Skip to main content

Proliferative verruköse Leukoplakie

Bericht über 5 Fälle

Zusammenfassung

Hintergrund

Die proliferative verruköse Leukoplakie (PVL) ist eine seltene Variante der oralen Leukoplakie (OL) mit hoher Transformationstendenz. Sie beginnt als plane Hyperkeratose. Im Verlauf tritt die verruköse Komponente in Erscheinung.

Fragestellung, Material und Methode

Aufgrund der wenigen Berichte in der Literatur werden 5 Fälle von PVL vorgestellt. Die klinischen und histopathologischen Befunde der betreffenden 5 Patientinnen wurden retrospektiv evaluiert.

Ergebnisse

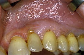
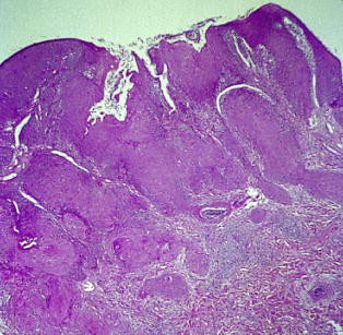
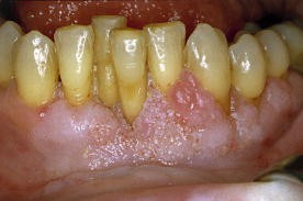
Das klinische Bild der PVL entsprach den in der Literatur beschriebenen Kriterien. Die mittlere Beobachtungsdauer war mit 1,7 Jahren kurz. 3,6 unterschiedliche Lokalisationen von PVL pro Patientin waren zu beobachten. Die Wangenschleimhaut, der zahnlose Alveolarfortsatz und die Gingiva propria waren am häufigsten betroffen. Eine Patientin hatte bereits zum Zeitpunkt der Überweisung ein Karzinom entwickelt. Bei den übrigen Frauen traten im Beobachtungszeitraum Karzinome auf. Unterschiedliche Therapien konnten Rezidive bzw. das Neuauftreten von Zweitkarzinomen nicht verhindern. 2 Patientinnen verstarben an PVL. Histopathologisch ergab sich ein für PVL typisches Spektrum. Homogene plane Leukoplakien zeigen Akanthose, Hyperkeratose und häufig Parakeratose ohne Zeichen einer Epitheldysplasie. Das proliferative verruköse Stadium ist gekennzeichnet durch papillomatöse Epithelveränderungen mit Zeichen geringer Dysplasie des Epithels und subepithelialer Infiltration mit immunkompetenten Zellen. Transformationen führen zu verrukösen Karzinomen oder Plattenepithelkarzinomen.

Schlussfolgerungen

Die PVL führt in einem hohen Prozentsatz zu malignen Transformationen. Diese sowie Rezidive der PVL sind durch unterschiedliche Therapieansätze nicht zu vermeiden. Zur Charakterisierung des biologischen Profils der PVL erscheint es unumgänglich, Multizenterstudien dieser seltenen Erkrankung anzustreben, um mögliche ätiologische Faktoren besser charakterisieren und Therapiekonzepte entwickeln zu können.

Abstract

Background

Proliferative verrucous leukoplakia (PVL) is a rare variant of oral leukoplakia (OL) with a high tendency for malignant transformation. PVL starts as a flat hyperkeratosis. During the course of the disease verrucous lesions develop.

Aim of the study, material and methods

Due to the scarcity of reports on PVL five cases of PVL are presented. Clinical and histopathological findings in five female patients with PVL were evaluated retrospectively.

Results

The clinical appearance of PVL was characteristic as compared to criteria described in the literature. The average period of observation in these cases was short (1.7 years). There were 3.6 different localizations observed per patient. The buccal mucosa, gingiva, and edentulous alveolar ridge were most often affected. One patient had already developed squamous cell carcinoma prior to referral. The others developed malignancies during follow-up. Recurrences and secondary malignancies could not be avoided using different therapeutic modalities. Two patients died from PVL. The characteristic spectrum of histopathological findings in PVL was observed. Homogenous flat leukoplakias are characterized by acanthosis, hyperkeratosis, and often parakeratosis. Epithelial dysplasia is not seen. The proliferative verrucous stage of the disease is characterized by papillomatous epithelial growths with signs of slight epithelial dysplasia and subepithelial infiltration with immunocompetent cells. Stages of transformation may result in verrucous carcinoma or squamous cell carcinoma.

Conclusions

PVL is associated with a very high rate of malignant transformations. These, as well as recurrences, cannot be avoided with present-day therapies. In order to define the biological profile of PVL more clearly, multicenter studies are necessary to reveal possible etiologic factors and concepts for therapy.

This is a preview of subscription content, access via your institution.

Literatur

  1. Batsakis J, Suarez P, El-Naggar AK (1999) Proliferative verrucous leukoplakia and its related lesions. Review. Oral Oncol 35: 354–359

    PubMed  Article  CAS  Google Scholar 

  2. Femiano F, Gombos F, Scully C (2001) Oral proliferative verrucous leukoplakia (PVL); open trial of surgery compared with combined therapy using surgery and methisoprinol in papillomavirus-related PVL. Int J Oral Maxillofac Surg 30: 318–322

    PubMed  Article  CAS  Google Scholar 

  3. Fettig A, Pogrel A, Silverman S, Bramanti TE, Da Costa M, Regezi J (2000) Proliferative verrucous leukoplakia of the gingiva. Oral Surg Oral Med Oral Pathol Oral Radiol Endod 90: 723–730

    PubMed  Article  CAS  Google Scholar 

  4. Gopalakrishnan R, Weghorst CM, Lehman TA, Calvert RJ, Bijur G, Sabourin CLK, Mallery SR, Schuller DE, Stoner GD (1997) Mutated and wildtype p53 expression and HPV integration in proliferative verrucous leukoplakia and oral squamous cell carcinoma. Oral Surg Oral Med Oral Pathol Oral Radiol Endod 83: 471–477

    PubMed  Article  CAS  Google Scholar 

  5. Greer RO, McDowell JD, Hoernig G (1999) Proliferative verrucous leukoplakia: report of two cases and a discussion of clinicopathology. J Calif Dent Assoc 27: 308–309

    Google Scholar 

  6. Hansen LS, Olson JA, Silverman Jr S (1985) Proliferative verrucous leukoplakia: a long term study of 30 patients. Oral Surg Oral Med Oral Pathol 60: 285–298

    PubMed  Article  CAS  Google Scholar 

  7. Kahn M, Dockter ME, Hermann-Petrin JM (1994) Proliferative verrucous leukoplakia. Four cases with flow cytometric analysis. Oral Surg Oral Med Oral Pathol 78: 469–475

    PubMed  Article  CAS  Google Scholar 

  8. Migliorati CA, Ranken R, Kaplan MJ, Silverman S Jr (1992) Reactivity of monoclonal antibodies 17.13 and 63.12 with 141 oral mucosal lesions. J Oral Pathol Med 21: 412–417

    PubMed  Article  CAS  Google Scholar 

  9. Murrah VA, Batsakis JG (1994) Proliferative verrucous leukoplakia and verrucous hyperplasia. Ann Otol Rhinol Laryngol 103: 660–663

    PubMed  CAS  Google Scholar 

  10. Palefsky JM, Silverman S Jr, Abdel-Salaam M, Daniels TE, Greenspan JS (1995) Association between proliferative verrucous leukoplakia and infection with human papillomavirus type 16. J Oral Pathol Med 24: 193–197

    PubMed  Article  CAS  Google Scholar 

  11. Pindborg JJ, Reichart PA, Smith CJ, Van der Waal I in collaboration with Sobin LH and pathologists in nine countries (WHO) (1997) Histological typing of oral cancer and precancer of the oral mucosa. Springer, Berlin Heidelberg New York

  12. Schepman KP, Van der Meij EH, Smelle LE, Van der Waal I (1998) Malignant transformation of oral leukoplakia: a follow-up study of a hospital-based population of 166 patients with oral leukoplakia from the Netherlands. Oral Oncol 34: 270–275

    PubMed  CAS  Google Scholar 

  13. Schoelch ML, Sekandari N, Regezi JA, Silverman S Jr (1999) Laser management of oral leukoplakias: a follow-up study of 70 patients. Laryngoscope 109: 949–953

    PubMed  Article  CAS  Google Scholar 

  14. Shear M, Pindborg JJ (1980) Verrucous hyperplasia of the oral mucosa. Cancer 46: 1855–1862

    PubMed  Article  CAS  Google Scholar 

  15. Silverman S, Gorsky M (1997) Proliferative verrucous leukoplakia. A follow-up study of 54 cases. Oral Surg Oral Med Oral Pathol Oral Radiol Endod 84: 154–157

    PubMed  Article  Google Scholar 

  16. Silverman S (ed) (1990) Oral cancer, 3rd edn. American Cancer Society, Atlanta, pp 14–27

  17. Suarez P, Batsakis JG, El-Naggar AK (1998) Leukoplakia: still a Gallimaufry or is progress being made?—A review. Adv Anat Pathol 5: 137–155

    PubMed  Article  CAS  Google Scholar 

  18. Zakrzewska JM, Lopes V, Speight P, Hopper C (1996) Proliferative verrucous leukoplakia. A report of ten cases. Oral Surg Oral Med Oral Pathol Oral Radiol Endod 82: 396–401

    PubMed  Article  CAS  Google Scholar 

Download references

Danksagung

Für die Überweisung von Patientinnen mit PVL danken wir Herrn Professor Dr. H. Scherer, Hals-, Nasen- und Ohrenklinik mit Polikliniken, Fachbereich Humanmedizin, Universitätsklinikum Benjamin Franklin, sowie Herrn Dr. L. Vettin und Herrn Dr. T. Meissner, Berlin.

Author information

Affiliations

Authors

Corresponding author

Correspondence to P. A. Reichart.

Rights and permissions

Reprints and Permissions

About this article

Cite this article

Reichart, P.A., Philipsen, H.P. Proliferative verruköse Leukoplakie. Mund Kiefer GesichtsChir 7, 164–170 (2003). https://doi.org/10.1007/s10006-003-0472-1

Download citation

  • Published:

  • Issue Date:

  • DOI: https://doi.org/10.1007/s10006-003-0472-1

Schlüsselwörter

  • Verruköse proliferative Leukoplakie
  • Verruköse Hyperplasie
  • Verruköses Karzinom
  • Plattenepithelkarzinom
  • Transformation

Keywords

  • Verrucous proliferative leukoplakia
  • Verrucous hyperplasia
  • Verrucous carcinoma
  • Squamous cell carcinoma
  • Transformation