Skip to main content

The fine line between Takayasu arteritis and giant cell arteritis

Abstract

The objective of this study is to describe a series of patients above the age of 50 years with large vessel arteritis and vascular involvement typical of TAK. A retrospective review of 18 patients (median age 64 years) with emphasis on clinical characteristics, laboratory values, and vascular involvement by CT, MRI, or planar angiography. Five patients fulfilled the ACR criteria for GCA, five for TAK, three both GCA and TAK, while five patients did not fulfill the criteria for either disease. The dominant presenting symptoms were constitutional, while only a few patients had cranial or peripheral symptoms. Sixty-one percent had physical signs of vascular compromise. Temporal artery biopsy showed giant cell arteritis in six out of nine biopsies. Arterial involvement: 78 % had either involvement of the ascending aorta, the aortic arch, descending or/and abdominal aorta, 9 carotid, 12 subclavian, 5 axillary, 3 renal, 7 iliac, and 2 femoral arteries; 7 mesenteric or celiac trunk. All the patients were treated with prednisone and 50 % with steroid-sparing drug. Nine out of 15 patients (60 %) achieved remission after 1 year of follow-up. No substantial differences in the distribution of vascular involvement, type of treatment, or outcome measures were observed between patients fulfilling criteria for GCA or TAK. Vascular involvement typical of TAK in patients above the age of 50 years with large vessel arteritis seems to be more frequent than previously assumed. Our findings support the assumption that TAK and GCA represent a spectrum of the same disease.

This is a preview of subscription content, access via your institution.

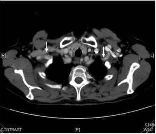
Fig. 1
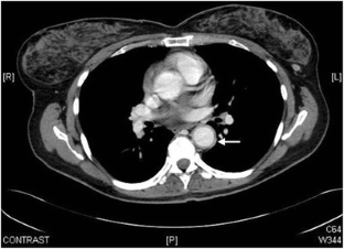
Fig. 2

References

  1. Agard C, Barrier JH, Dupas B et al (2008) Aortic involvement in recent-onset giant cell (temporal) arteritis: a case–control prospective study using helical aortic computed tomodensitometric scan. Arthritis Rheum 59:670–676

    Article  PubMed  Google Scholar 

  2. Marie I, Proux A, Duhaut P et al (2009) Long-term follow-up of aortic involvement in giant cell arteritis: a series of 48 patients. Medicine (Baltimore) 88:182–192

    Article  Google Scholar 

  3. Prieto-Gonzales S, Arguis P, Garcia-Martinez A et al (2012) Large vessel involvement in biopsyproven giant cell arteritis: prospective study in 40 newly diagnosed patients using CT angiography. Ann Rheum Dis 71:1170–1176

    Article  Google Scholar 

  4. Blockmans D, de Ceuninck L, Vandererschueren S et al (2006) Repetitive 18F-fluorodeoxyglucose positron emission tomography in giant cell arteritis: a prospective study of 35 patients. Arthritis Rheum 55:131–137

    Article  PubMed  Google Scholar 

  5. Ostberg G (1972) Morphological changes in the large arteries in polymyalgia arteritica. Acta Med Scand Suppl 533:133–159

    Google Scholar 

  6. Arend WP, Michel BA, Bloch DA et al (1990) The American College of Rheumatology 1990 criteria for the classification of Takayasu arteritis. Arthritis Rheum 33:1129–1134

    Article  CAS  PubMed  Google Scholar 

  7. Hunder GG, Arend WP, Bloch DA et al (1990) The American College of Rheumatology 1990 criteria for the classification of vasculitis. Introduction. Arthritis Rheum 33:1065–1067

    Article  CAS  PubMed  Google Scholar 

  8. Lee JL, Naguwa SM, Cheema GS, Gershwin ME (2008) The geo-epidemiology of temporal (giant cell) arteritis. Clin Rev Allergy Immunol 35:88–95

    Article  PubMed  Google Scholar 

  9. Salvarani C, Crowson CS, O’fallon WM, Hunder GG et al (2004) Reappraisal of the epidemiology of giant cell arteritis in Olmsted County, Minnesota, over a fifty-year period. Arthritis Rheum 51:264–268

    Article  PubMed  Google Scholar 

  10. Salvarania C, Macchioni P, Zizzi F et al (1991) Epidemiologic and immunogenetic aspects of polymyalgia rheumatica and giant cell arteritis in northern Italy. Arthritis Rheum 34:351–356

    Article  Google Scholar 

  11. Assie C, Janvresse A, Plissonnier D, Levesque H et al (2011) Long-term follow-up of upper and lower extremity vasculitis related to giant cell arteritis: a series of 36 patients. Medicine (Baltimore) 90:40–51

    Article  Google Scholar 

  12. Brack A, Martinez-Taboada V, Stanson A et al (1999) Disease pattern in cranial and large-vessel giant cell arteritis. Arthritis Rheum 42:311–317

    Article  CAS  PubMed  Google Scholar 

  13. Grayson PC, Maksimowicz-McKinnon K, Clark TM et al (2012) Distribution of arterial lesions in Takayasu’s arteritis and giant cell arteritis. Ann Rheum Dis 71:1329–1334

    Article  PubMed Central  PubMed  Google Scholar 

  14. Dasgupta B, Borg FA, Hassan N et al (2010) BSR and BHPR guidelines for the management of giant cell arteritis. Rheumatology (Oxford) 49:1594–1597

    Article  Google Scholar 

  15. Mukhtyar C, Guillevin L, Cid MC et al (2009) EULAR recommendations for the management of large vessel vasculitis. Ann Rheum Dis 68:318–323

    Article  CAS  PubMed  Google Scholar 

  16. Jover JA, Hernandez-Garcia C, Morado IC et al (2001) Combined treatment of giant-cell arteritis with methotrexate and prednisone. a randomized, double-blind, placebo controlled trial. Ann Intern Med 134:106–114

    Article  CAS  PubMed  Google Scholar 

  17. Hoffman GS, Cid MC, Hellmann DB et al (2002) A multicenter, randomized, double blind, placebo controlled trial of adjuvant methotrexate treatment for giant cell arteritis. Arthritis Rheum 46:1309–1318

    Article  CAS  PubMed  Google Scholar 

  18. Spiera RF, Mitnick HJ, Kupersmith H (2001) A prospective, double blind, randomized, placebo controlled trial of methotrexate in the treatment of giant cell arteritis (GCA). Clin Exp Rheumatol 19:495–501

    CAS  PubMed  Google Scholar 

  19. Maksimowicz-McKinnon K, Clark TM, Hoffman GS (2009) Takayasu arteritis and giant cell arteritis: a spectrum within the same disease? Medicine (Baltimore) 88:221–226

    Article  Google Scholar 

  20. Aranaud L, Haroche J, Limal N et al (2010) Takayasu arteritis in France: a single-center retrospective study of 82 cases comparing white, North African, and black patients. Medicine (Baltimore) 89:1–17

    Article  Google Scholar 

  21. Di Giacomo V, Meloni F, Transi MG et al (1985) Takayasu’s disease in middle-aged women. A clinicopathologic study Angiology 36:70–74

    Article  Google Scholar 

  22. Park MC, Lee SW, Park YB et al (2005) Clinical characteristics and outcomes of Takayasu’s arteritis: analysis of 108 patients using standardized criteria for diagnosis, activity assessment, and angiographic classification. Scand J Rheum 34:284–292

    Article  PubMed  Google Scholar 

  23. Robles M, Reyes PA (1994) Takayasu’s arteritis in Mexico: a clinical review of 44 consecutive cases. Clin Exp Rheumatol 12:381–388

    CAS  PubMed  Google Scholar 

  24. Vanoli M, Daina E, Salvarani C et al (2005) Takayasu’s arteritis: a study of 104 Italian patients. Arthritis Rheum 53:100–107

    Article  CAS  PubMed  Google Scholar 

  25. Kerr GS, Hallahan CW, Giordano J (1994) Takayasu arteritis. Ann Intern Med 120:919–929

    Article  CAS  PubMed  Google Scholar 

  26. Maksimowicz-McKinnon K, Clark TM et al (2007) Limitations of therapy and a guarded prognosis in an American cohort of Takayasu arteritis patients. Arthritis Rheum 56:1000–1009

    Article  PubMed  Google Scholar 

  27. Evans JM, Bowles CA, Bjornsson J et al (1994) Thoracic aortic aneurysm and rupture in giant cell arteritis. A descriptive study of 41 cases. Arthritis Rheum 37:1539–1547

    Article  CAS  PubMed  Google Scholar 

  28. Gonzalez-Gay MA, Garcia-Porrua C, Pinerio A et al (2004) Aortic aneurysm and dissection in patients with biopsy-proven giant cell arteritis from northwestern Spain: a population-based study. Medicine (Baltimore) 83:335–341

    Article  Google Scholar 

  29. Klein RG, Hunder GG, Stanson AW et al (1975) Large artery involvement in giant cell (temporal) arteritis. Ann Intern Med 83:806–812

    Article  CAS  PubMed  Google Scholar 

  30. Nuenninghoff DM, Hunder GG, Christianson TJ et al (2003) Incidence and predictors of large-artery complication (aortic aneurysm, aortic dissection, and/or large-artery stenosis) in patients with giant cell arteritis: a population-based study over 50 years. Arthritis Rheum 48:3522–3531, 48: 3522–31

    Article  PubMed  Google Scholar 

Download references

Acknowledgment

In the memory of Dr. Pauzner Rachel who was a dedicated and enthusiastic internist and rheumatologist, extremely devoted to her patients, especially interested in the field of Takayasu arteritis and antiphospholipid syndrome and who made a significant contribution to this article. Esther Eshkol is thanked for editorial assistance. This study has been approved by the appropriate ethics committee and has therefore been performed in accordance with the ethical standards laid down in the 1964 Declaration of Helsinki and its later amendments. This research received no specific funding.

Conflict of interest

The authors declare that they do not have any competing interests.

Author’s contribution

Ari Polachek recruited participants, collected and interpreted the data, and wrote and approved the final report. Rachel Pauzner, David Levartovsky, Galia Rosen, Gideon Nesher, Gabriel Breuer, Marina Anouk, Uri Arad, Hagit Sarvagyl-Maman, Ilana Kaufman, and Dan Caspi recruited patients and approved the final report. Ori Elkayam designed the study, recruited patients, interpreted the data, and wrote and approved the final report.

Author information

Affiliations

Authors

Corresponding author

Correspondence to Ari Polachek.

Rights and permissions

Reprints and Permissions

About this article

Verify currency and authenticity via CrossMark

Cite this article

Polachek, A., Pauzner, R., Levartovsky, D. et al. The fine line between Takayasu arteritis and giant cell arteritis. Clin Rheumatol 34, 721–727 (2015). https://doi.org/10.1007/s10067-014-2813-x

Download citation

  • Received:

  • Revised:

  • Accepted:

  • Published:

  • Issue Date:

  • DOI: https://doi.org/10.1007/s10067-014-2813-x

Keywords

  • Giant cell arteritis
  • Takayasu
  • Vasculitis