Skip to main content

Ginger attenuates inflammation in a mouse model of dextran sulfate sodium-induced colitis

Abstract

This study assessed the anti-inflammatory effect of ginger extract on colitis by 5% dextran sulfate sodium (DSS) in BALB/c mice. The mice were administered either distilled water or three doses of ginger extracts for 21 days. We evaluated the change in clinical and histopathological signs and cytokine and gene expression levels. Contrary to the DSS group, the ginger groups increased body weight and inhibited shortening of the colon. DAI values and colon injury in the ginger groups were lower than that in the DSS group. Ginger groups obviously inhibited the myeloperoxidase activity and cytokine and mRNA concentrations of interleukin (IL)-1β, IL-6, and tumor necrosis factor (TNF)-α, but not of intestinal barrier proteins zonula occludens (ZO)-1, occludin, E-cadherin, mucin-1, and mucin-2 in colon tissues. Our results suggest the protective effect of ginger against DSS-induced colitis and that ginger could be utilized to prevent and treat irritable bowel disease.

This is a preview of subscription content, access via your institution.

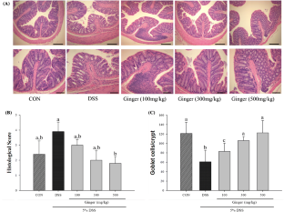
Fig. 1
Fig. 2
Fig. 3
Fig. 4
Fig. 5

References

  • Ali BH, Blunden G, Tanira MO, Nemmar A. Some phytochemical, pharmacological and toxicological properties of ginger (Zingiber officinale Roscoe): A review of recent research. Food. Chem. Toxicol. 46: 409–420 (2008)

    CAS  Article  PubMed  Google Scholar 

  • Awaad AS, El-Meligy RM, Soliman GA. Natural products in treatment of ulcerative colitis and peptic ulcer. J. Saudi Chem. Soc. 17: 101–124 (2013)

    CAS  Article  Google Scholar 

  • Baumgart DC, Sandborn WJ. Crohn’s disease. Lancet 380: 1590–1605 (2012)

    Article  PubMed  Google Scholar 

  • Carter MJ, Lobo AJ, Travis SPL. Guidelines for the management of inflammatory bowel disease in adults. Gut. 53: v1–v16 (2004)

    Article  PubMed  PubMed Central  Google Scholar 

  • Chang KW, Kuo CY. 6-Gingerol modulates proinflammatory responses in dextran sodium sulfate (DSS)-treated Caco-2 cells and experimental colitis in mice through adenosine monophosphate-activated protein kinase (AMPK) activation. Food Funct. 6: 3334–3341 (2015)

    CAS  Article  PubMed  Google Scholar 

  • Chrubasik S, Pittler MH, Roufogalis BD. Zingiberis rhizoma: A comprehensive review on the ginger effect and efficacy profiles. Phytomedicine. 12: 684–701 (2005)

    CAS  Article  PubMed  Google Scholar 

  • Chung SW, Kim MK, Chung JH, Kim DH, Choi JS, Anton S, Seo AY, Park KY, Yokozawa T, Rhee SH, Yu BP, Chung HY. Peroxisome Proliferator-Activated Receptor Activation by a Short-Term Feeding of Zingerone in Aged Rats. J. Med. Food. 12: 345–350 (2009)

    CAS  Article  PubMed  Google Scholar 

  • Cooper HS, Murthy SN, Shah RS, Sedergran DJ. Clinicopathologic study of dextran sulfate sodium experimental murine colitis. Lab. Invest. 69: 238–249 (1993)

    CAS  PubMed  Google Scholar 

  • Debnath T, Kim DH, Lim BO. Natural Products as a Source of Anti-Inflammatory Agents Associated with Inflammatory Bowel Disease. Molecules. 18: 7253–7270 (2013)

    CAS  Article  PubMed  Google Scholar 

  • DeMeo MT, Mutlu EA, Keshavarzian A, Tobin MC. Intestinal permeation and gastrointestinal disease. J. Clin. Gastroenterol. 34: 385–396 (2002)

    Article  PubMed  Google Scholar 

  • Dieleman LA, Palmen MJHJ, Akol H, Bloemena E, Pena AS, Meuwissen SGM, van Rees EP. Chronic experimental colitis induced by dextran sulphate sodium (DSS) is characterized by Th1 and Th2 cytokines. Clin. Exp. Immunol. 114: 385–391 (1998)

    CAS  Article  PubMed  PubMed Central  Google Scholar 

  • Dothel G, Vasina V, Barbara G, De Ponti F. Animal models of chemically induced intestinal inflammation: Predictivity and ethical issues. Pharmacol. Ther. 139: 71–86 (2013)

    CAS  Article  PubMed  Google Scholar 

  • Dugasani S, Pichika MR, Nadarajah VD, Balijepalli MK, Tandra S, Korlakunta JN. Comparative antioxidant and anti-inflammatory effects of [6]-gingerol, [8]-gingerol, [10]-gingerol and [6]-shogaol. J. Ethnopharmacol. 127: 515–520 (2010)

    CAS  Article  PubMed  Google Scholar 

  • El-Abhar HS, Hammad LNA, Gawad HSA. Modulating effect of ginger extract on rats with ulcerative colitis. J. Ethnopharmacol. 118: 367–372 (2008)

    CAS  Article  PubMed  Google Scholar 

  • Fan JZ, Yang X, Bi ZG. 6-Gingerol inhibits osteosarcoma cell proliferation through apoptosis and AMPK activation. Tumour. Biol. 36: 1135–1141 (2015)

    CAS  Article  PubMed  Google Scholar 

  • Hayashi T, Ishida T, Motoya S, Itoh F, Takahashi T, Hinoda Y, Imai K. Mucins and immune reactions to mucins in ulcerative colitis. Digestion. 63: 28–31 (2001)

    CAS  Article  PubMed  Google Scholar 

  • Hsiang CY, Lo HY, Huang HC, Li CC, Wu SL, Ho TY. Ginger extract and zingerone ameliorated trinitrobenzene sulphonic acid-induced colitis in mice via modulation of nuclear factor-kappa B activity and interleukin-1 beta signalling pathway. Food. Chem. 136: 170–177 (2013)

    CAS  Article  PubMed  Google Scholar 

  • Jung MY, Lee MK, Park HJ, Oh E-B, Shin JY, Park JS, Jung SY, Oh J-H, Choi D-S. Heat-induced conversion of gingerols to shogaols in ginger as affected by heat type (dry or moist heat), sample type (fresh or dried), temperature and time. Food. Sci. Biotechnol. 27: 687–693 (2018)

    CAS  Article  PubMed  Google Scholar 

  • Kim MS, Kim JY. Intestinal anti-inflammatory effects of cinnamon extracts in a co-culture model of intestinal epithelial Caco-2 cells and RAW264.7 macrophages. Appl. Biol. Chem. 60: 553–561 (2017)

    CAS  Google Scholar 

  • Kullmann F, Messmann H, Alt M, Gross V, Bocker T, Scholmerich J, Ruschoff J. Clinical and histopathological features of dextran sulfate sodium induced acute and chronic colitis associated with dysplasia in rats. Int. J. Colorectal. Dis. 16: 238–246 (2001)

    CAS  Article  PubMed  Google Scholar 

  • Luettig J, Rosenthal R, Lee IFM, Krug SM, Schulzke JD. The ginger component 6-shogaol prevents TNF-alpha-induced barrier loss via inhibition of PI3 K/Akt and NF-kappa B signaling. Mol. Nutr. Food. Res. 60: 2576–2586 (2016)

    CAS  Article  PubMed  Google Scholar 

  • Murakami A, Hayashi R, Takana T, Kwon KH, Ohigashi H, Safitri R. Suppression of dextran sodium sulfate-induced colitis in mice by zerumbone, a subtropical ginger sesquiterpene, and nimesulide: separately and in combination. Biochem. Pharmacol. 66: 1253–1261 (2003)

    CAS  Article  PubMed  Google Scholar 

  • Neurath MF. Cytokines in inflammatory bowel disease. Nat Rev Immunol. 14: 329–342 (2014)

    CAS  Article  PubMed  Google Scholar 

  • Perse M, Cerar A. Dextran Sodium Sulphate Colitis Mouse Model: Traps and Tricks. J. Biomed. Biotechnol. 718617 (2012)

  • Podolsky DK. Inflammatory bowel disease. N. Engl. J. Med. 347: 417–429 (2002)

    CAS  Article  PubMed  Google Scholar 

  • Schnoor M. E-cadherin Is Important for the Maintenance of Intestinal Epithelial Homeostasis Under Basal and Inflammatory Conditions. Dig. Dis. Sci. 60: 816–818 (2015)

    Article  PubMed  Google Scholar 

  • Sha T, Igaki K, Yamasaki M, Watanabe T, Tsuchimori N. Establishment and validation of a new semi-chronic dextran sulfate sodium-induced model of colitis in mice. Int. Immunopharmacol. 15: 23–29 (2013)

    CAS  Article  PubMed  Google Scholar 

  • Shen P, Zhang ZC, He Y, Gu C, Zhu KP, Li S, Li YX, Lu XJ, Liu JX, Zhang NS, Cao YG. Magnolol treatment attenuates dextran sulphate sodium-induced murine experimental colitis by regulating inflammation and mucosal damage. Life Sci. 196: 69–76 (2018)

    CAS  Article  PubMed  Google Scholar 

  • Strober W, Fuss IJ, Blumberg RS. The immunology of mucosal models of inflammation. Annu. Rev. Immunol. 20: 495–549 (2002)

    CAS  Article  PubMed  Google Scholar 

  • Triantafyllidi A, Xanthos T, Papalois A, Triantafillidis JK. Herbal and plant therapy in patients with inflammatory bowel disease. Ann. Gastroenterol. 28: 210–220 (2015)

    PubMed  PubMed Central  Google Scholar 

  • Verhave M, Winter HS, Grand RJ. Azathioprine in the Treatment of Children with Inflammatory Bowel-Disease. J. Perinatol. 117: 809–814 (1990)

    CAS  Google Scholar 

  • Wang K, Li YF, Lv Q, Li XM, Dai Y, Wei ZF. Bergenin, Acting as an Agonist of PPARgamma, Ameliorates Experimental Colitis in Mice through Improving Expression of SIRT1, and Therefore Inhibiting NF-kappaB-Mediated Macrophage Activation. Front. Pharmacol. 8: 981 (2017)

    Article  PubMed  Google Scholar 

  • Yu XT, Xu YF, Huang YF, Qu C, Xu LQ, Su ZR, Zeng HF, Zheng L, Yi TG, Li HL, Chen JP, Zhang XJ. Berberrubine attenuates mucosal lesions and inflammation in dextran sodium sulfate-induced colitis in mice. Plos One. 13 (2018)

  • Zbar AP, Simopoulos C, Karayiannakis AJ. Cadherins: an integral role in inflammatory bowel disease and mucosal restitution. J. Gastroenterol. 39: 413–421 (2004)

    CAS  Article  PubMed  Google Scholar 

  • Zhao L, Xiao HT, Mu HX, Huang T, Lin ZS, Zhong LLD, Zeng GZ, Fan BM, Lin CY, Bian ZX. Magnolol, a Natural Polyphenol, Attenuates Dextran Sulfate Sodium-Induced Colitis in Mice. Molecules. 22 (2017)

    Article  CAS  Google Scholar 

Download references

Acknowledgements

This work was supported by Korea Institute of Planning and Evaluation for Technology in Food, Agriculture, Forestry and Fisheries (IPET) through the High Value-added Food Technology Development Program, funded by the Ministry of Agriculture, Food and Rural Affairs (MAFRA) (Project No. 116012-3). We express our sincere appreciation for the support.

Author information

Affiliations

Authors

Corresponding author

Correspondence to Ji Yeon Kim.

Rights and permissions

Reprints and Permissions

About this article

Verify currency and authenticity via CrossMark

Cite this article

Kim, M.S., Kim, J.Y. Ginger attenuates inflammation in a mouse model of dextran sulfate sodium-induced colitis. Food Sci Biotechnol 27, 1493–1501 (2018). https://doi.org/10.1007/s10068-018-0438-6

Download citation

  • Received:

  • Revised:

  • Accepted:

  • Published:

  • Issue Date:

  • DOI: https://doi.org/10.1007/s10068-018-0438-6

Keywords

  • Colitis
  • Dextran sulfate sodium
  • Ginger
  • Inflammation
  • Inflammatory bowel disease