Skip to main content

Cerebellopontine angle arachnoid cyst containing ectopic choroid plexus—case report

Abstract

We present a rare and interesting case of a cerebellopontine angle cyst containing ectopic choroid plexus tissue in a 26 year-old female. Surgical resection was performed, and histological examination confirmed the presence of choroid plexus in the cyst wall. This is the first reported case of ectopic choroid plexus at the cerebellopontine angle in an adult. We present the case and review the literature.

This is a preview of subscription content, access via your institution.

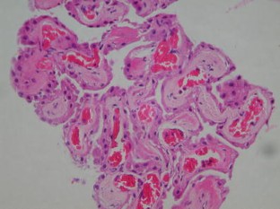
Fig. 1
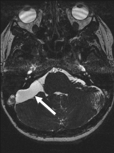
Fig. 2
Fig. 3

References

  1. Azzam NI, Timperley WR (1981) Intracerebral cyst due to ectopic choroid plexus: case report. J Neurosurg 55(4):651–653

    Article  CAS  PubMed  Google Scholar 

  2. Choi J, Kim D (1998) Pathogenesis of arachnoid cyst: congenital or traumatic? Pediatr Neurosurg 29:260–266

    Article  CAS  PubMed  Google Scholar 

  3. Di Rocco C (1999) Arachnoid cysts of the posterior fossa (comment). Surg Neurol 51:376–382

    Article  Google Scholar 

  4. Dwarakanath S, Suri A, Mahapatra AK, Mehta VS, Sharma MC (2005) Intramedullary ectopic choroid plexus: report of a rare case. Neurosurgery 56(4):E869

    Article  PubMed  Google Scholar 

  5. Iglesias JR, Sanjuanbenito L, Martinez-Cubells J, Lousa M, Redondo C (1981) Intracerebral arachnoid cyst containing choroid plexus. Case report. Acta Neurochir (Wien) 58:229–234

    Article  CAS  Google Scholar 

  6. Jallo GI, Woo HH, Meshki C, Epstein FJ, Wisoff JH (1997) Arachnoid cysts of the cerebellopontine angle: diagnosis and surgery. Neurosurgery 40:31–38

    Article  CAS  PubMed  Google Scholar 

  7. Larsen WJ. 2001. Development of the brain and cranial nerves, from Human Embryology. 3rd Edn. Ed. Churchill Livingstone

  8. Lasjaunias P, Ginisty D, Comoy J, Landrieu P (1985/1986) Ectopic secreting choroid plexus in the oropharynx. Pediatr Neurosci 12(4–5):205–207

    Article  Google Scholar 

  9. Redzic ZB, Preston JE, Duncan JA, Chodobski A, Szmydynger-Chodobska J (2005) The choroid plexus-cerebrospinal fluid system: from development to aging. Curr Top Dev Biol 71:1–52

    Article  CAS  PubMed  Google Scholar 

  10. Rengachary SS, Watanabe I, Brackett CE (1978) Pathogenesis of intracranial arachnoid cysts. Surg Neurol 8:119–144

    Google Scholar 

  11. Rosich-Pla A, Smith BH, Sil R (1977) Congenital arachnoid cyst with unusual clinical, radiological and pathological findings. Ann Neurol 2:443–446

    Article  CAS  PubMed  Google Scholar 

  12. Schuhmann MU, Tatagiba M, Hader C, Brandis A, Samii M (2000) Ectopic choroid plexus within a juvenile arachnoid cyst of the cerebellopontine angle: cause of cyst formation or reason of cyst growth. Pediatr Neurosurg 32(2):73–76

    Article  CAS  PubMed  Google Scholar 

Download references

Author information

Affiliations

Authors

Corresponding author

Correspondence to William G. B. Singleton.

Additional information

Comment

Arachnoid cyst, generally speaking, remains an intriguing condition. In this unusual location, the presence of a small ectopic nest of choroid plexus gives a sound pathophysiological explanation to the growing of the cyst. Post-infectious or post-inflammatory septation of the subarachnoid spaces could be another hypothesis but more difficult to prove. According to the review presented by the authors, all these arachnoid cysts associated with ectopic choroid plexus were symptomatic, and the indication to operate was thus straightforward; complications were not reported, and prognosis is excellent.

Benedict Rilliet

Switzerland

Rights and permissions

Reprints and Permissions

About this article

Cite this article

Singleton, W.G.B., Lawrence, T., Green, A.L. et al. Cerebellopontine angle arachnoid cyst containing ectopic choroid plexus—case report. Acta Neurochir 152, 881–883 (2010). https://doi.org/10.1007/s00701-009-0516-x

Download citation

  • Received:

  • Accepted:

  • Published:

  • Issue Date:

  • DOI: https://doi.org/10.1007/s00701-009-0516-x

Keywords

  • Cerebellopontine angle
  • Cyst
  • Ectopic choroid plexus
  • Arachnoid cyst