Skip to main content

Mesh cancer: long-term mesh infection leading to squamous-cell carcinoma of the abdominal wall

Abstract

Purpose

It is recognized that chronic inflammation can cause cancer. Even though most of the available synthetic meshes are considered non-carcinogenic, the inflammatory response to an infected mesh plays a constant aggression to the skin. Chronic mesh infection is frequently the result of misuse of mesh, and due to the challenging nature of this condition, patients usually suffer for years until the infected mesh is removed by surgical excision.

Methods

We report two cases of squamous-cell carcinoma (SCC) of the abdominal wall, arising in patients with long-term mesh infection.

Results

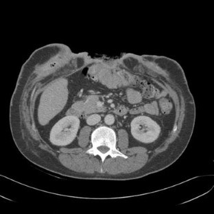
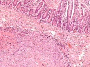
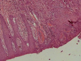
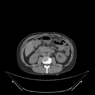
In both patients, the degeneration of mesh infection into SCC was presumably caused by the long-term inflammation secondary to infection. Patients presented with advanced SCC behaving just like the Marjolin’s ulcers of burns. Radical surgical excision was the treatment of choice. The involvement of the bowel played an additional challenge in case 1, but it was possible to resect the tumor and the involved bowel and reconstruct the abdominal wall using polypropylene mesh as onlay reinforcement, in a single stage operation. He is now under adjuvant chemotherapy. The big gap in the midline after tumor resection in case 2 required mesh bridging to close the defect. The poor prognosis of case 2 who died months after the operation, and the involvement of the armpit, groin and mesenteric nodes in case 1 shows how aggressive this disease can be.

Conclusion

Infected mesh must be treated early, by complete excision of the mesh. Long-standing mesh infection can degenerate into aggressive squamous-cell carcinoma of the skin.

This is a preview of subscription content, access via your institution.

Fig. 1
Fig. 2
Fig. 3
Fig. 4
Fig. 5
Fig. 6
Fig. 7
Fig. 8
Fig. 9
Fig. 10

References

  1. Balkwill F, Mantovani A (2001) Inflammation and cancer: back to Virchow? Lancet 357(9255):539–545

    CAS  PubMed  Article  Google Scholar 

  2. Klosterhalfen B, Klinge U, Schumpelick V (2001) Carcinogenicity of implantable biomaterials. In: Bendavid R (ed) Abdominal Wall Hernias: principles and management. Springer, New York, pp 235–236

    Chapter  Google Scholar 

  3. Ghadimi BM, Langer C, Becker H (2002) The carcinogenic potential of biomaterials in hernia surgery. Chirurg 73(8):833–837

    CAS  PubMed  Article  Google Scholar 

  4. Copcu E (2009) Marjolin’s ulcer: a preventable complication of burns? Plast Reconstr Surg 124(1):156e–164e

    CAS  PubMed  Article  Google Scholar 

  5. Klinge U, Junge K, Spellerberg B, Piroth C, Klosterhalfen B, Schumpelick V (2002) Do multifilament alloplastic meshes increase the infection rate? Analysis of the polymeric surface, the bacteria adherence, and the in vivo consequences in a rat model. J Biomed Mater Res 63(6):765–771

    CAS  PubMed  Article  Google Scholar 

  6. Blatnik JA, Krpata DM, Jacobs MR, Gao Y, Novitsky YW, Rosen MJ (2012) In vivo analysis of the morphologic characteristics of synthetic mesh to resist MRSA adherence. J Gastrointest Surg 16(11):2139–2144

    PubMed  Article  Google Scholar 

  7. Johnson EK, Tushoski P (2010) Abdominal wall reconstruction in patients presenting with digestive tract fistulas. Clin Colon Rectal Surg 23(3):195–208

    PubMed Central  PubMed  Article  Google Scholar 

  8. Alaedeen DI, Lipman J, Medalie D, Rosen MJ (2007) The single-staged approach to the surgical management of abdominal wall hernias in contaminated fields. Hernia 11(1):435–440

    Article  Google Scholar 

  9. Montgomery A (2013) The battle between biological and synthetic meshes in ventral hernia repair. Hernia 17(1):3–11

    CAS  PubMed  Article  Google Scholar 

  10. Choi JJ, Palaniappa NC, Dallas KB, Rudich TB, Colon MJ, Divino CM (2012) Use of mesh during ventral hernia repair in clean-contaminated and contaminated cases: outcomes of 33,832 cases. Ann Surg 255(1):176–180

    PubMed  Article  Google Scholar 

  11. Birolini C, Utiyama EM, Rodrigues AJ, Birolini D (2000) Elective colonic operation and prosthetic repair of incisional hernia: does contamination contraindicate abdominal wall prosthesis use? J Am Coll Surg 191(4):366–372

    CAS  PubMed  Article  Google Scholar 

Download references

Conflict of interest

None.

Author information

Affiliations

Authors

Corresponding author

Correspondence to C. Birolini.

Rights and permissions

Reprints and Permissions

About this article

Cite this article

Birolini, C., Minossi, J.G., Lima, C.F. et al. Mesh cancer: long-term mesh infection leading to squamous-cell carcinoma of the abdominal wall. Hernia 18, 897–901 (2014). https://doi.org/10.1007/s10029-013-1083-x

Download citation

  • Received:

  • Accepted:

  • Published:

  • Issue Date:

  • DOI: https://doi.org/10.1007/s10029-013-1083-x

Keywords

  • Mesh infection
  • Squamous-cell carcinoma
  • Synthetic mesh
  • Enterocutaneous fistula