Skip to main content

Effect of hyperbaric oxygen therapy on tooth extraction sites in rats subjected to bisphosphonate therapy—histomorphometric and immunohistochemical analysis

Abstract

Objective

This study aimed to investigate the effect of hyperbaric oxygen therapy (HBOT) on tooth extraction sites in rats treated with bisphosphonate.

Materials and methods

Rats were treated with zoledronic acid, subjected to tooth extractions and allocated into groups: (1) 7 days of HBOT, (2) 14 days of HBOT, (3) 7-day control, and (4) 14-day control. The site of tooth extractions was analyzed by histomorphometry and immunohistochemistry.

Results

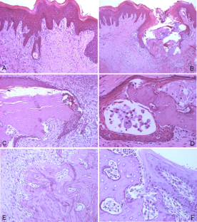
On macroscopic analysis, HBOT did not significantly affect bone exposure volume either at 7 or 14 days. On hematoxylin and eosin (H&E) analysis, the 14-day HBOT group showed less non-vital bone compared to both controls and 7-day HBOT group. HBOT significantly lowered expression of vascular endothelial growth factor (VEGF), receptor activator NF-kB ligand (RANKL), bone morphogenetic protein-2 (BMP-2), and osteoprotegerin (OPG) at 7 days, compared to control, whereas at 14 days, there was no significant difference for these variables.

Conclusion

HBOT can reduce the amounts of non-vital bone microscopically detected in tooth extraction sites of rats subjected to bisphosphonate therapy. The effect seems to occur in a dose-dependent mode. Further studies are required to clarify the mechanisms accounting for this effect.

Clinical relevance

Treatment of bisphosphonate-related osteonecrosis of the jaw (BRONJ) has been a challenging task, where the effectiveness of HBOT is controversial. This study reports important effects of HBOT on the maxillae of rats subjected to bisphosphonate treatment, making an important contribution to the knowledge about the applicability of HBOT in BRONJ.

This is a preview of subscription content, access via your institution.

Fig. 1
Fig. 2

References

  1. Abrahamsen B (2010) Bisphosphonate adverse effects, lessons from large databases. Curr Opin Rheumatol 22(4):404–409. doi:10.1097/BOR.0b013e32833ad677

    PubMed  Article  Google Scholar 

  2. Allen MR, Burr DB (2009) The pathogenesis of bisphosphonate-related osteonecrosis of the jaw: so many hypotheses, so few data. J Oral Maxillofac Surg 67(5 Suppl):61–70. doi:10.1016/j.joms.2009.01.007

    PubMed  Article  Google Scholar 

  3. AAOMS (2007) American Association of Oral and Maxillofacial Surgeons position paper on bisphosphonate-related osteonecrosis of the jaws. J Oral Maxillofac Surg 65:369–376

    Article  Google Scholar 

  4. Khosla S, Burr D, Cauley J, Dempster DW, Ebeling PR, Felsenberg D, Gagel RF, Gilsanz V, Guise T, Koka S, McCauley LK, McGowan J, McKee MD, Mohla S, Pendrys DG, Raisz LG, Ruggiero SL, Shafer DM, Shum L, Silverman SL, Van Poznak CH, Watts N, Woo SB, Shane E, American Society for Bone and Mineral Research (2007) Bisphosphonate-associated osteonecrosis of the jaw: report of a task force of the American Society for Bone and Mineral Research. Am Soc Bone Miner Res J Bone Miner Res 22:1479–1491

    Article  Google Scholar 

  5. Lam DK, Sándor GK, Holmes HI, Evans AW, Clokie CM (2007) A review of bisphosphonate-associated osteonecrosis of the jaws and its management. J Can Dent Assoc 73(5):417–422

    PubMed  Google Scholar 

  6. Reid IR (2009) Osteonecrosis of the jaw: who gets it, and why? Bone 44:4–10

    PubMed  Article  Google Scholar 

  7. Ruggiero SL, Dodson TB, Assael LA, Landesberg R, Marx RE, Mehrotra B (2009) American Association of Oral and Maxillofacial Surgeons. American Association of Oral and Maxillofacial Surgeons position paper on bisphosphonate-related osteonecrosis of the jaws—2009 update. J Oral Maxillofac Surg 67(5 Suppl):2–12

    PubMed  Google Scholar 

  8. Ruggiero SL, Dodson TB, Fantasia J, Goodday R, Aghaloo T, Mehrotra B, O’Ryan F, Association of Oral and Maxillofacial Surgeons (2014) American Association of Oral and Maxillofacial Surgeons position paper on medication-related osteonecrosis of the jaw—2014 update. J Oral Maxillofac Surg 72(10):1938–1956. doi:10.1016/j.joms.2014.04.031

    PubMed  Article  Google Scholar 

  9. Cremers SC, Pillai G, Papapoulos SE (2005) Pharmacokinetics/pharmacodynamics of bisphosphonates: use for optimisation of intermittent therapy for osteoporosis. Clin Pharmacokinet 44(6):551–570

    PubMed  Article  Google Scholar 

  10. Fleisch H (1998) Bisphosphonates: mechanisms of action. Endocr Rev 19:80–100

    PubMed  Article  Google Scholar 

  11. Hewitt C, Farah CS (2007) Bisphosphonate-related osteonecrosis of the jaws: a comprehensive review. J Oral Pathol Med 36:319–328

    PubMed  Article  Google Scholar 

  12. Freiberger JJ (2009) Utility of hyperbaric oxygen in treatment of bisphosphonate-related osteonecrosis of the jaws. J Oral Maxillofac Surg 67(Suppl 1):96–106

    PubMed  Article  Google Scholar 

  13. Luckman SP, Huhes DE, Coxon FP, Russel RG, Rogers MJ (1998) Nitrogen-containing bisphosphonates inhibit the mevalonate pathway and prevent post-translational prenylation of GTP-binding proteins, including Ras. J Bone Miner Res 13(4):581–589

    PubMed  Article  Google Scholar 

  14. Migliorati CA, Casiglia J, Epstein J, Jacobsen PL, Siegel MA, Woo SB (2005) Managing the care of patients with bisphosphonate-associated osteonecrosis: an American Academy of Oral Medicine position paper. J Am Dent Assoc 136:1658–1668

    PubMed  Article  Google Scholar 

  15. Russel RG (2006) Bisphosphonates from bench to bedside. Ann N Y Acad Sci 1068:367–401

    Article  Google Scholar 

  16. Wood J, Bonjean K, Ruetz S, Bellahcène A, Devy L, Foidart JM, Castronovo V, Green JR (2002) Novel antiangiogenic effects of the bisphosphonate compound zoledronic acid. J Pharmacol Exp Ther 302(3):1055–1061

    PubMed  Article  Google Scholar 

  17. Koch FP, Merkel C, Ziebart T, Smeets R, Walter C, Al-Nawas B (2012) Influence of bisphosphonates on the osteoblast RANKL and OPG gene expression in vitro. Clin Oral Investig 16:79–86. doi:10.1007/s00784-010-0477-8

    PubMed  Article  Google Scholar 

  18. Marx RE, Sawatari Y, Fortin M, Broumand V (2005) Bisphosphonate-induced exposed bone (osteonecrosis/ osteopetrosis) of the jaws: risk factors, recognition, prevention and treatment. J Oral Maxillofac Surg 63:1567–1575

    PubMed  Article  Google Scholar 

  19. Wehrhan F, Hyckel P, Ries J, Stockmann P, Nkenke E, Schlegel KA, Neukam FW, Amann K (2010) J Transl Med 8:96. doi:10.1186/1479-5876-8-96

    PubMed  PubMed Central  Article  Google Scholar 

  20. Williams DW, Lee C, Kim T, Yagita H, Wu H, Park S, Yang P, Liu H, Shi S, Shin KH, Kang MK, Park NH, Kim RH (2014) Impaired bone resorption and woven bone formation are associated with development of osteonecrosis of the jaw-like lesions by bisphosphonate and anti-receptor activator of NF-κB ligand antibody in mice. Am J Pathol 184(11):3084–3093. doi:10.1016/j.ajpath.2014.07.010

    PubMed  PubMed Central  Article  Google Scholar 

  21. Maahs MP, Azambuja AA, Campos MM, Salum FG, Cherubini K (2011) Association between bisphosphonates and jaw osteonecrosis: a study in Wistar rats. Head Neck 33:199–207

    PubMed  Article  Google Scholar 

  22. Freiberger JJ, Burgos RP, Chhoeu AH, Kraft KH, Boneta O, Moon RE, Piantadosi CA (2007) Hyperbaric oxygen treatment and bisphosphonate-induced osteonecrosis of the jaw: a case series. J Oral Maxillofac Surg 65:1321–1327

    PubMed  Article  Google Scholar 

  23. Hinson AM, Siegel ER, Stack BC Jr (2015) Temporal correlation between bisphosphonate termination and symptom resolution in osteonecrosis of the jaw: a pooled case report analysis. J Oral Maxillofac Surg 73(1):53–62

    PubMed  Article  Google Scholar 

  24. Magopoulos C, Karakinaris G, Telioudis Z, Vahtsevanos K, Dimitrakopoulos I, Antoniadis K, Delaroudis S (2007) Osteonecrosis of the jaws due to bisphosphonate use. A review of 60 cases and treatment proposals. Am J Otolaryngol 28(3):158–163

    PubMed  Article  Google Scholar 

  25. Montebugnoli L, Felicetti L, Gissi DB, Pizzigalo A, Pelliccioni GA, Marchetti C (2007) Bisphosphonate-associated osteonecrosis can be controlled by nonsurgical management. Oral Surg Oral Med Oral Pathol Oral Radiol Endod 104(4):473–477

    PubMed  Article  Google Scholar 

  26. Biasotto M, Chiandussi S, Dore F, Rinaldi A, Rizzardi C, Cavalli F, Di Lenarda R (2006) Clinical aspects and management of bisphosphonates-associated osteonecrosis of the jaws. Acta Odontol Scand 64(6):348–354

    PubMed  Article  Google Scholar 

  27. Carlson ER, Basile JD (2009) The role of surgical resection in the management of bisphosphonate-related osteonecrosis of the jaws. J Oral Maxillofac Surg 67(5 Suppl):85–95. doi:10.1016/j.joms.2009.01.006

    PubMed  Article  Google Scholar 

  28. Cetiner S, Sucak GT, Kahraman SA, Aki SZ, Kocakahyaoglu B, Gultekin SE, Cetiner M, Haznedar R (2009) Osteonecrosis of the jaw in patients with multiple myeloma treated with zoledronic acid. J Bone Miner Metab 27(4):435–443. doi:10.1007/s00774-009-0047-9

    PubMed  Article  Google Scholar 

  29. Curi MM, Cossolin GS, Koga DH, Araújo SR, Feher O, dos Santos MO, Zardetto C (2007) Treatment of avascular osteonecrosis of the mandible in cancer patients with a history of bisphosphonate therapy by combining bone resection and autologous platelet-rich plasma: report of 3 cases. J Oral Maxillofac Surg 65(2):349–355

    PubMed  Article  Google Scholar 

  30. Greenberg MS (2004) Intravenous bisphosphonates and osteonecrosis. Oral Surg Oral Med Oral Pathol Oral Radiol Endod 98:259–260

    PubMed  Article  Google Scholar 

  31. Gutta R, Louis PJ (2007) Bisphosphonates and osteonecrosis of the jaws: science and rationale. Oral Surg Oral Med Oral Pathol Oral Radiol Endod 104:186–193

    PubMed  Article  Google Scholar 

  32. Heras Rincón I, Zubillaga Rodríguez I, Castrillo Tambay M, Montalvo Moreno JJ (2007) Osteonecrosis of the jaws and bisphosphonates. Report of fifteen cases. Therapeutic recommendations. Med Oral Patol Oral Cir Bucal 12(4):E267–E271

    PubMed  Google Scholar 

  33. Ruggiero SL, Mehrotra B, Rosenberg TJ, Engroff SL (2004) Osteonecrosis of the jaws associated with the use of bisphosphonates: a review of 63 cases. J Oral Maxillofac Surg 62(5):527–534

    PubMed  Article  Google Scholar 

  34. Bocanegra-Pérez MS, Vicente-Barrero M, Sosa-Henríquez M, Rodríguez-Bocanegra E, Limiñana-Cañal JM, López-Márquez A, Pérez-Plasencia D, Ramos-Macías A (2012) Bone metabolism and clinical study of 44 patients with bisphosphonate-related osteonecrosis of the jaws. Med Oral Patol Oral Cir Bucal 11(1):E948–E955

    Article  Google Scholar 

  35. Rugani P, Acham S, Kirnbauer B, Truschnegg A, Obermayer-Pietsch B, Jakse N (2014) Stage-related treatment concept of medication-related osteonecrosis of the jaw—a case series. Clin Oral Investig 19(6):1329–1338. doi:10.1007/s00784-014-1384-1

    PubMed  Article  Google Scholar 

  36. Rupel K, Ottaviani G, Gobbo M, Contardo L, Tirelli G, Vescovi P, Di Lenarda R, Biasotto M (2014) A systematic review of therapeutical approaches in bisphosphonates-related osteonecrosis of the jaw (BRONJ). Oral Oncol 50(11):1049–1057. doi:10.1016/j.oraloncology.2014.08.016

    PubMed  Article  Google Scholar 

  37. Altay MA, Tasar F, Tosun E, Kan B (2014) Low-level laser therapy supported surgical treatment of bisphosphonate related osteonecrosis of jaws: a retrospective analysis of 11 cases. Photomed Laser Surg 32(8):468–475. doi:10.1089/pho.2014.3742

    PubMed  Article  Google Scholar 

  38. Vescovi P, Meleti M, Merigo E, Manfredi M, Fornaini C, Guidotti R, Nammour S (2013) Case series of 589 tooth extractions in patients under bisphosphonates therapy. Proposal of a clinical protocol supported by Nd:YAG low-level laser therapy. Med Oral Patol Oral Cir Bucal 18(4):e680–e685

    PubMed  PubMed Central  Article  Google Scholar 

  39. Vescovi P, Merigo E, Meleti M et al (2014) Conservative surgical management of stage I bisphosphonate-related osteonecrosis of the jaw. Int J Dent 2014:107690. doi:10.1155/2014/107690

    PubMed  PubMed Central  Article  Google Scholar 

  40. Martins MA, Martins MD, Lascala CA, Curi MM, Migliorati CA, Tenis CA, Marques MM (2012) Association of laser phototherapy with PRP improves healing of bisphosphonate-related osteonecrosis of the jaws in cancer patients: a preliminary study. Oral Oncol 48(1):79–84. doi:10.1016/j.oraloncology.2011.08.010

    PubMed  Article  Google Scholar 

  41. Lee JY, Kim IR, Park BS, Kim YD, Chung IK, Song JM, Shin SH (2015) Effect of low-level laser therapy on oral keratinocytes exposed to bisphosphonate. Lasers Med Sci 30(2):635–643. doi:10.1007/s10103-013-1382-6

    PubMed  Article  Google Scholar 

  42. Atalay B, Yalcin S, Emes Y, Aktas I, Aybar B, Issever H, Mandel NM, Cetin O, Oncu B (2011) Bisphosphonate-related osteonecrosis: laser-assisted surgical treatment or conventional surgery? Lasers Med Sci 26(6):815–823. doi:10.1007/s10103-011-0974-2

    PubMed  Article  Google Scholar 

  43. Vairaktaris E, Vassiliou S, Avgoustidis D, Stathopoulos P, Toyoshima T, Yapijakis C (2009) Bisphosphonate-induced avascular osteonecrosis of the mandible associated with a common thrombophilic mutation in the prothrombin gene. J Oral Maxillofac Surg 67(9):2009–2012. doi:10.1016/j.joms.2009.04.032

    PubMed  Article  Google Scholar 

  44. Gill AL, Bell CN (2004) Hyperbaric oxygen: its uses, mechanisms of action and outcomes. QJM 97(7):385–395

    PubMed  Article  Google Scholar 

  45. Knighton DR, Halliday B, Hunt TK (1984) Oxygen as an antibiotic. The effect of inspired oxygen on infection. Arch Surg 119(2):199–204

    PubMed  Article  Google Scholar 

  46. Knighton DR, Fiegel VD, Halverson T, Schneider S, Brown T, Wells CL (1990) Oxygen as an antibiotic. The effect of inspired oxygen on bacterial clearance. Arch Surg 125(1):97–100

    PubMed  Article  Google Scholar 

  47. UHMS (Undersea Hyperbaric Medical Society). Indications for hyperbaric oxygen therapy. Available at https://www.uhms.org/resources/hbo-indications.html Acessed 21 Apr 2015

  48. Asano T, Kaneko E, Shinozaki S, Imai Y, Shibayama M, Chiba T, Ai M, Kawakami A, Asaoka H, Nakayama T, Mano Y, Shimokado K (2007) Hyperbaric oxygen induces basic fibroblast growth factor and hepatocyte growth factor expression, and enhances blood perfusion and muscle regeneration in mouse ischemic hind limbs. Circ J 71:405–441

    PubMed  Article  Google Scholar 

  49. Feldmeier JJ, Hampson NB (2002) A systematic review of the literature reporting the application of hyperbaric oxygen prevention and treatment of delayed radiation injuries: an evidence based approach. Undersea Hyperb Med 29(1):4–30

    PubMed  Google Scholar 

  50. Feldmeier J, Carl U, Hartmann K, Sminia P (2003) Hyperbaric oxygen: does it promote growth or recurrence of malignancy? Undersea Hyperb Med 30(1):1–18

    PubMed  Google Scholar 

  51. Fok TC, Jan A, Peel SA, Evans AW, Clokie CM, Sándor GK (2008) Hyperbaric oxygen results in increased vascular endothelial growth factor (VEGF) protein expression in rabbit calvarial critical-sized defects. Oral Surg Oral Med Oral Pathol Oral Radiol Endod 105:417–422

    PubMed  Article  Google Scholar 

  52. Gordillo GM, Roy S, Khanna S, Schlanger R, Khandelwal S, Phillips G, Sen CK (2008) Topical oxygen therapy induces vascular endothelial growth factor expression and improves closure of clinically presented chronic wounds. Clin Exp Pharmacol Physiol 35(8):957–964

    PubMed  PubMed Central  Article  Google Scholar 

  53. Iwase I, Hasegawa Y, Ito T, Makihara N, Takahashi H, Iwata H (1996) Bone composition and metabolism after hyperbaric oxygenation in rats with 1-hydroxyethylidene-1, 1-bisphosphonate-induced rickets. Undersea Hyperb Med 23(1):5–9

    PubMed  Google Scholar 

  54. Kang TS, Gorti GK, Quan SY, Ho M, Koch J (2004) Effect of hyperbaric oxygen on the growth factor profile of fibroblasts. Arch Facial Plast Surg 6:31–35

    PubMed  Article  Google Scholar 

  55. Milovanova TN, Bhopale VM, Sorokina EM, Moore JS, Hunt TK, Hauer-Jensen M, Velazquez OC, Thom SR (2009) Hyperbaric oxygen stimulates vasculogenic stem cell growth and differentiation in vivo. J Appl Physiol 106:711–728

    PubMed  Article  Google Scholar 

  56. Sheikh AY, Gibson JJ, Rollins MD, Hopf HW, Hussain Z, Hunt TK (2000) Effect of hyperoxia on vascular endothelial growth factor levels in a wound model. Arch Surg 135:1293–1297

    PubMed  Article  Google Scholar 

  57. Thom SR (2008) Oxidative stress in fundamental to hyperbaric oxygen therapy. J Appl Physiol 106:988–995

    PubMed  PubMed Central  Article  Google Scholar 

  58. Zhang Q, Chang Q, Cox RA, Gong X, Gould LJ (2008) Hyperbaric oxygen attenuates apoptosis and decreases inflammation in an ischemic wound model. J Investig Dermatol 128:2102–2112

    PubMed  Article  Google Scholar 

  59. Shimura K, Shimazaki C, Taniguchi K, Akamatsu S, Okamoto M, Uchida R, Nomura K, Inaba T, Horiike S, Kanamura N, Taniwaki M (2006) Hyperbaric oxygen in addition to antibiotic therapy is effective for bisphosphonate-induced osteonecrosis of the jaw in a patient with multiple myeloma. Int J Hematol 84(4):343–345

    PubMed  Article  Google Scholar 

  60. Shirota T, Nakamura A, Matsui Y, Hatori M, Nakamura M, Shintani S (2009) Bisphosphonate-related osteonecrosis of the jaw around dental implants in the maxilla: report of a case. Clin Oral Implants Res 20(12):1402–1408. doi:10.1111/j.1600-0501.2009.01801.x

    PubMed  Article  Google Scholar 

  61. Antonini F, Pereira CC, Parente EV, Azambuja FG (2010) Management of osteonecrosis of the jaws in patients with history of bisphosphonates therapy. J Craniofac Surg 21(6):1962–1966. doi:10.1097/SCS.0b013e3181f4ee4e

    PubMed  Article  Google Scholar 

  62. Chiu CT, Chiang WF, Chuang CY, Chang SW (2010) Resolution of oral bisphosphonate and steroid-related osteonecrosis of the jaw: a serial case analysis. J Oral Maxillofac Surg 68(5):1055–1063. doi:10.1016/j.joms.2009.12.030

    PubMed  Article  Google Scholar 

  63. Dimopoulos MA, Kastritis E, Anagnostopoulos A, Melakopoulos I, Gika D, Moulopoulos LA, Bamia C, Terpos E, Tsionos K, Bamias A (2006) Osteonecrosis of the jaw in patients with multiple myeloma treated with bisphosphonates: evidence of increased risk after treatment with zoledronic acid. Haematologica 91(7):968–971

    PubMed  Google Scholar 

  64. Nastro E, Musolino C, Allegra A, Oteri G, Cicciù M, Alonci A, Quartarone E, Alati C, De Ponte FS (2007) Bisphosphonate-associated osteonecrosis of the jaw in patients with multiple myeloma and breast cancer. Acta Haematol 117(3):181–187

    PubMed  Article  Google Scholar 

  65. Sonis ST, Watkins BA, Lyng GD, Lerman MA, Anderson KC (2009) Bony changes in the jaws of rats treated with zoledronic acid and dexamethasone before dental extractions mimic bisphosphonate-related osteonecrosis in cancer patients. Oral Oncol 45(2):164–172. doi:10.1016/j.oraloncology.2008.04.013

    PubMed  Article  Google Scholar 

  66. Vasconcelos AC, Berti-Couto SA, Azambuja AA, Salum FG, Figueiredo MA, da Silva VD, Cherubini K (2012) Comparison of effects of clodronate and zoledronic acid on the repair of maxilla surgical wounds - histomorphometric, receptor activator of nuclear factor-kB ligand, osteoprotegerin, von Willebrand factor, and caspase-3 evaluation. J Oral Pathol Med 41:702–712

    PubMed  Article  Google Scholar 

  67. Gratton JP, Rae GA, Claing A (1995) Different pressor and bronchoconstrictor properties of human big-endothelin-1, 2 (1–38) and 3 in ketamine/xylazine-anaesthetized guinea-pigs. Br J Pharmacol 114(3):720–726

    PubMed  PubMed Central  Article  Google Scholar 

  68. Lionço JD (2006) Effect of hyperbaric oxygen therapy on jejune-esophageal anastomosis: experimental study in rats [Thesis]. Porto Alegre: Federal University of Rio Grande do Sul

  69. Ehler WJ, Marx RE, Peleg MJ (1995) Oxygen as a drug: a dose response curve for radiation necrosis. SPUMS J 25(2):86–87

    Google Scholar 

  70. Marx RE, Ehler WJ (1990) Relantionship of oxygen dose to angiogenesis induction in irradiated tissue. Am J Surg 160:519–524

    PubMed  Article  Google Scholar 

  71. Wreford-Brown CE, Hampson NB (2003) Hyperbaric oxygen treatment protocols for mandibular osteoradionecrosis. Undersea Hyperb Med 30(3):175–179

    PubMed  Google Scholar 

  72. Amenábar JM, Martins GB, Cherubini K, Figueiredo MA (2006) Comparison between semi-automated segmentation and manual point-counting methods for quantitative analysis of histological sections. J Oral Sci 48:139–143

    PubMed  Article  Google Scholar 

  73. Lee CY, David T, Nishime M (2007) Use of platelet-rich plasma in the management of oral biphosphonate-associated osteonecrosis of the jaw: a report of 2 cases. J Oral Implantol 33(6):371–382

    PubMed  Article  Google Scholar 

  74. Fedele S, Porter SR, D’Aiuto F, Aljohani S, Vescovi P, Manfredi M, Arduino PG, Broccoletti R, Musciotto A, Di Fede O, Lazarovici TS, Campisi G, Yarom N (2010) Nonexposed variant of bisphosphonate-associated osteonecrosis of the jaw: a case series. Am J Med 123(11):1060–1064

    PubMed  Article  Google Scholar 

  75. Fedele S, Bedogni G, Scoletta M, Favia G, Colella G, Agrillo A, Bettini G, Di Fede O, Oteri G, Fusco V, Gabriele M, Ottolenghi L, Valsecchi S, Porter S, Fung PP, Saia G, Campisi G, Bedogni A (2015) Up to a quarter of patients with osteonecrosis of the jaw associated with antiresorptive agents remain undiagnosed. Br J Oral Maxillofac Surg 53(1):13–17. doi:10.1016/j.bjoms.2014.09.001

    PubMed  Article  Google Scholar 

  76. Kobayashi Y, Hiraga T, Ueda A, Wang L, Matsumoto-Nakano M, Hata K, Yatani H, Yoneda T (2010) Zoledronic acid delays wound healing of the tooth extraction socket, inhibits oral epithelial cell migration, and promotes proliferation and adhesion to hydroxyapatite of oral bacteria, without causing osteonecrosis of the jaw, in mice. J Bone Miner Metab 28(2):165–175. doi:10.1007/s00774-009-0128-9

    PubMed  Article  Google Scholar 

  77. D’Agostino Dias M, Fontes B, Poggetti RS, Birolini D (2008) Hyperbaric oxygen therapy: types of injury and number of sessions—a review of 1506 cases. Undersea Hyperb Med 35(1):53–60

    PubMed  Google Scholar 

  78. Yamada J, Tsuno NH, Kitayama J, Tsuchiya T, Yoneyama S, Asakage M, Okaji Y, Shuno Y, Nishikawa T, Tanaka J, Takahashi K, Nagawa H (2009) Anti-angiogenic property of zoledronic acid by inhibition of endothelial progenitor cell differentiation. J Surg Res 151(1):115–120. doi:10.1016/j.jss.2008.01.031

    PubMed  Article  Google Scholar 

  79. Viereck V, Emons G, Lauck V, Frosch KH, Blaschke S, Gründker C, Hofbauer LC (2002) Bisphosphonates pamidronate and zoledronic acid stimulate osteoprotegerin production by primary human osteoblasts. Biochem Biophys Res Commun 291(3):680–686

    PubMed  Article  Google Scholar 

  80. Danesh-Sani SA, Shariati-Sarabi Z, Feiz MR (2012) Comprehensive review of hyperbaric oxygen therapy. J Craniofac Surg 23(5):e483–e491

    PubMed  Article  Google Scholar 

  81. Cerimele F, Brown LF, Bravo F, Ihler GM, Kouadio P, Arbiser JL (2003) Infectious angiogenesis: Bartonella bacilliformis infection results in endothelial production of angiopoetin-2 and epidermal production of vascular endothelial growth factor. Am J Pathol 163(4):1321–1327

    PubMed  PubMed Central  Article  Google Scholar 

  82. Jiang S, Zhang S, Langenfeld J, Lo SC, Rogers MB (2008) Mycoplasma infection transforms normal lung cells and induces bone morphogenetic protein 2 expression by post-transcriptional mechanisms. J Cell Biochem 104(2):580–594

    PubMed  Article  Google Scholar 

  83. Sakurai A, Okahashi N, Nakagawa I, Kawabata S, Amano A, Ooshima T, Hamada S (2003) Streptococcus pyogenes infection induces septic arthritis with increased production of the receptor activator of the NF-kappaB ligand. Infect Immun 71(10):6019–6026

    PubMed  PubMed Central  Article  Google Scholar 

  84. Liu Y, Cox SR, Morita T, Kourembanas S (1995) Hypoxia regulates vascular endothelial growth factor gene expression in endothelial cells. Identification of a 5′ enhancer. Circ Res 77(3):638–643

    PubMed  Article  Google Scholar 

  85. Boff RC, Salum FG, Figueiredo MA, Cherubini K (2014) Important aspects regarding the role of microorganisms in bisphosphonate-related osteonecrosis of the jaws. Arch Oral Biol 59(8):790–799. doi:10.1016/j.archoralbio.2014.05.002

    PubMed  Article  Google Scholar 

  86. Kalns JE, Dick EJ Jr, Scruggs JP, Kieswetter K, Wright JK (2003) Hyperbaric oxygen treatment prevents up-regulation of angiogenesis following partial-thickness skin grafts in the pig. Wound Repair Regen 11(2):139–144

    PubMed  Article  Google Scholar 

  87. Berti-Couto SA, Vasconcelos AC, Iglesias JE, Figueiredo MA, Salum FG, Cherubini K (2014) Diabetes mellitus and corticotherapy as risk factors for alendronate-related osteonecrosis of the jaws: a study in Wistar rats. Head Neck 36(1):84–93. doi:10.1002/hed.23260

    PubMed  Article  Google Scholar 

Download references

Acknowledgments

We thank Dr. Fernanda Bueno Morrone, Head of Laboratório de Farmacologia Aplicada, Faculdade de Farmácia da PUCRS for permitting the use of laboratory facilities. We are also grateful to Dr. Maria Martha Campos for the valuable help received during the experiment, and to Dr. A. Leyva (USA) for English editing of the manuscript.

Author information

Affiliations

Authors

Corresponding author

Correspondence to Karen Cherubini.

Ethics declarations

The present study was approved by both the Ethics Committee on Animal Use of Pontifical Catholic University of Rio Grande do Sul (CEUA 11/00232) and the Ethics Committee for Animal Use of the University of Caxias do Sul (CEUA-UCS 006/11). All applicable international, national, and institutional guidelines for the care and use of animals were followed.

Conflict of interest

The authors declare that they have no conflict of interest.

Funding

No funding sources to declare.

Informed consent

For this type of study, formal consent is not required.

Rights and permissions

Reprints and Permissions

About this article

Verify currency and authenticity via CrossMark

Cite this article

Silva, M.L., Tasso, L., Azambuja, A.A. et al. Effect of hyperbaric oxygen therapy on tooth extraction sites in rats subjected to bisphosphonate therapy—histomorphometric and immunohistochemical analysis. Clin Oral Invest 21, 199–210 (2017). https://doi.org/10.1007/s00784-016-1778-3

Download citation

  • Received:

  • Accepted:

  • Published:

  • Issue Date:

  • DOI: https://doi.org/10.1007/s00784-016-1778-3

Keywords

  • Osteonecrosis
  • Bisphosphonates
  • Hyperbaric oxygen therapy
  • Bone