Skip to main content

Nitrate reduction in Haloferax alexandrinus: the case of assimilatory nitrate reductase

Abstract

Haloferax alexandrinus Strain TM JCM 10717T = IFO 16590T is an extreme halophilic archaeon able to produce significant amounts of canthaxanthin. Its genome sequence has been analysed in this work using bioinformatics tools available at Expasy in order to look for genes encoding nitrate reductase-like proteins: respiratory nitrate reductase (Nar) and/or assimilatory nitrate reductase (Nas). The ability of the cells to reduce nitrate under aerobic conditions was tested. The enzyme in charge of nitrate reduction under aerobic conditions (Nas) has been purified and characterised. It is a monomeric enzyme (72 ± 1.8 kDa) that requires high salt concentration for stability and activity. The optimum pH value for activity was 9.5. Effectiveness of different substrates, electron donors, cofactors and inhibitors was also reported. High nitrite concentrations were detected within the culture media during aerobic/microaerobic cells growth. The main conclusion from the results is that this haloarchaeon reduces nitrate aerobically thanks to Nas and may induce denitrification under anaerobic/microaerobic conditions using nitrate as electron acceptor. The study sheds light on the role played by haloarchaea in the biogeochemical cycle of nitrogen, paying special attention to nitrate reduction processes. Besides, it provides useful information for future attempts on microecological and biotechnological implications of haloarchaeal nitrate reductases.

This is a preview of subscription content, access via your institution.

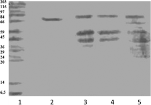
Fig. 1
Fig. 2
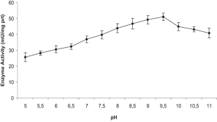
Fig. 3
Fig. 4

Abbreviations

Nas:

Assimilatory nitrate reductase

Fd-Nas:

Ferredoxin assimilatory nitrate reductase dependent

Nar:

Respiratory nitrate reductase

DT:

Dithionite

DTT:

Dithiothreitol

MV:

Methylviologen

References

  • Altschul SF, Gish W, Miller W, Myers EW, Lipman DJ (1990) Basic local alignment search tool. J Mol Biol 215:403–410

    CAS  Article  PubMed  Google Scholar 

  • Alvarez Ossorio M, Muriana FJG, De La Rosa FF, Relimpio AM (1992) Purification and characterization of nitrate reductase from the halophile archaebacterium Haloferax mediterranei. Z Naturforsch 47c:670–676

    Google Scholar 

  • Asker D, Ohta Y (2002a) Haloferax alexandrinus sp. nov., an extremely halophilic canthaxanthin-producing archaeon from a solar saltern in Alexandria (Egypt). Int J Syst Evol Microbio 52:729–738

    CAS  Google Scholar 

  • Asker D, Ohta Y (2002b) Production of canthaxanthin by Haloferax alexandrinus under non-aseptic conditions and a simple, rapid method for its extraction. Appl Microbiol Biotechnol 58:743–750

    CAS  Article  PubMed  Google Scholar 

  • Asker D, Awad T, Ohta Y (2002) Lipids of Haloferax alexandrinus strain TM(T): an extremely halophilic canthaxanthin-producing archaeon. J Biosci Bioeng 93:37–43

    CAS  Article  PubMed  Google Scholar 

  • Bothe H, Ferguson SJ, Newton WE (2006) Biology of the nitrogen cycle. Elsevier, Amsterdam

    Google Scholar 

  • Cabello P, Roldán MD, Moreno-Vivián C (2004) Nitrate reduction and the nitrogen cycle in archaea. Microbiology 150:3527–3546

    CAS  Article  PubMed  Google Scholar 

  • Esclapez J, Pire C, Camacho M, Bautista V, Martínez-Espinosa RM, Zafrilla B et al (2015) Transcriptional profiles of Haloferax mediterranei based on nitrogen availability. J Biotechnol 193:100–107. doi:10.1016/j.jbiotec.2014.11.018

    CAS  Article  PubMed  Google Scholar 

  • Gasteiger E, Gattiker A, Hoogland C, Ivanyi I, Appel RD, Bairoch A (2003) ExPASy: The proteomics server for in-depth protein knowledge and analysis. Nucleic Acids Res 31:3784–3788

    CAS  Article  PubMed  PubMed Central  Google Scholar 

  • Gupta RS, Naushad S, Baker S (2015) Phylogenomic analyses and molecular signatures for the class Halobacteria and its two major clades: a proposal for division of the class Halobacteria into an emended order Halobacteriales and two new orders, Haloferacales ord. nov. and Natrialbales ord. nov., containing the novel families Haloferacaceae fam. nov. and Natrialbaceae fam. nov. Int J Syst Evol Microbiol 65:1050–1069. doi:10.1099/ijs.0.070136-0

    CAS  Article  PubMed  Google Scholar 

  • Gupta RS, Naushad S, Fabros R, Adeolu M (2016) A phylogenomic reappraisal of family-level divisions within the class Halobacteria: proposal to divide the order Halobacteriales into the families Halobacteriaceae, Haloarculaceae fam. nov., and Halococcaceae fam. nov., and the order Haloferacales into the families, Haloferacaceae and Halorubraceae fam nov. Antonie Van Leeuwenhoek 109:565–587. doi:10.1007/s10482-016-0660-2

    Article  PubMed  Google Scholar 

  • Hattori T, Shiba H, Ashiki K, Araki T, Nagashima YK, Yoshimatsu K et al (2016) Anaerobic Growth of Haloarchaeon Haloferax volcanii by Denitrification Is Controlled by the Transcription Regulator NarO. J Bacteriol 198:1077–1086

    CAS  Article  PubMed  PubMed Central  Google Scholar 

  • Hochstein LI, Lang F (1991) Purification and properties of a dissimilatory nitrate reductase from Haloferax denitrificans. Arch Biochem Biophys 288:380–385

    CAS  Article  PubMed  Google Scholar 

  • Johnsen U, Schönheit P (2004) Novel xylose dehydrogenase in the halophilic archaeon Haloarcula marismortui. J Bacteriol 186:6198–6207

    CAS  Article  PubMed  PubMed Central  Google Scholar 

  • Ken-Ichi I, Hochstein LI (1996) The purification and properties of a copper nitrite reductase from Haloferax denitrificans. Curr Microbiol 32:72–76

    Article  Google Scholar 

  • Maillard J, Spronk CA, Buchanan G, Lyall V, Richardson DJ, Palmer T, Vuister GW, Sargent F (2007) Structural diversity in twin-arginine signal peptide-binding proteins. Proc Natl Acad Sci USA 104:15641–15646

    CAS  Article  PubMed  PubMed Central  Google Scholar 

  • Mancinelli RL, Hochstein LI (1986) The occurrence of denitrification in extremely halophilic bacteria. FEMS Microbiol Lett 35:55–58

    CAS  Article  PubMed  Google Scholar 

  • Martínez-Espinosa RM, Marhuenda-Egea FC, Bonete MJ (2001a) Purification and characterisation of a possible assimilatory nitrite reductase from the halophile archaeon Haloferax mediterranei. FEMS Microbiol Lett 196:113–118

    Article  PubMed  Google Scholar 

  • Martínez-Espinosa RM, Marhuenda-Egea FC, Bonete MJ (2001b) Assimilatory nitrate reductase from the haloarchaeon Haloferax mediterranei: purification and characterisation. FEMS Microbiol Lett 204:381–385

    Article  PubMed  Google Scholar 

  • Martínez-Espinosa RM, Esclapez J, Bautista V, Bonete MJ (2006) An octameric prokaryotic glutamine synthetase from the haloarchaeon Haloferax mediterranei. FEMS Microbiol Lett 264:110–116

    Article  PubMed  Google Scholar 

  • McDonald DW, Coddington A (1974) Properties of assimilatory nitrate reductase from Aspergillus nidulans. Eur J Biochem 46:169–178

    CAS  Article  PubMed  Google Scholar 

  • Mikami B, Ida S (1984) Purification and properties of ferredoxin-nitrate reductase from the cyanobacterium Plectonema boryanum. Biochim Biophys Acta 791:294–304

    CAS  Article  Google Scholar 

  • Moreno-Vivián C, Cabello P, Martínez-Luque M, Blasco R, Castillo F (1999) Prokaryotic nitrate reduction: molecular properties and functional distinction among bacterial nitrate reductases. J Bacteriol 181:6573–6584

    PubMed  PubMed Central  Google Scholar 

  • Oren A. (2013) Life at high salt concentrations, intracellular KCl concentrations, and acidic proteomes. Front Microbiol 4:315. doi:10.3389/fmicb.2013.00315

    Article  PubMed  PubMed Central  Google Scholar 

  • Pfeiffer F, Oesterhelt D (2015) A manual curation strategy to improve genome annotation: application to a set of haloarchael genomes. Life (Basel) 5:1427–1444. doi:10.3390/life5021427

    Google Scholar 

  • Pire C, Martínez-Espinosa RM, Pérez-Pomares F, Esclapez J, Bonete MJ (2014) Ferredoxin-dependent glutamate synthase: involvement in ammonium assimilation in Haloferax mediterranei. Extremophiles 18:147–159. doi:10.1007/s00792-013-0606-9

    CAS  Article  PubMed  Google Scholar 

  • Richardson DJ, Watmough NJ (1999) Inorganic nitrogen metabolism in bacteria. Curr Opin Microbiol 3:207–219

    CAS  Article  Google Scholar 

  • Richardson DJ, Berks BC, Russell DA, Spiro S, Taylor C (2001) Functional, biochemical and genetic diversity of prokaryotic nitrate reductases. Cell Mol Life Sci 58:165–178

    CAS  Article  PubMed  Google Scholar 

  • Rodrigo-Baños M, Garbayo I, Vílchez C, Bonete MJ, Martínez-Espinosa RM (2015) Carotenoids from Haloarchaea and Their Potential in Biotechnology. Mar Drugs 13:5508–5532. doi:10.3390/md13095508

    Article  PubMed  PubMed Central  Google Scholar 

  • Rubio LM, Herrero A, Flores E (1996) A cyanobacterial narB gene encodes a ferredoxin-dependent nitrate reductase. Plant Mol Biol 30:845–850

    CAS  Article  PubMed  Google Scholar 

  • Snell CD, Snell CT (1949) Colorimetric Methods of Analysis, 2. Van Nostrand, New York, pp 802–807

    Google Scholar 

  • Sparacino-Watkins C, Stolz JF, Basu P (2014) Nitrate and periplasmic nitrate reductases. Chem Soc Rev 43:676–706. doi:10.1039/c3cs60249d

    CAS  Article  PubMed  PubMed Central  Google Scholar 

  • Thompson JD, Gibson TJ, Plewniak F, Jeanmougin F, Higgins DG (1997) The CLUSTAL_X windows interface: flexible strategies for multiple sequence alignment aided by quality analysis tools. Nucleic Acids Res 25:4876–4882

    CAS  Article  PubMed  PubMed Central  Google Scholar 

  • Thomson AJ, Giannopoulos G, Pretty J, Baggs EM, Richardson DJ (2012) Biological sources and sinks of nitrous oxide and strategies to mitigate emissions. Philos Trans R Soc Lond B Biol Sci 367:1157–1168. doi:10.1098/rstb.2011.0415

    CAS  Article  PubMed  PubMed Central  Google Scholar 

  • Torregrosa-Crespo J, Martínez-Espinosa RM, Esclapez J, Bautista V, Pire C, Camacho M, Richardson DJ, Bonete MJ (2016) Anaerobic Metabolism in Haloferax Genus: Denitrification as Case of Study. Adv Microb Physiol 68:41–85

    CAS  Article  PubMed  Google Scholar 

  • Yoshimatsu K, Sakurai T, Fujiwara T (2000) Purification and characterization of dissimilatory nitrate reductase from denitrifying halophilic archaeon Haloarcula marismortui. FEBS Lett 470:216–220

    CAS  Article  PubMed  Google Scholar 

  • Yoshimatsu K, Iwasaki T, Fujiwara T (2002) Sequence and electron paramagnetic resonance analyses of nitrate reductase NarGH from a denitrifying halophilic euryarchaeote Haloarcula marismortui. FEBS Lett 516:145–150

    CAS  Article  PubMed  Google Scholar 

  • Yoshimatsu K, Araya O, Fujiwara T (2007) Haloarcula marismortui cytochrome b-561 is encoded by the narC gene in the dissimilatory nitrate reductase operon. Extremophiles 11:41–47

    CAS  Article  PubMed  Google Scholar 

Download references

Acknowledgements

This work was funded by research grant from the MINECO Spain (CTM2013-43147-R) and by funds from the Department of Biology, Faculty of Science, Anadolu University (Turkey).

Author information

Affiliations

Authors

Corresponding author

Correspondence to Rosa María Martínez-Espinosa.

Ethics declarations

Conflict of interest

The authors declare that there is no conflict of interest regarding the publication of this paper.

Additional information

Communicated by M. da Costa.

Rights and permissions

Reprints and Permissions

About this article

Verify currency and authenticity via CrossMark

Cite this article

Kilic, V., Kilic, G.A., Kutlu, H.M. et al. Nitrate reduction in Haloferax alexandrinus: the case of assimilatory nitrate reductase. Extremophiles 21, 551–561 (2017). https://doi.org/10.1007/s00792-017-0924-4

Download citation

  • Received:

  • Accepted:

  • Published:

  • Issue Date:

  • DOI: https://doi.org/10.1007/s00792-017-0924-4

Keywords

  • N-cycle
  • Halophiles
  • Archaea
  • Nitrate reductase
  • Assimilatory nitrate pathway
  • Denitrification