Skip to main content

A case of cutaneous polyarteritis nodosa manifested by spiking high fever, arthralgia and macular eruption like adult-onset Still's disease

Abstract

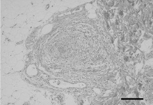
A 24-year-old Japanese woman was admitted for investigation of recurrent spiking high fever associated with a macular eruption of the upper extremities associated with fever and polyarthralgia. These symptoms were self-limiting but recurrent and seemed to be consistent with a diagnosis of adult-onset Still's disease (AOSD). However, livedo reticularis was detected on the lower extremities, suggesting the presence of vasculitic disease rather than AOSD. Investigation did not reveal any evidence of visceral involvement. Skin biopsy of the affected lower extremity demonstrated a necrotizing vasculitis of small muscular artery and confirmed a diagnosis of cutaneous polyarteritis nodosa (PAN) rather than AOSD. Treatment with 30 mg of prednisolone daily improved the skin lesions and the recurrent spiking high fever and the arthralgia were resolved. PAN and AOSD are clinically similar, and discrimination may be sometimes difficult. The presence of livedo reticularis and the finding of a characteristic skin biopsy appearance may be diagnostically useful to distinguish PAN from AOSD. Indeed, the clinical features of cutaneous PAN may be more similar to AOSD than systemic PAN, and a skin biopsy may be necessary to distinguish cutaneous PAN from AOSD in some cases.

This is a preview of subscription content, access via your institution.

Fig. 1

References

  1. Yamaguchi M, Ohta A, Tsunematsu T, Kasukawa R, Mizushima Y, Kashiwagi H et al (1992) Preliminary criteria for classification of adult Still's disease. J Rheumatol 19:424–430

    PubMed  CAS  Google Scholar 

  2. Cush JJ, Medsger TA Jr, Christy WC, Herbert DC, Cooperstein LA (1987) Adult-onset Still's disease: clinical course and outcome. Arthritis Rheum 30:186–194

    PubMed  Article  CAS  Google Scholar 

  3. Lightfoot RW Jr, Michel BA, Bloch DA, Hunder GG, Zvaifler NJ, McShane DJ et al (1990) The American College of Rheumatology 1990 criteria for the classification of polyarteritis nodosa. Arthritis Rheum 33:1088–1093

    PubMed  Article  Google Scholar 

  4. Guillevin L, Lhote F, Cohen P, Jarrousse B, Lortholary O, Généreau T, Léon A et al (1995) Corticosteroids plus pulse cyclophosphamide and plasma exchanges versus corticosteroids plus cyclophosphamide alone in the treatment of polyarthritis nodosa and Churg–Strauss syndrome patients with factors predicting poor prognosis: a prospective, randomized trial in sixty-two patients. Arthritis Rheum 38:1638–1645

    PubMed  Article  CAS  Google Scholar 

  5. Stone JH (2002) Polyarteritis nodosa. JAMA 288:1632–1639

    Article  PubMed  Google Scholar 

  6. Pouchot J, Sampalis JS, Beaudet F, Carette S, Decary F, Salusinsky-Sternbach M et al (1991) Adult Still's disease: manifestations, disease course, and outcome in 62 patients. Medicine (Baltimore) 70:118–136

    CAS  Google Scholar 

  7. Ohta A, Yamaguchi M, Kaneoka H, Nagayoshi T, Hiida M (1987) Adult Still's disease: review of 228 cases from the literature. J Rheumatol 14:1139–1146

    PubMed  CAS  Google Scholar 

  8. Ball GV, Gay RM Jr (2001) Vasculitis. In: Koopman WJ (ed) Arthritis and allied conditions, 14th edn. Lippincott Williams and Wilkins, Philadelphia, pp 1655–1695

    Google Scholar 

  9. Rose GA, Spencer H (1957) Polyarteritis nodosa. Q J Med 101:43–81

    Google Scholar 

  10. Coffernils M, Soupart A, Pradier O, Feremans W, Néve P, Decaux G (1992) Hyperferritinemia in adult onset Still's disease and the hemophagocytic syndrome. J Rheumatol 19:425–427

    Google Scholar 

  11. Nishida T, Suzuki K, Kuwada N, Nakamura Y, Motoyoshi K, Kamakura K (2001) Hemophagocytic syndrome and adult Still's disease associated with meningioencephalitis and unconsciousness. Intern Med 40:1037–1040

    PubMed  Article  CAS  Google Scholar 

  12. Moreland LW, Ball GV (1990) Cutaneous polyarteritis nodosa. Am J Med 88:426–430

    PubMed  Article  CAS  Google Scholar 

  13. Dyk T (1973) Cutaneous polyarteritis. Br Med J 1:551

    PubMed  CAS  Article  Google Scholar 

  14. Guillevin L, Lhote F, Gayraud M, Cohen P, Jarrousse B, Lortholary O et al (1996) Prognostic factors in polyarteritis nodosa and Churg–Strauss syndrome: a prospective study in 342 patients. Medicine (Baltimore) 75:17–28

    Article  CAS  Google Scholar 

  15. Gayraud M, Guillevin L, le Toumelin P, Cohen P, Lhote F, Casassus P et al (2001) Long-term follow-up of polyarteritis nodosa, microscopic polyangitis, and Chrug–Strauss syndrome-analysis of four prospective trials including 278 patients. Arthritis Rheum 44:666–675

    Article  PubMed  CAS  Google Scholar 

Download references

Author information

Affiliations

Authors

Corresponding author

Correspondence to Takashi Kato.

Rights and permissions

Reprints and Permissions

About this article

Cite this article

Kato, T., Fujii, K., Wakabayashi, T. et al. A case of cutaneous polyarteritis nodosa manifested by spiking high fever, arthralgia and macular eruption like adult-onset Still's disease. Clin Rheumatol 25, 419–421 (2006). https://doi.org/10.1007/s10067-005-0022-3

Download citation

  • Received:

  • Accepted:

  • Published:

  • Issue Date:

  • DOI: https://doi.org/10.1007/s10067-005-0022-3

Keywords

  • Adult-onset Still's disease (AOSD)
  • Cutaneous polyarteritis nodosa
  • Livedo reticularis
  • Polyarteritis nodosa
  • Skin biopsy