Skip to main content

The combination of semi-sitting position and intraoperative MRI—first report on feasibility

Abstract

Introduction

Intraoperative MRI (iMRI) has been established as a routine imaging modality with a remarkable impact on specific neurosurgical procedures. The technological advancement continuously extends the spectrum of iMRI, leading to an increasing number of installations. Yet, procedures in which a semi-sitting position would be advantageous were beyond the reach of iMRI.

Materials and methods

We performed an iMRI-guided surgical procedure in a patient with a cystic lesion of the inferior parieto-occipital lobe while the patient was placed in a semi-sitting position, employing a mobile 0.15-T intraoperative MRI system. For that purpose, we adapted a standard OR table according to the needs of iMRI.

Findings

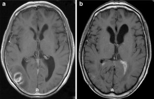
Patient positioning could be accomplished easily. For intraoperative scanning, the OR table was tilted backwards so as to position the patient’s head in the magnet’s aperture. Obtained images were used for neuronavigated cyst evacuation via burr hole trephination after repositioning the OR table. Subsequent intraoperative imaging documented collapse of the cyst at the end of the procedure. There were no adverse effects resulting from the combination of semi-sitting position and iMRI guidance.

Conclusion

This report demonstrates for the first time that the combination of iMRI and the semi-sitting position is feasible and that this procedure bears specific benefits. Issues such as brain shift due to table tilting warrant further investigations in order to expand this technique to posterior fossa craniotomies.

This is a preview of subscription content, access via your institution.

Fig. 1
Fig. 2
Fig. 3
Fig. 4

References

  1. Black PM, Alexander E 3rd, Martin C, Moriarty T, Nabavi A, Wong TZ, Schwartz RB, Jolesz F (1999) Craniotomy for tumor treatment in an intraoperative magnetic resonance imaging unit. Neurosurgery 45:423–431, discussion 431–423

    Article  CAS  PubMed  Google Scholar 

  2. Black S, Ockert DB, Oliver WC Jr, Cucchiara RF (1988) Outcome following posterior fossa craniectomy in patients in the sitting or horizontal positions. Anesthesiology 69:49–56

    Article  CAS  PubMed  Google Scholar 

  3. Dalrymple DG, MacGowan SW, MacLeod GF (1979) Cardiorespiratory effects of the sitting position in neurosurgery. Br J Anaesth 51:1079–1082

    Article  CAS  PubMed  Google Scholar 

  4. Engelhardt M, Folkers W, Brenke C, Scholz M, Harders A, Fidorra H, Schmieder K (2006) Neurosurgical operations with the patient in sitting position: analysis of risk factors using transcranial Doppler sonography. Br J Anaesth 96:467–472

    Article  CAS  PubMed  Google Scholar 

  5. Finlay JL, Wisoff JH (1999) The impact of extent of resection in the management of malignant gliomas of childhood. Childs Nerv Syst 15:786–788

    Article  CAS  PubMed  Google Scholar 

  6. Gasser T, Ganslandt O, Sandalcioglu E, Stolke D, Fahlbusch R, Nimsky C (2005) Intraoperative functional MRI: implementation and preliminary experience. Neuroimage 26:685–693

    Article  PubMed  Google Scholar 

  7. Gerlach R, du Mesnil de Rochemont R, Gasser T, Marquardt G, Reusch J, Imoehl L, Seifert V (2008) Feasibility of Polestar N20, an ultra-low-field intraoperative magnetic resonance imaging system in resection control of pituitary macroadenomas: lessons learned from the first 40 cases. Neurosurgery 63:272–284, discussion 284–275

    Article  PubMed  Google Scholar 

  8. Hall WA, Galicich W, Bergman T, Truwit CL (2006) 3-Tesla intraoperative MR imaging for neurosurgery. J Neurooncol 77:297–303

    Article  PubMed  Google Scholar 

  9. Hall WA, Martin AJ, Liu H, Nussbaum ES, Maxwell RE, Truwit CL (1999) Brain biopsy using high-field strength interventional magnetic resonance imaging. Neurosurgery 44:807–813, discussion 813–804

    Article  CAS  PubMed  Google Scholar 

  10. Hall WA, Martin AJ, Liu H, Pozza CH, Casey SO, Michel E, Nussbaum ES, Maxwell RE, Truwit CL (1998) High-field strength interventional magnetic resonance imaging for pediatric neurosurgery. Pediatr Neurosurg 29:253–259

    Article  CAS  PubMed  Google Scholar 

  11. Hirschberg H, Samset E, Hol PK, Tillung T, Lote K (2005) Impact of intraoperative MRI on the surgical results for high-grade gliomas. Minim Invasive Neurosurg 48:77–84

    Article  CAS  PubMed  Google Scholar 

  12. Jadik S, Wissing H, Friedrich K, Beck J, Seifert V, Raabe A (2009) A standardized protocol for the prevention of clinically relevant venous air embolism during neurosurgical interventions in the semisitting position. Neurosurgery 64:533–538, discussion 538–539

    Article  PubMed  Google Scholar 

  13. Leonard IE, Cunningham AJ (2002) The sitting position in neurosurgery—not yet obsolete! Br J Anaesth 88:1–3

    Article  CAS  PubMed  Google Scholar 

  14. Muragaki Y, Iseki H, Maruyama T, Kawamata T, Yamane F, Nakamura R, Kubo O, Takakura K, Hori T (2006) Usefulness of intraoperative magnetic resonance imaging for glioma surgery. Acta Neurochir Suppl 98:67–75

    Article  CAS  PubMed  Google Scholar 

  15. Nimsky C, Ganslandt O, Buchfelder M, Fahlbusch R (2006) Intraoperative visualization for resection of gliomas: the role of functional neuronavigation and intraoperative 1.5 T MRI. Neurol Res 28:482–487

    Article  PubMed  Google Scholar 

  16. Nimsky C, Ganslandt O, Fahlbusch R (2006) Implementation of fiber tract navigation. Neurosurgery 58:ONS-292–ONS-303, discussion ONS-303-294

    Article  Google Scholar 

  17. Nimsky C, Ganslandt O, von Keller B, Fahlbusch R (2006) Intraoperative high-field MRI: anatomical and functional imaging. Acta Neurochir Suppl 98:87–95

    Article  CAS  PubMed  Google Scholar 

  18. Nimsky C, Ganslandt O, Von Keller B, Romstock J, Fahlbusch R (2004) Intraoperative high-field-strength MR imaging: implementation and experience in 200 patients. Radiology 233:67–78

    Article  PubMed  Google Scholar 

  19. Nimsky C, Grummich P, Sorensen AG, Fahlbusch R, Ganslandt O (2005) Visualization of the pyramidal tract in glioma surgery by integrating diffusion tensor imaging in functional neuronavigation. Zentralbl Neurochir 66:133–141

    Article  CAS  PubMed  Google Scholar 

  20. Pamir MN, Peker S, Ozek MM, Dincer A (2006) Intraoperative MR imaging: preliminary results with 3 Tesla MR system. Acta Neurochir Suppl 98:97–100

    Article  CAS  PubMed  Google Scholar 

  21. Porter JM, Pidgeon C, Cunningham AJ (1999) The sitting position in neurosurgery: a critical appraisal. Br J Anaesth 82:117–128

    CAS  PubMed  Google Scholar 

  22. Samdani AF, Schulder M, Catrambone JE, Carmel PW (2005) Use of a compact intraoperative low-field magnetic imager in pediatric neurosurgery. Childs Nerv Syst 21:108–113, discussion 114

    Article  PubMed  Google Scholar 

  23. Schneider JP, Trantakis C, Rubach M, Schulz T, Dietrich J, Winkler D, Renner C, Schober R, Geiger K, Brosteanu O, Zimmer C, Kahn T (2005) Intraoperative MRI to guide the resection of primary supratentorial glioblastoma multiforme—a quantitative radiological analysis. Neuroradiology 47:489–500

    Article  PubMed  Google Scholar 

  24. Schulder M, Carmel PW (2003) Intraoperative magnetic resonance imaging: impact on brain tumor surgery. Cancer Control 10:115–124

    PubMed  Google Scholar 

  25. Schulder M, Salas S, Brimacombe M, Fine P, Catrambone J, Maniker AH, Carmel PW (2006) Cranial surgery with an expanded compact intraoperative magnetic resonance imager. Technical note. J Neurosurg 104:611–617

    Article  PubMed  Google Scholar 

  26. Senft C, Seifert V, Hermann E, Franz K, Gasser T (2008) Usefulness of intraoperative ultralow-field magnetic resonance imaging in glioma surgery. Neurosurgery 63:257–266, discussion 266–257

    Article  PubMed  Google Scholar 

  27. Senft C, Seifert V, Hermann E, Gasser T (2009) Surgical treatment of cerebral abscess with the use of a mobile ultralow-field MRI. Neurosurg Rev 32:77–84, discussion 84–75

    Article  PubMed  Google Scholar 

  28. Truwit CL, Hall WA (2006) Intraoperative magnetic resonance imaging-guided neurosurgery at 3-T. Neurosurgery 58:ONS-338–ONS-345, discussion ONS-345-336

    Article  Google Scholar 

Download references

Conflict of interest statement

The corresponding author is a member of the scientific advisory board of Medtronic Navigation Technology. Yet, the company did not provide any financial support to this study. All other authors have no potential conflict of interests.

Author information

Affiliations

Authors

Corresponding author

Correspondence to Thomas Gasser.

Additional information

Thomas Gasser and Christian Senft contributed equally to this manuscript.

Rights and permissions

Reprints and Permissions

About this article

Cite this article

Gasser, T., Senft, C., Rathert, J. et al. The combination of semi-sitting position and intraoperative MRI—first report on feasibility. Acta Neurochir 152, 947–951 (2010). https://doi.org/10.1007/s00701-010-0607-8

Download citation

  • Received:

  • Accepted:

  • Published:

  • Issue Date:

  • DOI: https://doi.org/10.1007/s00701-010-0607-8

Keywords

  • Intraoperative MRI
  • Semi-sitting position
  • Surgical techniques