Skip to main content

Takayasu’s arteritis presenting with bilateral pulmonary granulomatosis

Abstract

Takayasu’s arteritis (TA) is a vasculitis characterized by inflammation and obliteration of intermediate to large-size arteries. We report a case of Takayasu’s arteritis with a presentation of bilateral pulmonary nodular infiltrates in a 21-year-old man. An open-lung biopsy showed characteristic changes of extra-vascular granulomatosis. To our knowledge, this has not been described previously in the literature.

This is a preview of subscription content, access via your institution.

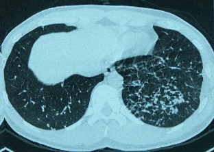
Fig. 1
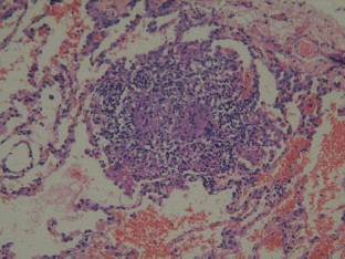
Fig. 2
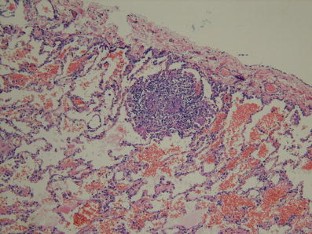
Fig. 3
Fig. 4

References

  1. Nakao K, Ikeda M, Kimata S, Niitani H, Niyahara M (1967) Takayasu’s arteritis. Clinical report of eighty-four cases and immunological studies of seven cases. Circulation 35:1141–1155

    PubMed  CAS  Google Scholar 

  2. Lupi-Herrera E, Sanchez-Torres G, Marcushamer J, Mispireta J, Horwitz S, Vela JE (1977) Takayasu’s arteritis. Clinical study of 107 cases. Am Heart J 93:94–103

    PubMed  Article  CAS  Google Scholar 

  3. Pernicaiaro CV, Winkelman RK, Hunder GG (1987) Cutaneous manifestations of Takayasu’s arteritis. J Am Acad Dermatol 17:998–1005

    Article  Google Scholar 

  4. Lai KN, Chan KU, Ho CP (1986) Glomerulonephritis associated with Takayasu’s arteritis. Report of three cases and review of literature. Am J Kidney Dis 7:197–204

    PubMed  CAS  Google Scholar 

  5. Lie JT (1996) Isolated pulmonary Takayasu’s arteritis: clinicopathologic characteristics. Mol Pathol 9:469–474

    CAS  Google Scholar 

  6. Sharma S, Kamalakar T, Rajani M, Talwar KK, Shrivastava S (1990) The incidence and patterns of pulmonary involvement in Takayasu’s arteritis. Clin Radiol 42:177

    PubMed  Article  CAS  Google Scholar 

  7. Arend WP, Michel BA, Bloch DA, Hunder GG, Calabrese LH, Edworthy SM, Fauci AS et al (1990) The American College of Rheumatology 1990. Criteria for the classification of Takayasu’s arteritis. Arthritis Rheum 33:1129–1134

    PubMed  Article  CAS  Google Scholar 

  8. Haque U, Hellmann D, Traill T, Venbrux A, Stone J (1999) Takayasu’s arteritis involving proximal pulmonary arteries and mimicking thromboembolic disease. J Rheumatol 26:450–453

    PubMed  CAS  Google Scholar 

  9. Koyabu S, Isaka N, Yada T, Konishi T, Nakano T (1993) Severe respiratory failure caused by recurrent pulmonary hemorrhage in Takayasu’s arteritis. Chest 104:1905–1906

    PubMed  CAS  Google Scholar 

  10. Cilli A, Ozdemir T, Ogus C (2001) Takayasu’s arteritis presenting with bilateral parenchymal consolidations and severe respiratory failure. Respiration 68:628–630

    PubMed  Article  CAS  Google Scholar 

  11. Rayner BL, Bock OA, Bristow A (1987) Takayasu’s arteritis: report of an unusual case. S Afr Med J 71:522

    PubMed  CAS  Google Scholar 

  12. Kumar S, Sherman CB (1997) Unusual pulmonary manifestations of Takayasu’s arteritis [letter]. J Rheumatol 24:1661–1662

    PubMed  CAS  Google Scholar 

  13. Long A, Bruneval P, Laurian C, Cormier JM, Camilleri JP, Fiessinger JN (1990) Takayasu’s disease: diagnostic and therapeutic value of subclavian artery biopsy. Ann Vasc Surg 4:151

    PubMed  Article  CAS  Google Scholar 

  14. Greene NB, Baughman RP, Kim CK (1986) Takayasu’s arteritis associated with interstitial lung disease and glomerulonephritis. Chest 89:605–606

    PubMed  CAS  Google Scholar 

Download references

Author information

Affiliations

Authors

Corresponding author

Correspondence to Cheng-De Yang.

Rights and permissions

Reprints and Permissions

About this article

Cite this article

Yang, CD., Teng, JL., Gu, YY. et al. Takayasu’s arteritis presenting with bilateral pulmonary granulomatosis. Clin Rheumatol 26, 612–614 (2007). https://doi.org/10.1007/s10067-005-0192-z

Download citation

  • Received:

  • Revised:

  • Accepted:

  • Published:

  • Issue Date:

  • DOI: https://doi.org/10.1007/s10067-005-0192-z

Keywords

  • Granulomatosis
  • Pulmonary
  • Takayasu’s arteritis