Skip to main content

Stability of spermine oxidase to thermal and chemical denaturation: comparison with bovine serum amine oxidase

Abstract

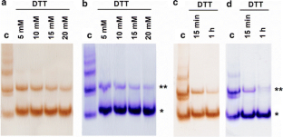
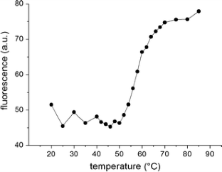
Spermine oxidase (SMOX) is a flavin-containing enzyme that specifically oxidizes spermine to produce spermidine, 3-aminopropanaldehyde and hydrogen peroxide. While no crystal structure is available for any mammalian SMOX, X-ray crystallography showed that the yeast Fms1 polyamine oxidase has a dimeric structure. Based on this scenario, we have investigated the quaternary structure of the SMOX protein by native gel electrophoresis, which revealed a composite gel band pattern, suggesting the formation of protein complexes. All high-order protein complexes are sensitive to reducing conditions, showing that disulfide bonds were responsible for protein complexes formation. The major gel band other than the SMOX monomer is the covalent SMOX homodimer, which was disassembled by increasing the reducing conditions, while being resistant to other denaturing conditions. Homodimeric and monomeric SMOXs are catalytically active, as revealed after gel staining for enzymatic activity. An engineered SMOX mutant deprived of all but two cysteine residues was prepared and characterized experimentally, resulting in a monomeric species. High-sensitivity differential scanning calorimetry of SMOX was compared with that of bovine serum amine oxidase, to analyse their thermal stability. Furthermore, enzymatic activity assays and fluorescence spectroscopy were used to gain insight into the unfolding process.

This is a preview of subscription content, access via your institution.

Fig. 1
Fig. 2
Fig. 3
Fig. 4
Fig. 5
Fig. 6

Abbreviations

APAO:

N 1-acetylpolyamine oxidase

BSAO:

Bovine serum amine oxidase

CD:

Circular dichroism

DSC:

Differential scanning calorimetry

DTT:

Dithiothreitol

FAD:

Flavin adenine dinucleotide

PAO:

Polyamine oxidase

SMOX:

Spermine oxidase

SPD:

Spermidine

SPM:

Spermine

References

  • Agostinelli E, Morpurgo L, Wang C, Giartosio A, Mondovì B (1994) Properties of cobalt-substituted bovine serum amine oxidase. Eur J Biochem 222:727–732

    CAS  Article  PubMed  Google Scholar 

  • Agostinelli E, Belli F, Molinari A, Condello M, Palmigiani P, Vedova LD, Marra M, Seiler N, Arancia G (2006) Toxicity of enzymatic oxidation products of spermine to human melanoma cells (M14): sensitization by heat and MDL 72527. Biochim Biophys Acta 1763(10):1040–1050

    CAS  Article  PubMed  Google Scholar 

  • Agostinelli E, Condello M, Molinari A, Tempera G, Viceconte N, Arancia G (2009) Cytotoxicity of spermine oxidation products to multidrug resistant melanoma M14 ADR2 cells: sensitization by the MDL 72527 lysosomotropic compound. Int J Oncol 35:485–498

    CAS  Article  PubMed  Google Scholar 

  • Ahou A, Martignago D, Alabdallah O, Tavazza R, Stano P, Macone A, Pivato M, Masi A, Rambla JL, Vera-Sirera F, Angelini R, Federico R, Tavladoraki P (2014) A plant spermine oxidase/dehydrogenase regulated by the proteasome and polyamines. J Exp Bot 65:1585–1603

    CAS  Article  PubMed  Google Scholar 

  • Amendola R, Cervelli M, Fratini E, Sallustio DE, Tempera G, Ueshima T, Mariottini P, Agostinelli E (2013) Reactive oxygen species spermine metabolites generated from amine oxidases and radiation represent a therapeutic gain in cancer treatments. Int J Oncol 43(3):813–820

    CAS  PubMed  Google Scholar 

  • Amendola R, Cervelli M, Tempera G, Fratini E, Varesio L, Mariottini P, Agostinelli E (2014) Spermine metabolism and radiation-derived reactive oxygen species for future therapeutic implications in cancer: an additive or adaptive response. Amino Acids 46:487–498

    CAS  Article  PubMed  Google Scholar 

  • Bianchi M, Polticelli F, Ascenzi P, Botta M, Federico R, Mariottini P, Cona A (2006) Inhibition of polyamine and spermine oxidases by polyamine analogues. FEBS J 273:1115–1123

    CAS  Article  PubMed  Google Scholar 

  • Binda C, Coda A, Angelini R, Federico R, Ascenzi P, Mattevi A (1999) A 30 Å long U-shaped catalytic tunnel in the crystal structure of polyamine oxidase. Structure 7:265–276

    CAS  Article  PubMed  Google Scholar 

  • Binda C, Mattevi A, Edmondson DE (2002) Structure-function relationships in flavoenzyme dependent amine oxidations. A comparison of polyamine oxidase and monoamine oxidase. J Biol Chem 277:23973–23976

    CAS  Article  PubMed  Google Scholar 

  • Calcabrini A, Arancia G, Marra M, Crateri P, Befani O, Martone A, Agostinelli E (2002) Enzymatic oxidation products of spermine induce greater cytotoxic effects on human multidrug-resistant colon carcinoma cells (LoVo) than on their wild-type counterparts. Int J Cancer 99(1):43–52

    CAS  Article  PubMed  Google Scholar 

  • Cervelli M, Polticelli F, Federico R, Mariottini P (2003) Heterologous expression and characterization of mouse spermine oxidase. J Biol Chem 278:5271–5276

    CAS  Article  PubMed  Google Scholar 

  • Cervelli M, Bellini A, Bianchi M, Marcocci L, Nocera S, Polticelli F, Federico R, Amendola R, Mariottini P (2004) Mouse spermine oxidase gene splice variants. Nuclear subcellular localization of a novel active isoform. Eur J Biochem 271:760–770

    CAS  Article  PubMed  Google Scholar 

  • Cervelli M, Bellavia G, Fratini E, Amendola R, Polticelli F, Barba M, Rodolfo F, Signore F, Gucciardo G, Grillo R, Woster PM, Casero R, Mariottini P (2010) Spermine oxidase (SMO) activity in breast tumor tissues and biochemical analysis of the anticancer spermine analogues BENSpm and CPENSpm. BMC Cancer 10:555–564

    CAS  Article  PubMed  PubMed Central  Google Scholar 

  • Cervelli M, Amendola R, Polticelli F, Mariottini P (2012) Spermine oxidase: ten years after. Amino Acids 42(2–3):441–450

    CAS  Article  PubMed  Google Scholar 

  • Cervelli M, Salvi D, Polticelli F, Amendola R, Mariottini P (2013a) Structure-function relationships in the evolutionary framework of spermine oxidase. J Mol Evol 76(6):365–370

    CAS  Article  PubMed  Google Scholar 

  • Cervelli M, Bellavia G, D’amelio M, Cavallucci V, Moreno S, Berger J, Nardacci R, Marcoli M, Maura G, Piacentini M, Amendola R, Cecconi F, Mariottini P (2013b) A new transgenic mouse model for studying the neurotoxicity of spermine oxidase dosage in the response to excitotoxic injury. PLOS One 8(6):e64810

    CAS  Article  PubMed  PubMed Central  Google Scholar 

  • Cervelli M, Angelucci E, Germani F, Amendola R, Mariottini P (2014a) Inflammation, carcinogenesis and neurodegeneration studies in transgenic animal models for polyamine research. Amino Acids 46:521–530

    CAS  Article  PubMed  Google Scholar 

  • Cervelli M, Pietropaoli S, Signore F, Amendola R, Mariottini P (2014b) Polyamines metabolism and breast cancer: state of the art and perspectives. Breast Cancer Res Treat 148:233–248

    CAS  Article  PubMed  Google Scholar 

  • Cervelli M, Angelucci E, Stano P, Leboffe L, Federico R, Antonini G, Mariottini P, Polticelli F (2014c) The Glu216/Ser218 pocket is a major determinant of spermine oxidase substrate specificity. Biochem J 461:453–459

    CAS  Article  PubMed  Google Scholar 

  • Cervetto C, Vergani L, Passalacqua M, Ragazzoni M, Venturini A, Cecconi F, Berretta N, Mercuri N, D’Amelio M, Maura G, Mariottini P, Voci A, Marcoli M, Cervelli M (2016) Astrocyte-dependent vulnerability to excitotoxicity in spermine oxidase-overexpressing mouse. Neuromolecular Med 18(1):50–68

    CAS  Article  PubMed  Google Scholar 

  • Huang Q, Liu Q, Hao Q (2005) Crystal structures of Fms1 and its complex with spermine reveal substrate specificity. J Mol Biol 348:951–959

    CAS  Article  PubMed  Google Scholar 

  • Janes SM, Mu D, Wemmer D, Smith AJ, Kaur S, Maltby D, Burlingame AL, Klinman JP (1990) A new redox cofactor in eukaryotic enzymes: 6-Hydroxydopa at the active site of bovine serum amine oxidase. Science 248:981–987

    CAS  Article  PubMed  Google Scholar 

  • Morpurgo L, Agostinelli E, Mondovì B, Avigliano L, Silvestri R, Stefancich G, Artico M (1992) Bovine serum amine oxidase: half-site reactivity with phenylhydrazine, semicarbazide, and aromatic hydrazides. Biochemistry 31:2615–2621

    CAS  Article  PubMed  Google Scholar 

  • Munro AW, Noble MA (1999) Fluorescence analysis of flavoproteins. In: Chapman SK, Reid GA (eds) Methods in molecular biology, vol. 131 (Flavoprotein Protocols). Humana Press Inc., Totowa, pp 25–48

  • Polticelli F, Salvi D, Mariottini P, Amendola R, Cervelli M (2012) Molecular evolution of the polyamine oxidase gene family in Metazoa. BMC Evol Biol 12:90

    CAS  Article  PubMed  PubMed Central  Google Scholar 

  • Privalov PL (1979) Stability of proteins: small globular proteins. Adv Protein Chem 33:167–242

    CAS  Article  PubMed  Google Scholar 

  • Privalov PL, Potekhin SA (1986) Scanning microcalorimetry in studying temperature-induced changes in proteins. Methods Enzymol 131:4–51

    CAS  Article  PubMed  Google Scholar 

  • Rea G, Bocedi A, Cervelli M (2004) What is the biological function of the polyamines? IUBMB Life 56(3):167–169

    Article  PubMed  Google Scholar 

  • Sturtevant JM (1987) Biochemical applications of differential scanning calorimetry. Annu Rev Phys Chem 38:463–488

    CAS  Article  Google Scholar 

  • Tavladoraki P, Cervelli M, Antonangeli F, Minervini G, Stano P, Federico R, Mariottini P, Polticelli F (2011) Probing mammalian spermine oxidase enzyme-substrate complex through molecular modeling, site-directed mutagenesis and biochemical characterization. Amino Acids 40(4):1115–1126

    CAS  Article  PubMed  Google Scholar 

  • Turini P, Sabatini S, Befani O, Chimenti F, Casanova C, Riccio P, Mondovì B (1982) Purification of bovine plasma amine oxidase. Anal Biochem 125:294–298

    CAS  Article  PubMed  Google Scholar 

  • Vinther TN, Norrman M, Strauss HM, Huus K, Schlein M, Pedersen TA, Kjeldsen T, Jensen KJ, Hubálek F (2011) Novel covalently linked insulin dimer engineered to investigate the function of insulin dimerization. PLoS One 7(2):e30882

    Article  Google Scholar 

Download references

Acknowledgments

The Authors M.C., A.L., P.S., R.F., F.P. and P.M. wish to thank Roma Tre University for financial support. E.A. thanks the Sapienza University of Rome and the Italian MIUR (Ministero dell’Istruzione, dell’Università e della Ricerca) for Grant support, as well as REGIONE LAZIO for the Grant FILAS-RU-2014-1020. Thanks are also due to Fondazione ‘Enrico ed Enrica Sovena’ for the scholarship given to Marla Xhani for supporting her Ph.D. (E.A.).

Author information

Affiliations

Authors

Corresponding author

Correspondence to Enzo Agostinelli.

Ethics declarations

Conflict of interest

The authors declare that they have no conflict of interest.

Additional information

Handling Editor: E. Agostinelli.

Rights and permissions

Reprints and Permissions

About this article

Verify currency and authenticity via CrossMark

Cite this article

Cervelli, M., Leonetti, A., Cervoni, L. et al. Stability of spermine oxidase to thermal and chemical denaturation: comparison with bovine serum amine oxidase. Amino Acids 48, 2283–2291 (2016). https://doi.org/10.1007/s00726-016-2273-5

Download citation

  • Received:

  • Accepted:

  • Published:

  • Issue Date:

  • DOI: https://doi.org/10.1007/s00726-016-2273-5

Keywords

  • Spermine oxidase
  • Bovine serum amine oxidase
  • Enzyme stability
  • Quaternary structure