Skip to main content

Vaspin attenuates the apoptosis of human osteoblasts through ERK signaling pathway

Abstract

It has been hypothesized that adipocytokines originating from adipose tissue may have an important role in bone metabolism. Vaspin is a novel adipocytokine isolated from visceral white adipose tissue, which has been reported to have anti-apoptotic effects in vascular endothelial cells. However, to the best of our knowledge there is no information regarding the effects of vaspin on osteoblast apoptosis. This study therefore examined the possible effects of vaspin on apoptosis in human osteoblasts (hOBs). Our study established that vaspin inhibits hOBs apoptosis induced by serum deprivation, as determined by ELISA and TUNEL assays. Western blot analysis revealed that vaspin upregulates the expression of Bcl-2 and downregulates that of Bax in a dose-dependent manner. Vaspin stimulated the phosphorylation of ERK, and pretreatment of hOBs with the ERK inhibitor PD98059 blocked the vaspin-induced activation of ERK, however, vaspin did not stimulate the phosphorylation of p38, JNK or Akt. Vaspin protects hOBs from serum deprivation-induced apoptosis, which may be mediated by activating the MAPK/ERK signaling pathway.

This is a preview of subscription content, access via your institution.

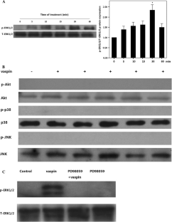
Fig. 1
Fig. 2
Fig. 3
Fig. 4
Fig. 5

References

  • Adams JM, Cory S (1998) The Bcl-2 protein family: arbiters of cell survival. Science 281:1322–1326

    PubMed  Article  CAS  Google Scholar 

  • Almeida M, Han L, Ambrogini E et al (2010) Oxidative stress stimulates apoptosis and activates NF-kappaB in osteoblastic cells via a PKCbeta/p66shc signaling cascade: counter regulation by estrogen of androgens. Mol Endocrinol 24(10):2030–2037

    PubMed  Article  CAS  Google Scholar 

  • Arbon KS, Christensen CM, Harvey WA et al (2012) Cadmium exposure activates the ERK signaling pathway leading to altered osteoblast gene expression and apoptotic death in Saos-2 cells. Food Chem Toxicol 50(2):198–205

    PubMed  Article  CAS  Google Scholar 

  • Biver E, Salliot C, Combescure C et al (2011) Influence of adipokines and ghrelin on bone mineral density and fracture risk: a systematic review and meta-analysis. J Clin Endocrinol Metab 96(9):2703–2713

    PubMed  Article  CAS  Google Scholar 

  • Bran GM, Stern-Straeter J, Hörmann K, Riedel F, Goessler UR (2008) Apoptosis in bone for tissue engineering. Arch Med Res 39(5):467–482

    PubMed  Article  CAS  Google Scholar 

  • Brunetti L, Di Nisio C, Recinella L et al (2011) Effects of vaspin, chemerin and omentin-1 on feeding behavior and hypothalamic peptide gene expression in the rat. Peptides 32(9):1866–1871

    PubMed  Article  CAS  Google Scholar 

  • Cao JJ (2011) Effects of obesity on bone metabolism. J Orthop Surg Res 15(6):30

    Article  Google Scholar 

  • Chen C, Chang YC, Liu CL et al (2007) Leptin induces proliferation and anti-apoptosis in human hepatocarcinoma cells by up-regulating cyclin D1 and down-regulating Bax via a Janus kinase 2-linked pathway. Endocr Relat Cancer 14(2):513–529

    PubMed  Article  CAS  Google Scholar 

  • Chen JR, Lazarenko OP, Wu X et al (2010) Obesity reduces bone density associated with activation of PPARγ and suppression of Wnt/β-Catenin in rapidly growing male rats. PLoS One 5(10):e13704

    PubMed  Article  Google Scholar 

  • Chen YC, Chen CH, Hsu YH et al (2011) Leptin reduces gentamicin-induced apoptosis in rat renal tubular cells via the PI3 K-Akt signaling pathway. Eur J Pharmacol 658(2–3):213–218

    PubMed  Article  CAS  Google Scholar 

  • Cui RR, Mao DA, Yi L et al (2010) Apelin suppresses apoptosis of human vascular smooth muscle cells via APJ/PI3-K/Akt signaling pathways. Amino Acids 39(5):1193–1200

    PubMed  Article  CAS  Google Scholar 

  • Formigue O, Mordrowski D, Marie PJ (2005) Apoptosis in membranous bone formation: role of fibroblast growth factor and bone morphogenetic protein signaling. Crit Rev Eukaryot Gene Expr 15(1):75–92

    Google Scholar 

  • Franchimont N, Wertz S, Malaise M (2005) Interleukin-6: an osteotropic factor influencing bone formation? Bone 37(5):601–606

    PubMed  Article  CAS  Google Scholar 

  • Fu BD, Yamawaki H, Okada M et al (2009) Vaspin can not inhibit TNF-alpha-induced inflammation of human umbilical vein endothelial cells. J Vet Med Sci 71(9):1201–1207

    PubMed  Article  CAS  Google Scholar 

  • Gulcelik NE, Karakaya J, Gedik A et al (2009) Serum vaspin levels in type 2 diabetic women in relation to microvascular complications. Eur J Endocrinol 160:65–70

    PubMed  Article  CAS  Google Scholar 

  • Hamed EA, Zakary MM, Ahmed NS et al (2011) Circulating leptin and insulin in obese patients with and without type 2 diabetes mellitus: relation to ghrelin and oxidative stress. Diabetes Res Clin Pract 94(3):434–441

    PubMed  Article  CAS  Google Scholar 

  • Hida K, Wada J, Eguchi J et al (2005) Visceral adipose tissue-derived serine protease inhibitor: a unique insulin-sensitizing adipocytokine in obesity. Proc Natl Acad Sci USA 102(30):10610–10615

    PubMed  Article  CAS  Google Scholar 

  • Holecki M, Wiecek A (2010) Relationship between body fat mass and bone metabolism. Pol Arch Med Wewn 120(9):361–367

    PubMed  CAS  Google Scholar 

  • Jung CH, Lee WJ, Hwang JY et al (2011) Vaspin protects vascular endothelial cells against free fatty acid-induced apoptosis through a phosphatidylinositol 3-kinase/Akt pathway. Biochem Biophys Res Commun 413:264–269

    PubMed  Article  CAS  Google Scholar 

  • Kim GS, Hong JS, Kim SW et al (2003) Leptin induces apoptosis via ERK/cPLA2/cytochrome pathway in human bone marrow stromal cells. J Biol Chem 278(24):21920–21929

    PubMed  Article  CAS  Google Scholar 

  • Klöting N, Kovacs P, Kern M et al (2011) Central vaspin administration acutely reduces food intake and has sustained blood glucose-lowering effects. Diabetologia 54(7):1819–1823

    PubMed  Article  Google Scholar 

  • Korsmeyer SJ (1995) Regulators of cell death. Trends Genet 11:101–105

    PubMed  Article  CAS  Google Scholar 

  • Kitamura T, Itoh M, Noda T et al (2004) Combined effects of cyclooxygenase-1 and cyclooxygenase-2 selective inhibitors on intenstinal tumorigenesis in adenomatous polyposis coli gene knockout mice. Int J Cancer 109(4):576–580

    Google Scholar 

  • Lee YH, Magkos F, Mantzoros CS et al (2011) Effects of leptin and adiponectin on pancreatic β-cell function. Metabolism 60(12):1664–1672

    PubMed  Article  CAS  Google Scholar 

  • Li Y, Zhang Y, Dorweiler B et al (2008) Extracellular Nampt promotes macrophage survival via a nonenzymatic interleukin-6/STAT3 signaling mechanism. J Biol Chem 283(50):34833–34843

    PubMed  Article  CAS  Google Scholar 

  • Lin P, Chen L, Li D et al (2009) Adiponectin reduces glucotoxicity-induced apoptosis of INS-1 rat insulin-secreting cells on a microfluidic chip. Tohoku J Exp Med 217(1):59–65

    PubMed  Article  CAS  Google Scholar 

  • Liu YS, Lu Y, Liu W et al (2010) Connective tissue growth factor is a downstream mediator for preptin-induced proliferation and differentiation in human osteoblasts. Amino Acids 38(3):763–769

    PubMed  Article  CAS  Google Scholar 

  • Mattioli B, Giordani L, Quarata MG et al (2009) Leptin exerts an anti-apoptotic effect on human dendritic cells via the PI3 K-Akt signaling pathway. FEBS Lett 583(7):1102–1106

    PubMed  Article  CAS  Google Scholar 

  • Mohiti J, Talebi F, Afkhami-Ardekani M (2009) Circulation free leptin in diabetic patients and its correlation to insulin level. Pak J Biol Sci 12(4):397–400

    PubMed  Article  CAS  Google Scholar 

  • Moriishi T, Maruyama Z, Fukuyama R et al (2011) Overexpression of Bcl-2 in osteoblasts inhibits osteoblast differentiation and induces osteocyte apoptosis. PLoS One 6(11):e27487

    PubMed  Article  CAS  Google Scholar 

  • Nakamura H, Kumei Y, Morita S et al (2003) Antagonism between apoptotic (Bax/Bcl-2) and anti-apoptotic (IAP) signals in human osteoblastic cells under vector-averaged gravity condition. Ann N Y Acad Sci 1010:143–147

    PubMed  Article  CAS  Google Scholar 

  • Nikolopoulos D, Theocharis S, Kouraklis G (2010) Ghrelin, another factor affecting bone metabolism. Med Sci Monit 16(7):RA147–RA162

    Google Scholar 

  • Phalitakul S, Okada M, Hara Y et al (2011) Vaspin prevents TNF-α-induced intracellular adhesion molecular-1 via inhibiting reactive oxygen species-dependent NF-κB and PKCθ activation in cultured rat vascular smooth muscle cells. Pharmacol Res 64(5):493–500

    PubMed  Article  CAS  Google Scholar 

  • Tamura M, Nemoto E, Sato MM et al (2010) Role of the Wnt signaling pathway in bone and tooth. Front Biosci(Elite Ed) 2:1405–1413

    Article  Google Scholar 

  • Tan BL, Heutling D, Chen J et al (2008) Metformin decreases the adipokine vaspin in overweight women with polycystic ovary syndrome concomitant with improvement in insulin sensitivity and a decrease in insulin resistance. Diabetes 57:1501–1507

    PubMed  Article  CAS  Google Scholar 

  • Tanaka T, Umesaki N (2008) Leptin regulates the proliferation and apoptosis of human endometrial epithelial cells. Int J Mol Med 22(5):683–689

    PubMed  CAS  Google Scholar 

  • Wada J (2008) Vaspin: a novel serpin with insulin-sensitizing effects. Expert Opin Investig Drugs 17(3):327–333

    PubMed  Article  CAS  Google Scholar 

  • Wang D, Chen J, Chen H et al (2012) Leptin regulates proliferation and apoptosis of colorectal carcinoma through PI3K/Akt/mTOR signaling pathway. J Biosci 37(1):91–101

    PubMed  Article  Google Scholar 

  • Xiao X, Dong Y, Zhong J et al (2011) Adiponectin protects endothelial cells from the damages induced by the intermittent high level of glucose. Endocrine 40(3):386–393

    PubMed  Article  CAS  Google Scholar 

  • Xie H, Tang SY, Cui RR et al (2006) Apelin and its receptor are expressed in human osteoblasts. Regul Pept 134(2–3):118–125

    PubMed  Article  CAS  Google Scholar 

  • Xie H, Yuan LQ, Luo XH et al (2007) Apelin suppresses apoptosis of human osteoblasts. Apoptosis 12(1):247–254

    PubMed  Article  CAS  Google Scholar 

  • Yuan LQ, Liu YS, Luo XH et al (2007) Recombinant tissue metalloproteinase inhibitor-3 protein induces apoptosis of murine osteoblast MC3T3-E1. Amino Acids 35:123–127

    PubMed  Article  Google Scholar 

  • Yuan LQ, Liu W, Cui RR et al (2010) Taurine inhibits osteoclastogenesis through the taurine transporter. Amino Acids 39(1):89–99

    PubMed  Article  CAS  Google Scholar 

  • Zaidi M, Buettner C, Sun L et al (2012) Minireview: the link between fat and bone: does mass beget mass? Endocrinology 153(5):2070–2075

    PubMed  Article  CAS  Google Scholar 

  • Zeng X, Yu SP, Taylor T et al (2012) Protective effect of apelin on cultured rat bone marrow mesenchymal stem cells against apoptosis. Stem Cell Res 8(3):357–367

    PubMed  Article  CAS  Google Scholar 

  • Zhang LY, Zhou YY, Chen F et al (2011) Taurine inhibits serum deprivation-induced osteoblast apoptosis via the taurine transporter/ERK signaling pathway. Braz J Med Biol Res 44(7):618–623

    PubMed  CAS  Google Scholar 

Download references

Acknowledgments

This work was supported by funding from The National Natural Science Foundation of China (No. 81270962, 30801203, 30871191 and 81070246), science and technology grant of Development and Reform Commission of Hunan Province (2011–1318), education, science and technology grant of Department of finance of Hunan Province (2011–43).

Conflict of interest

The authors declare no conflict of interest.

Author information

Affiliations

Authors

Corresponding authors

Correspondence to Ling-Qing Yuan or Er-Yuan Liao.

Additional information

X. Zhu and Y. Jiang contributed equally to this work.

Rights and permissions

Reprints and Permissions

About this article

Cite this article

Zhu, X., Jiang, Y., Shan, PF. et al. Vaspin attenuates the apoptosis of human osteoblasts through ERK signaling pathway. Amino Acids 44, 961–968 (2013). https://doi.org/10.1007/s00726-012-1425-5

Download citation

  • Received:

  • Accepted:

  • Published:

  • Issue Date:

  • DOI: https://doi.org/10.1007/s00726-012-1425-5

Keywords

  • Vaspin
  • Osteoblast
  • Apoptosis
  • Extracellular signal-regulated kinase