Skip to main content

Pneumocystis jirovecii pneumonia in two patients with systemic lupus erythematosus after rituximab therapy

Abstract

New cases of Pneumocystis jirovecii pneumonia (PJP) have recently been reported in patients with systemic lupus erythematosus (SLE) after rituximab therapy. Several factors may contribute to susceptibility to P. jirovecii infection in this type of patients, including the immunological characteristics of the disease, the mechanisms of rituximab action, environmental factors, and the biological characteristics of the fungus. We report two patients with SLE who developed PJP after rituximab therapy.

This is a preview of subscription content, access via your institution.

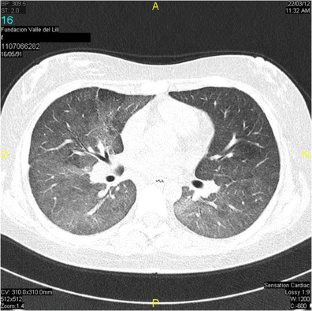
Fig. 1
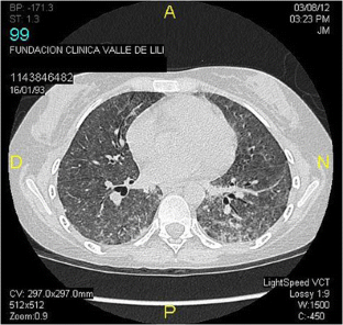
Fig. 2

References

  1. Choi J, Kim ST, Craft J (2012) The pathogenesis of systemic lupus erythematosus an update. Curr Opin Immunol 24:651–657

    CAS  PubMed Central  PubMed  Article  Google Scholar 

  2. Czuczman MS, Weaver R, Alkuzweny B, Berlfein J, Grillo-Lopez AJ (2004) Prolonged clinical and molecular remission in patients with low-grade or follicular non-Hodgkin's lymphoma treated with rituximab plus CHOP chemotherapy: 9-year follow-up. J Clin Oncol 22:4711–4716

    CAS  PubMed  Article  Google Scholar 

  3. Dass S, Vital EM, Emery P (2006) Rituximab: novel B-cell depletion therapy for the treatment of rheumatoid arthritis. Expert Opin Pharmacother 7:2559–2570

    CAS  PubMed  Article  Google Scholar 

  4. Bonilla-Abadía F, Echeverri AF, Izquierdo JH, Cañas F, Cañas CA (2012) Efficacy and safety of rituximab in the treatment of vasculitic leg ulcers associated with hepatitis C virus infection. Case report Rheumatol 2012:923897

    Google Scholar 

  5. Garcia-Carrasco M, Mendoza-Pinto C, Sandoval-Cruz M, Soto-Vega E, Beltran-Castillo A, Jimenez-Hernandez M et al (2010) Anti-CD20 therapy in patients with refractory systemic lupus erythematosus: a longitudinal analysis of 52 Hispanic patients. Lupus 19:213–219

    CAS  PubMed  Article  Google Scholar 

  6. Lund FE, Hollifield M, Schuer K, Lines JL, Randall TD, Garvy BA (2006) B cells are required for generation of protective effector and memory CD4 cells in response to Pneumocystis lung infection. J Immunol 176:6147–6154

    CAS  PubMed  Google Scholar 

  7. Teichmann LL, Woenckhaus M, Vogel C, Salzberger B, Scholmerich J, Fleck M (2008) Fatal Pneumocystis pneumonia following rituximab administration for rheumatoid arthritis. Rheumatology (Oxford) 47:1256–1257

    CAS  Article  Google Scholar 

  8. Hugle B, Solomon M, Harvey E, James A, Wadhwa A et al (2010) Pneumocystis jirovecii pneumonia following rituximab treatment in Wegener's granulomatosis. Arthritis Care Res (Hoboken) 62:1661–1664

    Article  Google Scholar 

  9. Tsai MJ, Chou CW, Lin FC, Chang SC (2012) Pneumocystis jirovecii pneumonia in patients with systemic lupus erythematosus after rituximab therapy. Lupus 21:914–918

    PubMed  Article  Google Scholar 

  10. Su GX, Wu FQ, Wang F, Zhou ZX, Huang XL, Lu J (2012) Rituximab therapy for severe pediatric systemic lupus erythematosus. Zhongha Er Ke Za 50:697–704

    Google Scholar 

  11. Gigliotti F, Wright TW (2005) Immunopathogenesis of Pneumocystis jirovecii pneumonia. Expert Rev Mol Med 7:1–16

    PubMed  Article  Google Scholar 

  12. Ferreira S, Vasconcelos J, Marinho A, Farinha F, Almeida I et al (2009) CD4 lymphocytopenia in systemic lupus erythematosus. Acta Reumatol Port 34:200–206

    PubMed  Google Scholar 

  13. Kato S, Chmielewski M, Honda H, Pecoits-Filho R, Matsuo S et al (2008) Aspects of immune dysfunction in end-stage renal disease. Clin J Am Soc Nephrol 3:1526–1533

    PubMed  Article  Google Scholar 

  14. Gea-Banacloche JC (2010) Rituximab-associated infections. Semin Hematol 47:187–198

    CAS  PubMed  Article  Google Scholar 

  15. Katsuya H, Suzumiya J, Sasaki H, Ishitsuka K, Shibata T et al (2009) Addition of rituximab to cyclophosphamide, doxorubicin, vincristine, and prednisolone therapy has a high risk of developing interstitial pneumonia in patients with non-Hodgkin lymphoma. Leuk Lymphoma 50:1818–1823

    CAS  PubMed  Article  Google Scholar 

  16. Castagnola E, Dallorso S, Faraci M, Morreale G, Di Martino D et al (2003) Long-lasting hypogammaglobulinemia following rituximab administration for Epstein–Barr virus-related post-transplant lymphoproliferative disease preemptive therapy. J Hematother Stem Cell Res 12:9–10

    PubMed  Article  Google Scholar 

  17. Masur H, Jones TC (1979) The interaction in vitro of Pneumocystis carinii with macrophages and L-cells. J Exp Med 147:157–170

    Article  Google Scholar 

  18. Chesnut RW, Grey HM (1982) Antigen presentation by B cells and its significance in TB interactions. Adv Immunol 39:51–94

    Article  Google Scholar 

  19. Marcotte H, Levesque D, Delanay K, Bourgeault A, de la Durantaye R et al (1996) Pneumocystis carinii infection in transgenic B cell-deficient mice. J Infect Dis 173:1034–1037

    CAS  PubMed  Article  Google Scholar 

Download references

Disclosures

None

Author information

Affiliations

Authors

Corresponding author

Correspondence to C A Cañas.

Rights and permissions

Reprints and Permissions

About this article

Cite this article

Bonilla-Abadía, F., Betancurt, J.F., Pineda, J.C. et al. Pneumocystis jirovecii pneumonia in two patients with systemic lupus erythematosus after rituximab therapy. Clin Rheumatol 33, 415–418 (2014). https://doi.org/10.1007/s10067-013-2475-0

Download citation

  • Received:

  • Revised:

  • Accepted:

  • Published:

  • Issue Date:

  • DOI: https://doi.org/10.1007/s10067-013-2475-0

Keywords

  • Pneumonia
  • Pneumocystis
  • Pneumocystis jirovecii
  • Rituximab
  • Systemic
  • Systemic lupus erythematosus