Skip to main content

Oronasopharyngeal chordomas

An Erratum to this article was published on 26 May 2009

An Erratum to this article was published on 26 May 2009

An Erratum to this article was published on 26 May 2009

Abstract

Background

Chordomas are rare tumors derived from notochordal remnants. The authors report on a series of three cases of primary familial oronasopharyngeal chordomas treated at our institution.

Methods

A retrospective chart review was completed of the three cases of primary familial oronasopharyngeal chordoma treated at the University of Utah.

Findings

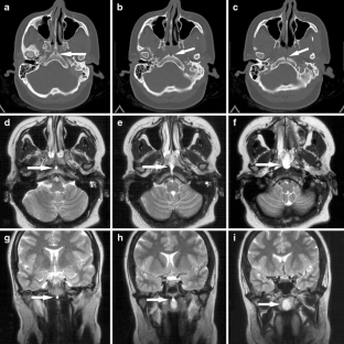
All three patients (100%) were neurologically intact and presented with nasal obstruction. The patients ranged in age from 5 to 65 years and were first-degree relatives. None of the patients had bony erosion of the skull base on imaging, and all of the patients’ tumors connected with the skull base via a tract. All three patients were treated with a wide excision combined with drilling of the involved skull base. They all tolerated the procedure without any complications and remain tumor free with a follow-up of 12 months to 4.5 years.

Conclusion

Primary oronasopharyngeal chordomas are rare tumors that may present without bony erosion of the skull base. A wide excision with drilling of the involved bony structures may offer an oncologic cure.

This is a preview of subscription content, access via your institution.

Fig. 1
Fig. 2
Fig. 3
Fig. 4

References

  1. Arnautovic KI, Al-Mefty O (2001) Surgical seeding of chordomas. J Neurosurg 95:798–803

    PubMed  Article  CAS  Google Scholar 

  2. Batsakis JG, Kittleson AC (1963) Chordomas. Otorhinolaryngologic presentation and diagnosis. Arch Otolaryngol 78:168–175

    PubMed  CAS  Google Scholar 

  3. Berdal P, Myhre E (1964) Cranial chordomas involving the paranasal sinuses. J Laryngol Otol 78:906–919. doi:10.1017/S0022215100062964

    PubMed  Article  CAS  Google Scholar 

  4. Bhadra AK, Casey AT (2006) Familial chordoma. A report of two cases. J Bone Joint Surg Br 88:634–636. doi:10.1302/0301-620X.88B5.17299

    PubMed  CAS  Google Scholar 

  5. Burge AJ (1975) A case of oropharyngeal chordoma. J Laryngol Otol 89:115–119. doi:10.1017/S0022215100080142

    PubMed  Article  CAS  Google Scholar 

  6. Campbell WM, McDonald TJ, Unni KK, Laws ER Jr (1980) Nasal and paranasal presentations of chordomas. Laryngoscope 90:612–618. doi:10.1288/00005537-198004000-00007

    PubMed  Article  CAS  Google Scholar 

  7. Chauvel A, Taillat F, Gille O, Rivel J, Vital JM, Bioulac-Sage P, Coindre JM (2005) Giant vertebral notochordal rest: a new entity distinct from chordoma. Histopathology 47:646–649. doi:10.1111/j.1365-2559.2005.02168.x

    PubMed  Article  CAS  Google Scholar 

  8. Colli BO, Al-Mefty O (2001) Chordomas of the skull base: follow-up review and prognostic factors. Neurosurg Focus 10(3):E1. doi:10.3171/foc.2001.10.3.2

    PubMed  Article  CAS  Google Scholar 

  9. Crockard HA, Steel T, Plowman N, Singh A, Crossman J, Revesz T, Holton JL, Cheeseman A (2001) A multidisciplinary team approach to skull base chordomas. J Neurosurg 95:175–183

    PubMed  Article  CAS  Google Scholar 

  10. Dalpra L, Malgara R, Miozzo M, Riva P, Volonte M, Larizza L, Fuhrman Conti AM (1999) First cytogenetic study of a recurrent familial chordoma of the clivus. Int J Cancer 81:24–30. doi:10.1002/(SICI)1097-0215(19990331)81:<24::AID-IJC5>3.0.CO;2-O

    PubMed  Article  CAS  Google Scholar 

  11. Darby AJ, Cassar-Pullicino VN, McCall IW, Jaffray DC (1999) Vertebral intra-osseous chordoma or giant notochordal rest? Skeletal Radiol 28:342–346. doi:10.1007/s002560050528

    PubMed  Article  CAS  Google Scholar 

  12. Deshpande V, Nielsen GP, Rosenthal DI, Rosenberg AE (2007) Intraosseous benign notochord cell tumors (BNCT): further evidence supporting a relationship to chordoma. Am J Surg Pathol 31:1573–1577

    PubMed  Article  Google Scholar 

  13. Enin IP (1964) Chordoma of the nasopharynx in 2 members of a family. Vestn Otorinolaringol 26:88–90

    PubMed  CAS  Google Scholar 

  14. Essammaa E (1959) Chordoma of the oropharynx. J Laryngol Otol 73:65–68. doi:10.1017/S0022215100054943

    PubMed  Article  CAS  Google Scholar 

  15. Foote RF, Ablin G, Hall WW (1958) Chordoma in siblings. Calif Med 88:383–386

    PubMed  CAS  Google Scholar 

  16. Fracasso T, Brinkmann B, Paulus W (2008) Sudden death due to subarachnoid bleeding from ecchordosis physaliphora. Int J Legal Med 122:225–27

    PubMed  Article  CAS  Google Scholar 

  17. Gupta R, Khurana N, Singh S, Meher R (2007) Primary chordoma of the nasal cavity: a rare site of presentation. Pathology 39:273–275. doi:10.1080/00313020701230666

    PubMed  Article  Google Scholar 

  18. Horwitz T (1941) Chordal ectopia and its possible relationship to chordoma. Arch Pathol (Chic) 31:354–362

    Google Scholar 

  19. Huber GC (1912) Anat Rec 6:373. doi:10.1002/ar.1090061002

    Article  Google Scholar 

  20. Kelley MJ, Korczak JF, Sheridan E, Yang X, Goldstein AM, Parry DM (2001) Familial chordoma, a tumor of notochordal remnants, is linked to chromosome 7q33. Am J Hum Genet 69:454–460. doi:10.1086/321982

    PubMed  Article  CAS  Google Scholar 

  21. Kerr WA, Allen KL, Haynes DR, Sellars SL (1975) Letter: familial nasopharyngeal chordoma. S Afr Med J 49:1584

    PubMed  CAS  Google Scholar 

  22. Kitai R, Yoshida K, Kubota T, Sato K, Handa Y, Kasahara K, Nakajima H (2005) Clival chordoma manifesting as nasal bleeding. A case report. Neuroradiology 47:368–371

    PubMed  Article  Google Scholar 

  23. Kyriakos M, Totty WG, Lenke LG (2003) Giant vertebral notochordal rest: a lesion distinct from chordoma: discussion of an evolving concept. Am J Surg Pathol 27:396–406. doi:10.1097/00000478-200303000-00015

    PubMed  Article  Google Scholar 

  24. Linck A (1909) Beitr. path. Anat 46:573.

    Google Scholar 

  25. Ling SS, Sader C, Robbins P, Rajan GP (2007) A case of giant ecchordosis physaliphora: a case report and literature review. Otol Neurotol 28:931–933

    PubMed  Google Scholar 

  26. Loughran S, Badia L, Lund V (2000) Primary chordoma of the ethmoid sinus. J Laryngol Otol 114:627–629

    PubMed  CAS  Google Scholar 

  27. Lynn-Macrae A, Haines GK, 3rd, Altman KW (2005) Primary chordoma of the lateral nasal wall: case report and review. Ear Nose Throat J 84:593–595

    PubMed  Google Scholar 

  28. Macdonald RL, Cusimano MD, Deck JH, Gullane PJ, Dolan EJ (1990) Cerebrospinal fluid fistula secondary to ecchordosis physaliphora. Neurosurgery 26:515–518. Discussion 518–519. doi:10.1097/00006123-199003000-00022

    Google Scholar 

  29. Mehnert F, Beschorner R, Kuker W, Hahn U, Nagele T (2004) Retroclival ecchordosis physaliphora: MR imaging and review of the literature. AJNR Am J Neuroradiol 25:1851–1855

    PubMed  Google Scholar 

  30. Menezes AH, Gantz BJ, Traynelis VC, McCulloch TM (1997) Cranial base chordomas. Clin Neurosurg 44:491–509

    PubMed  CAS  Google Scholar 

  31. Miozzo M, Dalpra L, Riva P, Volonta M, Macciardi F, Pericotti S, Tibiletti MG, Cerati M, Rohde K, Larizza L, Fuhrman Conti AM (2000) A tumor suppressor locus in familial and sporadic chordoma maps to 1p36. Int J Cancer 87:68–72. doi:10.1002/1097-0215(20000701)87:<68::AID-IJC10>3.0.CO;2-V

    PubMed  Article  CAS  Google Scholar 

  32. Mirra JM, Brien EW (2001) Giant notochordal hamartoma of intraosseous origin: a newly reported benign entity to be distinguished from chordoma. Report of two cases. Skeletal Radiol 30:698–709. doi:10.1007/s002560100422

    PubMed  Article  CAS  Google Scholar 

  33. Moshari A, Bloom EE, McLean IW, Buckwalter NR (2001) Ectopic chordoma with orbital invasion. Am J Ophthalmol 131:400–401. doi:10.1016/S0002-9394(00)00793-5

    PubMed  Article  CAS  Google Scholar 

  34. Ormerod R (1960) A case of chordoma presenting in the nasopharynx. J Laryngol Otol 74:245–254

    PubMed  CAS  Google Scholar 

  35. Perzin KH, Pushparaj N (1986) Nonepithelial tumors of the nasal cavity, paranasal sinuses, and nasopharynx. A clinicopathologic study. XIV Chordomas. Cancer 57:784–796

    PubMed  Article  CAS  Google Scholar 

  36. Richter HJ Jr, Batsakis JG, Boles R (1975) Chordomas: nasopharyngeal presentation and atypical long survival. Ann Otol Rhinol Laryngol 84:327–332

    PubMed  Google Scholar 

  37. Rotondo M, Natale M, Mirone G, Cirillo M, Conforti R, Scuotto A (2007) A rare symptomatic presentation of ecchordosis physaliphora: neuroradiological and surgical management. J Neurol Neurosurg Psychiatry 78:647–649. doi:10.1136/jnnp. 2006.109561

    PubMed  Article  CAS  Google Scholar 

  38. Salisbury JR (2001) Embryology and pathology of the human notochord. Ann Pathol 21:479–488

    PubMed  CAS  Google Scholar 

  39. Salisbury JR, Deverell MH, Cookson MJ, Whimster WF (1993) Three-dimensional reconstruction of human embryonic notochords: clue to the pathogenesis of chordoma. J Pathol 171:59–62. doi:10.1002/path.1711710112

    PubMed  Article  CAS  Google Scholar 

  40. Scartozzi R, Couch M, Sciubba J (2003) Chondroid chordoma of the nasal septum. Arch Otolaryngol Head Neck Surg 129:244–246

    PubMed  Google Scholar 

  41. Schamschula RG, Soo MY (1993) Clival chordomas. Australas Radiol 37:259–264. doi:10.1111/j.1440-1673.1993.tb00069.x

    PubMed  Article  CAS  Google Scholar 

  42. Sen CN, Sekhar LN, Schramm VL, Janecka IP (1989) Chordoma and chondrosarcoma of the cranial base: an 8-year experience. Neurosurgery 25:931–940. Discussion 940–941. doi:10.1097/00006123-198912000-00013

    Google Scholar 

  43. Shugar JM, Som PM, Krespi YP, Arnold LM, Som ML (1980) Primary chordoma of the maxillary sinus. Laryngoscope 90:1825–1830

    PubMed  CAS  Google Scholar 

  44. Soo MY (2001) Chordoma: review of clinicoradiological features and factors affecting survival. Australas Radiol 45:427–434. doi:10.1046/j.1440-1673.2001.00950.x

    PubMed  Article  CAS  Google Scholar 

  45. Stam FC, Kamphorst W (1982) Ecchordosis physaliphora as a cause of fatal pontine hemorrhage. Eur Neurol 21:90–93. doi:10.1159/000115460

    PubMed  Article  CAS  Google Scholar 

  46. Stepanek J, Cataldo SA, Ebersold MJ, Lindor NM, Jenkins RB, Unni K, Weinshenker BG, Rubenstein RL (1998) Familial chordoma with probable autosomal dominant inheritance. Am J Med Genet 75:335–336. doi:10.1002/(SICI)1096-8628(19980123)75:3<335::AID-AJMG23>3.0.CO;2-P

    PubMed  Article  CAS  Google Scholar 

  47. Ulich TR, Mirra JM (1982) Ecchordosis physaliphora vertebralis. Clin Orthop Relat Res 163:282–289.

    PubMed  Google Scholar 

  48. Weber AL, Liebsch NJ, Sanchez R, Sweriduk ST Jr (1994) Chordomas of the skull base. Radiologic and clinical evaluation. Neuroimaging Clin N Am 4:515–527

    PubMed  CAS  Google Scholar 

  49. Wright D (1967) Nasopharyngeal and cervical chordoma—some aspects of their development and treatment. J Laryngol Otol 81:1337–1355. doi:10.1017/S0022215100068341

    PubMed  Article  CAS  Google Scholar 

  50. Yamaguchi T, Iwata J, Sugihara S, McCarthy EF Jr, Karita M, Murakami H, Kawahara N, Tsuchiya H, Tomita K (2008) Distinguishing benign notochordal cell tumors from vertebral chordoma. Skeletal Radiol 37:291–299. doi:10.1007/s00256-007-0435-y

    PubMed  Article  Google Scholar 

  51. Yamaguchi T, Suzuki S, Ishiiwa H, Shimizu K, Ueda Y (2004) Benign notochordal cell tumors: a comparative histological study of benign notochordal cell tumors, classic chordomas, and notochordal vestiges of fetal intervertebral discs. Am J Surg Pathol 28:756–761. doi:10.1097/01.pas.0000126058.18669.5d

    PubMed  Article  Google Scholar 

  52. Yamaguchi T, Suzuki S, Ishiiwa H, Ueda Y (2004) Intraosseous benign notochordal cell tumours: overlooked precursors of classic chordomas? Histopathology 44:597–602. doi:10.1111/j.1365-2559.2004.01877.x

    PubMed  Article  CAS  Google Scholar 

  53. Yamaguchi T, Watanabe-Ishiiwa H, Suzuki S, Igarashi Y, Ueda Y (2005) Incipient chordoma: a report of two cases of early-stage chordoma arising from benign notochordal cell tumors. Mod Pathol 18:1005–1010. doi:10.1038/modpathol.3800378

    PubMed  Article  Google Scholar 

  54. Yamaguchi T, Yamato M, Saotome K (2002) First histologically confirmed case of a classic chordoma arising in a precursor benign notochordal lesion: differential diagnosis of benign and malignant notochordal lesions. Skeletal Radiol 31:413–418. doi:10.1007/s00256-002-0514-z

    PubMed  Article  Google Scholar 

  55. Yang XR, Beerman M, Bergen AW, Parry DM, Sheridan E, Liebsch NJ, Kelley MJ, Chanock S, Goldstein AM (2005) Corroboration of a familial chordoma locus on chromosome 7q and evidence of genetic heterogeneity using single nucleotide polymorphisms (SNPs). Int J Cancer 116:487–491. doi:10.1002/ijc.21006

    PubMed  Article  CAS  Google Scholar 

Download references

Acknowledgment

The authors thank Kristin Kraus, M.Sc., for her editorial assistance in preparing this paper.

Author information

Affiliations

Authors

Corresponding author

Correspondence to William T. Couldwell.

Additional information

An erratum to this article can be found at http://dx.doi.org/10.1007/s00701-009-0303-8

Rights and permissions

Reprints and Permissions

About this article

Cite this article

Coppens, J.R., Ric Harnsberger, H., Finn, M.A. et al. Oronasopharyngeal chordomas. Acta Neurochir 151, 901 (2009). https://doi.org/10.1007/s00701-009-0253-1

Download citation

  • Received:

  • Accepted:

  • Published:

  • DOI: https://doi.org/10.1007/s00701-009-0253-1

Keywords

  • Chordoma
  • Pharynx
  • Notochord
  • Transoral
  • Skull base