Skip to main content

Application of image processing techniques to aid in the detection of vertical root fractures in digital periapical radiography

Abstract

Objectives

To present an image processing framework to improve the detection of vertical root fractures (VRFs) in digital periapical radiography.

Materials and methods

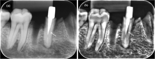
Thirty endodontically treated human teeth (15 of them fractured with a metal post inserted into them, and 15 for the control) were enclosed in a dry mandible and radiographed individually. The proposed framework was applied to the raw data, as a preprocessing step, and was composed of four stages: geometric adjustment and negative, denoising, adaptive contrast enhancement, and gamma correction. The contrast-to-noise ratio (CNR) and sharpness of the image’s VRF region were used for the objective evaluation of the method. In addition, five examiners evaluated the original and enhanced images, using a 5-point scale to assess confidence.

Results

The objective results showed that the proposed framework increased the CNR of the VRF region by 173% compared to the standard preprocessing method provided by the detector’s manufacturer. The results found by the human observers indicated that the area under the curve (AUC) and sensitivity of the diagnosis of VRF significantly increased by 4% and 17% (p ≤ 0.05), respectively, when the examiners evaluated the image with the proposed method concomitantly with the image available in the commercial software. However, the specificity was reduced.

Conclusions

The proposed image processing framework can be used as an additional tool to that provided by the manufacturer to increase the sensitivity and AUC of the diagnosis of VRF.

Clinical relevance

The proposed method can be easily used in clinical practice to aid VRF detection, since it does not incur high computational costs and does not increase the radiation dose applied to the patient.

This is a preview of subscription content, access via your institution.

Fig. 1
Fig. 2
Fig. 3

References

  1. Rivera EM, Walton RE (2007) Longitudinal tooth fractures: findings that contribute to complex endodontic diagnoses. Endod Top 16:82–111. https://doi.org/10.1111/j.1601-1546.2009.00243.x

    Article  Google Scholar 

  2. Zhang L, Wang T, Cao Y et al (2019) In vivo detection of subtle vertical root fracture in endodontically treated teeth by cone-beam computed tomography. J Endod 45:856–862. https://doi.org/10.1016/j.joen.2019.03.006

    Article  PubMed  Google Scholar 

  3. Brady E, Mannocci F, Brown J, Wilson R, Patel S (2014) A comparison of cone beam computed tomography and periapical radiography for the detection of vertical root fractures in nonendodontically treated teeth. Int Endod J 47:735–746. https://doi.org/10.1111/iej.12209

    Article  PubMed  Google Scholar 

  4. Tsesis I, Beitlitum I, Rosen E (2015) Treatment alternatives for the preservation of vertically root fractured teeth. In: Tamse A, Tsesis I, Rosen E (eds) Vertical Root Fractures in Dentistry. Springer, Heidelberg, pp 97–107

    Chapter  Google Scholar 

  5. Chang E, Lam E, Shah P, Azarpazhooh A (2016) Cone-beam computed tomography for detecting vertical root fractures in endodontically treated teeth: a systematic review. J Endod 42:177–185. https://doi.org/10.1016/j.joen.2015.10.005

    Article  PubMed  Google Scholar 

  6. Tsesis I, Rosen E, Tamse A, Taschieri S, Kfir A (2010) Diagnosis of vertical root fractures in endodontically treated teeth based on clinical and radiographic indices: a systematic review. J Endod 36:1455–1458. https://doi.org/10.1016/j.joen.2010.05.003

    Article  PubMed  Google Scholar 

  7. AAE and AAOMR Joint Position Statement (2015) Use of cone beam computed tomography in endodontics 2015 update. Int Endod J 41:1393–1396. https://doi.org/10.1016/j.oooo.2015.07.033

    Article  Google Scholar 

  8. Bechara B, McMahan CA, Noujeim M et al (2013) Comparison of cone beam ct scans with enhanced photostimulated phosphor plate images in the detection of root fracture of endodontically treated teeth. Dentomaxillofac Radiol 42:1–5. https://doi.org/10.1259/dmfr.20120404

    Article  Google Scholar 

  9. Costa FF, Gaia BF, Umetsubo OS, Cavalcanti MG (2011) Detection of horizontal root fracture with small-volume cone beam computed tomography in the presence and absence of intracanal metallic post. J Endod 37:1456–1459. https://doi.org/10.1016/j.joen.2011.05.040

    Article  PubMed  Google Scholar 

  10. Pinto MGO, Rabelo KA, Sousa Melo SL et al (2017) Influence of exposure parameters on the detection of simulated root fractures in the presence of various intracanal materials. Int Endod J 50:586–594. https://doi.org/10.1111/iej.12655

    Article  PubMed  Google Scholar 

  11. Patel S, Brown J, Pimentel T, Kelly RD, Abella F, Durack C (2019) Cone beam computed tomography in Endodontics – a review of the literature. Int Endod J 52:1138–1152. https://doi.org/10.1111/iej.13115

    Article  PubMed  Google Scholar 

  12. Freitas DQ, Vasconcelos TV, Noujeim M (2019) Diagnosis of vertical root fracture in teeth close and distant to implant: an in vitro study to assess the influence of artifacts produced in cone beam computed tomography. Clin Oral Invest 23:1263–1270. https://doi.org/10.1007/s00784-018-2558-z

    Article  Google Scholar 

  13. Wenzel A (2006) A review of dentists’ use of digital radiography and caries diagnosis with digital systems. Dentomaxillofac Radiol 35:307–314. https://doi.org/10.1259/dmfr/64693712

    Article  PubMed  Google Scholar 

  14. Parks ET, Williamson GF (2002) Digital radiography: an overview. J Contemp Dent Pract 3:23–39

    Article  Google Scholar 

  15. Gaêta-Araujo H, Nascimento EHL, Oliveira-Santos N et al (2020) Effect of digital enhancement on the radiographic assessment of vertical root fractures in the presence of different intracanal materials: an in vitro study. Clin Oral Invest. https://doi.org/10.1007/s00784-020-03353-x

  16. Nascimento HA, Ramos AC, Neves FS, de-Azevedo-Vaz SL, Freitas DQ (2015) The ‘sharpen’ filter improves the radiographic detection of vertical root fractures. Int Endod J 48:428–434. https://doi.org/10.1111/iej.12331

    Article  PubMed  Google Scholar 

  17. Johari M, Esmaeili F, Andalib A, Garjani S, Saberkari H (2016) A novel thresholding based algorithm for detection of vertical root fracture in nonendodontically treated premolar teeth. J Med Signals Sens 6:81–90

    Article  Google Scholar 

  18. Mikrogeorgis G, Eirinaki E, Kapralos V, Koutroulis A, Lyroudia K, Pitas I (2018) Diagnosis of vertical root fractures in endodontically treated teeth utilising digital subtraction radiography: a case series report. Aust Endod J 44:286–291. https://doi.org/10.1111/aej.12240

    Article  PubMed  Google Scholar 

  19. Soares CJ, Pizi ECG, Fonseca RB, Martins LRM (2005) Influence of root embedment material and periodontal ligament simulation on fracture resistance tests. Braz Oral Res 19:11–16. https://doi.org/10.1590/S1806-83242005000100003

    Article  PubMed  Google Scholar 

  20. Dabov K, Foi A, Katkovnik V, Egiazarian K (2007) Image denoising by sparse 3-d transform-domain collaborative filtering. IEEE Trans Image Process 16:2080–2095. https://doi.org/10.1109/TIP.2007.901238

    Article  PubMed  Google Scholar 

  21. Lebrun M, Colom M, Buades A, Morel J (2012) Secrets of image denoising cuisine. Acta Numer 21:475–576. https://doi.org/10.1017/S0962492912000062

    Article  Google Scholar 

  22. Alkinani MH, El-Sakka MR (2017) Patch-based models and algorithms for image denoising: a comparative review between patch-based images denoising methods for additive noise reduction. J Image Video Proc 58:1–27. https://doi.org/10.1186/s13640-017-0203-4

    Article  Google Scholar 

  23. Joseph J, Sivaraman J, Periyasamy R, Simi VR (2017) An objective method to identify optimum clip-limit and histogram specification of contrast limited adaptive histogram equalization for MR images. Biocybern Biomed Eng 37:489–497. https://doi.org/10.1016/j.bbe.2016.11.006

    Article  Google Scholar 

  24. Singh RP, Dixit M (2015) Histogram equalization: A strong technique for image enhancement. Int J Sig Proc, Image Proc Patt Recog 8:345–352. https://doi.org/10.14257/ijsip.2015.8.8.35

    Article  Google Scholar 

  25. Koonsanit K, Thongvigitmanee S, Pongnapang N, Thajchayapong P (2017) Image enhancement on digital x-ray images using n-clahe. IEEE. https://doi.org/10.1109/BMEiCON.2017.8229130

  26. Chang Y, Jung C, Ke P, Song H, Hwang J (2018) Automatic contrast-limited adaptive histogram equalization with dual gamma correction. IEEE Access 6:11782–11792. https://doi.org/10.1109/ACCESS.2018.2797872

    Article  Google Scholar 

  27. Timischl F (2015) The contrast-to-noise ratio for image quality evaluation in scanning electron microscopy. Scanning 37:54–62. https://doi.org/10.1002/sca.21179

    Article  PubMed  Google Scholar 

  28. He L, Greenshields IR (2009) A nonlocal maximum likelihood estimation method for rician noise reduction in mr images. IEEE Trans Med Imaging 28:165–172. https://doi.org/10.1109/TMI.2008.927338

    Article  PubMed  Google Scholar 

  29. Queiroz PM, Nascimento HA, da Paz TD, Anacleto FN, Freitas DQ (2016) Accuracy of digital subtraction radiography in the detection of vertical root fractures. J Endod 42:896–899. https://doi.org/10.1016/j.joen.2016.03.003

    Article  PubMed  Google Scholar 

  30. Yamamoto-Silva FP, de Oliveira Siqueira CF, Silva MAGS et al (2018) Influence of voxel size on cone-beam computed tomography-based detection of vertical root fractures in the presence of intracanal metallic posts. Imaging Sci Dent 48:177–184. https://doi.org/10.5624/isd.2018.48.3.177

    Article  PubMed  PubMed Central  Google Scholar 

  31. Landis JR, Koch GG (1977) The measurement of observer agreement for categorical data. Biometrics 33:159–174. https://doi.org/10.2307/2529310

    Article  Google Scholar 

  32. Ludlow JB, Mol A (2013) Digital Imaging. In: White SC, Pharoah MJ (eds) Oral radiology: principles and interpretation, 7th edn. Mosby, St. Louis, pp 41–62

    Google Scholar 

  33. Tofangchiha M, Bakhshi M, Shariati M, Valizadeh S, Adel M, Sobouti F (2012) Detection of vertical root fractures using digitally enhanced images: reverse-contrast and colorization. Dent Traumatol 28:478–482. https://doi.org/10.1111/j.1600-9657.2012.01120.x

    Article  PubMed  Google Scholar 

  34. Kamburoğlu K, Murat S, Pehlivan SY (2010) The effects of digital image enhancement on the detection of vertical root fracture. Dent Traumatol 26:47–51. https://doi.org/10.1111/j.1600-9657.2009.00841.x

    Article  PubMed  Google Scholar 

  35. Nascimento MC, Nejaim Y, de Almeida SM et al (2014) Influence of cone beam ct enhancement filters on diagnosis ability of longitudinal root fractures. Dentomaxillofac Radiol 43:1–5. https://doi.org/10.1259/dmfr.20130374

    Article  Google Scholar 

  36. Ferreira LM, Visconti MA, Nascimento HA, Dallemolle RR, Ambrosano GM, Freitas DQ (2015) Influence of CBCT enhancement filters on diagnosis of vertical root fractures: a simulation study in endodontically treated teeth with and without intracanal posts. Dentomaxillofac Radiol 44:20140352. https://doi.org/10.1259/dmfr.20140352

    Article  PubMed  PubMed Central  Google Scholar 

  37. De Martin E, Silva D, Campos CN, Pires Carvalho AC, Devito KL (2018) Diagnosis of mesiodistal vertical root fractures in teeth with metal posts: influence of applying filters in cone-beam computed tomography images at different resolutions. J Endod 44:470–474. https://doi.org/10.1016/j.joen.2017.08.030

    Article  Google Scholar 

  38. Mantiuk RK, Tomaszewska A, Mantiuk R (2012) Comparison of four subjective methods for image quality assessment. Comput Graph Forum 31:2478–2491

    Article  Google Scholar 

  39. Leveque L, Liu H, Barakovic S et al (2018) On the subjective assessment of the perceived quality of medical images and videos. IEEE. https://doi.org/10.1109/QoMEX.2018.8463297

Download references

Acknowledgements

The authors thank Espaço da Escrita (Pró-Reitoria de Pesquisa - UNICAMP) for the language services provided.

Funding

This study was supported by the Brazilian National Council for Scientific and Technological Development (CNPq) (grant #457536/2014-4) and the Federal Institute of Education, Science and Technology of São Paulo (IFSP) (grant #23305.008073.2018-58).

Author information

Affiliations

Authors

Contributions

All authors contributed to the study conception and design. Material preparation and data collection were performed by Lucas E. Soares, Deborah Q. Freitas, Kaique L. Lima, Lorena R. Silva, and Fernanda P. Yamamoto-Silva. The data analysis was performed by Lucas E. Soares and Deborah Q. Freitas. The proposed image processing framework was designed by Lucas E. Soares and Marcelo A. C. Vieira. The first draft of the manuscript was written by Lucas E. Soares, Deborah Q. Freitas, and Marcelo A. C. Vieira and all authors commented on previous versions of the manuscript. The study was supervised and reviewed by Marcelo A. C. Vieira, Deborah Q. Freitas and Fernanda P. Yamamoto-Silva. All authors read and approved the final manuscript.

Corresponding author

Correspondence to Marcelo Andrade da Costa Vieira.

Ethics declarations

Ethical approval

All procedures performed in studies involving human participants were in accordance with the ethical standards of the Research Ethics Committee of the Federal University of Goiás (#24810513.7.0000.5083) and with the 1964 Helsinki declaration and its later amendments or comparable ethical standards.

Informed consent

For this type of study, formal consent is not required.

Conflict of interest

The authors declare no competing interests.

Additional information

Publisher’s note

Springer Nature remains neutral with regard to jurisdictional claims in published maps and institutional affiliations.

Rights and permissions

Reprints and Permissions

About this article

Verify currency and authenticity via CrossMark

Cite this article

Soares, L.E., Freitas, D.Q., Lima, K.L. et al. Application of image processing techniques to aid in the detection of vertical root fractures in digital periapical radiography. Clin Oral Invest 25, 5077–5085 (2021). https://doi.org/10.1007/s00784-021-03820-z

Download citation

  • Received:

  • Accepted:

  • Published:

  • Issue Date:

  • DOI: https://doi.org/10.1007/s00784-021-03820-z

Keywords

  • Image processing
  • Digital periapical radiography
  • Vertical root fractures
  • Radiographic image enhancement