Skip to main content

Characteristics of pericytes in diethylstilbestrol (DES)-induced pituitary prolactinoma in rats

Abstract

Prolactinomas are the most common tumor of the human pituitary. They result in excessive prolactin secretion and important changes in the vasculature. Pericytes are perivascular cells associated with capillaries and have crucial roles in physiological and pathological neovascularization. We previously reported that pericytes produce type I and III collagens in the anterior pituitary of adult rats. In addition, pituitary pericytes contained well-developed cell organelles and actively synthesized collagens during early postnatal development. However, the characteristics of pericytes in pituitary tumors are unclear. In this study, we used diethylstilbestrol (DES)-treated rats as an animal model of prolactinoma. Using five common pericyte markers, more pericytes were observed in rats treated with DES for 3 months (prolactinoma) compared to the control. Transmission electron microscopy revealed that attached and semidetached pericytes exhibited active cell organelles. Moreover, we identified pericyte migration between capillaries. Although the fine structure of pituitary pericytes was active in prolactinoma, expressions of type I and III collagen mRNAs were greatly diminished. In sum, the characteristics and functions of pericytes were altered in pituitary tumors. This study is the first to clarify fine structural changes of pericytes in rat prolactinomas and improves our understanding of the function of pericytes under pathological conditions.

This is a preview of subscription content, access via your institution.

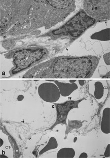
Fig. 1
Fig. 2
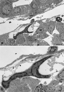
Fig. 3
Fig. 4
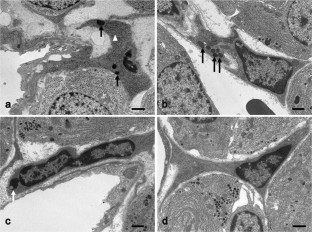
Fig. 5
Fig. 6
Fig. 7

References

  1. Erroi A, Bassetti M, Spada A, Giannattasio G (1986) Microvasculature of human micro-and macroprolactinomas. A morphological study. Neuroendocrinology 43:159–165

    Article  PubMed  CAS  Google Scholar 

  2. Melmed S (2003) Mechanisms for pituitary tumorigenesis: the plastic pituitary. J Clin Invest 112:1603–1618

    Article  PubMed  PubMed Central  CAS  Google Scholar 

  3. Baron SH, Sowers JR, Feinberg M (1983) Prolactinoma in a man following industrial exposure to estrogens. West J Med 138:720–722

    PubMed  PubMed Central  CAS  Google Scholar 

  4. Gooren LJ, Assies J, Asscheman H, de Slegte R, van Kessel H (1988) Estrogen-induced prolactinoma in a man. J Clin Endocrinol Metab 66:444–446

    Article  PubMed  CAS  Google Scholar 

  5. Spady TJ, McComb RD, Shull JD (1999) Estrogen action in the regulation of cell proliferation, cell survival, and tumorigenesis in the rat anterior pituitary gland. Endocrine 11:217–233

    Article  PubMed  CAS  Google Scholar 

  6. Tachibana M, Lu L, Hiai H, Tamura A, Matsushima Y, Shisa H (2006) Quantitative trait loci determining weight reduction of testes and pituitary by diethylstilbesterol in LEXF and FXLE recombinant inbred strain rats. Exp Anim 55:91–95

    Article  PubMed  CAS  Google Scholar 

  7. Fujiwara K, Davaadash B, Yatabe M, Kikuchi M, Horiguchi K, Kusumoto K, Kouki T, Yashiro T (2008) Reduction of retinaldehyde dehydrogenase 1 expression and production in estrogen-induced prolactinoma of rat. Med Mol Morphol 41:126–131

    Article  PubMed  CAS  Google Scholar 

  8. Mucha SA, Meleń-Mucha G, Godlewski A, Stepień H (2007) Inhibition of estrogen-induced pituitary tumor growth and angiogenesis in Fischer 344 rats by the matrix metalloproteinase inhibitor batimastat. Virchows Arch 450:335–341

    Article  PubMed  CAS  Google Scholar 

  9. Elias KA, Weiner RI (1984) Direct arterial vascularization of estrogen-induced prolactin-secreting anterior pituitary tumors. Proc Natl Acad Sci USA 81:4549–4553

    Article  PubMed  CAS  Google Scholar 

  10. Schechter J, Ahmad N, Elias K, Weiner R (1987) Estrogen-induced tumors: changes in the vasculature in two strains of rat. Am J Anat 179:315–323

    Article  PubMed  CAS  Google Scholar 

  11. Schechter J (1972) Ultrastructural changes in the capillary bed of human pituitary tumors. Am J Pathol 67:109–126

    PubMed  PubMed Central  CAS  Google Scholar 

  12. van Nesselrooij JH, Hendriksen GJ, Feron VJ, Bosland MC (1992) Pathogenesis of blood-filled cavities in estrogen-induced anterior pituitary tumors in male Sprague-Dawley rats. Toxicol Pathol 20:71–80

    Article  PubMed  Google Scholar 

  13. Shepro D, Morel NM (1993) Pericyte physiology. FASEB J 7:1031–1038

    Article  PubMed  CAS  Google Scholar 

  14. Fujiwara K, Jindatip D, Kikuchi M, Yashiro T (2010) In situ hybridization reveals that type I and III collagens are produced by pericytes in the anterior pituitary gland of rats. Cell Tissue Res 342:491–495

    Article  PubMed  CAS  Google Scholar 

  15. Horiguchi K, Syaidah R, Fujiwara K, Tsukada T, Ramadhani D, Jindatip D, Kikuchi M, Yashiro T (2013) Expression of small leucine-rich proteoglycans in rat anterior pituitary gland. Cell Tissue Res 351:207–212

    Article  PubMed  CAS  Google Scholar 

  16. Jindatip D, Fujiwara K, Horiguchi K, Tsukada T, Kouki T, Yashiro T (2013) Changes in fine structure of pericytes and novel desmin-immunopositive perivascular cells during postnatal development in rat anterior pituitary gland. Anat Sci Int 88:196–203

    Article  PubMed  CAS  Google Scholar 

  17. Ramadhani D, Tofrizal A, Tsukada T, Yashiro T (2015) Histochemical analysis of laminin α chains in diethylstilbestrol-induced prolactinoma in rats. Acta Histochem Cytochem 48:69–73

    Article  PubMed  PubMed Central  CAS  Google Scholar 

  18. Jindatip D, Fujiwara K, Kouki T, Yashiro T (2012) Transmission and scanning electron microscopy study of the characteristics and morphology of pericytes and novel desmin-immunopositive perivascular cells before and after castration in rat anterior pituitary gland. Anat Sci Int 87:165–173

    Article  PubMed  Google Scholar 

  19. Gerhardt H, Betsholtz C (2003) Endothelial-pericyte interactions in angiogenesis. Cell Tissue Res 314:15–23

    Article  PubMed  Google Scholar 

  20. Berger M, Bergers G, Arnold B, Hämmerling GJ, Ganss R (2005) Regulator of G-protein signaling-5 induction in pericytes coincides with active vessel remodeling during neovascularization. Blood 105:1094–1101

    Article  PubMed  CAS  Google Scholar 

  21. Morikawa S, Baluk P, Kaidoh T, Haskell A, Jain RK, McDonald DM (2002) Abnormalities in pericytes on blood vessels and endothelial sprouts in tumors. Am J Pathol 160:985–1000

    Article  PubMed  PubMed Central  Google Scholar 

  22. Schlingemann RO, Rietveld FJ, Kwaspen F, van de Kerkhof PC, de Waal RM, Ruiter DJ (1991) Differential expression of markers for endothelial cells, pericytes, and basal lamina in the microvasculature of tumors and granulation tissue. Am J Pathol 138:1335–1347

    PubMed  PubMed Central  CAS  Google Scholar 

  23. Ogawa A, Sugihara S, Hasegawa M, Sasaki A, Nakazato Y, Kawada T, Ishiuchi S, Tamura M (1990) Intermediate filament expression in pituitary adenomas. Virchows Arch B Cell Pathol Incl Mol Pathol 58:341–349

    Article  PubMed  CAS  Google Scholar 

  24. Díaz-Flores L, Gutiérrez R, Madrid JF, Varela H, Valladares F, Acosta E, Martín-Vasallo P, Díaz-Flores L Jr (2009) Pericytes. Morphofunction, interactions and pathology in a quiescent and activated mesenchymal cell niche. Histol Histopathol 24:909–969

    PubMed  Google Scholar 

  25. Pfister F, Feng Y, vom Hagen F, Hoffmann S, Molema G, Hillebrands JL, Shani M, Deutsch U, Hammes HP (2008) Pericyte migration: a novel mechanism of pericyte loss in experimental diabetic retinopathy. Diabetes 57:2495–2502

    Article  PubMed  PubMed Central  CAS  Google Scholar 

  26. Dore-Duffy P, Owen C, Balabanov R, Murphy S, Beaumont T, Rafols JA (2000) Pericyte migration from the vascular wall in response to traumatic brain injury. Microvasc Res 60:55–69

    Article  PubMed  CAS  Google Scholar 

  27. Lindahl P, Johansson BR, Levéen P, Betsholtz C (1997) Pericyte loss and microaneurysm formation in PDGF-B-deficient mice. Science 277:242–245

    Article  PubMed  CAS  Google Scholar 

  28. Hellström M, Gerhardt H, Kalén M, Li X, Eriksson U, Wolburg H, Betsholtz C (2001) Lack of pericytes leads to endothelial hyperplasia and abnormal vascular morphogenesis. J Cell Biol 153:543–553

    Article  PubMed  PubMed Central  Google Scholar 

  29. Horiguchi K, Kikuchi M, Kusumoto K, Fujiwara K, Kouki T, Kawanishi K, Yashiro T (2010) Living-cell imaging of transgenic rat anterior pituitary cells in primary culture reveals novel characteristics of folliculo-stellate cells. J Endocrinol 204:115–123

    Article  PubMed  CAS  Google Scholar 

  30. Horiguchi K, Fujiwara K, Ilmiawati C, Kikuchi M, Tsukada T, Kouki T, Yashiro T (2011) Caveolin 3-mediated integrin b1 signaling is required for the proliferation of folliculostellate cells in rat anterior pituitary gland under the influence of extracellular matrix. J Endocrinol 210:29–36

    Article  PubMed  CAS  Google Scholar 

  31. Ilmiawati C, Horiguchi K, Fujiwara K, Yashiro T (2012) Matrix metalloproteinase-9 expression in folliculostellate cells of rat anterior pituitary gland. J Endocrinol 212:363–370

    Article  PubMed  CAS  Google Scholar 

Download references

Acknowledgements

We are grateful to Megumi Yatabe and Dr. Dini Ramadhani (Jichi Medical University, School of Medicine, Japan) for their suggestions regarding the prolactinoma rat model. We also thank David Kipler of Supernatant Communications for revising the language of the manuscript. This work was supported by grants as follows; Dr. Depicha Jindatip was supported by the Ratchadaphiseksomphot Endowment Fund Part of the Research Grant for New Scholar CU Researcher’s Project Grant Number RGN_2558_015_07_30, Dr. Ken Fujiwara was supported by JSPS KAKENHI Grant Number 17K08517, Dr. Apiwat Mutirangura was supported by the Thailand Research Fund Grant Number DPG5980005, and Dr. Takashi Yashiro was supported by promotional funds for the Keirin Race of the Japan Keirin Association.

Author information

Affiliations

Authors

Corresponding authors

Correspondence to Depicha Jindatip or Takashi Yashiro.

Ethics declarations

Conflict of interest

The authors declare that they have no conflict of interest that could be perceived as prejudicing the impartiality of this research.

Electronic supplementary material

Below is the link to the electronic supplementary material.

Supplementary material 1 (PDF 120 KB)

Rights and permissions

Reprints and Permissions

About this article

Verify currency and authenticity via CrossMark

Cite this article

Jindatip, D., Fujiwara, K., Sarachana, T. et al. Characteristics of pericytes in diethylstilbestrol (DES)-induced pituitary prolactinoma in rats. Med Mol Morphol 51, 147–155 (2018). https://doi.org/10.1007/s00795-018-0180-4

Download citation

  • Received:

  • Accepted:

  • Published:

  • Issue Date:

  • DOI: https://doi.org/10.1007/s00795-018-0180-4

Keywords

  • Anterior pituitary gland
  • Collagen
  • Diethylstilbestrol
  • Pericytes
  • Prolactinoma