Skip to main content

Mutational analysis of Pyrococcus furiosus replication factor C based on the three-dimensional structure

Abstract

In eukaryotic DNA replication, replication factor C (RFC) acts as a "clamp loader" that loads PCNA onto a primed DNA template in an ATP-dependent manner. Proteins with functions essentially identical to that of RFC exist in Archaea. We have determined the crystal structure of the small subunit (RFCS) of Pyrococcus furiosus RFC at 2.8-Å resolution . Using the information from the determined tertiary structure, we prepared several mutations in RFCS and biochemically characterized them. Truncation of the C-terminal α-helix (α16) causes a failure in RFCS oligomerization and a loss of the stimulating activity for the PCNA-dependent DNA synthesis by DNA polymerases. The site-directed reduction of the negative charges at the center part of the RFCS complex affected the stability of the RFC-PCNA interaction and reduced the clamp-loading activity. These results contribute to our general understanding of the structure-function relationship of the RFC molecule for the clamp-loading event.

This is a preview of subscription content, access via your institution.

Fig. 1.
Fig. 2. A
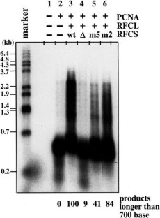
Fig. 3A, B.
Fig. 4.
Fig. 5.
Fig. 6A, B.
Fig. 7.

References

  • Bocquier AA, Liu L, Cann IKO, Kohda D, Ishino, Y (2001) Archaeal primase: bridging the gap between RNA and DNA polymerase. Curr Biol 11:452–456

    Article  CAS  PubMed  Google Scholar 

  • Cann IKO, Ishino Y (1999) Archaeal DNA replication: identifying the pieces to solve a puzzle. Genetics 152:1249–1267

    CAS  PubMed  Google Scholar 

  • Cann IKO, Komori K, Toh H, Kanai S, Ishino Y (1998) A heterodimeric DNA polymerase: evidence that members of the euryarchaeota possess a novel DNA polymerase. Proc Natl Acad Sci USA 95:14250–14255

    Article  CAS  PubMed  Google Scholar 

  • Cann IKO, Ishino S, Hayashi I, Komori K, Toh H, Morikawa K, Ishino Y (1999) Functional interactions of a homolog of proliferating cell nuclear antigen with DNA polymerases in Archaea. J Bacteriol 181:6591–6599

    CAS  PubMed  Google Scholar 

  • Cann IKO, Ishino S, Yuasa M, Daiyasu H, Toh H, Morikawa K, Ishino Y (2001) Biochemical analysis of the replication factor C from the hyperthermophilic archaeon Pyrococcus furiosus. J Bacteriol 183:2614–2623

    Article  CAS  PubMed  Google Scholar 

  • Edgell DR, Doolittle WF (1997) Archaea and the origin(s) of DNA replication proteins. Cell 89:995–998

    CAS  PubMed  Google Scholar 

  • Henneke G, Raffin JP, Ferrari E, Jonsson ZO, Dietrich J, Hübscher U (2000) The PCNA from Thermococcus fumicolans functionally interacts with DNA polymerase δ. Biochem Biophys Res Commun 276:600–606

    Article  CAS  PubMed  Google Scholar 

  • Hingorani MM, O'Donnell M (2000) A tale of Toroids in DNA metabolism. Nat Rev Mol Cell Biol 1:22–30

    Article  CAS  PubMed  Google Scholar 

  • Imamura M, Uemori T, Kato I, Ishino Y (1995) A non-α-like DNA polymerase from a hyperthermophilic archaeon Pyrococcus furiosus. Biol Pharm Bull 18:1647–1652

    CAS  PubMed  Google Scholar 

  • Ishino Y, Cann IKO (1998) The euryarchaeotes, a subdomain of Archaea, survive on a single DNA polymerase: fact or farce? Genes Genet Syst 73:323–336

    Article  CAS  PubMed  Google Scholar 

  • Ishino Y, Ishino S (2001) Novel DNA polymerases from Euryarchaeota. Methods Enzymol 334:249–260

    CAS  PubMed  Google Scholar 

  • Ishino Y, Komori K, Cann IKO, Koga Y (1998) A novel DNA polymerase family found in Archaea. J Bacteriol 180:2232–2236

    CAS  PubMed  Google Scholar 

  • Ishino Y, Tsurimoto T, Ishino S, Cann I (2001) Functional molecular exchange in DNA replication machinery between Eukarya and Archaea. Genes Cells 6:699–706

    Article  CAS  PubMed  Google Scholar 

  • Jeruzalmi D, O'Donnell M, Kuriyan J (2001) Crystal structure of the processivity clamp loader gamma (γ) complex of E. coli DNA polymerase III. Cell 106:429–441

    CAS  PubMed  Google Scholar 

  • Komori K, Ishino Y (2000) Functional interdependence of DNA polymerizing and 3′→5′ exonucleolytic activities in Pyrococcus furiosus DNA polymerase I. Protein Eng 13:41–47

    Article  CAS  PubMed  Google Scholar 

  • Komori K, Ishino Y (2001) Replication protein A in Pyrococcus furiosus is involved in homologous DNA recombination. J Biol Chem 276:25654–25660

    Article  CAS  PubMed  Google Scholar 

  • Leipe DD, Aravind L, Koonin EV (1999) Did DNA replication evolve twice independently? Nucleic Acids Res 27:3389–3401

    Article  CAS  PubMed  Google Scholar 

  • Liu L, Komori K, Ishino S, Bocquier A, Cann I, Kohda D, Ishino I (2001) The archaeal DNA primase: biochemical characterization of the p41-p46 complex from Pyrococcus furiosus. J Biol Chem 276:45484–45490

    Article  CAS  PubMed  Google Scholar 

  • Matsumiya S, Ishino Y, Morikawa K (2001) Crystal structure of an archaeal DNA sliding clamp: proliferating cell nuclear antigen of Pyrococcus furiosus. Protein Sci 10:17–23

    Article  CAS  PubMed  Google Scholar 

  • Matsunaga F, Forterre P, Ishino Y, Myllykallio H (2001) In vivo interactions of archaeal Cdc6/Orc1 and MCM proteins with the replication origin. Proc Natl Acad Sci USA 98:11152–11157

    Article  CAS  PubMed  Google Scholar 

  • Mayanagi K, Miyata T, Oyama T, Ishino Y, Morikawa K (2001) Three-dimensional electron microscopy of clamp loader small subunit from Pyrococcus furiosus. J Struct Biol 134:35–45

    Article  CAS  PubMed  Google Scholar 

  • Mossi R, Hübscher U (1998) Clamping down on clamps and clamp loaders the eukaryotic replication factor C. Eur J Biochem 254:209–216

    CAS  PubMed  Google Scholar 

  • Nicholls A, Sharp KA, Honig B (1991) Protein folding and association: insights from the interfacial and thermodynamic properties of hydrocarbons. Proteins 11:281–296

    CAS  PubMed  Google Scholar 

  • Olsen GJ, Woese CR (1997) Archaeal genomics: An overview. Cell 89:991–994

    CAS  PubMed  Google Scholar 

  • Oyama T, Ishino Y, Cann I, Ishino S, Morikawa K (2001) Atomic structure of the clamp loader small subunit from Pyrococcus furiosus. Mol Cell 8:455–463

    CAS  PubMed  Google Scholar 

  • Podust VN, Tiwari N, Ott R, Fanning E (1998) Functional interactions among the subunits of replication factor C potentiate and modulate its ATPase activity. J Biol Chem 273:12935–12942

    Article  CAS  PubMed  Google Scholar 

  • Uhlmann F, Cai J, Gibbs E, O'Donnell M, Hurwitz J (1997a) Deletion analysis of the large subunit p140 in human replication factor C reveals regions required for complex formation and replication activities. J Biol Chem 272:10058–10064

    Article  CAS  PubMed  Google Scholar 

  • Uhlmann F, Gibbs E, Cai J, O'Donnell M, Hurwitz J (1997b) Identification of regions within the four small subunits of human replication factor C required for complex formation and DNA replication. J Biol Chem 272:10065–10071

    Article  CAS  PubMed  Google Scholar 

  • Uemori T, Ishino Y, Toh H, Asada K, Kato I (1993) Organization and nucleotide sequence of the DNA polymerase gene from the archaeon Pyrococcus furiosus. Nucleic Acids Res 21:259–265

    CAS  PubMed  Google Scholar 

  • Uemori T, Sato Y, Kato I, Doi H, Ishino Y (1997) A novel DNA polymerase in the hyperthermophilic archaeon, Pyrococcus furiosus. Gene cloning, expression, and characterization. Genes Cells 2:499–512

    CAS  PubMed  Google Scholar 

  • Woese CR, Fox GE (1977) Phylogenetic structure of the prokaryotic domain: the primary kingdoms. Proc Natl Acad Sci USA 74:5088–5090

    CAS  PubMed  Google Scholar 

Download references

Acknowledgement

This work was supported in part by New Energy and Industrial Technology Development Organization (NEDO).

Author information

Affiliations

Authors

Corresponding author

Correspondence to Yoshizumi Ishino.

Rights and permissions

Reprints and Permissions

About this article

Cite this article

Ishino, S., Oyama, T., Yuasa, M. et al. Mutational analysis of Pyrococcus furiosus replication factor C based on the three-dimensional structure. Extremophiles 7, 169–175 (2003). https://doi.org/10.1007/s00792-002-0308-1

Download citation

  • Received:

  • Accepted:

  • Published:

  • Issue Date:

  • DOI: https://doi.org/10.1007/s00792-002-0308-1

Keywords

  • Archaea
  • DNA replication
  • Clamp loader
  • Hyperthermophile