Abstract
Background
Hereditary transthyretin amyloidosis (ATTR) is a hereditary, sensorimotor and autonomic neuropathy caused by deposits of mutated transthyretin (TTR). The commonest TTR mutation is V30M (ATTRV30M) with patients usually living for about 10Â years after disease onset. Liver transplantation (LT) until recently was considered the standard treatment.
Objective and methods
This study aims to assess the frequency of CNS complications in post-LT patients from the Cypriot cohort. Epidemiological data were collected for all genetically confirmed ATTRV30M neuropathy patients diagnosed at CING since 1992, and CNS-associated symptoms were assessed and evaluated by two neurology specialists.
Results
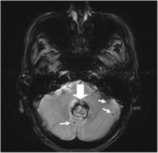
Out of the 48 transplanted patients, 10 (20.8%) presented with a CNS complication. All patients had ocular involvement, mainly glaucoma (7/10). Eight presented with transient focal neurological episodes (TFNEs), with expressive dysphasia being reported by four of them. The mean time of TFNE-emergence was 16.6Â years after the LT. Three died from cerebral hemorrhage.
Conclusions
CNS complications in post-LT ATTRV30M patients are not rare and usually manifest themselves at a time that surpasses the mean time the patients would have survived without a LT. CNS involvement is associated with increased mortality, due to cerebral hemorrhage.
This is a preview of subscription content, access via your institution.

Abbreviations
- ATTR:
-
Transthyretin-related amyloidosis
- CING:
-
Cyprus Institute of Neurology and Genetics
- CNS:
-
Central nervous system
- FAP:
-
Familial amyloidotic polyneuropathy
- FNE:
-
Focal neurological episode
- LT:
-
Liver transplantation
- TFNE:
-
Transient focal neurological episode
- TTR:
-
Transthyretin
References
Dardiotis E, Koutsou P, Papanicolaou EZ, Vonta I, Kladi A, Vassilopoulos D, Hadjigeorgiou G, Christodoulou K, Kyriakides T (2009) Epidemiological, clinical and genetic study of familial amyloidotic polyneuropathy in Cyprus. Amyloid 16(1):32–37. https://doi.org/10.1080/13506120802676948
Sekijima Y (2015) Transthyretin (ATTR) amyloidosis: clinical spectrum, molecular pathogenesis and disease-modifying treatments. J Neurol Neurosurg Psychiatry 86(9):1036–1043. https://doi.org/10.1136/jnnp-2014-308724
Vita G, Vita GL, Stancanelli C, Gentile L, Russo M, Mazzeo A (2019) Genetic neuromuscular disorders: living the era of a therapeutic revolution. Part 1: peripheral neuropathies. Neurol Sci 40(4):661–669. https://doi.org/10.1007/s10072-019-03778-7
de Paula EF, de Mello BL, de Carvalho DL, Della-Guardia B, de Almeida MD, Marins LV, Correa L (2017) Minor salivary gland biopsy for the diagnosis of familial amyloid polyneuropathy. Neurol Sci 38(2):311–318. https://doi.org/10.1007/s10072-016-2760-1
Hou X, Aguilar MI, Small DH (2007) Transthyretin and familial amyloidotic polyneuropathy. Recent progress in understanding the molecular mechanism of neurodegeneration. FEBS J 274(7):1637–1650. https://doi.org/10.1111/j.1742-4658.2007.05712.x
Lobato L, Beirao I, Silva M, Fonseca I, Queiros J, Rocha G, Sarmento AM, Sousa A, Sequeiros J (2004) End-stage renal disease and dialysis in hereditary amyloidosis TTR V30M: presentation, survival and prognostic factors. Amyloid 11(1):27–37
Kelly JW, Colon W, Lai Z, Lashuel HA, McCulloch J, McCutchen SL, Miroy GJ, Peterson SA (1997) Transthyretin quaternary and tertiary structural changes facilitate misassembly into amyloid. Adv Protein Chem 50:161–181
Plante-Bordeneuve V, Said G (2000) Transthyretin related familial amyloid polyneuropathy. Curr Opin Neurol 13(5):569–573
Andrade C (1952) A peculiar form of peripheral neuropathy; familiar atypical generalized amyloidosis with special involvement of the peripheral nerves. Brain 75(3):408–427
Conceicao I, De Carvalho M (2007) Clinical variability in type I familial amyloid polyneuropathy (Val30Met): comparison between late- and early-onset cases in Portugal. Muscle Nerve 35(1):116–118. https://doi.org/10.1002/mus.20644
Sousa A, Coelho T, Barros J, Sequeiros J (1995) Genetic epidemiology of familial amyloidotic polyneuropathy (FAP)-type I in Povoa do Varzim and Vila do Conde (north of Portugal). Am J Med Genet 60(6):512–521. https://doi.org/10.1002/ajmg.1320600606
Iorio A, De Angelis F, Di Girolamo M, Luigetti M, Pradotto L, Mauro A, Manfellotto D, Fuciarelli M, Polimanti R (2015) Most recent common ancestor of TTR Val30Met mutation in Italian population and its potential role in genotype-phenotype correlation. Amyloid 22(2):73–78. https://doi.org/10.3109/13506129.2014.994597
Munar-Ques M, Saraiva MJ, Viader-Farre C, Zabay-Becerril JM, Mulet-Ferrer J (2005) Genetic epidemiology of familial amyloid polyneuropathy in the Balearic Islands (Spain). Amyloid 12(1):54–61. https://doi.org/10.1080/13506120500032741
Andersson R (1976) Familial amyloidosis with polyneuropathy. A clinical study based on patients living in northern Sweden. Acta Medica Scand Suppl 590:1–64
Norgren N, Hellman U, Ericzon BG, Olsson M, Suhr OB (2012) Allele specific expression of the transthyretin gene in swedish patients with hereditary transthyretin amyloidosis (ATTR V30M) is similar between the two alleles. PLoS One 7(11):e49981. https://doi.org/10.1371/journal.pone.0049981
Sakoda S, Suzuki T, Higa S, Ueji M, Kishimoto S, Hayashi A, Yasuda N, Takaba Y, Nakajima A (1983) Genetic studies of familial amyloid polyneuropathy in the Arao district of Japan: I. The genealogical survey. Clin Genet 24(5):334–338
Zhen DB, Swiecicki PL, Zeldenrust SR, Dispenzieri A, Mauermann ML, Gertz MA (2015) Frequencies and geographic distributions of genetic mutations in transthyretin- and non-transthyretin-related familial amyloidosis. Clin Genet 88(4):396–400. https://doi.org/10.1111/cge.12500
Holt IJ, Harding AE, Middleton L, Chrysostomou G, Said G, King RH, Thomas PK (1989) Molecular genetics of amyloid neuropathy in Europe. Lancet 1(8637):524–526
Andreou S, Panayiotou E, Michailidou K, Pirpa P, Hadjisavvas A, El Salloukh A, Barnes D, Antoniou A, Agathangelou P, Papastavrou K, Christodoulou K, Tanteles GA, Kyriakides T (2018) Epidemiology of ATTRV30M neuropathy in Cyprus and the modifier effect of complement C1q on the age of disease onset. Amyloid:1–7. https://doi.org/10.1080/13506129.2018.1534731
Bhatia K, Reilly M, Adams D, Davis MB, Hawkes CH, Thomas PK, Said G, Harding AE (1993) Transthyretin gene mutations in British and French patients with amyloid neuropathy. J Neurol Neurosurg Psychiatry 56(6):694–697
Reilly MM, Adams D, Davis MB, Said G, Harding AE (1995) Haplotype analysis of French, British and other European patients with familial amyloid polyneuropathy (met 30 and tyr 77). J Neurol 242(10):664–668
Almeida MR, Aoyama-Oishi N, Sakaki Y, Holmgren G, Ulf D, Ferlini A, Salvi F, Munar-Oues M, Benson MD, Skinner M et al (1995) Haplotype analysis of common transthyretin mutations. Hum Genet 96(3):350–354
Dardiotis E, Koutsou P, Zamba-Papanicolaou E, Vonta I, Hadjivassiliou M, Hadjigeorgiou G, Cariolou M, Christodoulou K, Kyriakides T (2009) Complement C1Q polymorphisms modulate onset in familial amyloidotic polyneuropathy TTR Val30Met. J Neurol Sci 284(1–2):158–162. https://doi.org/10.1016/j.jns.2009.05.018
Hornsten R, Pennlert J, Wiklund U, Lindqvist P, Jensen SM, Suhr OB (2010) Heart complications in familial transthyretin amyloidosis: impact of age and gender. Amyloid 17(2):63–68. https://doi.org/10.3109/13506129.2010.483114
Stangou AJ, Hawkins PN (2004) Liver transplantation in transthyretin-related familial amyloid polyneuropathy. Curr Opin Neurol 17(5):615–620
Plante-Bordeneuve V, Said G (2011) Familial amyloid polyneuropathy. Lancet Neurol 10(12):1086–1097. https://doi.org/10.1016/S1474-4422(11)70246-0
Coelho T (1996) Familial amyloid polyneuropathy: new developments in genetics and treatment. Curr Opin Neurol 9(5):355–359
Holmgren G, Ericzon BG, Groth CG, Steen L, Suhr O, Andersen O, Wallin BG, Seymour A, Richardson S, Hawkins PN et al (1993) Clinical improvement and amyloid regression after liver transplantation in hereditary transthyretin amyloidosis. Lancet 341(8853):1113–1116
Adams D, Samuel D, Goulon-Goeau C, Nakazato M, Costa PM, Feray C, Plante V, Ducot B, Ichai P, Lacroix C, Metral S, Bismuth H, Said G (2000) The course and prognostic factors of familial amyloid polyneuropathy after liver transplantation. Brain 123(Pt 7):1495–1504
Lewis WD (2002) Liver transplantation: an effective treatment for familial ATTR amyloidosis. Amyloid 9(3):201–202
Wilczek HE, Larsson M, Ericzon BG, Fapwtr (2011) Long-term data from the Familial Amyloidotic Polyneuropathy World Transplant Registry (FAPWTR). Amyloid 18(Suppl 1):193–195. https://doi.org/10.3109/13506129.2011.574354072
Salvi F, Volpe R, Pastorelli F, Bianchi A, Vella A, Rapezzi C, Mascalchi M (2018) Failure of tafamidis to halt progression of Ala36Pro TTR Oculomeningovascular amyloidosis. J Stroke Cerebrovasc Dis 27(9):e212–e214. https://doi.org/10.1016/j.jstrokecerebrovasdis.2018.04.033
Ando Y, Terazaki H, Nakamura M, Ando E, Haraoka K, Yamashita T, Ueda M, Okabe H, Sasaki Y, Tanihara H, Uchino M, Inomata Y (2004) A different amyloid formation mechanism: de novo oculoleptomeningeal amyloid deposits after liver transplantation. Transplantation 77(3):345–349. https://doi.org/10.1097/01.TP.0000111516.60013.E6
Maia LF, Magalhaes R, Freitas J, Taipa R, Pires MM, Osorio H, Dias D, Pessegueiro H, Correia M, Coelho T (2015) CNS involvement in V30M transthyretin amyloidosis: clinical, neuropathological and biochemical findings. J Neurol Neurosurg Psychiatry 86(2):159–167. https://doi.org/10.1136/jnnp-2014-308107
Franco A, Bentes C, de Carvalho M, Pereira P, Pimentel J, Conceicao I (2016) Epileptic seizures as a presentation of central nervous system involvement in TTR Val30Met-FAP. J Neurol 263(11):2336–2338. https://doi.org/10.1007/s00415-016-8299-5
Salvi F, Pastorelli F, Plasmati R, Morelli C, Rapezzi C, Bianchi A, Mascalchi M (2015) Brain microbleeds 12 years after orthotopic liver transplantation in Val30Met amyloidosis. J Stroke Cerebrovasc Dis 24(6):e149–e151. https://doi.org/10.1016/j.jstrokecerebrovasdis.2015.02.015
Goncalves P, Martins H, Costelha S, Maia LF, Saraiva MJ (2016) Efficiency of silencing RNA for removal of transthyretin V30M in a TTR leptomeningeal animal model. Amyloid 23(4):249–253. https://doi.org/10.1080/13506129.2016.1256282
Martins da Silva A, Cavaco S, Fernandes J, Samoes R, Alves C, Cardoso M, Kelly JW, Monteiro C, Coelho T (2018) Age-dependent cognitive dysfunction in untreated hereditary transthyretin amyloidosis. J Neurol 265(2):299–307. https://doi.org/10.1007/s00415-017-8668-8
Lee JS, Lee KM, Kim HG (2018) A case of recurrent transient ischemic attacks: carotid stump syndrome or posterior cerebral artery syndrome? Neurol Sci 39(11):1993–1995. https://doi.org/10.1007/s10072-018-3509-9
Altavilla R, Anticoli S, Venti MP, Acciarresi M, Alberti A, Caso V, D'Amore C, Pezzella FR, Venti M, Agnelli G, Paciaroni M (2018) Clinical skills or high-tech MR in TIA patients: what makes the difference? Neurol Sci 39(12):2091–2096. https://doi.org/10.1007/s10072-018-3546-4
Sekijima Y, Yazaki M, Oguchi K, Ezawa N, Yoshinaga T, Yamada M, Yahikozawa H, Watanabe M, Kametani F, Ikeda S (2016) Cerebral amyloid angiopathy in posttransplant patients with hereditary ATTR amyloidosis. Neurology 87(8):773–781. https://doi.org/10.1212/WNL.0000000000003001
Charidimou A, Peeters A, Fox Z, Gregoire SM, Vandermeeren Y, Laloux P, Jager HR, Baron JC, Werring DJ (2012) Spectrum of transient focal neurological episodes in cerebral amyloid angiopathy: multicentre magnetic resonance imaging cohort study and meta-analysis. Stroke 43(9):2324–2330. https://doi.org/10.1161/strokeaha.112.657759
Coates R, Bell SM, Coley S, Blackburn DJ (2015) Cerebral amyloid angiopathy: amyloid spells and cortical superficial siderosis. Pract Neurol 15(2):124–126. https://doi.org/10.1136/practneurol-2014-000952
Wermer MJH, Greenberg SM (2018) The growing clinical spectrum of cerebral amyloid angiopathy. Curr Opin Neurol 31(1):28–35. https://doi.org/10.1097/wco.0000000000000510
Ni J, Auriel E, Jindal J, Ayres A, Schwab KM, Martinez-Ramirez S, Gurol EM, Greenberg SM, Viswanathan A (2015) The characteristics of superficial siderosis and convexity subarachnoid hemorrhage and clinical relevance in suspected cerebral amyloid angiopathy. Cerebrovasc Dis (Basel, Switzerland) 39(5–6):278–286. https://doi.org/10.1159/000381223
Nadarajan V, Perry RJ, Johnson J, Werring DJ (2014) Transient ischaemic attacks: mimics and chameleons. Pract Neurol 14(1):23–31. https://doi.org/10.1136/practneurol-2013-000782
Stanton JED, Chandratheva A, Wilson D, Hostettler IC, Islam S, Werring DJ (2019) Clinical features distinguish cerebral amyloid angiopathy-associated convexity subarachnoid haemorrhage from suspected TIA. J Neurol:1–5. https://doi.org/10.1007/s00415-019-09558-9
Calviere L, Raposo N, Cuvinciuc V, Cognard C, Bonneville F, Viguier A (2018) Patterns of convexal subarachnoid haemorrhage: clinical, radiological and outcome differences between cerebral amyloid angiopathy and other causes. J Neurol 265(1):204–210. https://doi.org/10.1007/s00415-017-8693-7
Vales-Montero M, Garcia-Pastor A, Iglesias-Mohedano AM, Esteban-de Antonio E, Salgado-Camara P, Garcia-Dominguez JM, Vazquez-Alen P, Diaz-Otero F, Fernandez-Bullido Y, Gil-Nunez A (2019) Cerebral amyloid angiopathy-related transient focal neurological episodes: a transient ischemic attack mimic with an increased risk of intracranial hemorrhage. J Neurol Sci 406:116452. https://doi.org/10.1016/j.jns.2019.116452
Levy DE (1988) How transient are transient ischemic attacks? Neurology 38(5):674–677. https://doi.org/10.1212/wnl.38.5.674
Linn J, Halpin A, Demaerel P, Ruhland J, Giese AD, Dichgans M, van Buchem MA, Bruckmann H, Greenberg SM (2010) Prevalence of superficial siderosis in patients with cerebral amyloid angiopathy. Neurology 74(17):1346–1350. https://doi.org/10.1212/WNL.0b013e3181dad605
Introna A, Mezzapesa DM, Petruzzellis M, Savarese M, Chiumarulo L, Zimatore DS, Dicuonzo F, Simone IL (2019) Convexal subarachnoid hemorrhage and acute ischemic stroke: a border zone matter? Neurol Sci 40(7):1419–1424. https://doi.org/10.1007/s10072-019-03868-6
Ando Y, Tanaka Y, Nakazato M, Ericzon BG, Yamashita T, Tashima K, Sakashita N, Suga M, Uchino M, Ando M (1995) Change in variant transthyretin levels in patients with familial amyloidotic polyneuropathy type I following liver transplantation. Biochem Biophys Res Commun 211(2):354–358
Blevins G, Macaulay R, Harder S, Fladeland D, Yamashita T, Yazaki M, Hamidi Asl K, Benson MD, Donat JR (2003) Oculoleptomeningeal amyloidosis in a large kindred with a new transthyretin variant Tyr69His. Neurology 60(10):1625–1630
Cavallaro T, Martone RL, Dwork AJ, Schon EA, Herbert J (1990) The retinal pigment epithelium is the unique site of transthyretin synthesis in the rat eye. Invest Ophthalmol Vis Sci 31(3):497–501
Schreiber G, Pettersson TM, Southwell BR, Aldred AR, Harms PJ, Richardson SJ, Wettenhall RE, Duan W, Nicol SC (1993) Transthyretin expression evolved more recently in liver than in brain. Comp Biochem Physiol B 105(2):317–325
Maetani Y, Agari D, Nomura E, Ueda M, Ando Y, Yamawaki T (2016) Familial amyloid polyneuropathy involving a homozygous Val30Met mutation in the amyloidogenic transthyretin gene presenting with superficial siderosis: a case report. Rinsho Shinkeigaku 56(6):430–434. https://doi.org/10.5692/clinicalneurol.cn-000869
Haraoka K, Ando Y, Ando E, Sun X, Nakamura M, Terazaki H, Misumi S, Tanoue Y, Tajiri T, Shoji S, Ishizaki T, Okabe H, Tanihara H (2002) Presence of variant transthyretin in aqueous humor of a patient with familial amyloidotic polyneuropathy after liver transplantation. Amyloid 9(4):247–251
Beirao JM, Malheiro J, Lemos C, Beirao I, Costa P, Torres P (2015) Ophthalmological manifestations in hereditary transthyretin (ATTR V30M) carriers: a review of 513 cases. Amyloid 22(2):117–122. https://doi.org/10.3109/13506129.2015.1015678
Sakashita N, Ando Y, Jinnouchi K, Yoshimatsu M, Terazaki H, Obayashi K, Takeya M (2001) Familial amyloidotic polyneuropathy (ATTR Val30Met) with widespread cerebral amyloid angiopathy and lethal cerebral hemorrhage. Pathol Int 51(6):476–480
Ushiyama M, Ikeda S, Yanagisawa N (1991) Transthyretin-type cerebral amyloid angiopathy in type I familial amyloid polyneuropathy. Acta Neuropathol 81(5):524–528
Herrick MK, DeBruyne K, Horoupian DS, Skare J, Vanefsky MA, Ong T (1996) Massive leptomeningeal amyloidosis associated with a Val30Met transthyretin gene. Neurology 47(4):988–992
Ikeda SI (2013) Cerebral amyloid angiopathy with familial transthyretin-derived oculoleptomeningeal amyloidosis. Brain Nerve 65(7):831–842
Greenberg SM, Vonsattel JP, Stakes JW, Gruber M, Finklestein SP (1993) The clinical spectrum of cerebral amyloid angiopathy: presentations without lobar hemorrhage. Neurology 43(10):2073–2079
Roch JA, Nighoghossian N, Hermier M, Cakmak S, Picot M, Honnorat J, Derex L, Trouillas P (2005) Transient neurologic symptoms related to cerebral amyloid angiopathy: usefulness of T2*-weighted imaging. Cerebrovasc Dis 20(5):412–414. https://doi.org/10.1159/000088665
Corovic A, Kelly S, Markus HS (2018) Cerebral amyloid angiopathy associated with inflammation: a systematic review of clinical and imaging features and outcome. Int J Stroke 13(3):257–267. https://doi.org/10.1177/1747493017741569
Zhang F, Hu C, Dong Y, Lin MS, Liu J, Jiang X, Ge Y, Guo Y (2013) The impact of V30A mutation on transthyretin protein structural stability and cytotoxicity against neuroblastoma cells. Arch Biochem Biophys 535(2):120–127. https://doi.org/10.1016/j.abb.2013.03.005
Yamada M (2015) Cerebral amyloid angiopathy: emerging concepts. J Stroke 17(1):17–30. https://doi.org/10.5853/jos.2015.17.1.17
Wange N, Anan I, Ericzon BG, Pennlert J, Pilebro B, Suhr OB, Wixner J (2018) Atrial fibrillation and central nervous complications in liver transplanted hereditary transthyretin amyloidosis patients. Transplantation 102(2):e59–e66. https://doi.org/10.1097/TP.0000000000001975
Funding
This work was supported by the Muscular Dystrophy Association Cyprus/Telethon Cyprus and Pfizer’s GLOBAL Aspire Grants.
Author information
Authors and Affiliations
Corresponding author
Ethics declarations
The study received the approval of the Cyprus National Ethics Committee ΕΕΒΚ/ΕΠ/2015/36 and written informed consent granted by the participants.
Conflict of interest
The authors declare that they have no conflict of interest.
Additional information
Publisher’s note
Springer Nature remains neutral with regard to jurisdictional claims in published maps and institutional affiliations.
Rights and permissions
About this article
Cite this article
Dardiotis, E., Andreou, S., Aloizou, AM. et al. The frequency of central nervous system complications in the Cypriot cohort of ATTRV30M neuropathy transplanted patients. Neurol Sci 41, 1163–1170 (2020). https://doi.org/10.1007/s10072-019-04176-9
Received:
Accepted:
Published:
Issue Date:
DOI: https://doi.org/10.1007/s10072-019-04176-9
Keywords
- ATTR
- CNS
- Familial amyloidotic polyneuropathy
- Liver transplant
- Cyprus