Skip to main content

Pollen development in male sterile mangosteen (Garcinia mangostana L.) and male fertile seashore mangosteen (Garcinia celebica L.)

Abstract

Mangosteen (Garcinia mangostana L.) is an economically important tropical fruit, yet the reproductive biology of this dioecious plant is complex. Male trees are not known, and female trees have sterile anthers leading to apomixis. We hypothesized that pollen abortion in mangosteen is due to altered tapetum activity during microgametogenesis. Developmental events at the cellular and sub-cellular levels during pollen development in G. mangostana were therefore examined and compared with seashore mangosteen (G. celebica L.), a closely related species with fertile anthers. In G. mangostana, the microspore mother cell had disorganized cytoplasm, including lack of Golgi apparatus and its vesicles, as well as abnormal callose wall accumulation. Globular droplets, which resembled orbicules or Ubisch bodies, were abundant in the locule, including pre-Ubisch bodies found along the tapetal plasma membrane. The tapetum of G. mangostana underwent cell death earlier than the fertile G. celebica, and during the premature death, the mitochondria had dramatically altered shapes. Low accumulation of starch in collapsed microspore mother cells and tetrad cell remnants also suggested that altered cell metabolism is related to pollen abortion in mangosteen. The present results demonstrate the importance of coordinated development between the tapetum and microspores in pollen development and provide new insights into male sterility in mangosteen (G. mangostana).

This is a preview of subscription content, access via your institution.

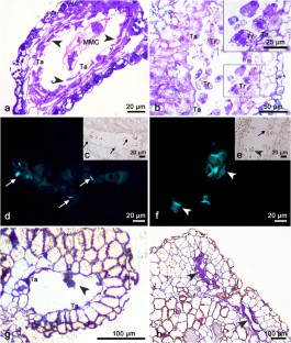
Fig. 1
Fig. 2
Fig. 3
Fig. 4
Fig. 5
Fig. 6
Fig. 7
Fig. 8
Fig. 9

Abbreviations

CMS:

Cytoplasmic male sterility

ER:

Endoplasmic reticulum

LM:

Light microscope

MMC:

Microspore mother cell

NFDM:

Nonfat dried milk

PBS:

Phosphate buffer

PCD:

Programmed cell death

RER:

Rough endoplasmic reticulum

TBA:

Tert-butyl-ethyl alcohol series

TBST:

Tris-buffered saline with 0.1%Tween-20

TEM:

Transmission electron microscope

References

  • Abdullah NAP, Richards AJ, Wolff K (2012) Molecular evidence in identifying parents of Garcinia mangostana L. Pertanika J Trop Agric Sci 35(2):257–270

    Google Scholar 

  • Amela Garcia MT, Galati BG, Anton AM (2002) Microsporogenesis, microgametogenesis and pollen morphology of Passiflora spp. (Passifloraceae). Bot J Linn Soc 139:383–394

    Article  Google Scholar 

  • Asker SE, Jerling L (1992) Apomixis in plants. CRC Press, Boca Raton

    Google Scholar 

  • Balk J, Leaver CJ (2001) The PET1-CMS mitochondrial mutation in sunflower is associated with premature programmed cell death and cytochrome c release. Plant Cell 13:1803–1818

    CAS  PubMed  PubMed Central  Article  Google Scholar 

  • Carneiro VTC, Dusi DMA, Ortiz JPA (2006) Apomixis: occurrence, applications and improvements. Floriculture Ornamental Biotech 1:564–571

    Google Scholar 

  • Carrizo Garcia C, Nepi M, Pactini E (2016) It is a matter of timing: asynchrony during pollen development and its consequences on pollen performance in angiosperms-a review. Protoplasma 254(1):57–73

    PubMed  Article  PubMed Central  Google Scholar 

  • Coimbra S, Torra˜o L, Abreu I (2004) Programmed cell death induces male sterility in Actinidia delicosa female flowers. Plant Physiol Biochem 42:537–541

    CAS  PubMed  Article  PubMed Central  Google Scholar 

  • Ding D, Gai J, Yang J (1999) Comparative restriction patterns and RFLP analyses of mitochondria DNA between cytoplasmic-nuclear male sterile line NJCMS1A and its maintainer NJCMS1B of the soybean. Proceedings of World Soybean Research Conference VI, Superior Printing, Champaign, Illinois,USA. 435pp

  • Dupree P, Sherrier DJ (1998) The plant Golgi apparatus. Biochim Biophys Acta 1404:259–270

    CAS  PubMed  Article  PubMed Central  Google Scholar 

  • Fairchild D (1915) The mangosteen. J Hered 6(8):338–347

    Article  Google Scholar 

  • Gabarayeva NI (1995) Pollen wall and tapetum development in Anaxagorea brevipes (Annonaceae): sporoderm substructure, cytoskeleton, sporopollenin precursor particles, and the endexineproblem. Rev Palaeobot Palynol 85(3–4):123–152

    Article  Google Scholar 

  • Gabarayeva NI, Grigorjeva VV, Rowley JR (2003) Sporoderm ontogeny in Cabomba aquatica (Cabombaceae). Rev Palaeobot Palynol 127(3–4):147–173

    Article  Google Scholar 

  • Gabarayeva N, Grigorjeva V, Kosenko Y (2013) I. Primexine development in Passiflora racemosa Brot.: overlooked aspects of development. Plant Syst Evol 299:1013–1035

    CAS  Article  Google Scholar 

  • Garcia-Herdugo G, Gonzalez-Reyes JA, Garcia-Navarro F, Navas P (1988) Growth kinetics of the Golgi apparatus during the cell cycle in onion root meristems. Planta 175:305–312

    CAS  PubMed  Article  PubMed Central  Google Scholar 

  • Gonzalez-Melendi P, Uyttewaal M, Morcillo CN, Mora JRH, Fajardo S, Budar F, Lucas MM (2008) A light and electron microscopy analysis of the events leading to male sterility in Ogu-INRA CMS of rapeseed (Brassica napus). J Exp Bot 59(4):827–838

    CAS  PubMed  Article  PubMed Central  Google Scholar 

  • Hu J, Huang W, Huang Q, Qin X, Yu C, Wang L, Li S, Zhu R, Zhu Y (2014) Mitochondria and cytoplasmic male sterility in plants. Mitochondrion 19:282–288

    CAS  PubMed  Article  PubMed Central  Google Scholar 

  • Idris S, Rukayah A (1987) Description of the male mangosteen (Garcinia mangostana L.) discovered in peninsular Malaysia. Mardi Res Bull 15(1):63–66

    Google Scholar 

  • Izhar S, Frankel R (1971) Mechanism of male sterility in petunia: the relationship between pH, callase activity in the anthers, and the breakdown of the microsporogenesis. Theor Appl Genet 41:104–108

    CAS  PubMed  Article  PubMed Central  Google Scholar 

  • Ku S, Yoon H, Suh HS, Chung YY (2003) Male-sterility of thermosensitive genic male-sterile rice is associated with premature programmed cell death of the tapetum. Planta 217:559–565

    CAS  PubMed  Article  PubMed Central  Google Scholar 

  • Lim TK (2012) Edible medicinal and non-medicinal plants. Springer, Dordrecht

    Book  Google Scholar 

  • Mamun EA, Alfred S, Cantrill LC, Overall RL, Sutton BG (2006) Effects of chilling on male gametophyte development in rice. Cell Biol Int 30:583–591

    CAS  PubMed  Article  PubMed Central  Google Scholar 

  • Nazre M (2010) Historical review and notes on the correct scientific name for seashore mangosteen. Genet Resour Crop Evol 57:249–1259

    Article  Google Scholar 

  • Nazre M (2014) New evidence on the origin of mangosteen (Garcinia mangostana L.) based on morphology and ITS sequence. Genet Resour Crop Evol 61(6):1147–1158

    Article  Google Scholar 

  • Niu N, Liang W, Yang X, Jin W, Wilson ZA, Hu J, Zhang D (2013) EAT1 promotes tapetal cell death by regulating aspartic proteases during male reproductive development in rice. Nature 4(1145):1–11

    CAS  Google Scholar 

  • Nuanjunkong N, Meesawat U(2011) Anatomical changes during pollen development of apomictic mangosteen (Garcinia mangostana L.). Proceedings of the 7th IMT-GT UNINET and The 3rd International PSU-UNS Conferences on Bioscience, Songkhla, Thailand. 322pp

  • Owen HA, Makaroff CA (1995) Ultrastructure of microsporogenesis and microgametogenesis in Arabidopsis thaliana (L.) Heynh. ecotype Wassilewskija (Brassicaceae). Protoplasma 185:7–21

    Article  Google Scholar 

  • Pacini B, Juniper BE (1979) The ultrastructure of pollen-grain development in the olive (Olea europea). 2. Secretion by tapetum cell. New Phytol 83:165–174

    Article  Google Scholar 

  • Pacini E, Franchi GG, Hesse M (1985) The tapetum: its form, function, and possible phylogeny in Embryophyta. Plant Syst Evol 149:155–185

    Article  Google Scholar 

  • Pacini E, Guarnieri M, Nepi M (2006) Pollen carbohydrates and water content during development, presentation, and dispersal: a short review. Protoplasma 228:73–77

    CAS  PubMed  Article  PubMed Central  Google Scholar 

  • Papini A, Mosti S, Brighigna L (1999) Programmed-cell-death events during tapetum development of angiosperms. Protoplasma 207:213–221

  • Parish RW, Li SF (2010) Death of a tapetum: a programme of developmental altruism. Plant Sci 178:73–89

    CAS  Article  Google Scholar 

  • Polowick PL, Sawhney VK (1993) Differentiation of the tapetum during microsporogenesis in tomato (Lycopersicon esculentum Mill.), with special reference to the tapetal cell wall. Ann Bot 72:595–605

    Article  Google Scholar 

  • Raghava V (1988) Anther and pollen development in rice (Oryza sativa). Am J Bot 75(2):183–196

  • Richards AJ (1990) Studies in Garcinia, dioecious tropical forest trees: the origin of the mangosteen (G. mangostana L.). Bot J Linn Soc 103:301–308

    Article  Google Scholar 

  • Rosenfeldt S, Galati BG (2012) Embryological studies of Oxalis debilis Kunth. Plant Syst Evol 298:1567–1573

    Article  Google Scholar 

  • Ruzin S (1999) Plant microtechnique and microscopy. Oxford University Press Inc, New York

    Google Scholar 

  • Samuels AL, Thomas H, Giddings JR, Staehelin LA (1995) Cytokinesis in tobacco BY-2 and root tip cells: a new model of cell plate formation in higher plants. J Cell Biol 130(6):1345–1135

    CAS  PubMed  Article  PubMed Central  Google Scholar 

  • Scott RJ, Spielman M, Dickinson HG (2004) Stamen structure and function. Plant Cell 16:S46–S60

    CAS  PubMed  PubMed Central  Article  Google Scholar 

  • Sharma A, Singh MB, Bhalla PL (2015) Ultrastructure of microsporogenesis and microgametogenesis in Brachypodium distachyon. Protoplasma 252:1575–1586

    CAS  PubMed  Article  PubMed Central  Google Scholar 

  • Shi S, Ding D, Mei S, Wang J (2010) A comparative light and electron microscopic analysis of microspore and tapetum development in fertile and cytoplasmic male sterile radish. Protoplasma 241:37–49

    PubMed  Article  PubMed Central  Google Scholar 

  • Shi J, Cui M, Yang L, Kim YJ, Zhang D (2015) Genetic and biochemical mechanisms of pollen wall development. Trends Plant Sci 22(11):741–753

    Article  CAS  Google Scholar 

  • Shivanna KR, Sawhney VK (1997) Pollen biotechnology for crop production and improvement. Cambridge University Press, New York

    Book  Google Scholar 

  • Shivanna KR (2003) Pollen biology and biotechnology. Science publishers, New Hampshire

    Google Scholar 

  • Silve’rio A, Mariath JEA (2014) Comparative structure of the pollen in species of Passiflora: insights from the pollen wall and cytoplasm contents. Aust J Bot 89(3):417–426

    Google Scholar 

  • Smith MB, Palmer RG, Horner HT (2002) Microscopy of a cytoplasmic male-sterile soybean from an interspecific cross between Glycine max and G. soja (Leguminosae). Am J Bot 89(3):417–426

  • Sobir RP, Santosa E, Sinaga S, Mansyah E (2011) Genetic variability in apomictic mangosteen (Garcinia mangostana) and its close relatives (Garcinia spp.) based on ISSR markers. Biodiversitas 12:59–63

    Article  Google Scholar 

  • Solı’s MT, Chakrabarti N, Corredor E, Eslava JC, Serrano MR, Biggiogera M, Risuenǐõ MC, Testillano PS (2014) Epigenetic changes accompany developmental programmed cell death in tapetum cells. Plant Cell Physiol 55(1):16–29

    Article  CAS  Google Scholar 

  • Sporne RK (1973) A note on the evolutionary status of tapetal types in dicotyledons. New Phytol 72:1173–1174

    Article  Google Scholar 

  • Strittmatter IL, Negrón-Ortiz V, Hickey RJ (2006) Comparative microsporangium development in male-fertile and male-sterile flowers of Consolea (Cactaceae): when and how does pollen abortion occur. Grana 45:81–100

    Article  Google Scholar 

  • Sutthinon P, Meesawat U, Purintavaragul C (2013) Developmental anatomy of sporogenesis and embryogenesis in mangosteen (Garcinia mangostana L.). Thai J Bot 5(2):119–129

    Google Scholar 

  • Sutthinon P, Samuels L, Meesawat U (2018) Male functionality in Garcinia celebica L.: a candidate ancestor species of Mangosteen (G. mangostana L.). Botany 96:685–693

    CAS  Article  Google Scholar 

  • Tsai MY, Chena SH, Kao WY (2015) Microsporangium development in two species of Oxalis (Oxalidaceae) with different male fertility. Flora 213:85–92

    Article  Google Scholar 

  • TütüncüKonyar S (2017) Ultrastructural aspects of pollen ontogeny in an endangered plant species, Pancratium maritimum L. (Amaryllidaceae). Protoplasma 254:881–900

    Article  CAS  Google Scholar 

  • Varnier AL, Mazeyrat-Gourbeyre F, Sangwan RS, Clement C (2005) Programmed cell death progressively models the development of anther sporophytic tissues from the tapetum and is triggered in pollen grains during maturation. J Struct Biol 152:118–128

    CAS  PubMed  Article  PubMed Central  Google Scholar 

  • Vizcay-Barrena G, Wilson ZA (2006) Altered tapetal PCD and pollen wall development in the Arabidopsis ms1 mutant. J Exp Bot 57(11):2709–2717

    CAS  PubMed  Article  PubMed Central  Google Scholar 

  • Warmke HE, Lee SLJ (1977) Mitochondrial degeneration in Texas cytoplasmic male-sterile corn anthers. J Hered 68:213–222

    Article  Google Scholar 

  • Winiarczyk K, Jaroszuk-S’ciseł J, Kupisz K (2012) Characterization of callase (b-1,3-D-glucanase) activity during microsporogenesis in the sterile anthers of Allium sativum L. and the fertile anthers of A. atropurpureum. Sex Plant Reprod 25:123–131

    CAS  PubMed  PubMed Central  Article  Google Scholar 

  • Yapwattanaphun C, Subhadrabandhu S (2004) Phylogenetic relationship of mangosteen (Garcinia mangostana) and several wild relatives (Garcinia spp.) revealed by ITS sequence data. J Am Soc Hortic Sci 129(3):368–373

    CAS  Article  Google Scholar 

  • Yapwattanaphun C, Tachibana K, Yonemori K (2008) Pollen abortion in the flower of mangosteen. Acta Hortic 787:245–250

    Article  Google Scholar 

  • Yi J, Moon S, Lee YS, Zhu L, Liang W, Zhang D, Jung KH, An G (2016) Defective tapetum cell death 1 (DTC1) regulates ROS levels by binding to metallothionein during tapetum degeneration. Plant Physiol 107:1611–1623

    Article  CAS  Google Scholar 

  • Zhang D, Luo X, Lu Z (2011) Cytological analysis and genetic control of rice anther development. J Genet Genomics 38:379–390

    CAS  PubMed  Article  PubMed Central  Google Scholar 

Download references

Acknowledgments

The kind assistance from Sam Livingston and Miranda Meents (UBC Botany) are really appreciated.

Funding

This research was funded by the Science Achievement Scholarship of Thailand (SAST), Graduated School of Prince of Songkla University (PSU); the Overseas Thesis Research Scholarship from Graduated School (PSU), Thailand; and the Canadian Natural Sciences and Engineering Research Council Discovery Grant to ALS.

Author information

Affiliations

Authors

Corresponding author

Correspondence to Upatham Meesawat.

Ethics declarations

Conflict of interest

The authors declare that they have no conflict of interest.

Additional information

Publisher’s note

Springer Nature remains neutral with regard to jurisdictional claims in published maps and institutional affiliations.

Handling Editor: Alexander Schulz

Rights and permissions

Reprints and Permissions

About this article

Verify currency and authenticity via CrossMark

Cite this article

Sutthinon, P., Samuels, L. & Meesawat, U. Pollen development in male sterile mangosteen (Garcinia mangostana L.) and male fertile seashore mangosteen (Garcinia celebica L.). Protoplasma 256, 1545–1556 (2019). https://doi.org/10.1007/s00709-019-01397-9

Download citation

  • Received:

  • Accepted:

  • Published:

  • Issue Date:

  • DOI: https://doi.org/10.1007/s00709-019-01397-9

Keywords

  • G. celebica
  • G. mangostana
  • Mangosteen
  • Male sterility
  • Pollen abortion
  • Tapetum