Skip to main content

Differential expression of the Toll-like receptor pathway and related genes of chicken bursa after experimental infection with infectious bursa disease virus

Abstract

Infectious bursa disease virus causes an acute infection in bursal B cells. The Toll-like receptor (TLR) signaling pathway plays a key role in innate immunity during virus infection. In this study, an Agilent microarray was used to investigate different transcriptional profiles of the TLR pathway and related genes of chicken bursa at 48 h after infection with IBDV, compared with simulated infection. Expression of >58 genes changed significantly. Forty-six genes associated with chicken bursa proinflammatory effects, chemotactic effects, and T-cell stimulation were upregulated, which meant enhancement of these features. Twelve genes that are related to proliferation and differentiation of bursal cells were downregulated, implying suppression of these features. These results revealed that genes of the TLR pathway play an important role in the pathogenicity of IBDV infection. The findings are helpful for understanding the molecular basis of viral pathogenesis and the underlying mechanism of the host antiviral response.

This is a preview of subscription content, access via your institution.

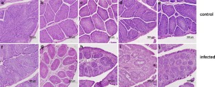
Fig. 1
Fig. 2

References

  1. Abell AN, Johnson GL (2005) MEKK4 is an effector of the embryonic TRAF4 for JNK activation. J Biol Chem 280:35793–35796

    PubMed  Article  CAS  Google Scholar 

  2. Allan WH, Faragher JT, Cullen GA (1972) Immunosuppression by the infectious bursal agent in chickens immunised against Newcastle disease. Vet Rec 90:511–512

    PubMed  Article  CAS  Google Scholar 

  3. Arvaniti E, Ntoufa S, Papakonstantinou N, Touloumenidou T, Laoutaris N, Anagnostopoulos A, Lamnissou K, Caligaris-Cappio F, Stamatopoulos K, Ghia P, Muzio M, Belessi C (2011) Toll-like receptor signaling pathway in chronic lymphocytic leukemia: distinct gene expression profiles of potential pathogenetic significance in specific subsets of patients. Haematologica 96:1644–1652

    Google Scholar 

  4. Asagiri M, Hirai T, Kunigami T, Kamano S, Gober HJ, Okamoto K, Nishikawa K, Latz E, Golenbock DT, Aoki K, Ohya K, Imai Y, Morishita Y, Miyazono K, Kato S, Saftig P, Takayanagi H (2008) Cathepsin K-dependent toll-like receptor 9 signaling revealed in experimental arthritis. Science 319:624–627

    PubMed  Article  CAS  Google Scholar 

  5. Basiewicz-Worsztynowicz BM, Karnas-Kalemba WZ (2004) Chemokine RANTES activity and its potential role as a target for diagnosis and therapy. Wiad Lek 57:653–658

    PubMed  Google Scholar 

  6. Bhattacharyya S, Zhao Y, Kay TW, Muglia LJ (2011) Glucocorticoids target suppressor of cytokine signaling 1 (SOCS1) and type 1 interferons to regulate Toll-like receptor-induced STAT1 activation. Proc Natl Acad Sci USA 108:9554–9559

    PubMed  Article  CAS  Google Scholar 

  7. Bonvin C, Guillon A, van Bemmelen MX, Gerwins P, Johnson GL, Widmann C (2002) Role of the amino-terminal domains of MEKKs in the activation of NF kappa B and MAPK pathways and in the regulation of cell proliferation and apoptosis. Cell Signal 14:123–131

    PubMed  Article  CAS  Google Scholar 

  8. Bosinger SE, Hosiawa KA, Cameron MJ, Persad D, Ran L, Xu L, Boulassel MR, Parenteau M, Fournier J, Rud EW, Kelvin DJ (2004) Gene expression profiling of host response in models of acute HIV infection. J Immunol 173:6858–6863

    PubMed  CAS  Google Scholar 

  9. Bradley JR, Pober JS (2001) Tumor necrosis factor receptor-associated factors (TRAFs). Oncogene 20:6482–6491

    PubMed  Article  CAS  Google Scholar 

  10. Brownlie R, Allan B (2010) Avian toll-like receptors. Cell Tissue Res 343:121–130

    PubMed  Article  Google Scholar 

  11. Cao Z, Xiong J, Takeuchi M, Kurama T, Goeddel DV (1996) TRAF6 is a signal transducer for interleukin-1. Nature 383:443–446

    PubMed  Article  CAS  Google Scholar 

  12. Cho YJ, Lee YA, Lee JW, Kim JI, Han JS (2011) Kinetics of proinflammatory cytokines after intraperitoneal injection of tribromoethanol and a tribromoethanol/xylazine combination in ICR mice. Lab Anim Res 27:197–203

    PubMed  Article  Google Scholar 

  13. Cormican P, Lloyd AT, Downing T, Connell SJ, Bradley D, O’Farrelly C (2009) The avian Toll-Like receptor pathway–subtle differences amidst general conformity. Dev Comp Immunol 33:967–973

    PubMed  Article  CAS  Google Scholar 

  14. de Zoete MR, Bouwman LI, Keestra AM, van Putten JP (2011) Cleavage and activation of a Toll-like receptor by microbial proteases. Proc Natl Acad Sci USA 108:4968–4973

    PubMed  Article  Google Scholar 

  15. Dhamija S, Doerrie A, Winzen R, Dittrich-Breiholz O, Taghipour A, Kuehne N, Kracht M, Holtmann H (2010) IL-1-induced post-transcriptional mechanisms target overlapping translational silencing and destabilizing elements in IkappaBzeta mRNA. J Biol Chem 285:29165–29178

    PubMed  Article  CAS  Google Scholar 

  16. Dinarello CA (2011) Interleukin-1 in the pathogenesis and treatment of inflammatory diseases. Blood 117:3720–3732

    PubMed  Article  CAS  Google Scholar 

  17. Doyle S, Vaidya S, O’Connell R, Dadgostar H, Dempsey P, Wu T, Rao G, Sun R, Haberland M, Modlin R, Cheng G (2002) IRF3 mediates a TLR3/TLR4-specific antiviral gene program. Immunity 17:251–263

    PubMed  Article  CAS  Google Scholar 

  18. Ekerot M, Stavridis MP, Delavaine L, Mitchell MP, Staples C, Owens DM, Keenan ID, Dickinson RJ, Storey KG, Keyse SM (2008) Negative-feedback regulation of FGF signalling by DUSP6/MKP-3 is driven by ERK1/2 and mediated by Ets factor binding to a conserved site within the DUSP6/MKP-3 gene promoter. Biochem J 412:287–298

    PubMed  Article  CAS  Google Scholar 

  19. Eldaghayes I, Rothwell L, Williams A, Withers D, Balu S, Davison F, Kaiser P (2006) Infectious bursal disease virus: strains that differ in virulence differentially modulate the innate immune response to infection in the chicken bursa. Viral Immunol 19:83–91

    PubMed  Article  CAS  Google Scholar 

  20. Fernandez-Fernandez L, Bellido-Martin L, Garcia de Frutos P (2008) Growth arrest-specific gene 6 (GAS6). An outline of its role in haemostasis and inflammation. Thromb Haemost 100:604–610

    PubMed  CAS  Google Scholar 

  21. Gelb J, Eidson CS, Fletcher OJ, Kleven SH (1979) Studies on interferon induction by infectious bursal disease virus (IBDV). II. Interferon production in White Leghorn chickens infected with an attenuated or pathogenic isolant of IBDV. Avian Dis 23:634–645

    PubMed  Article  CAS  Google Scholar 

  22. Giambrone JJ, Ewert DL, Eidson CS (1977) Effect of infectious bursal disease virus on the immunological responsiveness of the chicken. Poult Sci 56:1591–1594

    PubMed  Article  CAS  Google Scholar 

  23. Gong L, Wang YZ, Cai JP, Tan ZH, Yu JS (2009) The dynamic change of TLR7 in spleen of chicken infected with attenuated IBD vaccine. Heilong Jiang Animal Sci Veterinary Med 3:72–73

    Google Scholar 

  24. Harada H, Takahashi E, Itoh S, Harada K, Hori TA, Taniguchi T (1994) Structure and regulation of the human interferon regulatory factor 1 (IRF-1) and IRF-2 genes: implications for a gene network in the interferon system. Mol Cell Biol 14:1500–1509

    PubMed  CAS  Google Scholar 

  25. Heidari M, Sarson AJ, Huebner M, Sharif S, Kireev D, Zhou H (2010) Marek’s disease virus-induced immunosuppression: array analysis of chicken immune response gene expression profiling. Viral Immunol 23:309–319

    PubMed  Article  CAS  Google Scholar 

  26. Ivanyi J, Morris R (1976) Immunodeficiency in the chicken. IV: an immunological study of infectious bursal disease. Clin Exp Immunol 23:154–165

    PubMed  CAS  Google Scholar 

  27. Karpala AJ, Lowenthal JW, Bean AG (2008) Activation of the TLR3 pathway regulates IFNβ production in chickens. Dev Comp Immunol 32:435–444

    PubMed  Article  CAS  Google Scholar 

  28. Kaufer I, Weiss E (1980) Significance of bursa of Fabricius as target organ in infectious bursal disease of chickens. Infect Immun 27:364–367

    PubMed  CAS  Google Scholar 

  29. Kawabe T, Matsushima M, Hashimoto N, Imaizumi K, Hasegawa Y (2011) CD40/CD40 ligand interactions in immune responses and pulmonary immunity. Nagoya J Med Sci 73:69–78

    PubMed  CAS  Google Scholar 

  30. Kawai T, Akira S (2011) Toll-like receptors and their crosstalk with other innate receptors in infection and immunity. Immunity 34:637–650

    PubMed  Article  CAS  Google Scholar 

  31. Kelly PA, Ali S, Rozakis M, Goujon L, Nagano M, Pellegrini I, Gould D, Djiane J, Edery M, Finidori J et al (1993) The growth hormone/prolactin receptor family. Recent Prog Horm Res 48:123–164

    PubMed  CAS  Google Scholar 

  32. Khatri M, Palmquist JM, Cha RM, Sharma JM (2005) Infection and activation of bursal macrophages by virulent infectious bursal disease virus. Virus Res 113:44–50

    PubMed  Article  CAS  Google Scholar 

  33. Kim IJ, Karaca K, Pertile TL, Erickson SA, Sharma JM (1998) Enhanced expression of cytokine genes in spleen macrophages during acute infection with infectious bursal disease virus in chickens. Vet Immunol Immunopathol 61:331–341

    PubMed  Article  CAS  Google Scholar 

  34. Kim IJ, You SK, Kim H, Yeh HY, Sharma JM (2000) Characteristics of bursal T lymphocytes induced by infectious bursal disease virus. J Virol 74:8884–8892

    PubMed  Article  CAS  Google Scholar 

  35. Le Bon A, Tough DF (2002) Links between innate and adaptive immunity via type I interferon. Curr Opin Immunol 14:432–436

    PubMed  Article  Google Scholar 

  36. Li YP, Bang DD, Handberg KJ, Jorgensen PH, Zhang MF (2005) Evaluation of the suitability of six host genes as internal control in real-time RT-PCR assays in chicken embryo cell cultures infected with infectious bursal disease virus. Vet Microbiol 110:155–165

    PubMed  Article  CAS  Google Scholar 

  37. Li YP, Handberg KJ, Juul-Madsen HR, Zhang MF, Jorgensen PH (2007) Transcriptional profiles of chicken embryo cell cultures following infection with infectious bursal disease virus. Arch Virol 152:463–478

    PubMed  Article  CAS  Google Scholar 

  38. Lin Q, Li M, Fang D, Fang J, Su SB (2011) The essential roles of Toll-like receptor signaling pathways in sterile inflammatory diseases. Int Immunopharmacol 11(10):1422–1432

    PubMed  Article  CAS  Google Scholar 

  39. Liu H, Zhang M, Han H, Yuan J, Li Z (2010) Comparison of the expression of cytokine genes in the bursal tissues of the chickens following challenge with infectious bursal disease viruses of varying virulence. Virol J 7:364

    PubMed  Article  CAS  Google Scholar 

  40. Liu M, Vakharia VN (2006) Nonstructural protein of infectious bursal disease virus inhibits apoptosis at the early stage of virus infection. J Virol 80:3369–3377

    PubMed  Article  CAS  Google Scholar 

  41. Lohoff M, Mak TW (2005) Roles of interferon-regulatory factors in T-helper-cell differentiation. Nat Rev Immunol 5:125–135

    PubMed  Article  CAS  Google Scholar 

  42. Lopez-Mejias R, Garcia-Bermudez M, Gonzalez-Juanatey C, Castaneda S, Miranda-Filloy JA, Gomez-Vaquero C, Fernandez-Gutierrez B, Balsa A, Pascual-Salcedo D, Blanco R, Gonzalez-Alvaro I, Llorca J, Martin J, Gonzalez-Gay MA (2011) Lack of association of IL6R rs2228145 and IL6ST/gp130 rs2228044 gene polymorphisms with cardiovascular disease in patients with rheumatoid arthritis. Tissue Antigens 78:438–441

    PubMed  Article  CAS  Google Scholar 

  43. Lu J, Lian G, Lenkinski R, De Grand A, Vaid RR, Bryce T, Stasenko M, Boskey A, Walsh C, Sheen V (2007) Filamin B mutations cause chondrocyte defects in skeletal development. Hum Mol Genet 16:1661–1675

    PubMed  Article  CAS  Google Scholar 

  44. Machida K, Cheng KT, Sung VM, Levine AM, Foung S, Lai MM (2006) Hepatitis C virus induces toll-like receptor 4 expression, leading to enhanced production of beta interferon and interleukin-6. J Virol 80:866–874

    PubMed  Article  CAS  Google Scholar 

  45. Manna SK, Babajan B, Raghavendra PB, Raviprakash N, Sureshkumar C (2010) Inhibiting TRAF2-mediated activation of NF-kappaB facilitates induction of AP-1. J Biol Chem 285:11617–11627

    PubMed  Article  CAS  Google Scholar 

  46. Mansell A, Smith R, Doyle SL, Gray P, Fenner JE, Crack PJ, Nicholson SE, Hilton DJ, O’Neill LA, Hertzog PJ (2006) Suppressor of cytokine signaling 1 negatively regulates Toll-like receptor signaling by mediating Mal degradation. Nat Immunol 7:148–155

    PubMed  Article  CAS  Google Scholar 

  47. McFerran JB, McNulty MS, McKillop ER, Connor TJ, McCracken RM, Collins DS, Allan GM (1980) Isolation and serological studies with infectious bursal disease viruses from fowl, turkeys and ducks: demonstration of a second serotype. Avian Pathol 9:395–404

    PubMed  Article  CAS  Google Scholar 

  48. Montero Vega MT, de Andres MartinA (2008) Toll-like receptors: a family of innate sensors of danger that alert and drive immunity. Allergol Immunopathol (Madr) 36:347–357

    Article  CAS  Google Scholar 

  49. Moynagh PN (2005) TLR signalling and activation of IRFs: revisiting old friends from the NF-kappaB pathway. Trends Immunol 26:469–476

    PubMed  Article  CAS  Google Scholar 

  50. Nakano H, Oshima H, Chung W, Williams-Abbott L, Ware CF, Yagita H, Okumura K (1996) TRAF5, an activator of NF-kappaB and putative signal transducer for the lymphotoxin-beta receptor. J Biol Chem 271:14661–14664

    PubMed  Article  CAS  Google Scholar 

  51. Nehyba J, Hrdlickova R, Burnside J, Bose HR Jr (2002) A novel interferon regulatory factor (IRF), IRF-10, has a unique role in immune defense and is induced by the v-Rel oncoprotein. Mol Cell Biol 22:3942–3957

    PubMed  Article  CAS  Google Scholar 

  52. Nikolov N, Liutskanov D (1977) Pathomorphology of infectious bursitis in chicks. Vet Med Nauki 14:61–67

    PubMed  CAS  Google Scholar 

  53. Palladino MA, Johnson TA, Gupta R, Chapman JL, Ojha P (2007) Members of the Toll-like receptor family of innate immunity pattern-recognition receptors are abundant in the male rat reproductive tract. Biol Reprod 76:958–964

    PubMed  Article  CAS  Google Scholar 

  54. Parcellier A, Schmitt E, Gurbuxani S, Seigneurin-Berny D, Pance A, Chantome A, Plenchette S, Khochbin S, Solary E, Garrido C (2003) HSP27 is a ubiquitin-binding protein involved in I-kappaBalpha proteasomal degradation. Mol Cell Biol 23:5790–5802

    PubMed  Article  CAS  Google Scholar 

  55. Poltorak A, He X, Smirnova I, Liu MY, Van Huffel C, Du X, Birdwell D, Alejos E, Silva M, Galanos C, Freudenberg M, Ricciardi-Castagnoli P, Layton B, Beutler B (1998) Defective LPS signaling in C3H/HeJ and C57BL/10ScCr mice: mutations in Tlr4 gene. Science 282:2085–2088

    PubMed  Article  CAS  Google Scholar 

  56. Poonia B, Charan S (2004) Infiltration by CD4 + and CD8 + lymphocytes in bursa of chickens infected with Infectious Bursal Disease Virus (IBDV): strain-specific differences. Indian J Exp Biol 42:823–829

    PubMed  Google Scholar 

  57. Pothlichet J, Chignard M, Si-Tahar M (2008) Cutting edge: innate immune response triggered by influenza A virus is negatively regulated by SOCS1 and SOCS3 through a RIG-I/IFNAR1-dependent pathway. J Immunol 180:2034–2038

    PubMed  CAS  Google Scholar 

  58. Rassa JC, Meyers JL, Zhang Y, Kudaravalli R, Ross SR (2002) Murine retroviruses activate B cells via interaction with toll-like receptor 4. Proc Natl Acad Sci USA 99:2281–2286

    PubMed  Article  CAS  Google Scholar 

  59. Rauf A, Khatri M, Murgia MV, Jung K, Saif YM (2011) Differential modulation of cytokine, chemokine and Toll like receptor expression in chickens infected with classical and variant infectious bursal disease virus. Vet Res 42:85

    PubMed  Article  CAS  Google Scholar 

  60. Rauf A, Khatri M, Murgia MV, Saif YM (2011) Expression of perforin-granzyme pathway genes in the bursa of infectious bursal disease virus-infected chickens. Dev Comp Immunol 35:620–627

    PubMed  Article  CAS  Google Scholar 

  61. Rautenschlein S, Yeh HY, Njenga MK, Sharma JM (2002) Role of intrabursal T cells in infectious bursal disease virus (IBDV) infection: T cells promote viral clearance but delay follicular recovery. Arch Virol 147:285–304

    PubMed  Article  CAS  Google Scholar 

  62. Rothe M, Sarma V, Dixit VM, Goeddel DV (1995) TRAF2-mediated activation of NF-kappa B by TNF receptor 2 and CD40. Science 269:1424–1427

    PubMed  Article  CAS  Google Scholar 

  63. Sato M, Suemori H, Hata N, Asagiri M, Ogasawara K, Nakao K, Nakaya T, Katsuki M, Noguchi S, Tanaka N, Taniguchi T (2000) Distinct and essential roles of transcription factors IRF-3 and IRF-7 in response to viruses for IFN-alpha/beta gene induction. Immunity 13:539–548

    PubMed  Article  CAS  Google Scholar 

  64. Shilei W, Wangjing L (2008) A role of toll-like receptor 3 in infectious bursal disease virus infection. In: The 14th Symposium Poultry Health Branch, Chinese Association of Animal and Veterinary Science, China, p 139

  65. Shimazu R, Akashi S, Ogata H, Nagai Y, Fukudome K, Miyake K, Kimoto M (1999) MD-2, a molecule that confers lipopolysaccharide responsiveness on Toll-like receptor 4. J Exp Med 189:1777–1782

    PubMed  Article  CAS  Google Scholar 

  66. Sun Y, Ishibashi M, Seimon T, Lee M, Sharma SM, Fitzgerald KA, Samokhin AO, Wang Y, Sayers S, Aikawa M, Jerome WG, Ostrowski MC, Bromme D, Libby P, Tabas IA, Welch CL, Tall AR (2009) Free cholesterol accumulation in macrophage membranes activates Toll-like receptors and p38 mitogen-activated protein kinase and induces cathepsin K. Circ Res 104:455–465

    PubMed  Article  CAS  Google Scholar 

  67. Takeda K, Akira S (2004) TLR signaling pathways. Semin Immunol 16:3–9

    PubMed  Article  CAS  Google Scholar 

  68. Tanimura N, Sharma JM (1997) Appearance of T cells in the bursa of Fabricius and cecal tonsils during the acute phase of infectious bursal disease virus infection in chickens. Avian Dis 41:638–645

    PubMed  Article  CAS  Google Scholar 

  69. Telepnev MV, Klimpel GR, Haithcoat J, Knirel YA, Anisimov AP, Motin VL (2009) Tetraacylated lipopolysaccharide of Yersinia pestis can inhibit multiple Toll-like receptor-mediated signaling pathways in human dendritic cells. J Infect Dis 200:1694–1702

    PubMed  Article  CAS  Google Scholar 

  70. Uematsu S, Akira S (2008) Toll-Like receptors (TLRs) and their ligands. Handb Exp Pharmacol:1-20

  71. Wang D, Xiong J, She R, Liu L, Zhang Y, Luo D, Li W, Hu Y, Wang Y, Zhang Q, Sun Q (2008) Mast cell mediated inflammatory response in chickens after infection with very virulent infectious bursal disease virus. Vet Immunol Immunopathol 124:19–28

    PubMed  Article  CAS  Google Scholar 

  72. Wang D, Liu Y, She R, Xu J, Liu L, Xiong J, Yang Y, Sun Q, Peng K (2009) Reduced mucosal injury of SPF chickens by mast cell stabilization after infection with very virulent infectious bursal disease virus. Vet Immunol Immunopathol 131:229–237

    PubMed  Article  CAS  Google Scholar 

  73. Wang R, Wang Z, Yang J, Liu X, Wang L, Guo X, Zeng F, Wu M, Li G (2011) LRRC4 inhibits the proliferation of human glioma cells by modulating the expression of STMN1 and microtubule polymerization. J Cell Biochem 112(12):3621–3629

    PubMed  Article  CAS  Google Scholar 

  74. Wei L, Zhu S, Ruan G, Hou L, Wang J, Wang B, Liu J (2011) Infectious bursal disease virus-induced activation of JNK signaling pathway is required for virus replication and correlates with virus-induced apoptosis. Virology 420(2):156–163

    PubMed  Article  CAS  Google Scholar 

  75. Woronicz JD, Gao X, Cao Z, Rothe M, Goeddel DV (1997) IkappaB kinase-beta: NF-kappaB activation and complex formation with IkappaB kinase-alpha and NIK. Science 278:866–869

    PubMed  Article  CAS  Google Scholar 

  76. Wu MH, Zhang P, Huang X (2010) Toll-like receptors in innate immunity and infectious diseases. Front Med China 4:385–393

    PubMed  Article  Google Scholar 

  77. Yang IV, Jiang W, Rutledge HR, Lackford B, Warg LA, De Arras L, Alper S, Schwartz DA, Pisetsky DS (2011) Identification of novel innate immune genes by transcriptional profiling of macrophages stimulated with TLR ligands. Mol Immunol 48:1886–1895

    PubMed  Article  Google Scholar 

Download references

Acknowledgments

This work was supported by grants from National Twelve-Five Technological Supported Plan of China (No. 2011BAD34B01) and public service sectors agriculture research projects (No. 201003060-9/10). We are thankful for the help from the members of China Agricultural University & Beijing University of Agriculture Traditional Chinese Veterinary Medicine (CAU-BUA TCVM) teaching and research team. This study was approved by the Beijing Administration Office of Laboratory Animals, and all of our experiments were operated at Veterinary Laboratory Biosafety Level 2. Special thanks to Advanced Throughput Inc. for their assistance with the chip experiments and data analysis.

Conflict of interest

None of the authors has a financial or personal relationship with other people or organizations that could inappropriately influence or bias the content of this paper.

Author information

Affiliations

Authors

Corresponding authors

Correspondence to Fenghua Liu or Huanrong Li.

Additional information

X. Guo and L. Wang contributed equally to this work.

Rights and permissions

Reprints and Permissions

About this article

Cite this article

Guo, X., Wang, L., Cui, D. et al. Differential expression of the Toll-like receptor pathway and related genes of chicken bursa after experimental infection with infectious bursa disease virus. Arch Virol 157, 2189–2199 (2012). https://doi.org/10.1007/s00705-012-1403-y

Download citation

  • Received:

  • Accepted:

  • Published:

  • Issue Date:

  • DOI: https://doi.org/10.1007/s00705-012-1403-y

Keywords

  • Interferon Regulatory Factor
  • Imiquimod
  • Negative Regulatory Factor
  • Host Antiviral Response
  • Bursal Tissue