Skip to main content

The effects of polypropylene mesh on femoral artery and femoral vein in mesh repair

Abstract

Purpose

Since the first description, the use of polypropylene mesh in hernia repair has gained wide acceptance. The aim of this study was to assess whether polypropylene mesh implantation has any effects on femoral blood vessels.

Methods

A 0.5 × 1.0 cm polypropylene mesh was inserted into the rat femoral artery and vein on the right side. After 14, 28 and 90 days, the rats were reoperated. The meshes were excised for histological processing. Blood flow in the dorsum of the foot skin, femoral artery and vein were measured in all groups before mesh implantation and at 14, 28, and 90 days after mesh implantation.

Results

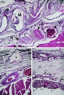
Following placement of mesh graft on vascular structures, inflammation and fibrosis developed to a varying degree depending on the time elapsed. On the other hand, fibrosis did not change the histological structure of vessels. There was a decrease in both arterial and venous circulation due to the pressure of the graft.

Conclusions

These data suggest that fibrosis due to mesh graft can negatively affect blood flow in vessels due to mechanical pressure.

This is a preview of subscription content, access via your institution.

Fig. 1
Fig. 2

References

  1. Rutkow IM, Robbins AW (1993) Demographic, classificatory, and socioeconomic aspects of hernia repair in the United States. Surg Clin North Am 73:413–426

    CAS  PubMed  Google Scholar 

  2. Lichtenstein IL, Shulman AG, Amid PK (1989) The tension free hernioplasty. Am J Surg 157:188–193

    CAS  Article  PubMed  Google Scholar 

  3. Beets GL, Go PM, van Mameren H (1996) Foreign body reactions to monofilament and braided polypropylene mesh used as preperitoneal implants in pigs. Eur J Surg 162:823–825

    CAS  PubMed  Google Scholar 

  4. Malekpour F, Mirhashemi SH, Hajinasrolah E, Salehi N, Khoshkar A, Kolahi AA (2008) Ilioinguinal nerve excision in open mesh repair of inguinal hernia—results of a randomized clinical trial: simple solution for a difficult problem? Am J Surg 195:735–740

    Article  PubMed  Google Scholar 

  5. Lo DJ, Bilimoria KY, Pugh CM (2008) Bowel complications after prolene hernia system (PHS) repair: a case report and review of the literature. Hernia 12:437–440

    CAS  Article  PubMed  Google Scholar 

  6. Langenbach M, Schmidt J, Lazika M, Zirngibl H (2003) Urological symptoms after laparoscopic hernia repair. Reduction with a variant of polypropylene mesh. Urologe 42:375–381

    CAS  PubMed  Google Scholar 

  7. Robbins AW, Rutkow IM (1998) Repair of femoral hernias with ‘‘plug’’ technique. Hernia 2:73–75

    Article  Google Scholar 

  8. Von Czerny V (1877) Studien zur radikalbehandlung der hernien. Wien Med Wochenschr 27:497 528,554,578

    Google Scholar 

  9. Klinge U, Klosterhalfen B, Conze J, Limberg W, Obolenski B, Ottinger AP, Schumpelick V (1998) Modified mesh for hernia repair that is adapted to the physiology of the abdominal wall. Eur J Surg 164:951–960

    CAS  Article  PubMed  Google Scholar 

  10. Klosterhalfen B, Klinge U, Schumpelick V (1998) Functional and morphological evaluation of different polypropylene-mesh modifications for abdominal wall repair. Biomaterials 19:2235–2246

    CAS  Article  PubMed  Google Scholar 

  11. Junge K, Binnebösel M, Rosch R, Ottinger A, Stumpf M, Mühlenbruch G, Schumpelick V, Klinge U (2008) Influence of mesh materials on the integrity of the vas deferens following Lichtenstein hernioplasty: an experimental model. Hernia 12:621–626

    CAS  Article  PubMed  Google Scholar 

  12. Demirer S, Kepenekci I, Evirgen O, Birsen O, Tuzuner A, Karahuseyinoglu S, Ozban M, Kuterdem E (2006) The effect of polypropylene mesh on ilioinguinal nerve in open mesh repair of groin hernia. J Surg Res 131:175–181

    CAS  Article  PubMed  Google Scholar 

  13. Taylor SG, Hair A, Baxter GM, O’Dwyer PJ (2001) Does contraction of mesh following tension free hernioplasty effect testicular or femoral vessel blood flow? Hernia 5:13–15

    CAS  Article  PubMed  Google Scholar 

  14. Ozmen MM, Ozalp N, Zulfikaroglu B, Soydinc P, Ziraman I, Hengirmen S (2004) The evaluation of the peak flow velocity and cross-sectional area of the femoral artery and vein following totally extraperitoneal vs preperitoneal open repair of inguinal hernias. Hernia 8:332–335

    CAS  Article  PubMed  Google Scholar 

  15. Callesen T, Bech K, Kehlet H (1999) Prospective study of chronic pain after groin hernia repair. Br J Surg 86:1528–1531

    CAS  Article  PubMed  Google Scholar 

  16. Silich RC, McSherry CK (1996) Spermatic granuloma. An uncommon complication of the tension-free repair. Surg Endosc 10:537–539

    CAS  Article  PubMed  Google Scholar 

  17. Shin D, Lipshultz LI, Goldstein M, Barmé GA, Fuchs EF, Nagler HM, McCallum SW, Niederberger CS, Schoor RA, Brugh VM III, Honig SC (2005) Herniorrhaphy with polypropylene mesh causing inguinal vassal obstruction: a preventable cause of obstructive azoospermia. Ann Surg 241:553–558

    Article  PubMed  Google Scholar 

  18. Peiper C, Junge K, Klinge U, Strehlau E, Ottinger A, Schumpelick V (2006) Is there a risk of infertility after inguinal mesh repair? Experimental studies in the pig and the rabbit. Hernia 10:7–12

    Article  PubMed  Google Scholar 

  19. Peiper C, Junge K, Klinge U, Strehlau E, Krones C, Ottinger A, Schumpelick V (2005) The influence of inguinal mesh repair on the spermatic cord: a pilot study in the rabbit. J Invest Surg 18:273–278

    Article  PubMed  Google Scholar 

  20. Uzzo RG, Lemack GE, Morrissey KP, Goldstein M (1999) The effects of mesh bioprosthesis on the spermatic cord structures: a preliminary report in a canine model. J Urol 161:1344–1349

    CAS  Article  PubMed  Google Scholar 

Download references

Author information

Affiliations

Authors

Corresponding author

Correspondence to V. Genc.

Rights and permissions

Reprints and Permissions

About this article

Cite this article

Sulaimanov, M., Genc, V., Cakmak, A. et al. The effects of polypropylene mesh on femoral artery and femoral vein in mesh repair. Hernia 14, 629–634 (2010). https://doi.org/10.1007/s10029-010-0724-6

Download citation

  • Received:

  • Accepted:

  • Published:

  • Issue Date:

  • DOI: https://doi.org/10.1007/s10029-010-0724-6

Keywords

  • Polypropylene
  • Hernia
  • Mesh
  • Femoral vessel