Skip to main content

Pulmonary aneurysms in microscopic polyangiitis

This is a preview of subscription content, access via your institution.

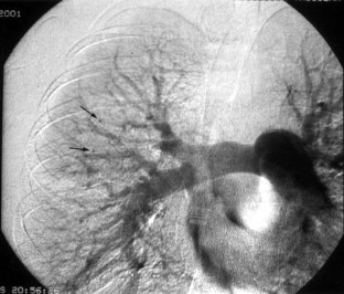
Fig. 1

Abbreviations

MPA:

Microscopic polyangiitis

PAN:

Polyarteritis nodosa

ESR:

Erythrocyte sedimentation rate

CRP:

C reactive protein

References

  1. Jennette C, Falk RJ, Andrassay K et al. (1994) Nomenclature of systemic vasculitides: proposal of an international consensus conference. Arthritis Rheum 38:187–192

    Google Scholar 

  2. Stanson A, Friese J, Johnson C et al. (2001) Polyarteritis nodosa: spectrum of angiographic findings. Radiographics 21:151–159

    CAS  PubMed  Google Scholar 

  3. Guillevin L, Durand-Gasselin B, Cevallos R et al. (1999) Microscopic polyangiitis. Clinical and laboratory findings in eighty-five patients. Arthritis Rheum 42:421–430

    CAS  PubMed  Google Scholar 

  4. Taguchi T, Hashimoto A, Matsuda S, Watanabe S, Fujino S, Inoue Y (1996) Polyangiitis overlap syndrome with multiple pulmonary aneurysms and renal vascular hypertension. Nihon Kyobu Shikkan Gakkai Zasshi 34:428–433

    CAS  PubMed  Google Scholar 

  5. Aoki N, Soma K, Owada T, Ishii H. Wegener's granulomatosis complicated by arterial aneurysm. Intern Med 34:790–793

    CAS  PubMed  Google Scholar 

Download references

Author information

Affiliations

Authors

Corresponding author

Correspondence to Vera Ortiz-Santamaria.

Rights and permissions

Reprints and Permissions

About this article

Cite this article

Ortiz-Santamaria, V., Olivé, A., Holgado, S. et al. Pulmonary aneurysms in microscopic polyangiitis. Clin Rheumatol 22, 498–499 (2003). https://doi.org/10.1007/s10067-003-0765-7

Download citation

  • Received:

  • Accepted:

  • Published:

  • Issue Date:

  • DOI: https://doi.org/10.1007/s10067-003-0765-7

Keywords

  • Vasculitis
  • Methylprednisolone
  • Ventilatory Support
  • Left Gastric Artery
  • Alveolar Haemorrhage