Skip to main content

Pyogenic sacroiliitis in children—a diagnostic challenge

Abstract

Osteoarticular infections in paediatric patients are associated with significant morbidity. Pyogenic sacroiliitis is rare and accounts for approximately 1–2% of osteoarticular infections in children. Diagnosis of this disease has been difficult in the past due to its deep location and may be delayed due to the lack of specific clinical signs and symptoms. We identified 11 paediatric patients with clinical–radiological signs of pyogenic sacroiliitis during an 8-year period and observed an unusual cluster of four cases during the last 11 months. Early diagnosis was possible due to a reproducible clinical pattern as well as radiological evidences of infection using magnetic resonance imaging and/or bone scintigraphy; most patients having predisposing factors. Staphylococcus aureus was the sole causative agent identified. All patients including two children with associated muscle abscesses were managed conservatively with antibiotic therapy only and showed good clinical response with no sequelae during follow-up. An algorithm for the correct and prompt diagnosis of this pathology is proposed. Standardised optimal therapy remains to be defined.

This is a preview of subscription content, access via your institution.

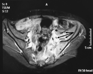
Fig. 1
Fig. 2

References

  1. Mustafa MM, Saez-Llorens X, McCracken GH Jr, Nelson JD (1990) Acute hematogenous pelvic osteomielitis in infants and children. Pediatr Infect Dis J 9:416–421

    CAS  Article  PubMed  Google Scholar 

  2. Schaad Urs B, McCracken GH Jr, Nelson JD (1980) Pyogenic arthritis of the sacroiliac joint in pediatric patients. Pediatrics 66(3):375–379

    Google Scholar 

  3. Ford LS, Ellis AM, Allen HW, Campbell DE (2004) Osteomyelitis and pyogenic sacroiliitis: a difficult diagnosis. J Paediatr Child Health 40:317–319

    CAS  Article  PubMed  Google Scholar 

  4. Doita M, Yoshiya S, Nabeshima Y et al (2003) Acute pyogenic sacroiliitis without predisposing conditions. Spine 28:384–389

    Article  Google Scholar 

  5. Liu XQ, Li FC, Wang JW, Wang S (2010) Postpartum septic sacroileiitis misdiagnosed as sciatic neuropathy. Am J Med Sci 339:292–295

    Article  PubMed  Google Scholar 

  6. Wada A, Takamura K, Fujii T, Yanagida H, Surijamorn P (2008) Septic sacroiliitis in children. J Pediatr Orthop 28:488–492

    PubMed  Google Scholar 

  7. Wu MS, Chang SS, Lee SH, Lee CC (2007) Pyogenic sacroiliitis: a comparison between paediatric and adult patients. Rheumatology 46:1684–1687

    Article  PubMed  Google Scholar 

  8. Gutiérrez Macías A, Barreiro García G, Ribacoba Bajo L, Alonso JJ, Aguirre Errasti C (1993) Sacroileitis piógena. Presentación de diez casos. Rev Clin Esp 193:235–238

    PubMed  Google Scholar 

  9. Haliloglu M, Kleiman MB, Siddiqui AR, Cohen MD (1994) Osteomyelitis and pyogenic infection of the sacroiliac joint. Pediatr Radiol 24:333–335

    CAS  Article  PubMed  Google Scholar 

  10. Gorissen J, Wojciechowski M, Somville J, Huyghe I, Parizel PM, Ramet J (2007) Pyogenic sacroiliitis in a 14-year-old girl. Eur J Pediatr 166:263–264

    Article  PubMed  Google Scholar 

  11. Obando I, Martin E, Alvarez-Aldean J, Chileme A, Baca M, Barrio F (1991) Group B Streptococcus pelvic osteomyelitis presenting as foot drop in a newborn ninfant. Pediatr Infect Dis J 10(9):703–705

    CAS  Article  PubMed  Google Scholar 

  12. Perez A, Padilla E, Marco A, De Otero J, Bandiera D, Marimón I (2008) Pneumococcal sacroiliits in a 4-year-old boy. Scand J Rheumatol 37(4):310–312

    CAS  Article  PubMed  Google Scholar 

  13. Arias Miranda IM, Quiroga Ruiz JM, López de Mesa C, García-Alcalde Fernández ML (2005) Sacroileítis piógena complicada con absceso de psoas y neumonía. Med Interna 22(12):608–609

    CAS  Google Scholar 

  14. Komatsu H, Nojiri H, Sogo T, INRI A, Sawa F, Fujisawa T (2009) Sacroiliitis infected with group A streptococcus in a child presenting with confusion and combativeness. J Infect Chemother 15(5):328–330

    Article  PubMed  Google Scholar 

  15. Cieslak TJ, Ottolini MG, O’Neill KM, Lampe RM (1993) Staphylococcus aureus meningitis associated with pyogenic infection of the sacroiliac joint. South Med J 86(10):1175–1178

    CAS  Article  PubMed  Google Scholar 

  16. Gómez-San E, Guerrero A, Morales A, Pérez-Gorricho B (1986) Sacroileitis infecciosa. Med Clín 86:37–39

    Google Scholar 

  17. Hizel K, Guzel O, Dizbay M, Karakus R, Senol E, Arman D et al (2007) Age and duration of disease as factors affecting clinical findings and sacroiliitis in brucellosis. Infection 35:434–437

    CAS  Article  PubMed  Google Scholar 

  18. Martínez-Aguilar G, Avalos-Mishaan A, Hulten K, Hammerman W, Mason EO Jr, Kaplan SL (2004) Community-acquired, methicillin-resistant and methicillin-susceptible Staphylococcus aureus musculoskeletal infections in children. Pediatr Infect Dis J 23(8):701–706

    Article  PubMed  Google Scholar 

  19. Manzur A, Dominguez AM, Pujol M, González MP, Limón E, Hornero A, Martín R, Gudiol F, Ariza J (2008) Community-acquired methicillin-resistant staphilococcus aureus infections: an emerging threat in Spain. Clin Microbiol Infect 14:377–380

    CAS  Article  PubMed  Google Scholar 

  20. Vander Have KL, Karmazyn B, Verma M, Caird MS, Hensinger RN, Farley FA, Lubicky JP (2009) Community-associated methicillin-resistant Staphylococcus aureus in acute musculoskeletal infection in children: a game changer. J Pediatr Orthop 29(8):927–931

    PubMed  Google Scholar 

  21. Blum U, Buitrago-Tellez C, Mudinger A, Krause T, Laubenberger J, Vaith P, Peter HH, Langer M (1996) Magnetic resonance imaging (MRI) for detection of active sacroiliitis. A prospective study comparing conventional radiography, scintigraphy, and contrast enhanced MRI. J Rheumatol 23(12):2107–2115

    CAS  PubMed  Google Scholar 

  22. Connolly LP, Connolly SA, Drubach LA, Jaramillo D, Treves ST (2002) Acute hematogenous osteomyelitis of children: assessment of skeletal scintigraphy-based diagnosis in the Era of MRI. J Nucl Med 43(10):1310–1316

    PubMed  Google Scholar 

  23. Le Saux N, Howard A, Barrowman NJ, Gaboury I, Sampson M, Moher D (2002) Shorter courses of parenteral antibiotic therapy do not appear to influence response rates for children with acute hematogenous osteomyelitis: a systematic review. BMC Infect Dis 2(16):1–9

    Google Scholar 

  24. Peltola H, Pääkkönen M, Kallio P, Kallio MJ (2009) Prospective, randomized trial of 10 days versus 30 days of antimicrobial treatment, including a short-term course of parenteral therapy, for childhood septic arthritis. Clin Infect Dis 48(9):1201–1210

    CAS  Article  PubMed  Google Scholar 

  25. Kumar J, Ramachandran M, Little D, Zenios M (2010) Pelvic osteomyelitis in children. J Pediatr Orthop B 19:38–41

    PubMed  Google Scholar 

Download references

Disclosures

None

Author information

Affiliations

Authors

Corresponding author

Correspondence to Olaf Neth.

Rights and permissions

Reprints and Permissions

About this article

Cite this article

Molinos Quintana, A., Morillo Gutiérrez, B., Camacho Lovillo, M.S. et al. Pyogenic sacroiliitis in children—a diagnostic challenge. Clin Rheumatol 30, 107–113 (2011). https://doi.org/10.1007/s10067-010-1549-5

Download citation

  • Received:

  • Revised:

  • Accepted:

  • Published:

  • Issue Date:

  • DOI: https://doi.org/10.1007/s10067-010-1549-5

Keywords

  • Sacroiliac joint
  • Magnetic resonance imaging
  • Osteomyelitis
  • Pyogenic