Siciliano G, Donati MA, Carubbi F, Ermani M, Mongini T, Toscano A, Italian GG (2012) Observational clinical study in juvenile-adult glycogenosis type 2 patients undergoing enzyme replacement therapy for up to 4 years. J Neurol 259(5):952–958. https://doi.org/10.1007/s00415-011-6293-5

    CAS  Article  PubMed  Google Scholar 

  8. Ronzitti G, Collaud F, Laforet P, Mingozzi F (2019) Progress and challenges of gene therapy for Pompe disease. Ann Transl Med 7(13):287. https://doi.org/10.21037/atm.2019.04.67

  9. Gaeta M, Barca E, Ruggeri P, Minutoli F, Rodolico C, Mazziotti S, Milardi D, Musumeci O, Toscano A (2013) Late-onset Pompe disease (LOPD): correlations between respiratory muscles CT and MRI features and pulmonary function. Mol Genet Metab 110(3):290–296. https://doi.org/10.1016/j.ymgme.2013.06.023

    CAS  Article  PubMed  Google Scholar 

  10. Mustfa N, Moxham J (2001) Respiratory muscle assessment in motor neurone disease. QJM 94(9):497–502. https://doi.org/10.1093/qjmed/94.9.497

    CAS  Article  PubMed  Google Scholar 

  11. Sarwal A, Walker FO, Cartwright MS (2013) Neuromuscular ultrasound for evaluation of the diaphragm. Muscle Nerve 47(3):319–329. https://doi.org/10.1002/mus.23671

    Article  PubMed  PubMed Central  Google Scholar 

  12. Pinto S, Alves P, Pimentel B, Swash M, de Carvalho M (2016) Ultrasound for assessment of diaphragm in ALS. Clin Neurophysiol 127(1):892–897. https://doi.org/10.1016/j.clinph.2015.03.024

    Article  PubMed  Google Scholar 

  13. Fantini R, Mandrioli J, Zona S, Antenora F, Iattoni A, Monelli M, Fini N, Tonelli R, Clini E, Marchioni A (2016) Ultrasound assessment of diaphragmatic function in patients with amyotrophic lateral sclerosis. Respirology 21(5):932–938. https://doi.org/10.1111/resp.12759

    Article  PubMed  Google Scholar 

  14. De Bruin PF, Ueki J, Bush A, Khan Y, Watson A, Pride NB (1997) Diaphragm thickness and inspiratory strength in patients with Duchenne muscular dystrophy. Thorax 52(5):472–475. https://doi.org/10.1136/thx.52.5.472

    Article  PubMed  PubMed Central  Google Scholar 

  15. van der Ploeg AT, Kruijshaar ME, Toscano A, Laforet P, Angelini C, Lachmann RH, Pascual Pascual SI, Roberts M, Rosler K, Stulnig T, van Doorn PA, Van den Bergh PYK, Vissing J, Schoser B, European Pompe C (2017) European consensus for starting and stopping enzyme replacement therapy in adult patients with Pompe disease: a 10-year experience. Eur J Neurol 24(6):768–e731. https://doi.org/10.1111/ene.13285

    Article  PubMed  Google Scholar 

  16. Angelini C, Semplicini C, Ravaglia S, Moggio M, Comi GP, Musumeci O, Pegoraro E, Tonin P, Filosto M, Servidei S, Morandi L, Crescimanno G, Marrosu G, Siciliano G, Mongini T, Toscano A, Italian Group on G (2012) New motor outcome function measures in evaluation of late-onset Pompe disease before and after enzyme replacement therapy. Muscle Nerve 45(6):831–834. https://doi.org/10.1002/mus.23340

    Article  PubMed  Google Scholar 

  17. Horowitz MB, Mahler DA (1998) Dyspnea ratings for prescription of cross-modal exercise in patients with COPD. Chest 113(1):60–64. https://doi.org/10.1378/chest.113.1.60

    CAS  Article  PubMed  Google Scholar 

  18. Miller MR, Hankinson J, Brusasco V, Burgos F, Casaburi R, Coates A, Crapo R, Enright P, van der Grinten CP, Gustafsson P, Jensen R, Johnson DC, MacIntyre N, McKay R, Navajas D, Pedersen OF, Pellegrino R, Viegi G, Wanger J, Force AET (2005) Standardisation of spirometry. Eur Respir J 26(2):319–338. https://doi.org/10.1183/09031936.05.00034805

    CAS  Article  PubMed  Google Scholar 

  19. Quanjer PH, Stanojevic S, Cole TJ, Baur X, Hall GL, Culver BH, Enright PL, Hankinson JL, Ip MS, Zheng J, Stocks J, Initiative ERSGLF (2012) Multi-ethnic reference values for spirometry for the 3-95-yr age range: the global lung function 2012 equations. Eur Respir J 40(6):1324–1343. https://doi.org/10.1183/09031936.00080312

    Article  PubMed  PubMed Central  Google Scholar 

  20. Laveneziana P, Albuquerque A, Aliverti A, Babb T, Barreiro E, Dres M, Dube BP, Fauroux B, Gea J, Guenette JA, Hudson AL, Kabitz HJ, Laghi F, Langer D, Luo YM, Neder JA, O'Donnell D, Polkey MI, Rabinovich RA, Rossi A, Series F, Similowski T, Spengler CM, Vogiatzis I, Verges S (2019) ERS statement on respiratory muscle testing at rest and during exercise. Eur Respir J 53(6). https://doi.org/10.1183/13993003.01214-2018

  21. Fromageot C, Lofaso F, Annane D, Falaize L, Lejaille M, Clair B, Gajdos P, Raphael JC (2001) Supine fall in lung volumes in the assessment of diaphragmatic weakness in neuromuscular disorders. Arch Phys Med Rehabil 82(1):123–128. https://doi.org/10.1053/apmr.2001.18053

    CAS  Article  PubMed  Google Scholar 

  22. Wilson SH, Cooke NT, Edwards RH, Spiro SG (1984) Predicted normal values for maximal respiratory pressures in caucasian adults and children. Thorax 39(7):535–538. https://doi.org/10.1136/thx.39.7.535

    CAS  Article  PubMed  PubMed Central  Google Scholar 

  23. Boon AJ, Harper CJ, Ghahfarokhi LS, Strommen JA, Watson JC, Sorenson EJ (2013) Two-dimensional ultrasound imaging of the diaphragm: quantitative values in normal subjects. Muscle Nerve 47(6):884–889. https://doi.org/10.1002/mus.23702

    Article  PubMed  Google Scholar 

  24. Testa A, Soldati G, Giannuzzi R, Berardi S, Portale G, Gentiloni Silveri N (2011) Ultrasound M-mode assessment of diaphragmatic kinetics by anterior transverse scanning in healthy subjects. Ultrasound Med Biol 37(1):44–52. https://doi.org/10.1016/j.ultrasmedbio.2010.10.004

    Article  PubMed  Google Scholar 

  25. Fayssoil A, Behin A, Ogna A, Mompoint D, Amthor H, Clair B, Laforet P, Mansart A, Prigent H, Orlikowski D, Stojkovic T, Vinit S, Carlier R, Eymard B, Lofaso F, Annane D (2018) Diaphragm: pathophysiology and ultrasound imaging in neuromuscular disorders. Journal of neuromuscular diseases 5(1):1–10. https://doi.org/10.3233/JND-170276

    Article  PubMed  PubMed Central  Google Scholar 

  26. Noda Y, Sekiguchi K, Kohara N, Kanda F, Toda T (2016) Ultrasonographic diaphragm thickness correlates with compound muscle action potential amplitude and forced vital capacity. Muscle Nerve 53(4):522–527. https://doi.org/10.1002/mus.24902

    Article  PubMed  Google Scholar 

  27. Henke C, Spiesshoefer J, Kabitz HJ, Herkenrath S, Randerath W, Brix T, Gorlich D, Young P, Boentert M (2019) Respiratory muscle weakness in facioscapulohumeral muscular dystrophy. Muscle Nerve 60(6):679–686. https://doi.org/10.1002/mus.26717

    Article  PubMed  Google Scholar 

  28. Gaeta M, Musumeci O, Mondello S, Ruggeri P, Montagnese F, Cucinotta M, Vinci S, Milardi D, Toscano A (2015) Clinical and pathophysiological clues of respiratory dysfunction in late-onset Pompe disease: new insights from a comparative study by MRI and respiratory function assessment. Neuromuscular disorders : NMD 25(11):852–858. https://doi.org/10.1016/j.nmd.2015.09.003

    Article  Google Scholar 

  29. Harlaar L, Ciet P, van der Ploeg AT, Brusse E, van der Beek N, Wielopolski PA, de Bruijne M, Tiddens H, van Doorn PA (2018) Imaging of respiratory muscles in neuromuscular disease: a review. Neuromuscul Disord 28(3):246–256. https://doi.org/10.1016/j.nmd.2017.11.010

  30. Spiesshoefer J, Henke C, Kabitz HJ, Brix T, Gorlich D, Herkenrath S, Randerath W, Young P, Boentert M (2019) The nature of respiratory muscle weakness in patients with late-onset Pompe disease. Neuromuscular disorders : NMD 29(8):618–627. https://doi.org/10.1016/j.nmd.2019.06.011

    Article  PubMed  Google Scholar 

  31. Vivier E, Mekontso Dessap A, Dimassi S, Vargas F, Lyazidi A, Thille AW, Brochard L (2012) Diaphragm ultrasonography to estimate the work of breathing during non-invasive ventilation. Intensive Care Med 38(5):796–803. https://doi.org/10.1007/s00134-012-2547-7

    Article  PubMed  Google Scholar 

Download references

Author information

Affiliations

Authors

Corresponding author

Correspondence to Paolo Ruggeri.

Ethics declarations

Conflict of interest

The authors declare that they have no conflict of interest.

Ethical approval

Approved by the local Research Ethics Committee.

Additional information

Publisher’s note

Springer Nature remains neutral with regard to jurisdictional claims in published maps and institutional affiliations.

The datasets generated during and/or analyzed during the current study are available from the corresponding author on reasonable request.

Rights and permissions

Reprints and Permissions

About this article

Verify currency and authenticity via CrossMark

Cite this article

Ruggeri, P., Lo Monaco, L., Musumeci, O. et al. Ultrasound assessment of diaphragm function in patients with late-onset Pompe disease. Neurol Sci 41, 2175–2184 (2020). https://doi.org/10.1007/s10072-020-04316-6

Download citation

  • Received:

  • Accepted:

  • Published:

  • Issue Date:

  • DOI: https://doi.org/10.1007/s10072-020-04316-6

Keywords

  • Diaphragm
  • Late-onset Pompe disease
  • Lung function
  • Ultrasonography
  • Respiratory muscle strength