Abstract
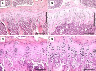
For devising clinical approaches to treating limb length discrepancies, strategies that will generate differential longitudinal growth need to be improved. This report addresses the following question: does knee loading increase bone length of the loaded hindlimb? Knee loading has been shown to induce anabolic responses on the periosteal and endosteal surfaces, but its effects on longitudinal bone growth have not yet been examined. In the present studies, loads were applied to the left hindlimb (5-min bouts at 0.5 N) of C57/BL/6 mice (21 mice, ~8 weeks old). Compared to the contralateral and age-matched control groups, knee loading increased the length of the femur by 2.3 and 3.5%, together with the tibia by 2.3 and 3.7% (all P < 0.001), respectively. In accordance with the length measurements, knee loading elevated BMD and BMC in both the femur and the tibia. Histological analysis of the proximal tibia revealed that the loaded growth plate elevated its height by 19.5% (P < 0.001) and the cross-sectional area by 30.7% (P < 0.05). Particularly in the hypertrophic zone, knee loading increased the number of chondrocytes (P < 0.01) as well as their cellular height (P < 0.001) along the length of the tibia. Taken together, this study demonstrates for the first time the potential effectiveness of knee loading in adjusting limb length discrepancy.







Similar content being viewed by others
Explore related subjects
Discover the latest articles and news from researchers in related subjects, suggested using machine learning.References
Gogi N, Khan SA, Varshney MK (2006) Limb length discrepancy following titanium elastic nailing in paediatric femoral shaft fractures. Acta Orthop Belg 72:154–158
Stricker SJ (2004) Evaluation of leg length discrepancy in children. Int Pediatr 19:134–142
Lewis VO (2005) Limb salvage in the skeletally immature patient. Curr Oncol Rep 7:285–292
Spiegel DA, Loder RT (2003) Leg-length discrepancy and bone age in unilateral idiopathic talipes equinovarus. J Pediatr Orthop 23:246–250
White SC, Gilchrist LA, Wilk BE (2004) Asymmetric limb loading with true or simulated leg-length differences. Clin Orthop Relat Res 421:287–292
Vitale MA, Choe JC, Sesko AM, Hyman JE, Lee FY, Roye DP, Vitale MG (2006) The effect of limb length discrepancy on health-related quality of life: is the ‘2 cm rule’ appropriate? J Pediatr Orthop B 15:1–5
Kocaoglu M, Eralp L, Rashid HU, Sen C, Bilsel K (2006) Reconstruction of segmental bone defects due to chronic osteomyelitis with use of an external fixator and an intramedullary nail. J Bone Joint Surg [Am] 88:2137–2145
Coppola C, Maffulli N (1999) Limb shortening for the management of leg length discrepancy. J R Coll Surg Edinb 44:46–54
Zhang P, Tanaka SM, Jiang H, Su M, Yokota H (2006) Diaphyseal bone formation in murine tibiae in response to knee loading. J Appl Physiol 100:1452–1459
Zhang P, Sun Q, Turner CH, Yokota H (2007) Knee loading accelerates bone healing in mice. J Bone Miner Res 22:1979–1987
Zhang P, Tanaka S, Sun Q, Turner CH, Yokota H (2007) Frequency-dependent enhancement of bone formation in murine tibiae and femora with knee loading. J Bone Miner Metab 25:383–391
Zhang P, Malacinski GM, Yokota H (2008) Joint loading modality: its application to bone formation and fracture healing. Br J Sport Med 42:556–560
Shin HD, Yang KJ, Park BR, Son CW, Jang HJ, Ku SK (2007) Antiosteoporotic effect of polycan, beta-glucan from Aureobasidium, in ovariectomized osteoporotic mice. Nutrition 23:853–860
Govoni KE, Wergedal JE, Chadwick RB, Srivastava AK, Mohan S (2008) Prepubertal OVX increases IGF-I expression and bone accretion in C57BL/6 J mice. Am J Physiol Endocrinol Metab 295:E1172–E1180
Soon G, Quintin A, Scalfo F, Antille N, Williamson G, Offord E, Ginty F (2006) PIXImus bone densitometer and associated technical measurement issues of skeletal growth in the young rat. Calcif Tissue Int 78:186–192
Zhang P, Yokota H (2008) Knee loading promotes longitudinal bone growth in both young and adult mice. Bone (NY) 43:S42
Eshet R, Maor G, Ben Ari T, Ben Eliezer M, Gat-Yablonski G, Phillip M (2004) The aromatase inhibitor letrozole increases epiphyseal growth plate height and tibial length in peripubertal male mice. J Endocrinol 182:165–172
Villemure I, Stokes IA (2009) Growth plate mechanics and mechanobiology. A survey of present understanding. J Biomech 42:1793–1803
Stokes IA, Mente PL, Iatridis JC, Farnum CE, Aronsson DD (2002) Enlargement of growth plate chondrocytes modulated by sustained mechanical loading. J Bone Joint Surg [Am] 84:1842–1848
Amil B, Fernández-Fuente M, Molinos I, Rodríguez J, Carbajo-Pérez E, Garcia E, Yamamoto T, Santos F (2004) Chondromodulin-I expression in the growth plate of young uremic rats. Kidney Int 66:51–59
Fernández-Fuente M, Santos F, Carbajo-Pérez E, Rodríguez J, Weruaga A, Amil B, Molinos I, Garcia E (2004) Growth plate height of uremic rats is influenced by severity and duration of renal failure. Pediatr Nephrol 19:187–192
Robling AG, Duijvelaar KM, Geevers JV, Ohashi N, Turner CH (2001) Modulation of appositional and longitudinal bone growth in the rat ulna by applied static and dynamic force. Bone (NY) 29:105–113
Ohashi N, Robling AG, Burr DB, Turner CH (2002) The effects of dynamic axial loading on the rat growth plate. J Bone Miner Res 17:284–292
Antoci V, Ono CM, Antoci V Jr, Raney EM (2006) Bone lengthening in children: how to predict the complications rate and complexity? J Pediatr Orthop 26:634–640
Watson JT (2006) Distraction osteogenesis. J Am Acad Surg 14:S168–S174
Turner CH (2006) Bone strength: current concepts. Ann N Y Acad Sci 1068:429–446
Saxon LK, Robling AG, Castillo AB, Mohan S, Turner CH (2007) The skeletal responsiveness to mechanical loading is enhanced in mice with a null mutation in estrogen receptor-beta. Am J Physiol Endocrinol Metab 293:E484–E491
Zhang P, Turner CH, Yokota H (2009) Joint loading-driven bone formation and signaling pathways predicted from genome-wide expression profiles. Bone (NY) 44:989–998
Zhang P, Hamamura K, Yokota H, Malacinski GM (2009) Potential applications of pulsating joint loading in sports medicine. Exerc Sport Sci Rev 37:52–56
Zhang P, Yokota H (2007) Effects of surgical holes in mouse tibiae on bone formation induced by knee loading. Bone (NY) 40:1320–1328
Hamamura K, Zhang P, Yokota H (2008) IGF2-driven PI3 kinase and TGFβ signaling pathways in chondrogenesis. Cell Biol Int 32:1238–1246
Stokes IA, Clark KC, Farnum CE, Aronsson DD (2007) Alterations in the growth plate associated with growth modulation by sustained compression or distraction. Bone (NY) 24:197–205
Stokes IA, Aronsson DD, Dimock AN, Cortright V, Beck S (2006) Endochondral growth in growth plates of three species at two anatomical locations modulated by mechanical compression and tension. J Orthop Res 24:1327–1334
Sample SJ, Behan M, Smith L, Oldenhoff WE, Markel MD, Kalscheur VL, Hao Z, Miletic V, Muir P (2008) Functional adaptation to loading of a single bone is neuronally regulated and involves multiple bones. J Bone Miner Res 23:1372–1381
Acknowledgments
The authors appreciate G.M. Malacinski’s critical reading of the manuscript. This study was supported by grants from the National Institute of Arthritis and Musculoskeletal and Skin Diseases Grant R03AR55322 (to P.Z.) and R01AR52144 (to H.Y.).
Conflict of interest statement
None.
Author information
Authors and Affiliations
Corresponding author
About this article
Cite this article
Zhang, P., Hamamura, K., Turner, C.H. et al. Lengthening of mouse hindlimbs with joint loading. J Bone Miner Metab 28, 268–275 (2010). https://doi.org/10.1007/s00774-009-0135-x
Received:
Accepted:
Published:
Issue Date:
DOI: https://doi.org/10.1007/s00774-009-0135-x


