Skip to main content

Analysis of fracture healing process by HR-pQCT in patients with distal radius fracture

Abstract

Introduction

High-resolution peripheral quantitative computed tomography (HR-pQCT) has enabled us to observe the changes in bone microarchitecture over time in vivo. In this study, the process of fracture healing was analyzed using HR-pQCT in patients with distal radius fracture who underwent osteosynthesis.

Materials and methods

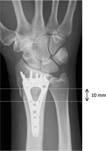
A total of 10 fracture sites identified from four patients with a distal radius fracture who underwent internal fixation with a volar locking plate (mean age 68.8 years, all women) were investigated. HR-pQCT was performed within a week (baseline) 4, 12, and 24 weeks after fracture. Rectangular region of interest (ROI) was established in the fracture site, inner callus, and external callus area, and the changes in bone mineral density (BMD) in each region were analyzed.

Results

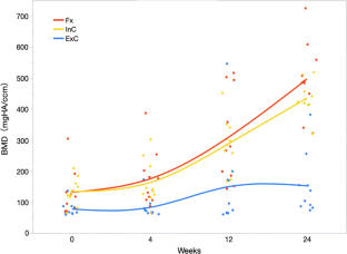
From baseline to 24 weeks post-fracture, the BMD changed from 105.5 (95% CI 98.6–113) to 428.0 (331–554) mgHA/ccm at the fracture site, from 111.0 (104–119) to 375.3 (290–486) mgHA/ccm at the inner callus area, and from 98.5 (91.6–106) to 171.6 (132–222) mgHA/ccm at the external callus area. The BMD increased at the fracture site and inner callus area, but increased only slightly at the external callus area. At 24 weeks post-fracture, the BMD at the fracture site and inner callus area was significantly higher than the external callus area.

Conclusion

In the healing process of postoperative distal radius fractures, increased BMD at the inner surface of the fracture site was confirmed in all fractures. Bone formation on the endosteal side may be a necessary condition for bone union of distal radius fractures.

This is a preview of subscription content, access via your institution.

Fig. 1
Fig. 2
Fig. 3 3D
Fig. 4
Fig. 5
Fig. 6 2D

References

  1. Marsell R, Einhorn TA (2011) The biology of fracture healing. Injury 42:551–555. https://doi.org/10.1016/j.injury.2011.03.031

    Article  PubMed  PubMed Central  Google Scholar 

  2. Ruedi T, Buckley R, Moran C (2010) AO Principles of Fracture Management Second expanded edition. pp 12–14

  3. Bonnarens F, Einhorn TA (1984) Production of a standard closed fracture in laboratory animal bone. J Orthop Res 2:97–101

    Article  CAS  Google Scholar 

  4. Einhorn TA (2005) The science of fracture healing. J Orthop Trauma 19:S4–6

    Article  Google Scholar 

  5. Lynch JA, Grigoryan M, Fierlinger A et al (2004) Measurement of changes in trabecular bone at fracture sites using X-ray CT and automated image registration and processing. J Orthop Res 22:362–367

    Article  Google Scholar 

  6. Burghardt AJ, Link TM, Majumdar S (2011) High-resolution computed tomography for clinical imaging of bone microarchitecture. Clin Orthop Relat Res 469:2179–2193. https://doi.org/10.1007/s11999-010-1766-x

    Article  PubMed  PubMed Central  Google Scholar 

  7. Nishiyama KK, Shane E (2013) Clinical imaging of bone microarchitecture with HR-pQCT. Curr Osteoporos Rep 11:147–155. https://doi.org/10.1007/s11914-013-0142-7

    Article  PubMed  PubMed Central  Google Scholar 

  8. Cheung AM, Adachi JD, Hanley DA et al (2013) High-resolution peripheral quantitative computed tomography for the assessment of bone strength and structure: a review by the Canadian Bone Strength Working Group. Curr Osteoporos Rep 11:136–146. https://doi.org/10.1007/s11914-013-0140-9

    Article  PubMed  PubMed Central  Google Scholar 

  9. Meyer U, de Jong JJ, Bours SG et al (2014) Early changes in bone density, microarchitecture, bone resorption, and inflammation predict the clinical outcome 12 weeks after conservatively treated distal radius fractures an exploratory study. J Bone Miner Res. https://doi.org/10.1002/jbmr.2225

    Article  PubMed  Google Scholar 

  10. de Jong JJA, Willems PC, Arts JJ et al (2014) Assessment of the healing process in distal radius fractures by high resolution peripheral quantitative computed tomography. Bone 64:65–74

    Article  Google Scholar 

  11. de Jong JJ, Heyer FL, Arts JJ et al (2016) Fracture repair in the distal radius postmenopausal women: a follow-up 2 years postfracture using HRpQCT. J Bone Miner Res 3:1114–1122. https://doi.org/10.1002/jbmr.2766

    Article  Google Scholar 

  12. Era M, Chiba K, Nishino Y et al (2019) The effects of volar locking plates for distal radius fractures on the image quality of high-resolution peripheral quantitative tomography. Bone 127:620–627

    Article  CAS  Google Scholar 

  13. AO Foundation, ORTHOPAEDIC TRAUMA ASSOCIATION (2018) Fracture and dislocation classification compendium. J Orthop Trauma 32:1–10

    Google Scholar 

  14. de Jong JJA, Lataster A, van Rietbergen B et al (2017) Distal radius plate of CFR-PEEK has minimal effect compared to titanium plates on bone parameters in high-resolution peripheral quantitative computed tomography: a pilot study. BMC Med Imaging. 17:18

    Article  Google Scholar 

  15. Claes L, Eckert-Hübner K, Augat P (2002) The effect of mechanical stability on local vascularization and tissue differentiation in callus healing. J Orthop Res 20:1099–1105

    Article  Google Scholar 

  16. Morgan EF, SalisburyPalomares KT, Gleason RE et al (2010 August 26) Correlations between Local Strains and Tissue Phenotypes in an Experimental Model of Skeletal Healing. J Biomech. 43:2418–2424. https://doi.org/10.1016/j.jbiomech.2010.04.019

    Article  PubMed  PubMed Central  Google Scholar 

  17. Einhorn TA, Gerstenfeld LC (2015) Fracture healing: mechanism and interventions. Nat Rev Rheumatol 11:45–54. https://doi.org/10.1038/nrrheum.2014.164

    Article  PubMed  Google Scholar 

  18. Bhandari M, Guyatt GH, Swiontkowski MF et al (2002) A lack of consensus in the assessment of fracture healing among orthopaedic surgeons. J Orthop Trauma 16:562–566

    Article  Google Scholar 

  19. Yoshinobu Watanabe Yu, Nishizawa NT et al (2009) Ability and limitation of radiographic assessment of fracture healing in rats. Clin Orthop Relat Res 467:1981–1985. https://doi.org/10.1007/s11999-009-0753-6

    Article  PubMed  PubMed Central  Google Scholar 

  20. Pialat JB, Burghardt AJ, Sode M, Link TM, Majumdar S (2012) Visual grading of motion induced image degradation in high resolution peripheral computed tomography: impact of image quality on measures of bone density and micro-architecture. Bone 50:111–118. https://doi.org/10.1016/j.bone.2011.10.003

    Article  PubMed  CAS  Google Scholar 

Download references

Acknowledgements

We would like to thank Shuntaro Sato, a specialist in biostatistics, for providing advice on the statistical analyses.

Author information

Affiliations

Authors

Corresponding author

Correspondence to Ko Chiba.

Ethics declarations

Conflict of interest

The authors declare that they have no conflicts of interest.

Additional information

Publisher's Note

Springer Nature remains neutral with regard to jurisdictional claims in published maps and institutional affiliations.

About this article

Verify currency and authenticity via CrossMark

Cite this article

Nishino, Y., Chiba, K., Era, M. et al. Analysis of fracture healing process by HR-pQCT in patients with distal radius fracture. J Bone Miner Metab 38, 710–717 (2020). https://doi.org/10.1007/s00774-020-01109-x

Download citation

  • Received:

  • Accepted:

  • Published:

  • Issue Date:

  • DOI: https://doi.org/10.1007/s00774-020-01109-x

Keywords

  • Fracture healing
  • High-resolution peripheral quantitative computed tomography (HR-pQCT)
  • Distal radius fracture