Skip to main content

Delayed neurological deficit following resection of tuberculum sellae meningioma: report of two cases, one with permanent and one with reversible visual impairment

Abstract

The most common presentation of patients with tuberculum sellae meningiomas is visual loss, and surgical resection is the main mode of treatment. Preservation of vision is not only the main objective of the surgery; loss of vision is also its main risk. Visual deterioration following surgery is usually apparent immediately post-operatively. Here we present two cases of patients who underwent resection of tuberculum sellae meningioma and whose vision following surgery was initially unchanged until the postoperative day two when dramatic visual deterioration occurred. In the first case this resulted in blindness, whereas in the second case vision recovered back to the preoperative state. The possible mechanisms of visual deterioration and modes of treatment are discussed.

This is a preview of subscription content, access via your institution.

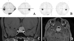
Fig. 1
Fig. 2

References

  1. Al-Mefty O, Holoubi A, Rifai A, Fox JL (1985) Microsurgical removal of suprasellar meningiomas. Neurosurgery 16:364–372

    CAS  PubMed  Article  Google Scholar 

  2. Al-Mefty O, Smith R (1991) Tuberculum sellae meningiomas. In: Al-Mefty O (ed) Meningiomas. Raven, New York, pp 395–441

    Google Scholar 

  3. Aoki N, Origitano TC, Al-Mefty O (1995) Vasospasm after resection of skull base tumors. Acta Neurochir (Wien) 132:53–58

    CAS  Article  Google Scholar 

  4. Bagdatoglu C, Saray A, Surucu HS, Ozturk H, Tamer L (2002) Effect of trapidil in ischemia/reperfusion injury of peripheral nerves. Neurosurgery 51:212–219, discussion 219–20

    PubMed  Article  Google Scholar 

  5. Bassiouni H, Asgari S, Stolke D (2006) Tuberculum sellae meningiomas: functional outcome in a consecutive series treated microsurgically. Surg Neurol 66:37–44, discussion 44–5

    PubMed  Article  Google Scholar 

  6. Bejjani GK, Sekhar LN, Yost AM, Bank WO, Wright DC (1999) Vasospasm after cranial base tumor resection: pathogenesis, diagnosis, and therapy. Surg Neurol 52:577–583, discussion 583–4

    CAS  PubMed  Article  Google Scholar 

  7. Bulters DO, Shenouda E, Evans BT, Mathad N, Lang DA (2009) Visual recovery following optic nerve decompression for chronic compressive neuropathy. Acta Neurochir (Wien) 151:325–334

    Article  Google Scholar 

  8. Chi JH, Parsa AT, Berger MS, Kunwar S, McDermott MW (2006) Extended bifrontal craniotomy for midline anterior fossa meningiomas: minimization of retraction-related edema and surgical outcomes. Neurosurgery 59:426–433, discussion 433–4

    Article  Google Scholar 

  9. Chicani CF, Miller NR (2003) Visual outcome in surgically treated suprasellar meningiomas. J Neuroophthalmol 23:3–10

    PubMed  Article  Google Scholar 

  10. Chokyu I, Goto T, Ishibashi K, Nagata T, Ohata K (2011) Bilateral subfrontal approach for tuberculum sellae meningiomas in long-term postoperative visual outcome. J Neurosurg 115(4):802–810

    PubMed  Article  Google Scholar 

  11. Cushing H (1930) The chiasmal syndrome of primary optic atrophy and bitemporal field defects in adults with a normal sella turcica. Arch Ophthalmol 3:505–551

    Article  Google Scholar 

  12. de Divitiis E, Esposito F, Cappabianca P, Cavallo LM, de Divitiis O (2008) Tuberculum sellae meningiomas: high route or low route? A series of 51 consecutive cases. Neurosurgery 62:556–563, discussion 556–63

    PubMed  Article  Google Scholar 

  13. Fahlbusch R, Schott W (2002) Pterional surgery of meningiomas of the tuberculum sellae and planum sphenoidale: surgical results with special consideration of ophthalmological and endocrinological outcomes. J Neurosurg 96:235–243

    PubMed  Article  Google Scholar 

  14. Ganna A, Dehdashti AR, Karabatsou K, Gentili F (2009) Fronto-basal interhemispheric approach for tuberculum sellae meningiomas; long-term visual outcome. Br J Neurosurg 23:422–430

    PubMed  Article  Google Scholar 

  15. Jallo GI, Benjamin V (2002) Tuberculum sellae meningiomas: microsurgical anatomy and surgical technique. Neurosurgery 51:1432–1439, discussion 1439–40

    PubMed  Google Scholar 

  16. JANE JA, McKissock W (1962) Importance of failing vision in early diagnosis of suprasellar meningiomas. Br Med J 2:5–7

    CAS  PubMed Central  PubMed  Article  Google Scholar 

  17. Kamp MA, Slotty P, Turowski B, Etminan N, Steiger H-J, Hänggi D, Stummer W (2011) Microscope integrated quantitative analysis of intra-operative indocyanine green fluorescence angiography for blood flow assessment: first experience in 30 patients. Neurosurgery 70(1 Suppl Operative):65–73

    Google Scholar 

  18. Kim EH, Cho JM, Chang JH, Kim SH, Lee KS (2011) Application of intraoperative indocyanine green videoangiography to brain tumor surgery. Acta Neurochir (Wien) 153:1487–1495, discussion 1494–5

    Article  Google Scholar 

  19. Kunicki A, Uhl A (1968) The clinical picture and results of surgical treatment of meningioma of the tuberculum sellae. Cesk Neurol 31:80–92

    CAS  PubMed  Google Scholar 

  20. Mahmoud M, Nader R, Al-Mefty O (2010) Optic canal involvement in tuberculum sellae meningiomas: influence on approach, recurrence, and visual recovery. Neurosurgery 67:ons108–ons118, discussion ons118–9

    PubMed  Article  Google Scholar 

  21. Mathiesen T, Kihlström L (2006) Visual outcome of tuberculum sellae meningiomas after extradural optic nerve decompression. Neurosurgery 59:570–576, discussion 570–6

    PubMed  Article  Google Scholar 

  22. Nakamura M, Roser F, Struck M, Vorkapic P, Samii M (2006) Tuberculum sellae meningiomas: clinical outcome considering different surgical approaches. Neurosurgery 59:1019–1028, discussion 1028–9

    PubMed  Google Scholar 

  23. Nukada H, McMorran PD, Baba M, Ogasawara S, Yagihashi S (2011) Increased susceptibility to ischemia and macrophage activation in STZ-diabetic rat nerve. Brain Res 1373:172–182

    CAS  PubMed  Article  Google Scholar 

  24. Roth S (2009) Perioperative visual loss: what do we know, what can we do? Br J Anaesth 103(Suppl 1):i31–i40

    PubMed Central  PubMed  Article  Google Scholar 

  25. Sughrue M, Sanai N, McDermott M (2011) Tuberculum sellae meningiomas. In: DeMonte F, McDermott M (eds) Al-Mefty’s meningiomas. Thieme, New York, pp 206–213

    Google Scholar 

  26. Taussky P, Kalra R, Couldwell WT (2012) Delayed vasospasm after removal of a skull base meningioma. Cen Eur Neurosurg 73(4):249–252

    CAS  Google Scholar 

Download references

Conflicts of interest

None.

Author information

Affiliations

Authors

Corresponding author

Correspondence to T. Santarius.

Rights and permissions

Reprints and Permissions

About this article

Cite this article

Santarius, T., Jian, B.J., Englot, D. et al. Delayed neurological deficit following resection of tuberculum sellae meningioma: report of two cases, one with permanent and one with reversible visual impairment. Acta Neurochir 156, 1099–1102 (2014). https://doi.org/10.1007/s00701-014-2046-4

Download citation

  • Received:

  • Accepted:

  • Published:

  • Issue Date:

  • DOI: https://doi.org/10.1007/s00701-014-2046-4

Keywords

  • Tuberculum sellae meningioma
  • Reversible visual loss
  • Vasospasm
  • Resection
  • Treatment
  • Pressor therapy