Skip to main content

The expression and activity of cystathionine-γ-lyase and 3-mercaptopyruvate sulfurtransferase in human neoplastic cell lines

Abstract

The expression and activity of cystathionine γ-lyase (CST) and 3-mercaptopyruvate sulfurtransferase (MPST) were investigated in the human neoplastic cells lines: astrocytoma U373, neuroblastoma SH-SY5Y, melanoma A375, and melanoma WM35. Gene expression analysis demonstrated that the investigated neoplastic cells showed the expression of MPST and what is particularly interesting, the expression of CST. The presence of CST in these cells was confirmed using RT-PCR and western blot analysis. However, in U373 cells, a very low activity of CST was detected. In all the investigated cell lines, the activity of MPST was higher than that of CST, which suggests that in these cells, the main pathway of sulfane sulfur formation is the MPST-catalyzed reaction. RP-HPLC analysis showed a large disparity between the level of cystathionine and GSH in the investigated neoplastic cells. In SH-SY5Y cells, the low level of GSH and low GSH/GSSG ratio corresponded with the highest CST activity. Further investigations could aim at verifying whether the stimulation of CST, at the level of protein or gene expression, could change the proliferation of neoplastic cells.

This is a preview of subscription content, access via your institution.

Scheme 1
Fig. 1
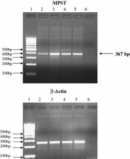
Fig. 2
Fig. 3

References

  • Baskin SI, Porter DW, Rockwood GA, Romano JA, Patel HC, Kiser RC, ChM Cook, Ternay AL (1999) In vitro and in vivo comparison of sulfur donors as antidotes to acute cyanide intoxication. J Appl Toxicol 19:173–183

    PubMed  Article  CAS  Google Scholar 

  • Berger SJ, Gosky D, Zborowska E, Willson JK, Berger NA (1994) Sensitive enzymatic cycling assay for glutathione: measurements of glutathione content and its modulation by buthionine sulfoximine in vivo and in vitro in human colon cancer. Cancer Res 54:4077–4083

    PubMed  CAS  Google Scholar 

  • Bidoli E, Bosetti C, La Vecchia C, Levi F, Parpinel M, Talami R, Negri E, Maso LD, Franceschi S (2003) Micronutrients and laryngeal cancer risk in Italy and Switzerland: a case-control study. Cancer Causes Control 14:477–484

    PubMed  Article  Google Scholar 

  • Bonomi F, Pagani S, Kurtz DM (1985) Enzymic synthesis of the 4Fe-4S clusters of Clostridium pasteurianum ferredoxin. Eur J Biochem 148:67–73

    PubMed  Article  CAS  Google Scholar 

  • Carrel S, de Tribolet N, Mach J-P (1982) Expression of neuroectodermal antigens common to melanomas, gliomas, and neuroblastomas. Acta Neuropathol 57:158–164

    PubMed  Article  CAS  Google Scholar 

  • Carretero J, Obrador E, Anasagasti MJ, Martin JJ, Vidal-Vanaclocha F, Estrela JM (1999) Growth-associated changes in glutathione content correlate with liver metastatic activity of B16 melanoma cells. Clin Exp Metastasis 17:567–574

    PubMed  Article  CAS  Google Scholar 

  • Chen X, Jhee KH, Kruger WD (2004) Production of the neuromodulator H2S by cystathionine beta-synthase via the condensation of cysteine and homocysteine. J Biol Chem 279:52082–52086

    PubMed  Article  CAS  Google Scholar 

  • Chi DDJ, Merchant RE, Rand R, Conrad AJ, Garrison D, Turner R, Morton DL, Hoon DSB (1997) Molecular detection of tumor-associated antigens shared by human cutaneous melanomas and gliomas. Am J Pathol 150:2143–2152

    PubMed  CAS  Google Scholar 

  • Coakham HB, Kornblith PL, Quindlen EA, Pollock LA, Word WC, Hartnett LC (1980) Antologous humoral response to human gliomas and analysis of certain cell surface antigens: In vitro study with the use of microcytotoxicity and immune adherence assay. J Natl Cancer Inst 64:223–233

    PubMed  CAS  Google Scholar 

  • Czubak J, Wróbel M, Jurkowska H (2002) Cystathionine γ-lyase (EC 4.4.1.1): enzymatic assay of α-ketobutyrate using lactate dehydrogenase. Acta Biologica Cracoviensia Series Zoologia 44:113–117

    Google Scholar 

  • DiSorbo DM, Wagner R Jr, Nathanson L (1985) In vitro and in vivo inhibition of B16 melanoma growth by vitamin B6. Nutr Cancer 7:43–52

    PubMed  Article  CAS  Google Scholar 

  • Dominick PK, Cassidy PB, Roberts JC (2001) A new and versatile method for determination of thiolamines of biological importance. J Chromatogr B 761:1–12

    Article  CAS  Google Scholar 

  • Estrela JM, Ortega A, Obrador E (2006) Glutathione in cancer biology and therapy. Crit Rev Clin Lab Sci 43:1–39

    Article  Google Scholar 

  • Gaynor R, Irie R, Morton D, Herschman HR (1980) S100 protein is present in cultured human malignant melanomas. Nature 286:400–401

    PubMed  Article  CAS  Google Scholar 

  • Glode LM, Epstein A, Smith CG (1981a) Reduced γ- cystathionase protein content in human malignant leukemia cell line as measured by immunoassay with monoclonal antibody. Cancer Res 41:2249–2254

    PubMed  CAS  Google Scholar 

  • Glode LM, Krigler MP, Livingston DM (1981b) Cysteine-auxotrophy of human leukemic lymphoblasts is associated with decreased amounts of intracellular cystathionase protein. Biochemistry 20:1306–1311

    PubMed  Article  CAS  Google Scholar 

  • Gridley DS, Stickney DR, Shultz TD (1989) Evaluation of cancer patient leukocyte responses in the presence of physiologic and pharmacologic pyridoxine and pyridoxal levels. J Clin Lab Anal 3:95–100

    PubMed  Article  CAS  Google Scholar 

  • Hirono I (1961) Mechanism of natural and acquired resistanceto methyl-bis-(beta-chlorethyl)-amine N- oxide in ascites tumors. Gann 52:39–48

    PubMed  CAS  Google Scholar 

  • Honda T, Coppola S, Ghibelli L, Cho SH, Kagawa S, Spurgers KB, Brisbay SM, Roth JA, Meyn RE, Fang B, McDonnell TJ (2004) GSH depletion enhances adenoviral bax-induced apoptosis in lung cancer cells. Cancer Gene Ther 11:249–255

    PubMed  Article  CAS  Google Scholar 

  • Ishigami M, Hiraki K, Umemura K, Ogasawara Y, Ishii K, Kimura H (2009) A source of hydrogen sulfide and a mechanism of its release in the brain. Antioxid Redox Signal 11:205–214

    PubMed  Article  CAS  Google Scholar 

  • Jakobisiak M, Lasek W, Golab J (2003) Natural mechanisms protecting against cancer. Immunol Lett 90:103–122

    PubMed  Article  CAS  Google Scholar 

  • Jamshidzadeh A, Aminlari M, Rasekh H-R (2001) Rhodanese and arginase activity in normal and cancerous tissues of human breast, esophagus, stomach and lung. Arch Irn Med 4:88–92

    Google Scholar 

  • Jurkowska H, Wróbel M (2008) N-acetyl-l-cysteine as a source of sulfane sulfur in astrocytoma and astrocyte cultures: correlations with cell proliferation. Amino Acids 34:231–237

    PubMed  Article  CAS  Google Scholar 

  • Kamat AM, Lamm DL (2002) Chemoprevention of bladder cancer. Urol Clin North Am 29:157–168

    PubMed  Article  Google Scholar 

  • Kato K, Kato Y, Ijiri R, Misugi K, Nanba I, Nagai J-I, Nagahara N, Kigasawa H, Toyoda Y, Nishi T, Tanaka Y (2001) Ewing’s sarcoma family of tumor arising in the adrenal gland - Possible diagnostic pitfall in pediatric pathology: histologic, immunohistochemical, ultrastructural, and molecular study. Hum Pathol 32:1012–1016

    PubMed  Article  CAS  Google Scholar 

  • Kimura Y, Goto Y-I, Kimura H (2010) Hydrogen sulfide increases glutathione production and suppresses oxidative stress in mitochondria. Antioxid Redox Signal 12:1–13

    PubMed  Article  CAS  Google Scholar 

  • Koj A, Michalik M, Kasperczyk H (1977) Mitochondrial and cytosolic activities of three sulphurtransferases in some rat tissues and Morris hepatomas. Bull Acad Pol Sci 25:1–6

    CAS  Google Scholar 

  • Krigler M, Pawlowski A, Livingston DM (1981) Cysteine auxotrophy of human leukemia lymphoblasts is associated with decreased amounts of intracellular cystathionase messenger RNA. Biochemistry 20:1312–1318

    Article  Google Scholar 

  • Kusukawa J, Suefuji Y, Ryu F, Noguchi R, Iwamoto O, Kameyama T (2000) Dissemination of cancer cells into circulation occurs by incisional biopsy of oral squamous cell carcinoma. J Oral Pathol Med 29:303–307

    PubMed  Article  CAS  Google Scholar 

  • Laemmli UK (1970) Cleavage of structural proteins during the assembly of the head of Bacteriophage T4. Nature 227:680–685

    PubMed  Article  CAS  Google Scholar 

  • Levonen AL, Lapatto R, Saksela M, Raivio KO (2000) Human cystathionine γ-lyase: developmental and in vitro expression of two isoforms. Biochem J 347:291–295

    PubMed  Article  CAS  Google Scholar 

  • Lowry OH, Rosenbrough NJ, Farr AL, Randal RI (1951) Protein measurement with the Folin phenol reagent. J Biol Chem 193:265–275

    PubMed  CAS  Google Scholar 

  • Lu SC (2009) Regulation of glutathione synthesis. Mol Aspects Med 30:42–59

    PubMed  Article  CAS  Google Scholar 

  • Matsuo Y, Greenberg DM (1958) A crystalline enzyme that cleaves homoserine and cystathionine. J Biol Chem 230:545–560

    PubMed  CAS  Google Scholar 

  • Molina A, Oka T, Munoz SM, Chikamori-Aoyama M, Kuwahata M, Natori Y (1997) Vitamin B6 suppress growth and expression of albumin gene in a human hepatoma cell line HepG2. Nutr Cancer 28:206–211

    PubMed  Article  CAS  Google Scholar 

  • Mosharov E, Cranford MR, Banerjee R (2000) The quantitatively important relationship between homocysteine metabolism and glutathione synthesis by the transsulfuration pathway and its regulation by redox changes. Biochemistry 39:13005–13011

    PubMed  Article  CAS  Google Scholar 

  • Moussa NM, Laham A, EI-Ezaby MS, Al-Salem NA, Abu-Zeid ME, Mahmoud GS, Kabarity A, Mazrooei S (1982) Preliminary studies on the inhibitory effect of novel Pd(II) complexes of vitamin B6 on cell divisions. J Inory Biochem 17:185–203

    Article  CAS  Google Scholar 

  • Mueller EG, Palenchar PM, ChJ Buck (2001) The role of the cysteine residues of ThiI in the generation of 4-thiouridine in tRNA. J Biol Chem 276:33588–33595

    PubMed  Article  CAS  Google Scholar 

  • Ogasawara Y, Ishii K, Togawa T, Tanabe S (1993) Determination of bound sulfur in serum by gas dialysis/high-performance liquid chromatography. Anal Biochem 215:73–81

    PubMed  Article  CAS  Google Scholar 

  • Ogasawara Y, Isoda S, Tanabe S (1994) Tissue and subcellular distribution of bound and acid–labile sulfur, and the enzymic capacity for sulfide production in the rat. Biol Pharm Bull 17:1535–1542

    PubMed  CAS  Google Scholar 

  • Ogasawara Y, Isoda S, Tanabe S (1999) Antioxidant effects of albuminbound sulfur in lipid peroxidation of rat liver microsomes. Biol Pharm Bull 22:441–445

    PubMed  CAS  Google Scholar 

  • Pallardó FV, Jelena Markovic J, García JL, Viña J (2009) Role of nuclear glutathione as a key regulator of cell proliferation. Mol Aspects Med 30:77–85

    PubMed  Article  Google Scholar 

  • Pendyala L, Velagapudi S, Toth K, Zdanowicz J, Glaves D, Slocum H, Perez R, Huben R, Creaven PJ, Raghavan D (1997) Translational studies of glutathione in bladder cancer cell lines and human specimens. Clin Cancer Res 3:793–798

    PubMed  CAS  Google Scholar 

  • Perry RR, Mazetta JA, Levin M, Barranco SC (1993) Glutathione levels and variability in breast tumors and normal tissue. Cancer 72:783–787

    PubMed  Article  CAS  Google Scholar 

  • Persa C, Pierce A, Ma Z, Kabil O, Lou MF (2004) The presence of a transsulfuration pathway in the lens: a new oxidative stress defense system. Exp Eye Res 79:875–886

    PubMed  Article  CAS  Google Scholar 

  • Pfreundschuh M, Shiku H, Takahashi T, Ueda R, Ransohoff J, Oettgen HF, Old LJ (1978) Serological analysis of cell surface antigens of malignant human brain tumors. Proc Natl Acad Sci USA 75:5122–5126

    PubMed  Article  CAS  Google Scholar 

  • Pinto JT, Krasnikov BF, Cooper AJL (2006) Redox-sensitive proteins are potential targets of garlic-derived mercaptocysteine derivatives. J Nutr 136:835S–841S

    PubMed  CAS  Google Scholar 

  • Ponten J, Macintyre EH (1968) Long term culture of normal and neoplastic human glia. Acta Pathol Microbiol Scand 74:465–486

    PubMed  Article  CAS  Google Scholar 

  • Porter DW, Nealley EW, Baskin SI (1996) In vivo detoxification of cyanide by cystathionase γ-lyase. Biochem Pharmacol 52:941–944

    PubMed  Article  CAS  Google Scholar 

  • Ren SG, Melmed S (2006) Pyridoxal phosphate inhibits pituitary cell proliferation and hormone secretion. Endocrinology 147:3936–3942

    PubMed  Article  CAS  Google Scholar 

  • Rosado JO, Salvador M, Bonatto D (2007) Importance of the trans-sulfuration pathway in cancer prevention and promotion. Mol Cell Biochem 301:1–12

    PubMed  Article  CAS  Google Scholar 

  • Rosenthal O (1955) Rhodanese activity of resting, regenerating, and neoplastic liver tissue of the rat. J Natl Cancer Inst 15:1611–1614

    PubMed  CAS  Google Scholar 

  • Sadani GR, Nadkarni GD (1996) Role of tissue antioxidant defence in thyroid cancers. Cancer Lett 109:231–235

    PubMed  Article  CAS  Google Scholar 

  • Schnelldorfer T, Gansauge S, Gansauge F, Schlosser S, Beger HG, Nussler AK (2000) Glutathione depletion causes cell growth inhibition and enhanced apoptosis in pancreatic cancer cells. Cancer 89:1440–1447

    PubMed  Article  CAS  Google Scholar 

  • Selhub WCJ, Hunter DJ, Giovannucci EL, Ho MD, Coditz GA, Hankinson SE (2003) Plasma folate, vitamin B6, vitamin B12, homocysteine, a risk of breast cancer. J Natl Cancer Inst 95:373–380

    PubMed  Article  Google Scholar 

  • Shibuya N, Tanaka M, Yoshida M, Ogasawara Y, Tegawa T, Ishii K, Kimura H (2009) 3-Mercaptopyruvate sulfurtransferase produces hydrogen sulfide and bound sulfane sulfur in the brain. Antioxid Redox Signal 11:703–714

    PubMed  Article  CAS  Google Scholar 

  • Shultz TD, Santamaria AG, Gridley DS, Stickney DR, Slater JM (1988) Effect of pyridoxine and pyridoxal on the in vitro growth of huamn malignant melanoma. Anticancer Res 8:1313–1318

    PubMed  CAS  Google Scholar 

  • Stipanuk MH, Beck PW (1982) Characterization of the enzymic capacity for cysteine desulphhydration in liver and kidney of the rat. Biochem J 206:267–277

    PubMed  CAS  Google Scholar 

  • Toohey (1989) Sulphane sulphur in biological systems: a possible regulatory role. Biochem J 264:625–632

  • Toohey JI (2001) Possible involvement of sulfane sulfur in homocysteine-induced atherosclerosis. Med Hypotheses 56:259–261

    PubMed  Article  CAS  Google Scholar 

  • Tse Sum Bui B, Escalettes F, Chottard G, Florentin D, Marquet A (2000) Enzyme-mediated sulfide production for the reconstitution of [2Fe-2S] clusters into apo-biotin synthase of Escherichia coli. Sulfide transfer from cysteine to biotin. Eur J Biochem 267:2688–2694

    Article  Google Scholar 

  • Ubuka T, Umemura S, Yuasa S, Kinuta M, Watanabe K (1978) Purification and characterization of mitochondrial cysteine aminotransferase from rat liver. Physiol Chem Phys 10:483–500

    PubMed  CAS  Google Scholar 

  • Ubuka T, Okada A, Nakamura H (2008) Production of hypotaurine from l-cysteinesulfinate by rat liver mitochondria. Amino Acids 35:53–58

    PubMed  Article  CAS  Google Scholar 

  • Valentine WN, Frankenfeld JK (1974) 3-Mercaptopyruvate sulfurtransferase (E.C.2.8.1.2): A simple assaey adapted to human blood cells. Clin Chim Acta 51:205–210

    PubMed  Article  CAS  Google Scholar 

  • Wei EK, Giovannucci E, Selhub J, Fuchs CS, Hankinson SE, Ma J (2005) Plasma vitamin B6 and the risk of colorectal cancer and adenoma in women. J Natl Cancer Inst 97:684–692

    PubMed  Article  CAS  Google Scholar 

  • Westley J (1980) Rhodanese and the sulfane pool. In: Jacoby WB (ed) Enzymatic basis of detoxification. Academic Press, New York, pp 246–262

    Google Scholar 

  • Westley J, Adler H, Westley L, Nishida C (1983) The sulfurtransferases. Fundament Appl Toxicol 3:377–382

    Article  CAS  Google Scholar 

  • Włodek L, Wróbel M, Czubak J (1993) Transamination and transsulphuration of l-cysteine in Ehrlich ascites tumor cells and mouse liver. The non-enzymatic reaction of l-cysteine with pyruvate. Int J Biochem 25:107–112

    PubMed  Article  Google Scholar 

  • Wróbel M, Włodek L (1997) Effects of thiazolidine-4(R)-carboxylates and other low-molecular-weight sulphur compounds on the activity of mercaptopyruvate sulphurtransferase, rhodanese and cystathionase in Ehrlich ascites tumor cells and tumor-bearing mouse liver. Amino Acids 12:309–314

    Article  Google Scholar 

  • Wróbel M, Jurkowska H, Śliwa L, Srebro Z (2004) Sulfurtransferases and cyanide detoxification in mouse liver, kidney and brain. Toxicol Mech Method 14:331–337

    Article  Google Scholar 

  • Wróbel M, Lewandowska I, Bronowicka-Adamska P, Paszewski A (2009) The level of sulfane sulfur in the fungus Aspergillus nidulans wild type and mutant strains. Amino Acids 37:565–571

    PubMed  Article  Google Scholar 

  • Yang G, Cao K, Wu L, Wang R (2004) Cystathionine γ-lyase overexpression inhibits cell proliferation via a H2S-dependent modulation of ERK1/2 phosphorylation and p21Cip/WAK−1. J Biol Chem 279:49199–49205

    PubMed  Article  CAS  Google Scholar 

Download references

Acknowledgments

This work was supported by a grant from the National Committee for Scientific Research (KBN) No K/ZBW/000147 and K/ZDS/000450.

Author information

Affiliations

Authors

Corresponding author

Correspondence to Maria Wróbel.

Rights and permissions

Reprints and Permissions

About this article

Cite this article

Jurkowska, H., Placha, W., Nagahara, N. et al. The expression and activity of cystathionine-γ-lyase and 3-mercaptopyruvate sulfurtransferase in human neoplastic cell lines. Amino Acids 41, 151–158 (2011). https://doi.org/10.1007/s00726-010-0606-3

Download citation

  • Received:

  • Accepted:

  • Published:

  • Issue Date:

  • DOI: https://doi.org/10.1007/s00726-010-0606-3

Keywords

  • Cystathionine-γ-lyase
  • 3-Mercaptopyruvate sulfurtransferase
  • Sulfane sulfur
  • Glutathione
  • Astrocytoma U373
  • Neuroblastoma SH-SY5Y
  • Melanoma A375
  • Melanoma WM35