Skip to main content

How I do it: contralateral supraorbital approach for tuberculum sellae meningioma

Abstract

Background

The resection of tuberculum sellae meningiomas poses a challenge particularly when dealing with the medial aspect of the optic nerve. Dissection of the tumor off the optic nerve is usually carried out in the blind spot “behind” the optic nerve. We describe a contralateral approach for asymmetric tuberculum sellae meningiomas, allowing direct visualization of the medial optic nerve.

Method

Contralateral lateral supraorbital approach was performed, and complete tumor resection was achieved without any injury to the optic nerve.

Conclusion

The contralateral approach for asymmetric tuberculum sellae meningioma is an efficient technique allowing improved visualization of the medial optic nerve.

This is a preview of subscription content, access via your institution.

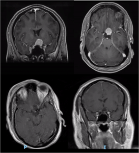
Fig. 1
Fig. 2

References

  1. Ajlan A, Choudhri O, Hwang P, Harsh G (2014) Meningiomas of the tuberculum and diaphragma sellae. J Neurol Surg Part B Skull Base 76(01):074–079

    Article  Google Scholar 

  2. DeMonte F, McDermott MW, Al-Mefty O (2011) Al-Mefty’s meningiomas. Thieme

  3. Guthikonda B, Tobler WD, Froelich SC, Leach JL, Zimmer LA, Theodosopoulos PV, Tew JM, Keller JT (2010) Anatomic study of the \prechiasmatic sulcus and its surgical implications. Clin Anat 23(6):622–628

    Article  Google Scholar 

  4. Laine FJ, Nadel L, Braun IF (1990) CT and MR imaging of the central skull base. Part 1: techniques, embryologic development, and anatomy. Radiographics 10(4):591–602

    CAS  Article  Google Scholar 

  5. Lee S, Hong SH, Cho YH, Kim JH, Kim CJ (2016) Anatomical origin of tuberculum sellae meningioma: off-midline location and its clinical implications. World Neurosurg 89:552–561

    Article  Google Scholar 

  6. Nakamura M, Roser F, Struck M, Vorkapic P, Samii M (2006) Tuberculum sellae meningiomas: clinical outcome considering different surgical approaches. Neurosurgery 59(5):1019–1028

    Article  Google Scholar 

  7. Nanda A, Ambekar S, Javalkar V, Sharma M (2013) Technical nuances in the management of tuberculum sellae and diaphragma sellae meningiomas. Neurosurg Focus 35(6):E7

    Article  Google Scholar 

  8. Rigante L, Evins AI, Berra LV, Beer-Furlan A, Stieg PE, Bernardo A (2015) Optic nerve decompression through a supraorbital approach. J Neurol Surgery, Part B Skull Base 76(3):239–247

    Article  Google Scholar 

  9. Ruggeri AG, Cappelletti M, Fazzolari B, Marotta N, Delfini R (2016) Frontobasal midline meningiomas: is it right to shed doubt on the transcranial approaches? Updates and review of the literature. World Neurosurg 88:374–382

    Article  Google Scholar 

Download references

Author information

Affiliations

Authors

Corresponding author

Correspondence to Ivo Peto.

Ethics declarations

Conflict of interest

The authors declare that they have no conflict of interest.

Patient consent

The patient has consented to the submission of this How I Do It for submission to the journal.

Additional information

Key Points

1. Proper patients selection with asymmetric TS meningiomas with lateral or superior-lateral displacement of the optic nerve

2. Low frontal craniotomy with drilling of orbital rim and orbital roof

3. Identification of ipsilateral unaffected optic nerve, ipsilateral ACA (A1) and chiasm

4. Early identification of contralateral optic nerve

5. Preserving arachnoid plane on the optic nerve

6. Avoiding electrocautery on the optic nerve

7. Identification of the take-off of the ophthalmic artery

8. Transection of falciform ligament to release optic nerve

9. Cauterization/drilling of the dural attachment at the origin at tuberculum sellae

10. Preserving pituitary stalk and superior hypophyseal artery

Publisher’s note

Springer Nature remains neutral with regard to jurisdictional claims in published maps and institutional affiliations.

This article is part of the Topical Collection on Tumor - Meningioma

Electronic supplementary material

ESM 1

(MOV 283737 kb)

Rights and permissions

Reprints and Permissions

About this article

Verify currency and authenticity via CrossMark

Cite this article

Peto, I., White, T.G. & Dehdashti, A.R. How I do it: contralateral supraorbital approach for tuberculum sellae meningioma. Acta Neurochir 162, 613–616 (2020). https://doi.org/10.1007/s00701-019-04205-8

Download citation

  • Received:

  • Accepted:

  • Published:

  • Issue Date:

  • DOI: https://doi.org/10.1007/s00701-019-04205-8

Keywords

  • Tuberculum sellae
  • Meningioma
  • Contralateral
  • Lateral supraorbital approach