Abstract
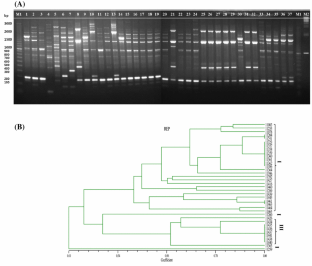
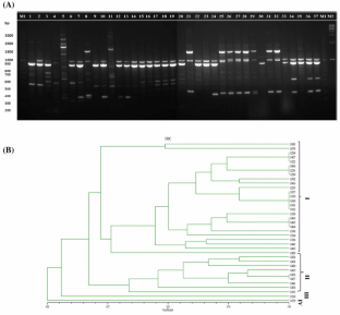
Lactic acid bacteria are known for their preservative effects on food products like meat and sausage. Since they are related to humans, these bacteria require proper characterization and identification among various other bacteria in the surroundings. For their identification, several typing methods have already been applied of which the genotyping methods provide reproducible and unambiguous results. In this study, PCR-based method called repetitive element PCR was used for typing 37 Leuconostoc mesenteroides with three primers, REP, ERIC, and (GTG)5, annealing to repetitive sequences present in the bacterial genome. Different fingerprints were obtained for the isolates showing distinguishing profiles. Further phylogenetic analysis was performed using UPGMA method of clustering which provided proper identification with genetic relatedness of all the isolates. It was finally observed that, out of the three primers used, (GTG)5 discriminated the strains precisely than the other two.



Explore related subjects
Discover the latest articles and news from researchers in related subjects, suggested using machine learning.References
Stiles ME, Holzapfel WH. Lactic acid bacteria of foods and their current taxonomy. Int. J. Food Microbiol. 36: 1–29 (1997)
Rattanachaikunsopon P, Phumkhachorn P. Lactic acid bacteria: their antimicrobial compounds and their uses in food production. Ann. Biol. Res. 1: 218–228 (2010)
Gevers D, Huys G, Swings J. Applicability of rep-PCR fingerprinting for identification of Lactobacillus species. FEMS Microbiol. Lett. 205: 31–36 (2001)
Chagnaud P, Machinis K, Coutte LA, Marecat A, Mercenier A. Rapid PCR-based procedure to identify lactic acid bacteria: application to six common Lactobacillus species. J. Microbiol. Methods 44: 139–148 (2001)
Muñoz MCC, Benomar N, Lerma LL, Gálvez A, Abriouel H. Antibiotic resistance of Lactobacillus pentosus and Leuconostoc pseudomesenteroides isolated from naturally-fermented Aloreña table olives throughout fermentation process. Int. J. Food Microbiol. 172: 110–118 (2014)
Dan T, Liu W, Sun Z, Lv Q, Xu H, Song Y, Zhang H. A novel multi-locus sequence typing (MLST) protocol for Leuconostoc lactis isolates from traditional dairy products in China and Mongolia. BMC Microbiol. 14: 150 (2014)
Hemme D, Foucaud-Scheunemann C. Leuconostoc, characteristics, use in dairy technology and prospects in functional foods. Int. Dairy J. 14: 467–494 (2004)
Kot W, Neve H, Heller KJ, Vogensen FK. Bacteriophages of Leuconostoc, Oenococcus, and Weissella. Front. Microbiol. 5: 186 (2014)
Mohania D, Nagpal R, Kumar M, Bhardwaj A, Yadav M, Jain S, Marotta F, Singh V, Parkash O, Yadav H. Molecular approaches for identification and characterization of lactic acid bacteria. J. Dig. Dis. 9: 190–198 (2008)
Amor KB, Vaughan EE, Vos WM. Advanced molecular tools for the identification of lactic acid bacteria. J. Nutr. 137: 741S–747S (2007)
Rademaker JLW, Hoste B, Louws FJ, Kersters K, Swings J, Vauterin L, Vauterin P, Bruijn FJ. Comparison of AFLP and rep-PCR genomic fingerprinting with DNA–DNA homology studies: Xanthomonas as a model system. Int. J. Syst. Evol. Microbiol. 50: 665–677 (2000)
Tafvizi F, Ebrahimi MT. Application of repetitive extragenic palindromic elements based on PCR in detection of genetic relationship of lactic acid bacteria species isolated from traditional fermented food products. J. Agric. Sci. Technol. 17: 87–98 (2015)
Manzano M, Giusto C, Iacumin L, Cantoni C, Comi G. Molecular methods to evaluate biodiversity in Bacillus cereus and Bacillus thuringiensis strains from different origins. Food Microbiol. 26: 259–264 (2009)
Olive DM, Bean P. Principles and applications of methods for DNA based typing of microbial organisms. J. Clin. Microbiol. 37: 1661–1669 (1999)
Lee CM, Sieo CC, Cheah YK, Abdullah N, Ho YW. Discrimination of probiotic Lactobacillus strains for poultry by repetitive sequenced based PCR fingerprinting. J. Sci. Food Agric. 92: 660–666 (2012)
Vuyst LD, Camu N, Winter TD, Vandemeulebroecke K, Perre VV, Vancanneyt M, Vos PD, Cleenwerck I. Validation of the (GTG)5-rep-PCR fingerprinting technique for rapid classification and identification of acetic acid bacteria, with a focus on isolates from Ghanaian fermented cocoa beans. Int. J. Food Microbiol. 125: 79–90 (2008)
Stephenson DP, Moore RJ, Allison GE. Comparison and utilization of repetitive-element PCR techniques for typing Lactobacillus isolates from the chicken gastrointestinal tract. Appl. Environ. Microbiol. 75: 6764–6776 (2009)
Versalvoic J, Schneider M, Bruijn FJ, Lupski JR. Genomic fingerprinting of bacteria using repetitive sequence based polymerase chain reaction. Methods Mol. Biol. 5: 25–40 (1994)
Kaur J, Lee S, Park Y-S, Sharma A. RAPD analysis of Leuconostoc mesenteroides strains associated with vegetables and food products from Korea. LWT Food Sci. Technol. 77: 383–388 (2017)
Ruiz P, Sesena S, Palop ML. A comparative study of different PCR-based DNA fingerprinting techniques for typing of lactic acid bacteria. Eur. Food Res. Technol. 239: 87–98 (2014)
Saito S, Kobayashi M, Nira HK, Aoki R, Mizumachi K, Miyata S, Yamamoto K, Kitagawa Y, Suzuki C. Intraspecies discrimination of Lactobacillus paraplantarum by PCR. FEMS Microbiol. Lett. 316: 70–76 (2011)
Terzic-Vidojevic A, Mihajlovic S, Uzelac G, Veljovic K, Tolinacki M, Nikolic M, Topisirovic L, Kojic M. Characterization of lactic acid bacteria isolated fromm artisanal Travnik young cheeses, sweet creams and sweet kajmaks over four seasons. Food Micrbiol. 39: 27–38 (2014)
Ouadghiri M, Vancanneyt M, Vandamme P, Naser S, Gevers D, Lefebvre K, Swings J, Amar M. Identification of lactic acid bacteria in Moroccan raw milk and traditionally fermented skimmed milk ‘Iben’. J. Appl. Microbiol. 106: 486–495 (2009)
Acknowledgements
This work was supported by Korea Institute of Planning and Evaluation for Technology in Food, Agriculture, Forestry and Fisheries (IPET) through the High Value-added Food Technology Development Program, funded by the Ministry of Agriculture, Food and Rural Affairs (MAFRA; Grant Number: 314073-03-2-HD040).
Author information
Authors and Affiliations
Corresponding author
Ethics declarations
Conflict of interest
The authors declare that they have no conflict of interest.
Rights and permissions
About this article
Cite this article
Kaur, J., Lee, S., Sharma, A. et al. DNA profiling of Leuconostoc mesenteroides strains isolated from fermented foods and farm produce in Korea by repetitive-element PCR. Food Sci Biotechnol 26, 1667–1673 (2017). https://doi.org/10.1007/s10068-017-0189-9
Received:
Revised:
Accepted:
Published:
Issue Date:
DOI: https://doi.org/10.1007/s10068-017-0189-9