Skip to main content

Surgical treatment of rare cauda equina tumours

Abstract

Background

Cauda equina tumours (CET) are rare and usually benign. Treatment of schwannomas and benign ependymomas, which are the most frequent histopathological types of CET, is now well established. However, management of other presumed histopathological types of CET is still a matter of debate. The aim of this study was to assess the incidence and the surgical treatment of rare CET.

Method

A retrospective study was carried out on 176 adult patients surgically treated for CET in our two departments from 1994 to 2010. We reviewed pre- and postoperative symptoms, magnetic resonance imaging aspects, surgical findings, outcome including operative neurological morbidity, local recurrence rate and operative mortality, and incidence of rare CET.

Findings

Seventeen percent (30 patients) of CETs operated on were neither schwannomas nor benign ependymomas. Half of these cases were benign tumours, with paragangliomas being the most common. Two patients were in poorer clinical condition after surgery, one patient experienced a local recurrence, and one died following surgery, from the progress of his disease (Von Hippel-Lindau disease). The other half were malignant tumours, with metastases being the most common. One third of the patients were worsened by surgery, and the mortality rate was 1/3 at 8 months (1–27 months).

Conclusions

Roughly one in six CET were neither schwannomas nor benign ependymomas. This study demonstrated the efficiency of surgery for rare benign CET with a low local recurrence rate. Surgical treatment of rare malignant CET led to a high rate of increased postoperative neurological deficit in patients with a reduced life expectancy.

This is a preview of subscription content, access via your institution.

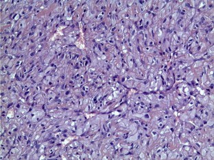
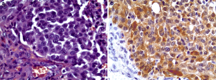
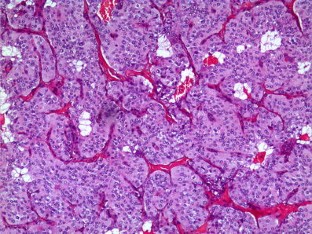
Fig. 1
Fig. 2
Fig. 3
Fig. 4
Fig. 5
Fig. 6
Fig. 7
Fig. 8

References

  1. Acharya R, Bhalla S, Sehgal AD (2001) Malignant peripheral nerve sheath tumor of the cauda equina. Neurol Sci 22:267–270

    PubMed  Article  CAS  Google Scholar 

  2. Akhaddar A, Ajja A, Albouzidi A, Elmostarchid B, Boucetta M (2008) Cystic schwannoma of the cauda equina mimicking hemangioblastoma. Neurochirurgie 54:101–103

    PubMed  Article  CAS  Google Scholar 

  3. Akyuz M, Demiral AN, Gurer IE, Ucar T, Tuncer R (2004) Primary primitive neuro-ectodermal tumor of cauda equina with intracranial seeding. Acta Neurochir (Wien) 146:525–528

    Article  CAS  Google Scholar 

  4. Amin A, Saifuddin A, Flanagan A, Patterson D, Lehovsky J (2004) Radiotherapy-induced malignant peripheral nerve sheath tumor of the cauda equina. Spine (Phila Pa 1976) 29:E506–E509

    Article  Google Scholar 

  5. Asazuma T, Toyama Y, Suzuki N, Fujimura Y, Hirabayshi K (1999) Ependymomas of the spinal cord and cauda equina: an analysis of 26 cases and a review of the literature. Spinal Cord 37:753–759

    PubMed  Article  CAS  Google Scholar 

  6. Asazuma T, Toyama Y, Watanabe M, Suzuki N, Fujimura Y, Hirabayashi K (2003) Clinical features associated with recurrence of tumours of the spinal cord and cauda equina. Spinal Cord 41:85–89

    PubMed  Article  CAS  Google Scholar 

  7. Bastin KT, Mehta MP (1992) Meningeal hemangiopericytoma: defining the role for radiation therapy. J Neurooncol 14:277–287

    PubMed  Article  CAS  Google Scholar 

  8. Brown E, Matthes JC, Bazan C 3rd, Jinkins JR (1994) Prevalence of incidental intraspinal lipoma of the lumbosacral spine as determined by MRI. Spine (Phila Pa 1976) 19:833–836

    Article  CAS  Google Scholar 

  9. Carneiro SS, Scheithauer BW, Nascimento AG, Hirose T, Davis DH (1996) Solitary fibrous tumor of the meninges: a lesion distinct from fibrous meningioma. A clinicopathologic and immunohistochemical study. Am J Clin Pathol 106:217–224

    PubMed  CAS  Google Scholar 

  10. Cecchi PC, Rizzo P, Faccioli F, Bontempini L, Schwarz A, Bricolo A (2007) Intraneural cavernous malformation of the cauda equina. J Clin Neurosci 14:984–986

    PubMed  Article  Google Scholar 

  11. Cervoni L, Celli P, Scarpinati M, Cantore G (1994) Neurinomas of the cauda equina clinical analysis of 40 surgical cases. Acta Neurochir (Wien) 127:199–202

    Article  CAS  Google Scholar 

  12. Ciappetta P, Occhiogrosso G, Domenicucci M, D'Andrea G, Bastianello S, Frati A (2007) Hemangioblastoma of the filum terminale. Case report and review of the literature. J Exp Clin Cancer Res 26:281–285

    PubMed  CAS  Google Scholar 

  13. De Verdelhan O, Haegelen C, Carsin-Nicol B, Riffaud L, Amlashi SF, Brassier G, Carsin M, Morandi X (2005) MR imaging features of spinal schwannomas and meningiomas. J Neuroradiol 32:42–49

    PubMed  Article  Google Scholar 

  14. Engelhard HH, Villano JL, Porter KR, Stewart AK, Barua M, Barker FG, Newton HB (2010) Clinical presentation, histology, and treatment in 430 patients with primary tumors of the spinal cord, spinal meninges, or cauda equina. J Neurosurg Spine 13:67–77

    PubMed  Article  Google Scholar 

  15. Epstein NE, Drexler S, Schneider J (2005) Clear cell meningioma of the cauda equina in an adult: case report and literature review. J Spinal Disord Tech 18:539–543

    PubMed  Article  Google Scholar 

  16. Fearnside MR, Adams CB (1978) Tumours of the cauda equina. J Neurol Neurosurg Psychiatr 41:24–31

    PubMed  Article  CAS  Google Scholar 

  17. Funayama T, Sakane M, Murai S, Ochiai N (2010) Multiple capillary hemangiomas of the cauda equina at a level of a single vertebra. J Orthop Sci 15:598–602

    PubMed  Article  Google Scholar 

  18. HogenEsch RI, Staal MJ (1988) Tumors of the cauda equina: the importance of an early diagnosis. Clin Neurol Neurosurg 90:343–348

    PubMed  Article  CAS  Google Scholar 

  19. Ker NB, Jones CB (1985) Tumours of the cauda equina. The problem of differential diagnosis. J Bone Joint Surg Br 67:358–362

    PubMed  CAS  Google Scholar 

  20. Kucia EJ, Maughan PH, Kakarla UK, Bambakidis NC, Spetzler RF (2011) Surgical technique and outcomes in the treatment of spinal cord ependymomas: part II: myxopapillary ependymoma. Neurosurgery 68:90–94, discussion 94

    PubMed  Google Scholar 

  21. Lapierre F, Bataille B, Vandermarcq P, Goujon JM, Wager M, Page P (1999) Cauda equina tumors in adults. Neurochirurgie 45:29–38

    PubMed  CAS  Google Scholar 

  22. Leber GL, Fabinyi GC (1990) Subarachnoid haemorrhage due to cauda equina haemangiopericytoma. Aust N Z J Surg 60:69–70

    PubMed  Article  CAS  Google Scholar 

  23. Lohr M, Tzouras G, Kocher M, Stenzel W, Reithmeier T, Klug N, Hampl JA (2009) Treatment strategies of space-occupying intradural metastases of the cauda equina of nonneurogenic origin. Acta Neurochir (Wien) 151:207–215

    Article  CAS  Google Scholar 

  24. Maher ER, Neumann HP, Richard S (2011) von Hippel-Lindau disease: a clinical and scientific review. Eur J Hum Genet 19:617–623

    PubMed  Article  CAS  Google Scholar 

  25. Mathew P, Todd NV (1993) Intradural conus and cauda equina tumours: a retrospective review of presentation, diagnosis and early outcome. J Neurol Neurosurg Psychiatr 56:69–74

    PubMed  Article  CAS  Google Scholar 

  26. Metellus P, Bouvier C, Guyotat J, Fuentes S, Jouvet A, Vasiljevic A, Giorgi R, Dufour H, Grisoli F, Figarella-Branger D (2007) Solitary fibrous tumors of the central nervous system: clinicopathological and therapeutic considerations of 18 cases. Neurosurgery 60:715–722, discussion 722

    PubMed  Article  Google Scholar 

  27. Miliaras GC, Kyritsis AP, Polyzoidis KS (2003) Cauda equina paraganglioma: a review. J Neurooncol 65:177–190

    PubMed  Article  Google Scholar 

  28. Morita M, Osawa M, Naruse H, Nakamura H (2009) Primary NK/T-cell lymphoma of the cauda equina: a case report and literature review. Spine (Phila Pa 1976) 34:E882–E885

    Article  Google Scholar 

  29. Nakamura M, Ishii K, Watanabe K, Tsuji T, Matsumoto M, Toyama Y, Chiba K (2009) Long-term surgical outcomes for myxopapillary ependymomas of the cauda equina. Spine (Phila Pa 1976) 34:E756–E760

    Article  Google Scholar 

  30. Natale M, Spennato P, Savarese L, Bocchetti A, Esposito S, Barbato R (2005) Anaplastic oligodendroglioma presenting with drop metastases in the cauda equina. Clin Neurol Neurosurg 107:417–420

    PubMed  Article  Google Scholar 

  31. Ohry A, Azaria M, Zeilig G (1992) Long term follow up of patients with cauda equina syndrome due to intraspinal lipoma. Paraplegia 30:366–369

    PubMed  Article  CAS  Google Scholar 

  32. Ortega-Martinez M, Cabezudo JM, Fernandez-Portales I, Pineda-Palomo M, Rodriguez-Sanchez JA, Bernal-Garcia LM (2007) Multiple filum terminale hemangioblastomas symptomatic during pregnancy. Case report. J Neurosurg Spine 7:254–258

    PubMed  Article  Google Scholar 

  33. Parenti G, Fiori L, Marconi F, Tusini G (1993) Primary cauda equina tumors. J Neurosurg Sci 37:149–156

    PubMed  CAS  Google Scholar 

  34. Perrin RG, Livingston KE, Aarabi B (1982) Intradural extramedullary spinal metastasis. A report of 10 cases. J Neurosurg 56:835–837

    PubMed  Article  CAS  Google Scholar 

  35. Roncaroli F, Scheithauer BW, Deen HG Jr (2000) Multiple hemangiomas (hemangiomatosis) of the cauda equina and spinal cord. Case report. J Neurosurg 92:229–232

    PubMed  CAS  Google Scholar 

  36. Sergides IG, Wainwright KL, Biggs M (2009) Incidental hemangioblastoma of the filum terminale. Acta Neurol Belg 109:55–56

    PubMed  CAS  Google Scholar 

  37. Sgouros S, Malluci CL, Jackowski A (1996) Spinal ependymomas–the value of postoperative radiotherapy for residual disease control. Br J Neurosurg 10:559–566

    PubMed  Article  CAS  Google Scholar 

  38. Shimada Y, Miyakoshi N, Kasukawa Y, Hongo M, Ando S, Itoi E (2006) Clinical features of cauda equina tumors requiring surgical treatment. Tohoku J Exp Med 209:1–6

    PubMed  Article  Google Scholar 

  39. Tsimpas A, Post NH, Moshel Y, Frempong-Boadu AK (2010) Large cell neuroendocrine carcinoma of the lung metastatic to the cauda equina. Spine J 10:e1–e5

    PubMed  Article  Google Scholar 

  40. Vincentelli F, Caruso G, Figarella-Branger D (2010) Primary intradural Ewing's sarcoma of the cauda equina presenting with acute bleeding. Acta Neurochir (Wien) 152:563–564

    Article  Google Scholar 

  41. Wager M, Lapierre F, Blanc JL, Listrat A, Bataille B (2000) Cauda equina tumors: a French multicenter retrospective review of 231 adult cases and review of the literature. Neurosurg Rev 23:119–129, discussion 130-111

    PubMed  Article  CAS  Google Scholar 

  42. Wang Z, Kong M, Li J, Xiao W, Zheng S (2011) Intraspinal rhabdoid meningioma metastasis to the liver. J Clin Neurosci 18:714–716

    PubMed  Article  Google Scholar 

  43. Wippold FJ 2nd, Smirniotopoulos JG, Pilgram TK (1997) Lesions of the cauda equina: a clinical and pathology review from the Armed Forces Institute of Pathology. Clin Neurol Neurosurg 99:229–234

    PubMed  Article  Google Scholar 

Download references

Conflicts of interest

None.

Author information

Affiliations

Authors

Corresponding author

Correspondence to Pierre-Louis Hénaux.

Additional information

Comment

The authors present a case series of non-schwannoma non-ependymoma cauda equina tumors from two centers over a 16-year period. The paper does not provide any truly novel information, but does confirm and provide supporting information regarding the relative frequency of these tumors appearing in the region of the cauda equina. It should be noted that the identity of many of the unusual tumors may have been predicted preoperatively, such as the patient with VHL or the patients with known metastatic disease. The authors emphasize the need for a broad differential diagnosis and for a tissue diagnosis when confronted with tumors in the lumbar cistern.

Daniel Resnick

Madison, WI

Rights and permissions

Reprints and Permissions

About this article

Cite this article

Hénaux, PL., Zemmoura, I., Riffaud, L. et al. Surgical treatment of rare cauda equina tumours. Acta Neurochir 153, 1787 (2011). https://doi.org/10.1007/s00701-011-1094-2

Download citation

  • Received:

  • Accepted:

  • Published:

  • DOI: https://doi.org/10.1007/s00701-011-1094-2

Keywords

  • Cauda equina
  • Rare tumours
  • Intradural extramedullary
  • Paragangliomas
  • Spinal metastases