Skip to main content

Bildfusion von SPECT und CT als präzisierende Diagnostik von malignen Tumoren im Mund-Kiefer-Gesichtsbereich

Image fusion of bone SPECT and CT – a specific diagnostic method in oral and maxillofacial surgery

Zusammenfassung

Fragestellung

Ziel dieser Studie war es, die Bildfusion von CT (Computertomographie) und SPECT (single photon emission computed tomography) hinsichtlich des diagnostischen Zugewinns beim Staging von Kopf-Hals-Tumoren zu bewerten.

Patientengut und Methode

Bei 39 Patienten mit dem Verdacht auf Malignome im Mund-, Kiefer-, Gesichtsbereich erfolgte nach der CT- und SPECT-Diagnostik im Anschluss, ohne zusätzliche Belastung des Patienten, eine computergestützte Bildfusion der beiden Verfahren und der anschließende Vergleich mit der Simultanbefundung einerseits und mit den intraoperativen und histologischen Befunden andererseits.

Ergebnisse

Bei 5 von 39 Patienten wurde durch die Bildfusion eine exaktere und präzisere anatomische Beschreibung der Tumorausdehnung als durch die Simultanbefundung möglich.

Schlussfolgerung

Für eine effizientere und plastischere Bildgebung vor chirurgischer und radiogener Therapie von Kopf-Hals-Tumoren eignet sich die Bildfusion als ergänzendes Verfahren vor allem in den anatomisch komplexen Regionen wie Nasenboden, Maxilla und Schädelbasis, insbesondere wenn durch die Simultanbefundung der einzelnen Verfahren keine eindeutige Aussage getroffen werden kann.

Abstract

Objective

The aim of this study was to evaluate the benefit of image fusion of CT (computertomography) and bone SPECT (single photon emission computed tomography) in diagnosis of head and neck cancer.

Methods and patients

Computer based image fusion has been applied in 39 patients with suspected cancer in the oromaxillofacial region following CT and SPECT without any further hazard for the patients. Afterwards image fusion was set in comparision to simultaneously evaluation of CT and SPECT and histological findings.

Results

In 5 out of 39 patients SPECT/CT image fusion obtained more precise anatomical findings in tumour expansion than simultaneously evaluation of CT and SPECT.

Conclusion

For planning of surgical and radiation therapy of oral and maxillofacial cancer, image fusion of CT/SPECT provides efficient and plastical diagnostic imaging. Particularly in complex anatomical regions like maxilla or base of the skull image fusion could be an additional device, if simultaneous evaluation of CT and SPECT is not clear.

This is a preview of subscription content, access via your institution.

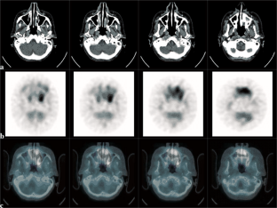
Abb. 1 a–c:
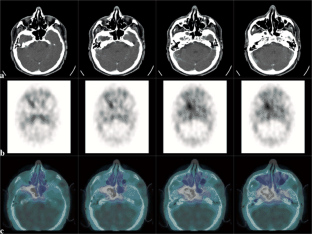
Abb. 2 a–c:
Abb. 3 a–c:
Abb. 4 a–c:

Literatur

  1. Brown JS, Griffith JF, Phelps PD, Browne RM (1994) A comparison of different imaging modalities and direct inspection after periosteal stripping in predicting the invasion of the mandible by oral squamous cell carcinoma. Br J Oral Maxillofac Surg 32(6):347–359

    PubMed  Article  CAS  Google Scholar 

  2. Eubank WB, Mankoff DA, Schmiedl UP, Winter TC 3rd, Fisher ER, Olshen AB, Graham MM, Eary JF (1998) Imaging of oncologic patients: benefit of combined CT and FDG PET in the diagnosis of malignancy. AJR Am J Roentgenol 171(4):1103–1110

    PubMed  CAS  Google Scholar 

  3. Ketai L, Hartshorne M (2001) Potential uses of computed tomography-SPECT and computed tomography-coincidence fusion images of the chest. Clin Nucl Med 26(5):433–441

    PubMed  Article  CAS  Google Scholar 

  4. Israel O, Keidar Z, Iosilevsky G, Bettman L, Sachs J, Frenkel A (2001) The fusion of anatomic and physiologic imaging in the management of patients with cancer. Semin Nucl Med 31(3):191–205

    PubMed  Article  CAS  Google Scholar 

  5. Scott AM, Macapinlac H, Zhang JJ, Kalaigian H, Graham MC, Divgi CR, Sgouros G, Goldsmith SJ, Larson SM (1994) Clinical applications of fusion imaging in oncology. Nucl Med Biol 21(5):775–784

    PubMed  Article  CAS  Google Scholar 

  6. Pfannenberg AC, Herger M, Lamberts R, Vonthein R, Claussen CD, Bares R (2003) Benefit of anatomical-functional image fusion in the diagnostic work-up of neuroendocrine neoplasms. Eur J Nucl Med Mol Imaging 30(6):835–843

    PubMed  Article  Google Scholar 

  7. Mukherji SK, Isaacs DL, Creager A, Shockley W, Weissler M, Armao D (2001) CT detection of mandibular invasion by squamous cell carcinoma of the oral cavity. AJR Am J Roentgenol 177(1):237–243

    PubMed  CAS  Google Scholar 

  8. Zupi A, Califano L, Maremonti P, Longo F, Ciccarelli R, Soricelli A (1996) Accuracy in the diagnosis of mandibular involvement by oral cancer. J Craniomaxillofac Surg 24(5):281–284

    PubMed  CAS  Google Scholar 

  9. Tsue TT, McCulloch TM, Girod DA, Couper DJ, Weymuller EA Jr., Glenn MG (1994) Predictors of carcinomatous invasion of the mandible. Head Neck 16(2):116–126

    PubMed  Article  CAS  Google Scholar 

  10. Close LG, Merkel M, Burns DK, Schaefer SD (1986) Computed tomography in the assessment of mandibular invasion by intraoral carcinoma. Ann Otol Rhinol Laryngol 95(4 Pt 1):383–388

    PubMed  CAS  Google Scholar 

  11. Lane AP, Buckmire RA, Mukherji SK, Pillsbury HC 3rd, Meredith SD (2000) Use of computed tomography in the assessment of mandibular invasion in carcinoma of the retromolar trigone. Otolaryngol Head Neck Surg 122(5):673–677

    PubMed  Article  CAS  Google Scholar 

  12. Bootz F, Lenz M, Skalej M, Bongers H (1992) Computed tomography (CT) and magnetic resonance imaging (MRI) in T-stage evaluation of oral and oropharyngeal carcinomas. Clin Otolaryngol Allied Sci 17(5):421–429

    PubMed  CAS  Google Scholar 

  13. O'Brien CJ, Carter RL, Soo KC, Barr LC, Hamlyn PJ, Shaw HJ (1986) Invasion of the mandible by squamous carcinomas of the oral cavity and oropharynx. Head Neck Surg 8(4):247–256

    PubMed  Article  Google Scholar 

  14. Soderholm AL, Lindqvist C, Hietanen J, Lukinmaa PL (1990) Bone scanning for evaluating mandibular bone extension of oral squamous cell carcinoma. J Oral Maxillofac Surg 48(3):252–257

    PubMed  CAS  Article  Google Scholar 

  15. Huntley TA, Busmanis I, Desmond P, Wiesenfeld D (1996) Mandibular invasion by squamous cell carcinoma: a computed tomographic and histological study. Br J Oral Maxillofac Surg 34(1):69–74

    PubMed  Article  CAS  Google Scholar 

  16. McGregor IA, MacDonald DG (1987) Spread of squamous cell carcinoma to the nonirradiated edentulous mandible – a preliminary report. Head Neck Surg 9(3):157–161

    PubMed  Article  CAS  Google Scholar 

  17. McGregor AD, MacDonald DG (1988) Routes of entry of squamous cell carcinoma to the mandible. Head Neck Surg 10(5):294–301

    PubMed  CAS  Article  Google Scholar 

  18. Fig LM, Shulkin BL, Sullivan MJ, Rubinstein MI, Baker SR (1990) Utility of emission tomography in evaluation of mandibular bone grafts. Arch Otolaryngol Head Neck Surg 116(2):191–196

    PubMed  CAS  Google Scholar 

  19. Seabold JE, Simonson TM, Weber PC, Thompson BH, Harris KG, Rezai K, Madsen MT, Hoffman HT (1995) Cranial osteomyelitis: diagnosis and follow-up with In-111 white blood cell and Tc-99m methylene diphosphonate bone SPECT, CT, and MR imaging. Radiology 196(3):779–788

    PubMed  CAS  Google Scholar 

  20. Schimming R, Lauer G, Altehofer C, Schmelzeisen R (2000) Computer-aided 3-D 99mTc-DPD-SPECT reconstruction to asses mandibular invasion by intraoral squamous cell carcinoma: diagnostic improvement or not? J Craniomaxillofac Surg 28(6):325–330

    PubMed  CAS  Google Scholar 

  21. Strumas N, Antonyshyn O, Caldwell CB, Mainprize J (2003) Multimodality imaging for precise localization of craniofacial osteomyelitis. J Craniofac Surg 14(2):215–219

    PubMed  Article  Google Scholar 

  22. Weber PC, Seabold JE, Graham SM, Hoffmann HH, Simonson TM, Thompson BH (1995) Evaluation of temporal and facial osteomyelitis by simultaneous In-WBC/Tc-99m-MDP bone SPECT scintigraphy and computed tomography scan. Otolaryngol Head Neck Surg 113(1):36–41

    PubMed  Article  CAS  Google Scholar 

  23. Nakahara T, Shigematsu N, Fujii M, Kunieda E, Suzuki T, Tanaka C, Hashimoto J, Kubo A (2006) Value of CT thallium-201 SPECT fusion imaging over SPECT alone for detection and localization of nasopharyngeal and maxillary cancers. AJR Am J Roentgenol 187(3):825–829

    PubMed  Article  Google Scholar 

Download references

Author information

Affiliations

Authors

Corresponding author

Correspondence to Denys John Loeffelbein.

Rights and permissions

Reprints and Permissions

About this article

Cite this article

Loeffelbein, D.J., Kesting, M.R., Mielke, E. et al. Bildfusion von SPECT und CT als präzisierende Diagnostik von malignen Tumoren im Mund-Kiefer-Gesichtsbereich. Mund Kiefer GesichtsChir 11, 33–41 (2007). https://doi.org/10.1007/s10006-006-0039-z

Download citation

  • Published:

  • Issue Date:

  • DOI: https://doi.org/10.1007/s10006-006-0039-z

Schlüsselwörter

  • CT
  • SPECT
  • Bildfusion
  • Kopf-Hals-Tumore

Keywords

  • CT
  • Bone SPECT
  • Image fusion
  • Maxillofacial cancer