Skip to main content

Purely endoscopic removal of a parasagittal/falx meningioma

Abstract

Background

Endoscopic techniques are an integral part of the neurosurgical armamentarium with a growing list of indications. We describe the purely endoscopic removal of an atypical parasagittal meningioma in a patient who could not undergo standard craniotomy due to severe scalp atrophy following childhood irradiation for tinea capitis.

Methods

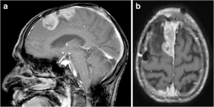
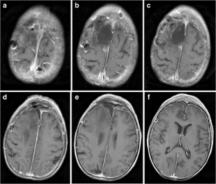
A 68-year-old man in good general health presented with a parasagittal meningioma that recurred following subtotal removal and adjuvant fractionated stereotactic radiosurgery (FSR). The scalp above the tumor location was very diseased and precluded a regular craniotomy for tumor removal. A 4-cm craniotomy was made in the midline forehead, where the skin was normal. A rigid endoscope was advanced under neuronavigation through the interhemispheric fissure, which provided good access with limited retraction, until the tumor was encountered at a depth of 7–8 cm. Two surgeons performed the surgery using a “four-hands technique”. The tumor was removed and the insertion area was resected and coagulated.

Results

The surgery was uneventful, with no coagulation or transection of major veins. A subtotal resection was achieved, and the patient recovered with no neurological deficit.

Conclusions

Safe resection of parasagittal meningiomas with a purely endoscopic technique is feasible. This option needs further exploration as an alternative strategy in patients with severely atrophic scalp skin that greatly increases the risk of significant healing complications with calvarian craniotomy

This is a preview of subscription content, access via your institution.

Fig. 1
Fig. 2
Fig. 3
Fig. 4
Fig. 5

References

  1. Asthagiri AK, Lonser RR (2012) Surgical managemenet of parasagittal and convexity meningiomas. In: Quiñones-Hinojosa A (ed) Schmidek & Sweet operative neurosurgical techniques: indications, methods, and results, 6th edn. Elsevier Saunders, Philadelphia

    Google Scholar 

  2. Cappabianca P, Cavallo LM, Solari D, Stagno V, Esposito F, de Angelis M (2014) Endoscopic endonasal surgery for pituitary adenomas. World Neurosurg 82:S3–S11

    Article  PubMed  Google Scholar 

  3. Cavallo LM, Frank G, Cappabianca P, Solari D, Mazzatenta D, Villa A, Zoli M, D’Enza AI, Esposito F, Pasquini E (2014) The endoscopic endonasal approach for the management of craniopharyngiomas: a series of 103 patients. J Neurosurg 121:100–113

    Article  PubMed  Google Scholar 

  4. Cote DJ, Wiemann R, Smith TR, Dunn IF, Al-Mefty O, Laws ER (2015) The expanding spectrum of disease treated by the transnasal, transsphenoidal microscopic and endoscopic anterior skull base approach: a single-center experience 2008–2015. World Neurosurg. doi:10.1016/j.wneu.2015.1005.1019

    Google Scholar 

  5. Juraschka K, Khan OH, Godoy BL, Monsalves E, Kilian A, Krischek B, Ghare A, Vescan A, Gentili F, Zadeh G (2014) Endoscopic endonasal transsphenoidal approach to large and giant pituitary adenomas: institutional experience and predictors of extent of resection. J Neurosurg 121:75–83

    Article  PubMed  Google Scholar 

  6. Koutourousiou M, Gardner PA, Tormenti MJ, Henry SL, Stefko ST, Kassam AB, Fernandez-Miranda JC, Snyderman CH (2012) Endoscopic endonasal approach for resection of cranial base chordomas: outcomes and learning curve. Neurosurgery 71:614–624, discussion 624–615

    Article  PubMed  Google Scholar 

  7. Koutourousiou M, Fernandez-Miranda JC, Stefko ST, Wang EW, Snyderman CH, Gardner PA (2014) Endoscopic endonasal surgery for suprasellar meningiomas: experience with 75 patients. J Neurosurg 120:1326–1339

    Article  PubMed  Google Scholar 

  8. Kwee MM, Rozen WM, Ting JW, Mirkazemi M, Leong J, Baillieu C (2012) Total scalp reconstruction with bilateral anterolateral thigh flaps. Microsurgery 32:393–396

    Article  PubMed  Google Scholar 

  9. Mathiesen T, Pettersson-Segerlind J, Kihlstrom L, Ulfarsson E (2014) Meningiomas engaging major venous sinuses. World Neurosurg 81:116–124

    Article  PubMed  Google Scholar 

  10. Pettersson-Segerlind J, Orrego A, Lonn S, Mathiesen T (2011) Long-term 25-year follow-up of surgically treated parasagittal meningiomas. World Neurosurg 76:564–571

    Article  PubMed  Google Scholar 

  11. Schroeder HW, Oertel J, Gaab MR (2004) Endoscope-assisted microsurgical resection of epidermoid tumors of the cerebellopontine angle. J Neurosurg 101:227–232

    Article  PubMed  Google Scholar 

  12. Shahinian HK, Ra Y (2011) 527 fully endoscopic resections of vestibular schwannomas. Minim Invasive Neurosurg 54:61–67

    Article  CAS  PubMed  Google Scholar 

  13. Umansky F, Shoshan Y, Rosenthal G, Fraifeld S, Spektor S (2008) Radiation-induced meningioma. Neurosurg Focus 24:E7

    Article  PubMed  Google Scholar 

  14. Umansky F, Sadetzki S, Spektor S, Rosenthal G, Fraifeld S, Shoshan Y (2010) Radiation-induced meningiomas. In: Pamir MN, Black P, Fahlbusch R (eds) Meningiomas: a comprehensive text. Saunders Elsevier, Philadelphia

    Google Scholar 

  15. Vaz-Guimaraes F, Gardner PA, Fernandez-Miranda JC (2015) Fully endoscopic retrosigmoid approach for posterior petrous meningioma and trigeminal microvascular decompression. Acta Neurochir (Wien) 157:611–615, discussion 615

    Article  Google Scholar 

  16. Vellutini Ede A, Balsalobre L, Hermann DR, Stamm AC (2014) The endoscopic endonasal approach for extradural and intradural clivus lesions. World Neurosurg 82:S106–S115

    Article  PubMed  Google Scholar 

Download references

Acknowledgments

We wish to thank Shifra Fraifeld, a Medical Writer in the Department of Neurosurgery, for her editorial contribution during manuscript preparation.

Author information

Affiliations

Authors

Corresponding author

Correspondence to Sergey Spektor.

Ethics declarations

All procedures performed in studies involving human participants were in accordance with the ethical standards of the institutional and/or national research committee and with the 1964 Helsinki declaration and its later amendments or comparable ethical standards. For this type of study, formal consent was not required and no identifiable information about the patient is included in the article; however, the patient has consented to the submission of this manuscript to the journal.

Funding

No funding was received for this research.

Conflicts of interest

All authors certify that they have NO affiliations with or involvement in any organization or entity with any financial interest (such as honoraria; educational grants; participation in speakers’ bureaus; membership, employment, consultancies, stock ownership, or other equity interest; and expert testimony or patent-licensing arrangements), or non-financial interest (such as personal or professional relationships, affiliations, knowledge or beliefs) in the subject matter or materials discussed in this manuscript.

Rights and permissions

Reprints and Permissions

About this article

Verify currency and authenticity via CrossMark

Cite this article

Spektor, S., Margolin, E., Eliashar, R. et al. Purely endoscopic removal of a parasagittal/falx meningioma. Acta Neurochir 158, 451–456 (2016). https://doi.org/10.1007/s00701-015-2689-9

Download citation

  • Received:

  • Accepted:

  • Published:

  • Issue Date:

  • DOI: https://doi.org/10.1007/s00701-015-2689-9

Keywords

  • Atypical meningioma
  • Endoscopic neurosurgery
  • Irradiation in childhood
  • Parasagittal/falx meningioma
  • Radiation-induced meningioma
  • Tinea capitis