Skip to main content

Diastolic heart dysfunction is correlated with CTG repeat length in myotonic dystrophy type 1

Abstract

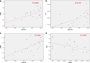
The aims of this study were to investigate the correlations of tri-nucleotide (CTG) repeat length with detailed echocardiography (ECHO) parameters that represent myocardial function and to find a relationship between heart function and CTG repeat length in adult-onset myotonic dystrophy type 1 (DM1). In this study, clinical data for patients with DM1, including age, onset age, CTG repeat length, Medical Research Council sum score (MRCSS), and 6-min walking test (6MWT), were recorded. In addition, ECHO parameters and cardiac conduction abnormalities were evaluated. Among the cardiac parameters, the EA ratio and left ventricular end-diastolic dimension (LVEDD) were significantly correlated with the CTG repeat length (p < 0.05). Interventricular septal thickness at end-diastole was also significantly correlated with the 6MWT in a multivariate linear regression model (p < 0.05). In conclusion, motor function (MRCSS and 6MWT) and CTG repeat length significantly correlated with LV diastolic dysfunction in patients with DM1. More emphasis should be given to diastolic dysfunction, which is currently under-recognized, when evaluating patients with DM1 with no abnormalities in routine electrocardiography studies. Lastly, well-designed and longitudinal studies are warranted to characterize and understand the pathophysiology of diastolic dysfunction in DM1.

This is a preview of subscription content, access via your institution.

Fig. 1
Fig. 2
Fig. 3

References

  1. Harper PS (2009) Myotonic dystrophy, 2nd edn. Oxford University Press, New York

    Google Scholar 

  2. Yagi Y, Machida A, Toru S, Kobayashi T, Amano T, Hirokawa K, Kitagawa M (2012) Myotonic dystrophy and lipoma: a new association. Neurol Sci 33(6):1477–1478

    Article  Google Scholar 

  3. Kalkman JS, Zwarts MJ, Schillings ML, van Engelen BG, Bleijenberg G (2008) Different types of fatigue in patients with facioscapulohumeral dystrophy, myotonic dystrophy and HMSN-I. Experienced fatigue and physiological fatigue. Neurol Sci 29(Suppl 2):S238–S240

    Article  Google Scholar 

  4. Groh WJ, Groh MR, Saha C, Kincaid JC, Simmons Z, Ciafaloni E, Pourmand R, Otten RF, Bhakta D, Nair GV, Marashdeh MM, Zipes DP, Pascuzzi RM (2008) Electrocardiographic abnormalities and sudden death in myotonic dystrophy type 1. N Engl J Med 358(25):2688–2697

    CAS  Article  Google Scholar 

  5. Petri H, Vissing J, Witting N, Bundgaard H, Kober L (2012) Cardiac manifestations of myotonic dystrophy type 1. Int J Cardiol 160(2):82–88

    Article  Google Scholar 

  6. Petri H, Witting N, Ersboll MK, Sajadieh A, Duno M, Helweg-Larsen S et al (2014) High prevalence of cardiac involvement in patients with myotonic dystrophy type 1: a cross-sectional study. Int J Cardiol 174(1):31–36

    Article  Google Scholar 

  7. Antonini G, Giubilei F, Mammarella A, Amicucci P, Fiorelli M, Gragnani F, Morino S, Ceschin V, Fragola PV, Gennarelli M (2000) Natural history of cardiac involvement in myotonic dystrophy: correlation with CTG repeats. Neurology 55(8):1207–1209

    CAS  Article  Google Scholar 

  8. Melacini P, Villanova C, Menegazzo E, Novelli G, Danieli G, Rizzoli G, Fasoli G, Angelini C, Buja G, Miorelli M, Dallapiccola B, Volta SD (1995) Correlation between cardiac involvement and CTG trinucleotide repeat length in myotonic dystrophy. J Am Coll Cardiol 25(1):239–245

    CAS  Article  Google Scholar 

  9. Groh WJ, Lowe MR, Zipes DP (2002) Severity of cardiac conduction involvement and arrhythmias in myotonic dystrophy type 1 correlates with age and CTG repeat length. J Cardiovasc Electrophysiol 13(5):444–448

    Article  Google Scholar 

  10. Sugie K, Sugie M, Taoka T, Tonomura Y, Kumazawa A, Izumi T, Kichikawa K, Ueno S (2015) Characteristic MRI findings of upper limb muscle involvement in myotonic dystrophy type 1. PLoS One 10(4):e0125051

    Article  Google Scholar 

  11. Park D, Lee SH, Shin JH, Park JS (2018) Lower limb muscle magnetic resonance imaging in myotonic dystrophy type 1 correlates with the six-minute walk test and CTG repeats. Neuromuscul Disord 28(1):29–37

    Article  Google Scholar 

  12. Park D, Park JS (2017) Quantitative assessment of trunk muscles involvement in patients with myotonic dystrophy type 1 using a whole body muscle magnetic resonance imaging. Eur Neurol 77(5–6):238–245

    Article  Google Scholar 

  13. Hayashi K, Hamano T, Kawamura Y, Kimura H, Matsunaga A, Ikawa M, Yamamura O, Mutoh T, Higuchi I, Kuriyama M, Nakamoto Y (2016) Muscle MRI of the upper extremity in the myotonic dystrophy type 1. Eur Neurol 76(1–2):87–94

    CAS  Article  Google Scholar 

  14. Park JS, Park D (2018) Five-year serial follow-up of muscle MRI in adult onset myotonic dystrophy type 1: a case report. Medicine 97(4):e9379

    Article  Google Scholar 

  15. Petri H, Ahtarovski KA, Vejlstrup N, Vissing J, Witting N, Kober L et al (2014) Myocardial fibrosis in patients with myotonic dystrophy type 1: a cardiovascular magnetic resonance study. Journal of cardiovascular magnetic resonance : official journal of the Society for Cardiovascular Magnetic Resonance 16:59

    Article  Google Scholar 

  16. Brook JD, McCurrach ME, Harley HG, Buckler AJ, Church D, Aburatani H et al (1992) Molecular basis of myotonic dystrophy: expansion of a trinucleotide (CTG) repeat at the 3′ end of a transcript encoding a protein kinase family member. Cell 68(4):799–808

    CAS  Article  Google Scholar 

  17. Kwon MJ, Lee ST, Kim BJ, Sung DH, Kim JW, Ki CS (2010) Haplotype analysis of the myotonic dystrophy type 1 (DM1) locus in the Korean population. Ann Clin Lab Sci 40(2):156–162

    CAS  PubMed  Google Scholar 

  18. Kleyweg RP, van der Meche FG, Meulstee J (1988) Treatment of Guillain-Barre syndrome with high-dose gammaglobulin. Neurology 38(10):1639–1641

    CAS  Article  Google Scholar 

  19. Brooks D, Solway S, Gibbons WJ (2003) ATS statement on six-minute walk test. Am J Respir Crit Care Med 167(9):1287

    Article  Google Scholar 

  20. Lang RM, Bierig M, Devereux RB, Flachskampf FA, Foster E, Pellikka PA et al (2005) Recommendations for chamber quantification: a report from the American Society of Echocardiography’s Guidelines and Standards Committee and the Chamber Quantification Writing Group, developed in conjunction with the European Association of Echocardiography, a branch of the European Society of Cardiology. J Am Soc Echocardiogr 18(12):1440–1463

    Article  Google Scholar 

  21. Quinones MA, Otto CM, Stoddard M, Waggoner A, Zoghbi WA (2002) Doppler Quantification Task Force of the Nomenclature and Standards Committee of the American Society of Echocardiography. Recommendations for quantification of Doppler echocardiography: a report from the Doppler Quantification Task Force of the Nomenclature and Standards Committee of the American Society of Echocardiography. J Am Soc Echocardiogr 15(2):167–184

    Article  Google Scholar 

  22. Bhakta D, Lowe MR, Groh WJ (2004) Prevalence of structural cardiac abnormalities in patients with myotonic dystrophy type I. Am Heart J 147(2):224–227

    Article  Google Scholar 

  23. Phillips MF, Harper PS (1997) Cardiac disease in myotonic dystrophy. Cardiovasc Res 33(1):13–22

    CAS  Article  Google Scholar 

  24. Silva MC, Meira ZM, Gurgel Giannetti J, da Silva MM, Campos AF, Barbosa Mde M et al (2007) Myocardial delayed enhancement by magnetic resonance imaging in patients with muscular dystrophy. J Am Coll Cardiol 49(18):1874–1879

    Article  Google Scholar 

  25. Moreo A, Ambrosio G, De Chiara B, Pu M, Tran T, Mauri F et al (2009) Influence of myocardial fibrosis on left ventricular diastolic function: noninvasive assessment by cardiac magnetic resonance and echo. Circ Cardiovasc Imaging 2(6):437–443

    Article  Google Scholar 

  26. Weber KT, Brilla CG, Janicki JS (1993) Myocardial fibrosis: functional significance and regulatory factors. Cardiovasc Res 27(3):341–348

    CAS  Article  Google Scholar 

  27. Kass DA, Bronzwaer JG, Paulus WJ (2004) What mechanisms underlie diastolic dysfunction in heart failure? Circ Res 94(12):1533–1542

    CAS  Article  Google Scholar 

  28. Bu'Lock FA, Sood M, De Giovanni JV, Green SH (1999) Left ventricular diastolic function in congenital myotonic dystrophy. Arch Dis Child 80(3):267–270

    CAS  Article  Google Scholar 

  29. Fragola PV, Calo L, Luzi M, Mammarella A, Antonini G (1997) Doppler echocardiographic assessment of left ventricular diastolic function in myotonic dystrophy. Cardiology 88(6):498–502

    CAS  Article  Google Scholar 

  30. Kimura T, Nakamori M, Lueck JD, Pouliquin P, Aoike F, Fujimura H, Dirksen RT, Takahashi MP, Dulhunty AF, Sakoda S (2005) Altered mRNA splicing of the skeletal muscle ryanodine receptor and sarcoplasmic/endoplasmic reticulum Ca2+-ATPase in myotonic dystrophy type 1. Hum Mol Genet 14(15):2189–2200

    CAS  Article  Google Scholar 

  31. Tang ZZ, Yarotskyy V, Wei L, Sobczak K, Nakamori M, Eichinger K, Moxley RT, Dirksen RT, Thornton CA (2012) Muscle weakness in myotonic dystrophy associated with misregulated splicing and altered gating of Ca(V)1.1 calcium channel. Hum Mol Genet 21(6):1312–1324

    CAS  Article  Google Scholar 

  32. Mankodi A, Takahashi MP, Jiang H, Beck CL, Bowers WJ, Moxley RT, Cannon SC, Thornton CA (2002) Expanded CUG repeats trigger aberrant splicing of ClC-1 chloride channel pre-mRNA and hyperexcitability of skeletal muscle in myotonic dystrophy. Mol Cell 10(1):35–44

    CAS  Article  Google Scholar 

Download references

Funding

This research was supported by Basic Science Research Program through the National Research Foundation of Korea (NRF) funded by the Ministry of Science, ICT and Future Planning (NRF- 2017R1D1A1B03033127).

Author information

Affiliations

Authors

Corresponding author

Correspondence to Donghwi Park.

Ethics declarations

This study was approved by the Institutional Review Board of medical center. The study protocol conforms to the ethical guidelines of the 1975 Declaration of Helsinki as reflected in a priori approval by the institution’s human research committee. Clinical, genetic, and ECHO data were retrieved for these patients.

Conflict of interest

The authors declare that they have no conflict of interest.

Rights and permissions

Reprints and Permissions

About this article

Verify currency and authenticity via CrossMark

Cite this article

Park, JS., Kim, N. & Park, D. Diastolic heart dysfunction is correlated with CTG repeat length in myotonic dystrophy type 1. Neurol Sci 39, 1935–1943 (2018). https://doi.org/10.1007/s10072-018-3530-z

Download citation

  • Received:

  • Accepted:

  • Published:

  • Issue Date:

  • DOI: https://doi.org/10.1007/s10072-018-3530-z

Keywords

  • Myotonic dystrophy type 1
  • Myocardial dysfunction
  • CTG repeat
  • Left ventricle diastolic dysfunction
  • Aerobic exercise
  • Myotonia