Skip to main content

Mixed germ cell tumor and hemangioblastoma in the cerebellum: report of a rare coexistence

Abstract

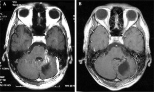
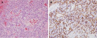
We report a case of a cerebellar tumor consisting of a mixed germ cell tumor (GCT) and a hemangioblastoma. A 22-year-old man presented with myoclonus and cerebellar ataxia. Magnetic resonance imaging showed a tumor mass in the left cerebellar hemisphere. The tumor was totally removed, and the histological diagnosis was an undetermined neoplasm. Ten months later, the patient returned with cerebellar hemorrhage at the site of the previous tumor. An emergency craniotomy was performed, and a tumor mass adjacent to the hematoma was resected. Microscopic examination revealed a mixed GCT consisting of a germinoma, choriocarcinoma, and mature teratomatous component. An area of hemangioblastoma was also found in the same tumor mass. A retrospective examination of the histological sample from the first operation indicated a germinoma. A primary GCT of the posterior fossa is very rare, and there are no other reports of the coexistence of a GCT and a hemangioblastoma. A metastatic GCT lesion of extracranial origin should be considered when the intracranial GCT is non-germinomatous and arises in an unusual site. The most probable hypothesis for the histogenesis of this case was a hemangioblastoma complicated by a “tumor-to-tumor” metastatic lesion of testicular GCT with “burnout” of the primary site.

This is a preview of subscription content, access via your institution.

Fig. 1
Fig. 2
Fig. 3
Fig. 4

References

  1. Evanson EJ, Lewis PD, Colquhoun IR (1997) Primary germinoma of the posterior cranial fossa: a case report. Neuroradiology 39:716–718

    PubMed  Article  CAS  Google Scholar 

  2. Fujiwara K, Uenohara H, Suzuki H, Sakurai Y (2002) Intracranial germinoma with syncytiotrophoblastic giant cells in the cerebellopontine angle: case report. Neurol Med Chir (Tokyo) 42:132–136

    Article  Google Scholar 

  3. Kurtsoy A, Pasaoglu A, Koc RK, Oktem IS, Kontas O (1996) Cerebellopontine angle germinoma. A case report. Neurosurg Rev 19:127–130

    PubMed  Article  CAS  Google Scholar 

  4. Matsumoto K, Tabuchi A, Tamesa N, Nakashima H, Ohmoto T (1998) Primary intracranial germinoma involving the midbrain. Clin Neurol Neurosurg 100:292–295

    PubMed  Article  CAS  Google Scholar 

  5. Nakase H, Ohnishi H, Touho H, Karasawa J, Tsunoda S (1994) Cerebellar primary germ-cell tumor in a young boy. Brain Dev 16:396–398

    PubMed  Article  CAS  Google Scholar 

  6. Ng HK, Poon WS (1990) Primary germinoma of the posterior fossa with CSF and extracranial metastases. Br J Neurosurg 4:239–242

    PubMed  Article  CAS  Google Scholar 

  7. Matsutani M, Sano K, Takakura K, Fujimaki T, Nakamura O, Funata N et al (1997) Primary intracranial germ cell tumors: a clinical analysis of 153 histologically verified cases. J Neurosurg 86:446–455

    PubMed  Article  CAS  Google Scholar 

  8. Yoshida S, Morii K (1998) Brain metastasis from germinal tumors of the testis. Case report. J Neurosurg 88:761–763

    PubMed  Article  CAS  Google Scholar 

  9. Adcock LL, Oakley GJ (1997) A pure brain metastasis of choriocarcinoma from a mixed germ cell tumor of the ovary. Gynecol Oncol 64:252–255

    PubMed  Article  CAS  Google Scholar 

  10. Berkow RL, Kelly DR (1995) Isolated CNS metastasis as the first site of recurrence in a child with germ cell tumor of the mediastinum. Med Pediatr Oncol 24:36–39

    PubMed  Article  CAS  Google Scholar 

  11. Raina V, Singh SP, Kamble N, Tanwar R, Rao K, Dawar R et al (1993) Brain metastasis as the site of relapse in germ cell tumor of testis. Cancer (Phila) 72:2182–2185

    Article  CAS  Google Scholar 

  12. Hailemariam S, Engeler DS, Bannwart F, Amin MB (1997) Primary mediastinal germ cell tumor with intratubular germ cell neoplasia of the testis—further support for germ cell origin of these tumors: a case report. Cancer (Phila) 79:1031–1036

    Article  CAS  Google Scholar 

  13. Lopez JI, Angulo JC (1994) Burned-out tumor of the testis presenting as retroperitoneal choriocarcinoma. Int Urol Nephrol 26:549–553

    PubMed  Article  CAS  Google Scholar 

  14. Escalona-Zapata J, Gimenez-Roldan S, Benito C (1985) Cerebellar hemangioblastoma and subependymoma: a case report of an unprecedented association. Clin Neuropathol 4:87–91

    PubMed  CAS  Google Scholar 

  15. Ng HK, Tse JY, Poon WS (1999) Cerebellar astrocytoma associated with von Hippel–Lindau disease: case report with molecular findings. Br J Neurosurg 13:504–507

    PubMed  CAS  Google Scholar 

  16. Blamires TL, Maher ER (1992) Choroid plexus papilloma. A new presentation of von Hippel–Lindau (VHL) disease. Eye 6:90–92

    PubMed  Article  Google Scholar 

  17. Becker R, Bauer BL, Mennel HD, Plate KH (1993) Cerebellar primitive neuroectodermal tumor with multipotent differentiation in a family with von Hippel–Lindau disease. Case report. Clin Neuropathol 12:107–111

    PubMed  CAS  Google Scholar 

  18. Kanno H, Yamamoto I, Yoshida M, Kitamura H (2003) Meningioma showing VHL gene inactivation in a patient with von Hippel–Lindau disease. Neurology 60:1197–1199

    PubMed  CAS  Google Scholar 

  19. Cendron M, Wein AJ, Schwartz SS, Murtagh F, Livolsi VA, Tomaszewski JE (1991) Germ cell tumor of testis in a patient with von Hippel–Lindau disease. Urology 37:69–71

    PubMed  Article  CAS  Google Scholar 

  20. Hamazaki S, Nakashima H, Matsumoto K, Taguchi K, Okada S (2001) Metastasis of renal cell carcinoma to central nervous system hemangioblastoma in two patients with von Hippel–Lindau disease. Pathol Int 51:948–953

    PubMed  Article  CAS  Google Scholar 

  21. Jamjoom A, Kane N, Nicoll J (1992) Metastasis of a renal carcinoma to a cerebellar haemangioblastoma in a case of von Hippel–Lindau disease. Neurosurg Rev 15:231–234

    PubMed  Article  CAS  Google Scholar 

  22. Chacko AG, Rajshekhar V, Chacko G (1996) Testicular embryonal cell carcinoma metastasizing to the site of a previously excised cerebellar haemangioblastoma. Br J Neurosurg 10:197–200

    PubMed  Article  CAS  Google Scholar 

  23. Freilich RJ, Thompson SJ, Walker RW, Rosenblum MK (1995) Adenocarcinomatous transformation of intracranial germ cell tumors. Am J Surg Pathol 19:537–544

    PubMed  Article  CAS  Google Scholar 

  24. Hirato J, Nakazato Y (2001) Pathology of pineal region tumors. J Neuro-Oncol 54:239–249

    Article  CAS  Google Scholar 

  25. Kon H, Kumabe T, Jokura H, Shirane R (2002) Recurrent intracranial germinoma outside the initial radiation field with progressive malignant transformation. Acta Neurochir (Wien) 144:611–616

    Article  CAS  Google Scholar 

  26. Min KW, Scheithauer BW (1990) Pineal germinomas and testicular seminoma: a comparative ultrastructural study with special references to early carcinomatous transformation. Ultrastruct Pathol 14:483–496

    PubMed  Article  CAS  Google Scholar 

  27. Ulusakarya A, Terrier P, Regnard JF, de Montpreville V, Munck JN (1999) Extraskeletal osteosarcoma of the mediastinum after treatment of a mediastinal germ-cell tumor. Am J Clin Oncol 22:609–614

    PubMed  CAS  Google Scholar 

  28. Kamitani H, Masuzawa H, Sato J, Kanazawa I (1987) Capillary hemangioblastoma: histogenesis of stromal cells. Acta Neuropathol (Berl) 73:370–378

    Article  CAS  Google Scholar 

  29. Lach B, Gregor A, Rippstein P, Omulecka A (1999) Angiogenic histogenesis of stromal cells in hemangioblastoma: ultrastructural and immunohistochemical study. Ultrastruct Pathol 23:299–310

    PubMed  Article  CAS  Google Scholar 

Download references

Author information

Affiliations

Authors

Corresponding author

Correspondence to Tomotsugu Ichikawa.

About this article

Cite this article

Ichikawa, T., Hamazaki, S., Sakai, N. et al. Mixed germ cell tumor and hemangioblastoma in the cerebellum: report of a rare coexistence. Brain Tumor Pathol 28, 279–284 (2011). https://doi.org/10.1007/s10014-011-0031-7

Download citation

  • Received:

  • Accepted:

  • Published:

  • Issue Date:

  • DOI: https://doi.org/10.1007/s10014-011-0031-7

Keywords

  • Cerebellum
  • Germ cell tumor
  • Hemangioblastoma
  • Histogenesis
  • Pathology