Abstract
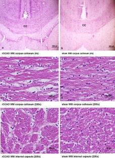
Chronic cerebral hypoperfusion induced by aging in combination with vascular disorder potentially contributes to the development of vascular dementia. This study aimed to investigate the age-related changes in spatial performances in chronic mild cerebral hypoperfusion induced by permanent right common carotid artery occlusion (rCCAO) in rats. Four-month-old male Sprague–Dawley rats (n = 20) were randomly assigned into sham and rCCAO groups. Spatial performances of young adult rats (age 4–8 months) were evaluated repeatedly by the radial arm water maze at 6 days, and 1, 2 and 4 months after surgery. The spatial performance was re-assessed by the Morris water maze when the rats were 18 months old. The present results revealed that the rCCAO rats developed progressive deficit in spatial learning and memory, starting from day 6 and significant deficit was found at 2 months after rCCAO (p < 0.05). However, the spatial performance of the rCCAO rats was recovered at 4 months after surgery. Testing of the cognitive flexibility of the aged rCCAO rats (18 months old), indicated that the learning flexibility of the aged rCCAO rats was significantly impaired. This deficit was found in parallel with pronounced white matter damage in the corpus callosum and internal capsule and significant cell death in the dorsal hippocampus. Our results suggested that vascular risk insult in young adult rats resulted in spatial learning deficit which could be completely compensated later on. However, such previous vascular risk could be exacerbated by advancing age and subsequently lead to a deficit in cognitive flexibility with white matter damage and significant neuronal death in the dorsal hippocampus.






Abbreviations
- rCCAO:
-
Right common carotid artery occlusion
- 2VO:
-
Bilateral occlusion of common carotid artery
- RAWM:
-
Radial arm water maze
- MWM:
-
Morris water maze
- ITI:
-
Inter-trial time interval
References
Bronner G, Mitchell K, Welsh FA (1998) Cerebrovascular adaptation after unilateral carotid artery ligation in the rat: preservation of blood flow and ATP during forebrain ischemia. J Cereb Blood Flow Metab 18(1):118–121. doi:10.1097/00004647-199801000-00012
Buresova O, Bures J, Oitzl MS, Zahalka A (1985) Radial maze in the water tank: an aversively motivated spatial working memory task. Physiol Behav 34(6):1003–1005
Coyle P, Panzenbeck MJ (1990) Collateral development after carotid artery occlusion in Fischer 344 rats. Stroke 21(2):316–321
De Jong GI, De Vos RA, Steur EN, Luiten PG (1997) Cerebrovascular hypoperfusion: a risk factor for Alzheimer’s disease? Animal model and postmortem human studies. Ann NY Acad Sci 826:56–74
de la Torre JC (2002a) Alzheimer disease as a vascular disorder: nosological evidence. Stroke 33(4):1152–1162
de la Torre JC (2002b) Vascular basis of Alzheimer’s pathogenesis. Ann NY Acad Sci 977:196–215
de la Torre JC (2010) The vascular hypothesis of Alzheimer’s disease: bench to bedside and beyond. Neurodegener Dis 7(1–3):116–121. doi:10.1159/000285520
de la Torre JC, Fortin T, Park GA, Butler KS, Kozlowski P, Pappas BA, de Socarraz H, Saunders JK, Richard MT (1992) Chronic cerebrovascular insufficiency induces dementia-like deficits in aged rats. Brain Res 582(2):186–195
Dellu F, Mayo W, Vallee M, Le Moal M, Simon H (1997) Facilitation of cognitive performance in aged rats by past experience depends on the type of information processing involved: a combined cross-sectional and longitudinal study. Neurobiol Learn Mem 67(2):121–128. (Pii: S1074742796937508)
Diamond DM, Park CR, Heman KL, Rose GM (1999) Exposing rats to a predator impairs spatial working memory in the radial arm water maze. Hippocampus 9(5):542–552. doi:10.1002/(SICI)1098-1063(1999)9:5<542:AID-HIPO8>3.0.CO;2-N
Farkas E, Luiten PG, Bari F (2007) Permanent, bilateral common carotid artery occlusion in the rat: a model for chronic cerebral hypoperfusion-related neurodegenerative diseases. Brain Res Rev 54(1):162–180. doi:10.1016/j.brainresrev.2007.01.003
Floresco SB, Zhang Y, Enomoto T (2009) Neural circuits subserving behavioral flexibility and their relevance to schizophrenia. Behav Brain Res 204(2):396–409. doi:10.1016/j.bbr.2008.12.001
Gallagher M, Burwell R, Burchinal M (1993) Severity of spatial learning impairment in aging: development of a learning index for performance in the Morris water maze. Behav Neurosci 107(4):618–626
Hyde LA, Hoplight BJ, Denenberg VH (1998) Water version of the radial-arm maze: learning in three inbred strains of mice. Brain Res 785(2):236–244
Hyde LA, Stavnezer AJ, Bimonte HA, Sherman GF, Denenberg VH (2002) Spatial and nonspatial Morris maze learning: impaired behavioral flexibility in mice with ectopias located in the prefrontal cortex. Behav Brain Res 133(2):247–259
Lee JS, Im DS, An YS, Hong JM, Gwag BJ, Joo IS (2011) Chronic cerebral hypoperfusion in a mouse model of Alzheimer’s disease: an additional contributing factor of cognitive impairment. Neurosci Lett 489(2):84–88. doi:10.1016/j.neulet.2010.11.071
Mizoguchi K, Shoji H, Tanaka Y, Tabira T (2010) Orbitofrontal dopaminergic dysfunction causes age-related impairment of reversal learning in rats. Neuroscience 170(4):1110–1119. doi:10.1016/j.neuroscience.2010.08.037
Mons N, Segu L, Nogues X, Buhot MC (2004) Effects of age and spatial learning on adenylyl cyclase mRNA expression in the mouse hippocampus. Neurobiol Aging 25(8):1095–1106
Morris R (1984) Developments of a water-maze procedure for studying spatial learning in the rat. J Neurosci Methods 11(1):47–60
Moser MB, Trommald M, Andersen P (1994) An increase in dendritic spine density on hippocampal CA1 pyramidal cells following spatial learning in adult rats suggests the formation of new synapses. Proc Natl Acad Sci U S A 91(26):12673–12675
Olton DS (1987) The radial arm maze as a tool in behavioral pharmacology. Physiol Behav 40(6):793–797
Otori T, Katsumata T, Muramatsu H, Kashiwagi F, Katayama Y, Terashi A (2003) Long-term measurement of cerebral blood flow and metabolism in a rat chronic hypoperfusion model. Clin Exp Pharmacol Physiol 30(4):266–272
Pimentel-Coelho PM, Michaud JP, Rivest S (2012) Effects of mild chronic cerebral hypoperfusion and early amyloid pathology on spatial learning and the cellular innate immune response in mice. Neurobiol Aging. doi:10.1016/j.neurobiolaging.2012.06.025
Schoenbaum G, Setlow B, Saddoris MP, Gallagher M (2006) Encoding changes in orbitofrontal cortex in reversal-impaired aged rats. J Neurophysiol 95(3):1509–1517. doi:10.1152/jn.01052.2005
Sopala M, Danysz W (2001) Chronic cerebral hypoperfusion in the rat enhances age-related deficits in spatial memory. J Neural Transm 108(12):1445–1456. doi:10.1007/s007020100019
Ulrich PT, Kroppenstedt S, Heimann A, Kempski O (1998) Laser-Doppler scanning of local cerebral blood flow and reserve capacity and testing of motor and memory functions in a chronic 2-vessel occlusion model in rats. Stroke 29(11):2412–2420
Vermeer SE, Prins ND, den Heijer T, Hofman A, Koudstaal PJ, Breteler MM (2003) Silent brain infarcts and the risk of dementia and cognitive decline. N Engl J Med 348(13):1215–1222
Vogels RL, Oosterman JM, van Harten B, Scheltens P, van der Flier WM, Schroeder-Tanka JM, Weinstein HC (2007) Profile of cognitive impairment in chronic heart failure. J Am Geriatr Soc 55(11):1764–1770. doi:10.1111/j.1532-5415.2007.01395.x
Vorhees CV, Williams MT (2006) Morris water maze: procedures for assessing spatial and related forms of learning and memory. Nat Protoc 1(2):848–858. doi:10.1038/nprot.2006.116
Wenk GL (2004) Assessment of spatial memory using the radial arm maze and Morris water maze. Curr Protoc Neurosci Chapter 8:Unit 8 5A. doi:10.1002/0471142301.ns0805as26
Yoshizaki K, Adachi K, Kataoka S, Watanabe A, Tabira T, Takahashi K, Wakita H (2008) Chronic cerebral hypoperfusion induced by right unilateral common carotid artery occlusion causes delayed white matter lesions and cognitive impairment in adult mice. Exp Neurol 210(2):585–591. doi:10.1016/j.expneurol.2007.12.005
Acknowledgments
We thank Ratana Ninturk and Chatsumal Pholseang for their valuable technical assistance. This study was supported by Siriraj Thesis Scholarship, Faculty of Medicine Siriraj Hospital, Mahidol University, Thailand.
Author information
Authors and Affiliations
Corresponding author
Rights and permissions
About this article
Cite this article
Thong-asa, K., Chompoopong, S., Tantisira, M.H. et al. Reversible short-term and delayed long-term cognitive impairment induced by chronic mild cerebral hypoperfusion in rats. J Neural Transm 120, 1225–1235 (2013). https://doi.org/10.1007/s00702-012-0937-1
Received:
Accepted:
Published:
Issue Date:
DOI: https://doi.org/10.1007/s00702-012-0937-1