Skip to main content

Hemangioma of the mandible: case report with special emphasis on bone degradation

Abstract

Purpose

Intraosseous hemangioma of the mandible is a rare tumor. In this report, we present a case with a particularly prominent osteolysis and discuss the histological features of bone degradation.

Materials and methods

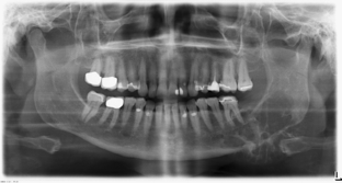
We describe a 64-year-old female patient with a cystic tumor mass of the mandible leading to pathologic bone fracture. X-ray analysis was suggestive for aneurysmatic bone cyst. A segment resection was performed.

Results

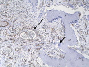
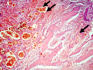
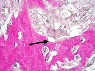
The histological examination revealed a mesenchymal tumor with numerous capillaries and dilated vessels immunohistochemically being positive for CD31, but not for D2-40. In addition, there was a remarkable increase of osteoclasts that sometimes exhibited Howship’s lacunae. The tumor was diagnosed as intraosseous hemangioma with prominent bone degradation.

Conclusions

Based on our histological findings, it should be further investigated whether there could be an association between angiogenesis and osteoclastogenesis as a central pathway leading to bone destruction in the case of intraosseous hemangiomas.

This is a preview of subscription content, access via your institution.

Fig. 1
Fig. 2
Fig. 3
Fig. 4
Fig. 5
Fig. 6

References

  1. Adler CP, Wold L (2002) Hemangioma and related lesions. In: Fletcher CDM, Unni K, Mertens F (eds) Pathology and genetics of tumors of soft tissue and bone. IARC, Lyon, pp 320–321

    Google Scholar 

  2. Barnes L (1985) Solitary hemangioma of bone. In: Barnes L (ed) Surgical pathology of the head and neck, vol. 1. Dekker, New York, pp 932–936

    Google Scholar 

  3. Heckl S, Aschoff A, Kunze S (2002) Cavernomas of the skull: review of the literature 1975–2002. Neurosurg Rev 25:56–62

    Article  PubMed  Google Scholar 

  4. Özdemir R, Alagoz S, Uysal AC et al (2002) Intraosseous hemangioma of the mandible: a case report and review of the literature. J Craniofac Surg 13:38–43

    Article  PubMed  Google Scholar 

  5. Perugini M, Renzi G, Gasparini G et al (2004) Intraosseous hemangioma of the maxillofacial district: clinical analysis and surgical treatment in 10 consecutive patients. J Craniofac Surg 15:980–985

    Article  PubMed  Google Scholar 

  6. Giaoui L, Princ G, Chiras J et al (2003) Treatment of vascular malformations of the mandible: a description of 12 cases. Int J Oral Maxillofac Surg 32:312–316

    Article  Google Scholar 

  7. Gomez Oliveira G, Garcia-Rozado A, Luaces Rey R (2008) Intraosseous mandibular hemangioma. A case report and review of the literature. Med Oral Patol Oral Cir Bucal 13:E496–E498

    PubMed  Google Scholar 

  8. Adegboyega PA, Qiu S (2005) Hemangioma versus vascular malformation. Presence of nerve bundle is a diagnostic clue for vascular malformation. Arch Pathol Lab Med 129:772–775

    PubMed  Google Scholar 

  9. Bataille R (1995) The mechanisms of bone lesions in plasmocytomas. Stem Cells 13(Suppl 2):40–47

    PubMed  Google Scholar 

  10. Kataoka M, Torisu T, Tsumura H et al (2000) Role of multinuclear cells in granulation tissue in osteomyelitis: immunohistochemistry in 66 patients. Acta Orthop Scand 71:414–418

    Article  CAS  PubMed  Google Scholar 

  11. Hansen T, Kirkpatrick CJ, Walter C et al (2006) Increased numbers of osteoclasts expressing cysteine proteinase cathepsin K in patients with infected osteoradionecrosis and bisphosphonate-associated osteonecrosis—a paradoxical observation? Virchows Arch 449:448–454

    Article  CAS  PubMed  Google Scholar 

  12. Lamovec J, Bracko M (1996) Epithelioid hemangioma of small tubular bones: a report of three cases, two of them associated with pregnancy. Mod Pathol 9:821–827

    CAS  PubMed  Google Scholar 

  13. Möller G, Priemel M, Amling M et al (1999) The Gorham–Stout syndrome (Gorham’s massive osteolysis). J Bone Joint Surg [Br] 81-B:501–506

    Article  Google Scholar 

  14. Colucci S, Taraboletti G, Primo L et al (2006) Gorham—Stout syndrome: a monocyte-mediated cytokine propelled disease. J Bone Miner Res 21:207–218

    Article  CAS  PubMed  Google Scholar 

  15. Cackowski FC, Roodman GD (2007) Perspective on the osteoclast: an angiogenic cell? Ann N Y Acad Sci 1117:12–25

    Article  CAS  PubMed  Google Scholar 

Download references

Conflict of interest statement

We declare that we have no conflict of interest.

Author information

Affiliations

Authors

Corresponding author

Correspondence to Torsten Hansen.

Additional information

T. Hansen and M. Kunkel equally contributed to this case report and share first authorship.

Rights and permissions

Reprints and Permissions

About this article

Cite this article

Hansen, T., Kunkel, M., Katenkamp, D. et al. Hemangioma of the mandible: case report with special emphasis on bone degradation. Oral Maxillofac Surg 13, 239 (2009). https://doi.org/10.1007/s10006-009-0172-6

Download citation

  • Published:

  • DOI: https://doi.org/10.1007/s10006-009-0172-6

Keywords

  • Hemangioma
  • Mandible
  • Bone degradation
  • Osteoclast
  • Angiogenesis