Skip to main content

Adhesions to sutures, tackers, and glue for intraperitoneal mesh fixation: an experimental study

Abstract

Purpose

Intraperitoneal mesh fixation for hernia repair is associated with adhesion formation. In this experimental study, adhesions against absorbable and non-absorbable fixation methods were compared.

Methods

Six commercially available fixation methods were placed intraperitoneally in rats with a small pore polypropylene mesh coated on one side with ePTFE (Intramesh T1®). Two non-absorbable fixation methods: Prolene® (polypropylene) sutures and Protack® (titanium) tackers. Four absorbable methods: Vicryl® sutures (polyglactin), Absorbatack® and Permasorb® tackers (both mixes of lactic and glycolic acids) and Tisseel Duo® (fibrin glue). Adhesions and histology were studied at 7 and 90 days follow-up. In addition, fixation methods were placed without mesh, in order to study the reaction to the fixation method per se.

Results

No adhesion formation, but also inadequate mesh fixation was found with Tisseel Duo®, which had been completely resorbed at 7 days follow-up. Vicryl® sutures could no longer be detected at 90 days follow-up and were associated with a favorable adhesion profile. All other fixation methods were still intact 90 days after implantation. When placed without mesh, adhesion formation was significantly less than placed with a mesh (18 vs. 93 %, P < 0.001). Without mesh, adhesions were worst with Permasorb® tackers.

Conclusions

Absorbable fixation methods such as polyglactin sutures and fibrin glue show a favorable adhesion profile compared to longer-term absorbable or non-absorbable fixation methods. However, before using fibrin glue as a single fixation method more research is required.

This is a preview of subscription content, access via your institution.

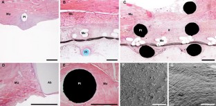
Fig. 1
Fig. 2
Fig. 3

References

  1. Kuhry E, Schwenk WF, Gaupset R et al (2008) Long-term results of laparoscopic colorectal cancer resection. Cochrane Database Syst Rev 2:CD003432. doi:10.1002/14651858.CD003432.pub2

  2. Mudge M, Hughes LE (1985) Incisional hernia: a 10 year prospective study of incidence and attitudes. Br J Surg 72:70–71

    CAS  PubMed  Article  Google Scholar 

  3. Sajid MS, Bokhari SA, Mallick AS et al (2009) Laparoscopic versus open repair of incisional/ventral hernia: a meta-analysis. Am J Surg 197:64–72. doi:10.1016/j.amjsurg.2007.12.051

    PubMed  Article  Google Scholar 

  4. Forbes SS, Eskicioglu C, McLeod RS, Okrainec A (2009) Meta-analysis of randomized controlled trials comparing open and laparoscopic ventral and incisional hernia repair with mesh. Br J Surg 96:851–858. doi:10.1002/bjs.6668

    CAS  PubMed  Article  Google Scholar 

  5. Burger JW, Luijendijk RW, Hop WC et al (2004) Long-term follow-up of a randomized controlled trial of suture versus mesh repair of incisional hernia. Ann Surg 240:578–583

    PubMed Central  PubMed  Google Scholar 

  6. Chelala E, Debardemaeker Y, Elias B et al (2010) Eighty-five redo surgeries after 733 laparoscopic treatments for ventral and incisional hernia: adhesion and recurrence analysis. Hernia 14:123–129. doi:10.1007/s10029-010-0637-4

    CAS  PubMed  Article  Google Scholar 

  7. Sajid MS, Ladwa N, Kalra L et al (2013) A meta-analysis examining the use of tacker mesh fixation versus glue mesh fixation in laparoscopic inguinal hernia repair. Am J Surg 206:103–111. doi:10.1016/j.amjsurg.2012.09.003

    PubMed  Article  Google Scholar 

  8. Joels CS, Matthews BD, Kercher KW et al (2005) Evaluation of adhesion formation, mesh fixation strength, and hydroxyproline content after intraabdominal placement of polytetrafluoroethylene mesh secured using titanium spiral tacks, nitinol anchors, and polypropylene suture or polyglactin 910 suture. Surg Endosc 19:780–785. doi:10.1007/s00464-004-8927-5

    CAS  PubMed  Article  Google Scholar 

  9. Shabbir J, Chaudhary BN, Dawson R (2012) A systematic review on the use of prophylactic mesh during primary stoma formation to prevent parastomal hernia formation. Colorect Dis 14:931–936. doi:10.1111/j.1463-1318.2011.02835.x

    CAS  Article  Google Scholar 

  10. Beldi G, Wagner M, Bruegger LE et al (2011) Mesh shrinkage and pain in laparoscopic ventral hernia repair: a randomized clinical trial comparing suture versus tack mesh fixation. Surg Endosc 25:749–755. doi:10.1007/s00464-010-1246-0

    PubMed  Article  Google Scholar 

  11. Wassenaar E, Schoenmaeckers E, Raymakers J et al (2010) Mesh-fixation method and pain and quality of life after laparoscopic ventral or incisional hernia repair: a randomized trial of three fixation techniques. Surg Endosc 24:1296–1302. doi:10.1007/s00464-009-0763-1

    PubMed Central  PubMed  Article  Google Scholar 

  12. Hellebrekers BWJ, Kooistra T (2011) Pathogenesis of postoperative adhesion formation. Br J Surg 98:1503–1516. doi:10.1002/bjs.7657

    CAS  PubMed  Article  Google Scholar 

  13. Hollinsky C, Kolbe T, Walter I et al (2009) Tensile strength and adhesion formation of mesh fixation systems used in laparoscopic incisional hernia repair. Surg Endosc 24:1318–1324. doi:10.1007/s00464-009-0767-x

    PubMed  Article  Google Scholar 

  14. Fitzgerald HL, Orenstein SB, Novitsky YW (2010) Small bowel obstruction owing to displaced spiral tack after laparoscopic TAPP inguinal hernia repair. Surg Laparosc Endosc Percutan Tech 20:e132–e135. doi:10.1097/SLE.0b013e3181dfbc05

    PubMed  Article  Google Scholar 

  15. Ellis H (2005) Intraabdominal and postoperative peritoneal adhesions. J Am Coll Surg 200:641–644

    PubMed  Article  Google Scholar 

  16. Ladurner R, Mussack T (2003) Small bowel perforation due to protruding spiral tackers: a rare complication in laparoscopic incisional hernia repair. Surg Endosc 18:1001. doi:10.1007/s00464-003-4276-z

    Google Scholar 

  17. Wassenaar EB, Schoenmaeckers EJ, Raymakers JT, Rakic S (2010) Subsequent abdominal surgery after laparoscopic ventral and incisional hernia repair with an expanded polytetrafluoroethylene mesh: a single institution experience with 72 reoperations. Hernia 14:137–142. doi:10.1007/s10029-009-0568-0

    CAS  PubMed Central  PubMed  Article  Google Scholar 

  18. Schreinemacher M, Emans PJ, Gijbels MJ et al (2009) Degradation of mesh coatings and intraperitoneal adhesion formation in an experimental model. Br J Surg 96:305–313. doi:10.1002/bjs.6446

    CAS  PubMed  Article  Google Scholar 

  19. Eriksen JR, Bisgaard T, Assaadzadeh S et al (2011) Randomized clinical trial of fibrin sealant versus titanium tacks for mesh fixation in laparoscopic umbilical hernia repair. Br J Surg 98:1537–1545. doi:10.1002/bjs.7646

    CAS  PubMed  Article  Google Scholar 

  20. van’t Riet M, de Vos van Steenwijk PJ, Bonthuis F et al (2003) Prevention of adhesion to prosthetic mesh: comparison of different barriers using an incisional hernia model. Ann Surg 237:123–128

    Article  Google Scholar 

  21. Conze J, Junge K, Klinge U et al (2005) Intraabdominal adhesion formation of polypropylene mesh. Influence of coverage of omentum and polyglactin. Surg Endosc 19:798–803. doi:10.1007/s00464-004-2192-5

    CAS  PubMed  Article  Google Scholar 

  22. Zinther NB, Wara P, Friis-Andersen H (2010) Intraperitoneal onlay mesh: an experimental study of adhesion formation in a sheep model. Hernia 14:283–289. doi:10.1007/s10029-009-0622-y

    CAS  PubMed  Article  Google Scholar 

  23. Jenkins ED, Melman L, Frisella MM et al (2010) Evaluation of acute fixation strength of absorbable and nonabsorbable barrier coated mesh secured with fibrin sealant. Hernia 14:505–509. doi:10.1007/s10029-010-0670-3

    CAS  PubMed  Article  Google Scholar 

  24. Schug-Pass C, Lippert H, Kockerling F (2009) Fixation of mesh to the peritoneum using a fibrin glue: investigations with a biomechanical model and an experimental laparoscopic porcine model. Surg Endosc 23:2809–2815. doi:10.1007/s00464-009-0509-0

    CAS  PubMed  Article  Google Scholar 

  25. Fortelny RH, Petter-Puchner AH, Glaser KS et al (2010) Fibrin sealant (Tisseel) for hiatal mesh fixation in an experimental model in pigs. J Surg Res 162:68–74. doi:10.1016/j.jss.2009.06.004

    CAS  PubMed  Article  Google Scholar 

  26. Clarke T, Katkhouda N, Mason RJ et al (2010) Fibrin glue for intraperitoneal laparoscopic mesh fixation: a comparative study in a swine model. Surg Endosc 25:737–748. doi:10.1007/s00464-010-1244-2

    PubMed  Article  Google Scholar 

  27. Rieder E, Stoiber M, Scheikl V et al (2011) Mesh fixation in laparoscopic incisional hernia repair: glue fixation provides attachment strength similar to absorbable tacks but differs substantially in different meshes. J Am Coll Surg 212:80–86. doi:10.1016/j.jamcollsurg.2010.08.015

    PubMed  Article  Google Scholar 

  28. Olmi S, Scaini A, Erba L, Croce E (2007) Use of fibrin glue (Tissucol) in laparoscopic repair of abdominal wall defects: preliminary experience. Surg Endosc 21:409–413. doi:10.1007/s00464-006-9108-5

    CAS  PubMed  Article  Google Scholar 

  29. Eriksen JR, Bisgaard T, Assaadzadeh S et al (2013) Fibrin sealant for mesh fixation in laparoscopic umbilical hernia repair: 1-year results of a randomized controlled double-blinded study. Hernia. doi:10.1007/s10029-013-1101-z

    PubMed  Google Scholar 

  30. Sajid MS, Ladwa N, Kalra L et al (2013) A meta-analysis examining the use of tacker mesh fixation versus glue mesh fixation in laparoscopic inguinal hernia repair. Am J Surg. doi:10.1016/j.amjsurg.2012.09.003

    Google Scholar 

  31. de Goede B, Klitsie PJ, van Kempen BJH et al (2013) Meta-analysis of glue versus sutured mesh fixation for Lichtenstein inguinal hernia repair. Br J Surg 100:735–742. doi:10.1002/bjs.9072

    PubMed  Article  Google Scholar 

  32. Novik B, Nordin P, Skullman S et al (2011) More recurrences after hernia mesh fixation with short-term absorbable sutures: a registry study of 82 015 Lichtenstein repairs. Arch Surg 146:12–17. doi:10.1001/archsurg.2010.302

    PubMed  Article  Google Scholar 

  33. Martin-Cartes JA, Morales-Conde S, Suarez-Grau JM et al (2008) Role of fibrin glue in the prevention of peritoneal adhesions in ventral hernia repair. Surg Today 38:135–140. doi:10.1007/s00595-007-3590-9

    CAS  PubMed  Article  Google Scholar 

Download references

Acknowledgments

The authors would like to acknowledge R. Dikmans, H. Duimel, K. Wijnands, and K. Lenaerts, for their help in performing the animal experiments (RD), giving directions for electron microscopy (HD) and assisting in the final preparation of the manuscript (KW and KL).

Conflict of interest

MS declares no conflict of interest. KB declares no conflict of interest. EP declares no conflict of interest. MM declares no conflict of interest that directly relates to this study and consultancy, grants and speakers bureau outside submitted work. MG declares no conflict of interest. JG declares no conflict of interest. NB declares no conflict of interest.

Author information

Affiliations

Authors

Corresponding author

Correspondence to M. H. F. Schreinemacher.

Rights and permissions

Reprints and Permissions

About this article

Cite this article

Schreinemacher, M.H.F., van Barneveld, K.W.Y., Peeters, E. et al. Adhesions to sutures, tackers, and glue for intraperitoneal mesh fixation: an experimental study. Hernia 18, 865–872 (2014). https://doi.org/10.1007/s10029-013-1192-6

Download citation

  • Received:

  • Accepted:

  • Published:

  • Issue Date:

  • DOI: https://doi.org/10.1007/s10029-013-1192-6

Keywords

  • Abdomen
  • Ventral hernia repair
  • Surgical mesh
  • Fixation
  • Adhesions