Abstract
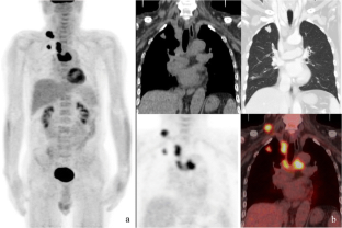
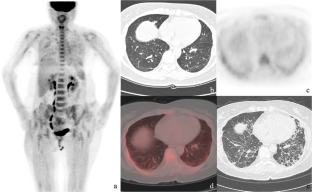
This study aimed to investigate the multiple values of 18F-FDG PET/CT in detecting malignant tumors, evaluating myopathy, and determining interstitial lung disease in patients with idiopathic inflammatory myopathy (IIM). We retrospectively analyzed the data of 38 patients who were examined by 18F-FDG PET/CT and eventually diagnosed as IIM. We also collected the data of another 22 cases with negative PET/CT as the control. Pulmonary HRCT images were acquired simultaneously with regular 18F-FDG PET/CT imaging for each patient. Image analysis included the presence of malignant lesions, muscular FDG uptake, and interstitial lung disease and its imaging features. IIM was classified into polymyositis (PM), classic dermatomyositis (CDM), and clinical amyopathic dermatomyositis (CADM). All suspected malignant lesions were confirmed by histopathological examination. Interstitial lung disease was diagnosed by HRCT. Rapidly progressive interstitial lung disease (RP-ILD) was determined according to clinical follow-ups. The significance of 18F-FDG PET/CT in the detection of malignancy, observation of activity of myopathy, and determination of interstitial lung disease in IIM patients was explored based on the final clinical diagnosis. In the 38 patients with IIM, 3 cases were classified as PM, 18 as CDM, and 17 as CADM. PET/CT correctly detected 7 cases (18.4%) of malignant tumors, and all of which were found in CDM and PM patients. The muscular FDG uptake in IIM patients was higher than the control population, and it was higher in patients with myopathy (including PM and CDM) than in patients with CADM. The muscular FDG uptake in IIM patients was correlated with elevated serum creatine kinase level (r = 0.332, P = 0.042) and impaired muscle strength (r = −0.605, P < 0.001). Interstitial lung disease was detected by HRCT in 30 patients (78.9%), and 7 of them were eventually confirmed as RP-ILD, according to the clinical outcome. The FDG uptake in lung lesions of RP-ILD patients was higher than those with chronic interstitial lung diseases, even though no significant difference was found between the CT features of RP-ILD and chronic interstitial lung disease. When SUVmax ≥ 2.4 was employed as the threshold for RP-ILD prediction, the diagnostic efficiency was yield with a sensitivity of 100.0% (7/7), specificity of 87.0% (20/23), and accuracy of 90.0% (27/30), respectively. For IIM patients, 18F-FDG PET/CT has multiple values in identifying malignancies, observing the status of inflammatory myopathy, detecting interstitial lung disease, and predicting the occurrence of RP-ILD. Therefore, it is recommended to use PET/CT in the clinical course of diagnosis and management of IIM.



References
Mammen A (2016) Autoimmune muscle disease. Handb Clin Neurol 133:467–484
Bohan A, Peter JB (1975) Polymyositis and dermatomyositis (first of two parts). N Engl J Med 292:344–347
Bohan A, Peter JB (1975) Polymyositis and dermatomyositis (second of two parts). N Engl J Med 292:403–407
Hill CL, Zhang Y, Sigurgeirsson B et al (2001) Frequency of specific cancer types in dermatomyositis and polymyositis: a population-based study. Lancet 357(9250):96–100
Buchbinder R, Forbes A, Hall S et al (2001) Incidence of malignant disease in biopsy-proven inflammatory myopathy: a population-based cohort study. Ann Intern Med 134(12):1087–1095
Chen IJ, Wu Y, Lin CW et al (2009) Interstitial lung disease in polymyositis and dermatomyositis. Clin Rheumatol 28(6):639–646
Fathi M, Vikgren J, Boijsen M et al (2008) Interstitial lung disease in polymyositis and dermatomyositis: longitude evaluation by pulmonary function and radiology. Arthritis Rheum 59(5):677–685
Yu KH, Wu YJ, Kuo CF et al (2011) Survival analysis of patients with dermatomyositis and polymyositis. Clin Rheumatol 30(12):1595–1601
Marie I, Hachulla E, Cherin P et al (2002) Interstitial lung disease in polymyositis and dermatomyositis. Arthritis Rheum 47:614–622
Sontheimer RD (2002) Dermatomyositis: an overview of recent progress with emphasis on dermatologic aspects. Dermatol Clin 20(3):387–408
Sontheimer RD, Miyagawa S (2003) Potentially fatal interstitial lung disease can occur in clinically amyopathic dermatomyositis. J Am Acad Dermatol 48:797–798
Xu Y, Yang CS, Li YJ et al (2016) Predictive factors of rapidly progressive-interstitial lung disease in patients with clinically amyopathic dermatomyositis. Clin Rheumatol 35(1):113–116
Ye S, Chen XX, Lu XY et al (2007) Adult clinically amyopathic dermatomyositis with rapid progressive interstitial lung disease: a retrospective cohort study. Clin Rheumatol 26(10):1647–1654
Mahmmod S, Rodríguez Martínez de Llano S (2012) 18F-FDG PET detection of unknown primary malignancy in dermatomyositis. Clin Nucl Med 37(8):e204–e205
Selva-O’Callaghan A, Grau JM, Gámez-Cenzano C et al (2010) Conventional cancer screening versus PET/CT in dermatomyositis/polymyositis. Am J Med 123(6):558–562
Tateyama M, Fujihara K, Misu T et al (2015) Clinical values of FDG PET in polymyositis and dermatomyositis syndromes: imaging of skeletal muscle inflammation. BMJ Open 5(1):e006763
Tanaka S, Ikeda K, Uchiyama K, et al. [18F] FDG uptake in proximal muscles assessed by PET/CT reflects both global and local muscular inflammation and provides useful information in the management of patients with polymyositis/dermatomyositis. Rheumatology (Oxford).2013; 52(7): 1271–1278
Morita Y, Kuwagata S, Kato N et al (2012) 18F-FDG PET/CT useful for the early detection of rapidly progressive fatal interstitial lung disease in dermatomyositis. Intern Med 51(12):1613–1618
Uehara T, Takeno M, Hama M et al (2016) Deep-inspiration breath-hold 18F-FDG-PET/CT is useful for assessment of connective tissue disease associated interstitial pneumonia. Mod Rheumatol 26(1):121–127
Owada T, Maezawa R, Kurasawa K et al (2012) Detection of inflammatory lesions by F-18 fluorodeoxyglucose positron emission tomography in patients with polymyositis and dermatomyositis. J Rheumatol 39:1659–1665
Johkoh T (2014) Nonspecific interstitial pneumonia and usual interstitial pneumonia: is differentiation possible by high-resolution computed tomography? Semin Ultrasound CT MR. 35(1):24–28
Raghu G, Collard HR, Egan JJ et al (2011) An official ATS/ERS/JRS/ALAT statement: idiopathic pulmonary fibrosis: evidence-based guidelines for diagnosis and management. Am J Respir Crit Care Med 183(6):788–824
Lynch DA, Huckleberry JM (2014) Usual interstitial pneumonia: typical and atypical high-resolution computed tomography features. Semin Ultrasound CT MR. 35(1):12–23
Ichikado K (2014) High-resolution computed tomography findings of acute respiratory distress syndrome, acute interstitial pneumonia, and acute exacerbation of idiopathic pulmonary fibrosis. Semin Ultrasound CT MR 35(1):39–46
Euwer RL, Sontheimer RD (1991) Amyopathic dermatomyositis (dermatomyositis sine myositis): presentation of six new cases and review of the literature. J Am Acad Dermatol 24(6 Pt 1):959–966
Mukae H, Ishimoto H, Sakamoto N et al (2009) Clinical differences between interstitial lung disease associated with clinically amyopathic dermatomyositis and classic dermatomyositis. Chest 136:1341–1347
Caproni M, Cardinali C, Parodi A et al (2002) Amyopathic dermatomyositis: a review by the Italian Group of Immunodermatology. Arch Dermatol 138(1):23–27
Lam WW, Chan H, Chan YL et al (1999) MR imaging in amyopathic dermatomyositis. Acta Radiol 40(1):69–72
Yamashita H, Kubota K, Mimori A (2014) Clinical value of whole-body PET/CT in patients with active rheumatic disease. Arthritis Res Ther 16(5):423–434
Palard-Novello X, Querellou S, Gouillou M et al (2016) Value of (18) F-FDG PET/CT for therapeutic assessment of patients with polymyalgia rheumatica receiving tocilzumab as first-line treatment. Eur J Nucl Med Mol Imaging 43(4):773–779
Curiel R, Akin EA, Beaulieu G et al (2011) PET/CT imaging in systemic lupus erythematosus. Ann N Y Acad Sci 1228:71–80
Zampieri S, Valente M, Adami N et al (2010) Polymyositis, dermatomyositis and malignancy: a further intriguing link. Autoimmun Rev 9:449–453
Hayashi S, Tanaka M, Koboyashi H et al (2008) High-resolution computed tomography characterization of interstitial lung diseases in polymyositis/dermatomyositis. J Rheumatol 35(2):260–269
Fathi M, Vikgren J, Boijsen M et al (2008) Interstitial lung disease in polymyositis and dermatomyositis: longitudinal evaluation by pulmonary function and radiology. Arthritis Rheum 59(5):677–685
Yu KH, Wu YJ, Kuo CF et al (2011) Survival analysis of patients with dermatomyositis and polymyositis: analysis of 192 Chinese cases. Clin Rheumatol 30(12):1595–1601
Marie I, Hatron PY, Dominique S et al (2011) Short-term and long-term outcomes of interstitial lung disease in polymyositis and dermatomyositis: a series of 107 patients. Arthritis Rheum 63(11):3439–3447
Euwer RL, Sontheimer RD (1993) Amyopathic dermatomyositis: a review. J Invest Dermatol 100(1):124S–127S
Gerami P, Schope JM, McDonald L et al (2006) A systematic review of adult-onset clinically amyopathic dermatomyositis (dermatomyositis sine myositis): a missing link within the spectrum of the idiopathic inflammatory myopathies. J Am Acad Dermatol 54(4):597–613
Lega JC, Reynaud Q, Belot A et al (2015) Idiopathic inflammatory myopathies and the lung. Eur Respir Rev 24:216–238
Ruano CA, Lucas RN, Leal CI et al (2015) Thoracic manifestations of connective tissue disease. Curr Probl Diagn Radiol 44(1):47–59
Yamashita H, Kubota K, Takahashi Y et al (2014) Clinical value of 18F-fluoro-dexoxyglucose positron emission tomography/computed tomography in patients with adult-onset Still’s disease: a seven-case series and review of the literature. Mod Rheumatol 24(4):645–650
Papathanasiou ND, Du Y, Menezes LJ et al (2012) 18F-Fludeoxyglucose PET/CT in the evaluation of large-vessel vasculitis: diagnositc performance and correlation with clinical and laboratory parameters. Br J Radiol 85(1014):e188–e194
Funding
This study received no funding.
Author information
Authors and Affiliations
Corresponding author
Ethics declarations
The study was performed in accordance with the tenets of the Declaration of Helsinki and was approved by the institutional review board. All patients provided written informed consent for the use of their medical reports for research.
Disclosures
None.
Rights and permissions
About this article
Cite this article
Li, Y., Zhou, Y. & Wang, Q. Multiple values of 18F-FDG PET/CT in idiopathic inflammatory myopathy. Clin Rheumatol 36, 2297–2305 (2017). https://doi.org/10.1007/s10067-017-3794-3
Received:
Revised:
Accepted:
Published:
Issue Date:
DOI: https://doi.org/10.1007/s10067-017-3794-3